Diagnostic difficulties of small intestinal neuroendocrine tumors: clinical case
- Authors: Kotelnikova L.P.1,2, Shatrova N.A.2, Trukhacheva E.A.2
-
Affiliations:
- E.A. Vagner Perm State Medical University
- Perm Krai Clinical Hospital
- Issue: Vol 39, No 5 (2022)
- Pages: 144-149
- Section: Clinical case
- Submitted: 10.11.2022
- Accepted: 10.11.2022
- Published: 10.11.2022
- URL: https://permmedjournal.ru/PMJ/article/view/112494
- DOI: https://doi.org/10.17816/pmj395144-149
- ID: 112494
Cite item
Full Text
Abstract
The objective of the study was to demonstrate the difficulties of diagnosing the neuroendocrine tumor (NET) of the small intestine at the example of a concrete clinical case. In the case presented, clinical manifestations of the disease were nonspecific and the examination began from a low-informative method – multispiral computed tomography (MSCT) without a bolus contrast study that was the reason of wrong diagnosis for 7 months. The detection of the swollen lymph node in the mesentery was interpreted incorrectly; additionally, only endoscopic investigation of the stomach and large intestine was used. By means of MSCT-angiography we succeeded to diagnose not only the lymph node conglomerate in the mesentery, but to reveal a tumor sized 9´15 cm in the ileac wall. Laparoscopy with lymph node biopsy after its morphological study permitted to verify the diagnosis before the surgery.
To reduce the period of diagnostics of small intestinal NET, general practitioners should be informed on specific features of clinical manifestations of the disease and rational diagnostic methods. MSCT-angiography showed its efficiency in detection of small-sized small intestinal NET, and laparoscopy with biopsy of the mesentery lymph node will permit to verify the diagnosis before surgery.
Full Text
Введение
Нейроэндокринные опухоли тонкой кишки (НЕО) относятся к злокачественным заболеваниям, но в то же время они характеризуются медленным ростом и малыми размерами первичной опухоли [1]. Широкое применение современных методов обследования (мультиспиральной компьютерной томографии, магнитно-резонансной томографии в сочетании со сцинтиграфией рецепторов к соматостатину, баллонной и капсульной энтероскопии, однофотонной эмиссионной томографии) привело к увеличению обнаружения заболевания в 3–4 раза [2, 3]. Отсутствие специфических симптомов у большинства пациентов, длительный бессимптомный период, низкая осведомленность врачей общей практики об особенностях НЭО тонкой кишки затрудняет своевременную диагностику [4]. Особенностью этих образований служит интенсивный рост и большие размеры региональных и/или отдаленных метастазов по сравнению с первичной опухолью [5, 6]. Обычно размеры НЭО тонкой кишки не превышают 10–15 мм, а эндоскопическое исследование этого отдела кишечника затруднено. В результате в 10–15 % случаев первичный очаг обнаружить не удается [2, 3]. Учитывая невысокую чувствительность эндоскопического обследования в диагностике НЭО тонкой кишки, особое значение приобретает мультиспиральная компьютерная ангиография (МСКТ-ангиография).
Цель исследования – продемонстрировать трудности диагностики НЭО тонкой кишки на примере конкретного клинического случая.
Клинический случай
Пациентка О., 61 год, 15 октября 2021 г., находясь на санаторно-курортном лечении, отметила появления жжения в правом подреберье и дискомфорта по правому боковому фланку живота. Обратилась за медицинской помощью. Проведено ультразвуковое исследование органов брюшной полости, при котором в 5 см справа от пупка в брюшной полости обнаружено округлое образование с четкими контурами диаметром 20´17 мм. Пациентка направлена на КТ органов брюшной полости. Исследование было проведено без введения контрастного вещества, при котором обнаружен увеличенный до 20´19 мм лимфатический узел брыжейки тонкой кишки. Другой патологии в брюшной полости не найдено. Рутинные анализы крови патологии не выявили. Дополнительно проведена фиброгастроскопия (ФГС) и фиброколоноскопия (ФКС), при которых также органической патологии желудочно-кишечного тракта не найдено. Пациентке рекомендовано повторить КТ органов брюшной полости через 6 месяцев.
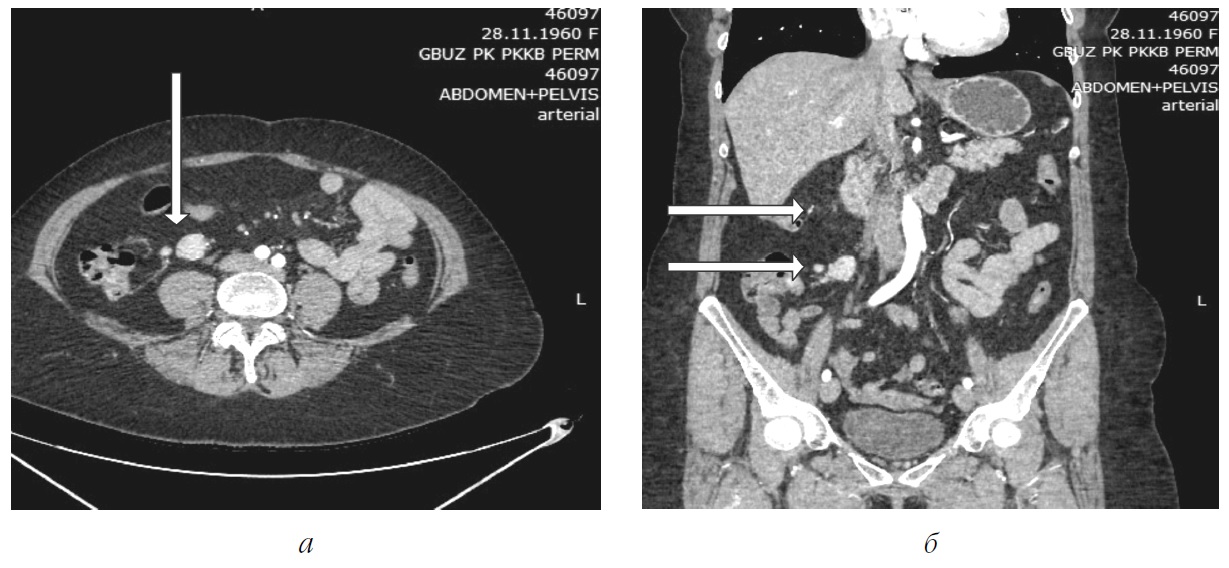
Через полгода на КТ с болюсным усилением от 06.05.2022 в терминальном отделе подвздошной кишки по брыжеечному краю обнаружено гиперваскулярное образование 9´15 мм, без четких контуров (рис. 1, а).
Рис. 1. Артериальная фаза. В терминальном отделе подвздошной кишки по брыжеечному краю определяется гиперваскулярное образование 9´15 мм без четких контуров: а – МСКТ-ангиография. Аксиальный срез; б – МСКТ-ангиография. Коронарный срез
Рис. 2. Артериальная фаза. По брыжейке тонкой кишки в области илеоцекального угла обнаружены два увеличенных лимфатических узлов, самый крупных из которых имел размеры 25´18 мм: а – МСКТ-ангиография. Аксиальный срез; б – МСКТ-ангиография. Коронарный срез
По брыжейке тонкой кишки в области илеоцекального угла найдена группа увеличенных лимфатических узлов, самый крупных из которых имел размеры 25´18 мм (рис. 1, б).
Пациентка была госпитализирована 1-е хирургическое отделение Пермской краевой клинической больницы. Рутинные анализы (общий анализ крови и мочи, биохимический анализ крови, коагулограмма) отклонений от нормы не зафиксировали.
При исследовании онкомаркеров уровень РЭА соответствовал 1,37 нг/мл, СА 19-9 – 6,55 МЕ/мл, что также укладывалось в референсное значение.
Учитывая возможность эндоскопического осмотра терминального отдела подвздошной кишки, пациентке проведена ФКС, при которой осмотрено 15 см терминального отдела тонкой кишки и органической патологии не найдено. 08.06.2022 выполнена диагностическая лапароскопия, при которой асцита, канцироматоза брюшины не обнаружено. Осмотрена слепая и подвздошная кишки, признаков опухоли не найдено. В брыжейке подвздошной кишки найден увеличенный плотноэластический консистенции узел диаметром 25 мм, произведена его биопсия. В результате морфологического исследования биоптата диагностирован метастаз нейроэндокринной опухоли G2, принято решение о хирургическом лечении. Перед оперативным вмешательством выполнена КТ органов грудкой полости и ФГС, при которых патологических изменений не найдено.
20.06.2022, через 7 месяцев после первичного обращения за медицинской помощью, пациентка была оперирована. На операции опухоль подвздошной кишки за счет ее локализации по брыжеечному краю отчетливо не определяется, пальпируется цепочка плотных лифоузлов в области илеоцекального перехода и наиболее крупный узел 25 мм в диаметре в брыжейке тонкой кишки. Произведена гемиколэктомия справа и лимфадиссекция.
При осмотре удаленного препарата в терминальном отделе подвздошной кишки в 2–3 см от баугиниевой заслонки обнаружено мелкоузловое образование диаметром 11 мм, выбухающее над слизистой светло-желтого цвета. На разрезе имелось уплотнение жировой клетчатки в области опухоли размерами 40´40´30 мм с четкими границами. Отмечено уплотнение брыжейки подвздошной кишки за счет отека и кровоизлияния (лапароскопическая биопсия лимфоузла от 08.06.2022). В брыжейке тонкой кишки обнаружены три увеличенных лимфатических узла диаметром 6, 10 и 25 мм. При гистологическом исследовании препарата митотический индекс составил 17, Ki – 67 – 18 %. Микроскопическое заключение – нейроэндокринная опухоль подвздошной кишки G2, pT3 pN1 (3+/0–), pL1, pV1, Pn1, Ro TILs-I; Bd3.
Послеоперационный период протекал без осложнений. Пациентка выписана на 10-е сутки, направлена в онкологический диспансер для проведения биотерапии.
В представленном случае клинические проявления заболевания были неспецифическими, а обследование начато с недостаточно информативного метода – МСКТ без болюсного контрастирования, что привело к задержке постановки правильного диагноза на 7 месяцев. Обнаружение увеличенного лимфатического узла в брыжейке тонкой кишки было неправильно интерпретировано, дополнительно проведено только эндоскопическое исследование желудка и толстой кишки. На низкую чувствительность МСКТ без болюсного усиления указывает A.K. Clift et al., поскольку НЭО тонкой кишки обычно имеют маленькие размеры [7]. При МСКТ-ангиографии удалось диагностировать не только конгломерат лимфатических узлов в брыжейке тонкой кишки, но и обнаружить опухоль размерами 9´15 мм в стенке подвздошной кишки. Наибольшую чувствительность МСКТ-ангиографии в выявлении НЭО тонкой кишки отмечают многие авторы с колебаниями от 50 до 85 % [3, 7, 8]. Обнаружение увеличенных лимфатических узлов в брыжейке тонкой кишки при этом методе обследования достигает более 94 % [3, 7, 8]. Эндоскопическое исследование желудочно-кишечного тракта с использованием баллонной или капсульной энтероскопии в сочетании с МСКТ-ангиографией обладает самой высокой чувствительностью в выявлении НЭО тонкой кишки [7]. Проведение лапароскопии с биопсией лимфатического узла после его морфологического исследования позволило нам верифицировать диагноз до операции.
Выводы
Для сокращения сроков диагностики НЭО тонкой кишки необходимо больше информировать врачей общей практики об особенностях клинических проявлений заболевания и рациональных методах его диагностики.
МСКТ-ангиография показала свою эффективность в обнаружении НЭО тонкой кишки небольших размеров, а проведение лапароскопии с биопсией лимфатического узла брыжейки тонкой кишки позволило верифицировать диагноз до операции.
Финансирование. Исследование не имело спонсорской поддержки.
Конфликт интересов. Авторы заявляют об отсутствии конфликта интересов.
About the authors
L. P. Kotelnikova
E.A. Vagner Perm State Medical University; Perm Krai Clinical Hospital
Author for correspondence.
Email: splaksin@mail.ru
MD PhD, Professor, Head of the Department of Surgery with Course of Cardiovascular Surgery and Invasive Cardiology
Russian Federation, Perm; PermN. A. Shatrova
Perm Krai Clinical Hospital
Email: splaksin@mail.ru
surgeon, 1st Surgical Unit
Russian Federation, PermE. A. Trukhacheva
Perm Krai Clinical Hospital
Email: splaksin@mail.ru
radiologist, Department of Computer Diagnostics
Russian Federation, PermReferences
- Durleshter V.M., Henrikh S.R., Avakimyan A.V., Dryyaeva L.H., Kirakosyan D.S. Experience of diagnosis and treatment of patients with intestinal neuroendocrine tumor. Nauchnyj vestnik zdravoohraneniya Kubani 2018; 2: 39–50.
- Lysanyuk M.V., Maistrenko N.A., Romashenko P.N. The difficulties of diagnosis and choice of treatment tactics of neuroendocrine tumors. Grekov’s Bulletin of Surgery 2018; 177 (1): 76–80.
- Lisanyuk M.V., Romashenko P.N., Maistrenko N.A. Features of diagnostics and treatment of patients with neuroendocrine tumors of the small intestine. Tavricheskiy Mediko-Biologicheskiy Vestnik. 2020; 23 (2): 100–109.
- Beltsevich D.G., Melnichenko G.A. Management of patients with differentiated neuroendocrine tumors of jejunum and ileum (according to international guidelines). Endocrine Surgery 2011; 2: 5–17.
- Watzka F.M., Fotter C., Miederer M., Weber M.M., Schad A., Lang H., Musholt T.J. Surgical treatment of NEN og small bowel: a retrospective analysis. Wold J. Surg. 2016; 40 (3): 749–758.
- Fata C.R., Gonzalez R.S., Liu E., Cates J.M., Shi C. Mesenteric tumor in Endomidgut small intestinal neuroendocrine tumors are a stronger indicator than lymph node metastasis for liver metastasis and poor prognosis. Am. J. Surg. Pathol. 2017; 41 (1): 128–133.
- Clift A.K., Kidd M., Bodei L., Toumpanakis C., Baum R.P., Oberg K., Modlin I.N., Frilling A. Neuroendocrine neoplasms of the small bowel and pancreas. Neuroendocrinology 2020; 110: 444–476.
- Sundin A., Arnold R., Baudin E., Cwikla J.B., Eriksson B., Fanti S., Fazio N., Giammarile F., Hicks R.J., Kjaer A., Krenning E., Kwekkeboom D., Lombard-Bohas C., O’Connor J.M., O’Toole D., Rockall A., Wiedenmann B., Valle J.W., Vullierme M. ENETS Consensus guidelines for the standards of care in neuroendocrine tumors: radiological, nuclear medicine&hybrid imaging. Neuroendocrinology 2017; 105 (3): 121–244.




