Evaluation of treatment efficiency of diabetic foot syndrome using immunohistochemical studies
- Authors: Styazhkina S.N.1, Bayramkulov E.D.2, Kiryanov N.A.1, Sharifullina E.R.1, Zharova A.A.1
-
Affiliations:
- Izhevsk State Medical Academy
- Stavropol Regional Clinical Hospital
- Issue: Vol 39, No 5 (2022)
- Pages: 125-131
- Section: Methods of diagnosis and technologies
- Submitted: 10.11.2022
- Accepted: 10.11.2022
- Published: 10.11.2022
- URL: https://permmedjournal.ru/PMJ/article/view/112489
- DOI: https://doi.org/10.17816/pmj395125-131
- ID: 112489
Cite item
Full Text
Abstract
Objective. To evaluate the results of complex conservative treatment of patients with diabetic foot syndrome using immunohistochemical methods of studying tissue bioptates of the affected foot regions.
Materials and methods. Examination and treatment of 129 patients (aged 16 to 80 years) with 1 and 2 type diabetes mellitus, whose course of the disease was complicate by the development of diabetic foot syndrome (DFS) was carried out. The main group (group 1) included 89 patients, who underwent complex conservative treatment added by the preparations mexidol and roncoleukin. Mexidol was used intravenously 10 ml for 10 days, and then tableted drugs in the dose of 125 ml. Roncoleukin was administered intravenously in the dose of 1.0–0.500 units: the 1st day after admission to hospital – as a preoperative preparation; after the surgery – on the 3rd day. The comparison group (group 2) enclosed 40 persons. They received a standard conservative treatment of DFS including sugar-containing, hypotensive and hypolipidemic drugs as well as a local therapy using sorption bandages. Before treatment and two weeks after, the tissue bioptates of the affected regions were taken from patients. For morphological study of bioptates, histochemical methods were applied: Mallory’s toluidine blue staining in Heidenhain modification, PAS reaction. The number of leukocytes, lymphocytes, Ki-67 protein proliferation index, P53 protein expression were calculated.
Results. The morphological study before the onset of treatment showed that the inflammation had a marked character in all the bioptates. The margins of the ulcerous defect were infiltrated with polymorphonuclear leukocytes. The number of neutrophils was 75 %, lymphocytes – 25 %. The results of immunohistochemical analysis were the following: Ki-67 protein proliferation index was 2 %, P53 protein expression – 2.9 %. Treatment of the control group (group 2) with the standard method resulted in a complete purification of the trophic ulcer from necrotic mass on the day 21st. In the infiltrate, there prevailed lymphocytes (70 %), the number of neutrophils decreased to 30 %. The result of immunohistochemical study was an increase in Ki-67 biomarker expression up to 7 %, P53 biomarker expression – 5 %. Combined treatment of DFS applying mexidol and roncoleukin (group 1) demonstrated a maximum restorative effect already on the 6–14 day. In the infiltrate, the number of lymphocytes was 85 %, neutrophile leukocytes fell to 15 %, Ki-67 biomarker proliferation index grew to 15 %, P53 biomarker expression – to 5.9 %.
Conclusions. The use of immunohistochemical methods of research of ulcer bioptates in treatment of DFS makes it possible to reliably evaluate the dynamics of wound process. The application of original preparations roncoleukin and mexidol in complex treatment contributes to a faster reduction of inflammatory process and purification of wounds that is confirmed by an increase in Ki proliferation index and P53 apoptosis.
Full Text
Введение
Сахарный диабет (СД) – это метаболическое заболевание, характеризующееся хронической гипергликемией, возникающей в результате дефектов секреции инсулина и/или действия инсулина, что приводит к серьезному повреждению внутренних органов и тканей [1]. Согласно официальным данным Всемирной организации здравоохранения, число людей, страдающих СД, возросло со 108 млн в 1980 г. до 422 млн в 2014 г. К 2035 г., по данным, предоставленным Международной федерацией диабета, количество больных диабетом в мире вырастет до 592 млн человек, это составляет примерно одну десятую населения мира [2].
Длительное течение СД приводит к развитию осложнений. Почти у 6–10 % пациентов формируется синдром диабетической стопы (СДС), который характеризуется развитием язв, инфекций на фоне нейропатии и ишемии конечности. Больные СД с гнойно-некротическими осложнениями нижних конечностей относятся к особой категории: язвы, и дефекты мягких тканей стопы заживают длительно, что снижает качество жизни, а также приводит к необходимости ампутаций конечности. Количество пациентов, погибших в первые годы после высокой ампутации нижней конечности, достигает 59 % от всех оперированных пациентов. Учитывая, что количество пациентов с сахарным диабетом увеличивается с каждым годом, дальнейшее изучение различных вариантов местного лечения синдрома диабетической стопы, мониторинга гнойного процесса в ране с использованием современных методик остается актуальной задачей [3, 4].
Цель исследования – оценить результаты комплексного консерватиного лечения пациентов с синдромом диабетической стопы с применением иммуногистохимических методов исследования биоптатов тканей пораженных участков стопы.
Материалы и методы исследования
Исследование выполнено на базе отделений гнойной хирургии Ставропольской краевой клинической больницы и Республиканской клинической больницы г. Ижевска. Проведено обследование и лечение 129 пациентов с сахарным диабетом 1-го и 2-го типа в возрасте от 16 до 80 лет, у которых течение заболевания осложнилось развитием СДС. Женщин – 60 (46,3 %), мужчин – 69 (53,7 %). В основную группу (1-я) вошли 89 больных СДС, комплексное консервативное лечение которых было дополнено препаратами мексидол и ронколейкин. В группу сравнения (2-я) вошли 40 человек. Они получали стандартное консервативное лечение СДС, которое включало сахароснижающие, гипотензивные и гиполипидемические препараты, а также местное лечение сорбционными повязками.
Из 89 пациентов основной группы у 68 (76 %) диагностирована нейропатическая форма, у 16 (18 %) – нейроишемическая и у 5 (6 %) – ишемическая. В группе сравнения из 40 больных нейропатическая форма обнаружена у 27 (68 %), нейроишемическая – у 19 (22 %), ишемическая – у 4 (10 %). Основные клинические проявления СДС характеризовались наличием гнойно-некротического поражения подошвенной поверхности стопы и области плюсневых костей (70 %), значительно реже – тыльной стороны стопы (13,5 %). Язвенные дефекты на стопе относились к 1-й или 2-й степени тяжести по классификации WIFI.
Обследование пациентов включало общий анализ крови с подсчетом лейкоцитарного индекса интоксикации, биохимический и общий анализ крови, ультразвуковую допплерографию сосудов нижних конечностей.
Всем пациентам проведено комплексное лечение. Дополнительно больным первой группы назначали ронколейкин и мексидол. Мексидол вводили внутривенно по 10 мл 10 дней, а потом переходили на таблетированные препараты в дозе 125 мг. Ронколейкин вводили внутривенно по 1,0–500 ед.: в 1; 5-е и 7-е сут в программе комплексного лечения.
Перед лечением и через две недели у пациентов были взяты биоптаты тканей пораженных участков стопы. Для морфологического изучения биоптатов использовали гистохимические методы: окраски толуидиновым синим по Маллори в модификации Гейденгайна, ШИК-реакцию. В биоптате подсчитывали количество лейкоцитов, лимфоцитов, определяли индекс пролиферации протеина Кi-67, экспрессию протеина Р53.
Результаты и их обсуждение
До начала лечения у пациентов обеих групп обнаружена умеренная анемия. Уровень гемоглобина крови в среднем составил 90,4 ± 2,39 г/л. У большинства больных при поступлении наблюдался лейкоцитоз – (13,37 ± 6,46) · 109/л и повышение СОЭ – 67,4 ± 8,52 мм/ч.
В первой группе после проведенного лечения уровень гемоглобина увеличился на 13,8 %, содержание лейкоцитов уменьшилось на 24,21 % и уровень СОЭ снизился на 43,82 %. Во второй группе к концу стандартного лечения содержание гемоглобина увеличилось на 7 %. Зарегистрировано снижение уровня лейкоцитов на 23,71 %, СОЭ – на 17,95 %, но полной нормализации этих показателей не произошло.
При морфологическом исследовании до начала лечения воспаление носило выраженный характер во всех биоптатах. Края язвенного дефекта были инфильтрированы полиморфноядерными лейкоцитами. Количество нейтрофилов составило 75 %, лимфоцитов 25 %. Также обнаруживали сосудистые нарушения, дистрофические изменения тканей и отек. При иммуногистихимическом анализе индекс пролиферации протеина Кi-67 составил 2 %, экспрессия протеина Р53 – 2,9 %.
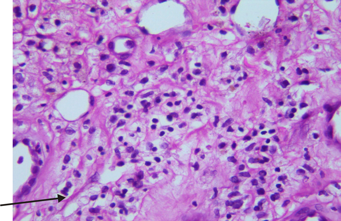
Лечение группы контроля (2-я) стандартным методом приводило к полному очищению трофической язвы от некротических масс на 21-е сутки, дно заполнялось грануляционной тканью. Поверхностный слой был представлен юной соединительной тканью, под ней определялся слой созревающей грануляционной ткани. В инфильтрате преобладали лимфоциты (70 %), количество нейтрофилов уменьшилось до 30 % (рис. 1).
Рис. 1. Лимфоцитарные инфильтраты в дерме (на 21-е сутки), контрольная группа. Метод исследования – иммуногистохимический. Окраска по Романовскому – Гимзе, увеличение ´200. Наблюдается пролиферация стволовых клеток. На поверхности соединительной ткани 5–6 рядов камбиальных клеток
При иммуногистохимическом исследовании грануляционной ткани экспрессия биомаркера Ki-67 составила 7 %, экспрессия биомаркера Р53 – 5 %.
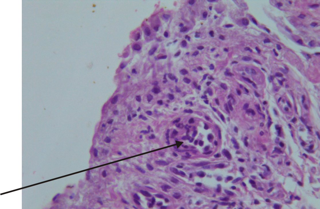
Комбинированное лечение СДС с применением мексидола и ронколейкина (1-я группа) продемонстрировало максимальный восстановительный эффект уже на 6–14-е сутки. К этим срокам снижались проявления сосудистых реакций, уменьшался отек окружающих тканей, усиливались процессы регенерации. Количество нейтрофилов и лимфоцитов служит маркером любого воспалительного процесса, в том числе и при СДС [5, 6]. В инфильтрате количество лимфоцитов составляло 85 %, нейтрофильных лейкоцитов уменьшилось до 15 % (рис. 2).
Рис. 2. Очищение поверхности язвы (на 6–14-е сутки), основная группа. Метод исследования – иммуногистохимический. Окраска по Романовскому – Гимзе, увеличение ´200. На 7-е сутки лечения препаратами мексидола и ронколейкина наблюдается очищение поверхности язвы
Показателем усиления репаративных процессов в трофической язве служили результаты гистохимического исследования с иммунным анализом: пролиферативный индекс биомаркера Ki-67 вырос до 15 %, экспрессия биомаркера P53 – до 5,9 %, аналогичные данные были получены в исследованиях других авторов [7, 8].
Иммуногистохимические методы исследования воспалительного процесса любой этиологии позволяют оценить динамику очищения и заживления раны. Применение в комплексном лечении оригинального иммунного препарата ронколейкина и антигипоксанта мексидола позволило добиться очищения трофических язв и гнойных ран в более короткие сроки и избежать ампутации, что значительно улучшило качество жизни пациентов.
Ронколейкин применяют в комплексном лечении гнойно-некротических осложнений СДС у больных сахарным диабетом с 1996 г. Впервые препарат был применен М.В. Егоренковым в лечении 167 больных в период 1996 по 2000 г. в 1-м Военно-морском клиническом госпитале и в Центре по лечению хирургической инфекции Санкт-Петербурга. Проведенная работа на основе применения имуногистохимического исследования биоптатов тканей стопы подтвердила эффективность использования ронколейкина и мексидола в очищении гнойных ран при СДС по сравнению с традиционным консервативным лечением.
Выводы
- Применение иммуногистохимических методов исследования биоптатов язв при лечении СДС дает возможность достоверно оценить динамику раневого процесса.
- Использование в комплексном консервативном лечении ронколейкина и мексидола способствует более быстрому уменьшению воспалительного процесса и очищению ран при СДС, что подтверждается увеличением индексов пролиферации Кi и апоптоза P53.
Финансирование. Исследование не имело спонсорской поддержки.
Конфликт интересов. Авторы заявляют об отсутствии конфликта интересов.
About the authors
S. N. Styazhkina
Izhevsk State Medical Academy
Author for correspondence.
Email: sstazkina064@gmail.com
ORCID iD: 0000-0001-5787-8269
MD, PhD, Professor, Department of Faculty Surgery
Russian Federation, IzhevskE. D. Bayramkulov
Stavropol Regional Clinical Hospital
Email: sstazkina064@gmail.com
postgraduate student, Department of Faculty Surgery
Russian Federation, StavropolN. A. Kiryanov
Izhevsk State Medical Academy
Email: sstazkina064@gmail.com
ORCID iD: 0000-0001-6944-2083
MD, PhD, Professor, Head of the Department of Pathological Anatomy
Russian Federation, IzhevskE. R. Sharifullina
Izhevsk State Medical Academy
Email: sstazkina064@gmail.com
ORCID iD: 0000-0001-5096-0243
forth-year student, Faculty of Medicine
Russian Federation, IzhevskA. A. Zharova
Izhevsk State Medical Academy
Email: sstazkina064@gmail.com
forth-year student, Faculty of Medicine
Russian Federation, IzhevskReferences
- Asaturova A.V. Isoforms of p53 protein: role in norm and pathology, features of detection and clinical significance. Successes of Modern Natural Science 2015; 3: 3–12.
- Belozertseva Yu.P., Kurlaev P.P., Gritsenko V.A. Diabetic foot syndrome: etiology, pathogenesis, classification and treatment. Man and his health 2016; 1: 33–40.
- Galstyan G.R., Tokmakova A.Yu., Egorova D.N. Clinical recommendations for the diagnosis and treatment of diabetic foot syndrome. Rany i ranevaya infektsiya 2015; 3: 60–81.
- Gomydova I.I., Bigeeva A.N. Diabetic foot. Description of the clinical case. Young scientist 2019; 20: 167–169.
- Zarivchatskiy M.F., Lukin P.S., Vinogradov A.B. Cytological study of the dynamics of the wound process in diabetic foot syndrome. Perm Medical Journal 2017; 3: 3–18.
- Zarivchatskiy M.F., Lukin P.S., Smirnova E.N., Kravtsova T.Yu., Blinov S.A. Features of diagnosis and treatment of surgical diseases on the background of diabetes mellitus: study guide. Perm 2021; 3: 164–169.
- Esipov V.K., Belozertseva Yu.P., Kurlaev P.P., Gritsenko V.A. Experience in the treatment of purulent-necrotic complications of diabetic foot syndrome using an original surgical technique. Creative Surgery and Oncology 2014; 3: 61–68.
- Zabudskaya K.N. Infinity marker Ki-67. MEDACH 2019; 1: 1–7.




