Stress-induced myocardial infarction in young women: сlinical observation
- Authors: Irkabaeva M.M.1, Zhuravleva A.S.1, Kurnikova I.A.1, Malyutina N.N.2, Avdoshina S.V.1, Polikarpova T.S.1, Kobelevskaya N.V.1, Bychkovа L.V.1
-
Affiliations:
- Peoples' Friendship University of Russia
- E.A. Vagner Perm State Medical University
- Issue: Vol 39, No 5 (2022)
- Pages: 150-160
- Section: Clinical case
- Submitted: 10.11.2022
- Accepted: 10.11.2022
- Published: 10.11.2022
- URL: https://permmedjournal.ru/PMJ/article/view/112496
- DOI: https://doi.org/10.17816/pmj395150-160
- ID: 112496
Cite item
Full Text
Abstract
The article presents a clinical observation of first appeared non-ST elevation myocardial infarction in a 43-year-old young woman with three risk factors: chronic stress, smoking, dyslipidemia. Significant stenosis of the LAD (left anterior descending artery) was diagnosed and surgical intervention was performed: plasty and stenting of the LAD.
Full Text
Введение
Сердечно-сосудистые заболевания (ССЗ) представляют глобальную проблему современного мира, занимая ведущие позиции в общей структуре заболеваемости населения и обусловливая более 50 % всех смертельных исходов [1–3]. По прогнозам, число таких смертей к 2030 г. возрастет до 23,3 млн случаев. Порядка 8,6 млн, включая летальные случаи ишемической болезни сердца (ИБС), сегодня приходится на женщин. Женщины, пережившие сердечный приступ ишемического генеза в возрасте до 50 лет, в два раза чаще умирают по сравнению с мужчинами этого же возраста. У женщин, перенесших сердечный приступ в возрасте старше 65 лет, смертность в течение первого года после выписки значительно выше по сравнению с мужчинами: 42 % против 24 % [4, 5].
Среди всех болезней системы кровообращения лидирующее место отводится ИБС и ее наиболее тяжелому проявлению – инфаркту миокарда (ИМ) [6]. Ежегодно в мире отмечается более 15 млн новых случаев ИМ [7].
В большинстве стран мира наибольшую актуальность представляет проблема высокой смертности от ИМ у населения трудоспособного возраста [8].
Основным этиологическим моментом развития ИБС является атеросклероз. С ускоренным развитием атеросклероза ассоциировано повышенное содержание триглицеридов в плазме крови [9]. Общепризнанным было мнение, что у женщин ИБС начинается позже, чем у мужчин, когда исчезает фактор «эстрогеновой защиты». Однако последние исследования показали, что «эстрогеновая» защищенность женщин «не препятствует» развитию ИБС, так как у женщин имеются особые, специфические факторы риска: прием пероральных контрацептивов, синдром поликистозных яичников, раннее менархе и раннее наступление менопаузы. Эти нарушения способны приводить к развитию патологической менопаузы и повлечь за собой раннее развитие ИБС [4, 5, 10, 11].
Большую роль играют изменения образа жизни молодых людей: гиподинамия, нерациональное питание (увеличение потребления легкоусвояемых углеводов, трансгенных жиров), что сопровождается развитием дислипидемии, сахарного диабета, артериальной гипертонии, абдоминального ожирения и метаболического синдрома. Также следует принимать во внимание низкое потребление овощей и фруктов, злоупотребление алкоголем, энергетическими напитками, употребление наркотических веществ.
У женщин чаще встречается дислипидемия и нарушения углеводного обмена, а повышенный уровень общего холестерина (ОХС) в большей, чем у мужчин, степени увеличивает риск ССЗ. Взаимосвязь между уровнем холестерина липопротеидов высокой плотности (ЛПВП) и ИБС более выражена у женщин, чем у мужчин [4, 7]. Повышение уровня холестерина ЛПВП на 1 мг/дл сопровождается снижением риска ИБС у мужчин на 2 %, а у женщин – на 3 %. У представительниц слабого пола большее прогностическое значение имеют снижение уровня холестерина ЛПВП и повышение триглицеридов (ТГ) [10, 11].
Курение же выступает как самостоятельный фактор риска развития ИМ у женщин в молодом возрасте. Женщины, выкуривающие более 35 сигарет в день, имеют риск ИБС в 20 раз выше нежели некурящие [12]. Частота развития ИМ у курящих молодых женщин (до 60 лет) составляла 15 лет назад 2–3 %, на сегодняшний день – 7–8 % [5, 12].
В качестве независимого фактора риска ИМ был выделен семейный анамнез, при этом его предикторная роль не зависела от возраста, пола, этнических, географических, социально-экономических и традиционных факторов риска [13].
Исследования последних лет доказывают, что психологические факторы, в том числе психоэмоциональный стресс, оказывают существенное влияние на возникновение, течение и прогноз ССЗ [14]. Однако в последнее время все чаще встречаются нетрадиционные психосоциальные факторы риска: тревога и хронический стресс, депрессия, индивидуально-личностные характеристики, социальная изоляция [14]. Патофизиологические механизмы, лежащие в основе их воздействия, могут быть разделены на прямой (физиологический) и косвенный (поведенческий). Поведенческий механизм включает в себя нездоровый образ жизни, несоблюдение прописанного режима, курение, алкоголизацию. К основным проявлениям патофизиологического механизма относят: повышение уровня кортизола в крови, усиленное функционирование тромбоцитов, нарушения в работе автономной нервной системы, дисфункцию эндотелия, снижение иммунитета [15]. Причины депрессии у больных ССЗ многофакторны и включают в себя генетическую предрасположенность, стрессовое воздействие в прошлом, неблагоприятные биологические и психологические факторы в настоящем [14]. Витальное изнеможение связано с состоянием хронического психологического стресса и потерей чувства контроля над ним. Реакции враждебности и агрессии, требующие больших энергетических затрат, свойственные многим больным ССЗ. Они также причастны и к возникновению витального изнеможения [16].
По данным Фрамингемского исследования, такие факторы, как низкий социальный уровень, психологическая атмосфера в семье, количество часов, проведенных на работе, и уровень ответственности на работе, играют большую роль в развитии, течении и прогнозе ИМ у женщин [17].
При этом личностные изменения отражают, с одной стороны, тревожно-ипохондрическую переработку пережитого в прошлом угрожающего жизни состояния, с другой – постоянное стрессорное воздействие ангинозных приступов, постепенно вызывая характерологические изменения депрессивно-ипохондрического типа с нарушением продуктивности психической деятельности.
На основании наблюдений, согласно которым развитию ИМ часто предшествует какое-либо стрессогенное событие, Holmes и Rahe разработали методику «Определение стрессоустойчивости», соотнеся с различными стрессогенными событиями жизни определенные баллы. Наивысшими баллами оцениваются смерть супруга, развод, болезнь, а наименьшими – поездка в отпуск, изменение привычек и т.д. При этом стрессогенные события и баллы суммируются. Важна не только интенсивность событий, но и их количество за определенное время, так как стресс имеет тенденцию накапливаться (накопленный стресс). Исследования показали, что значительному количеству ИМ и/или внезапной коронарной смерти в течение 6 предыдущих месяцев предшествовало повышение баллов по этой шкале [18].
ИМ является тяжелым соматическим заболеванием, вызывающим напряжение нервно-психической сферы, в условиях которого формируется психоэмоциональная дезадаптация [18]. У женщин чаще регистрируется безболевая форма ИМ, а также нетипичный для инфаркта болевой синдром, что приводит к позднему обращению за медицинской помощью.
Важную роль в патофизиологии ИБС играют процессы воспаления и иммунного ответа. В связи с этим изучению ассоциативных связей между полиморфизмом генов, вовлеченных в каскад реакций воспаления и иммунного ответа, экспрессией этих генов и риском развития сердечно-сосудистой патологии посвящено большое количество исследований.
Генетические факторы также вносят ощутимый вклад в формирование атеросклероза, в том числе и коронарного. Показано, что в значительной степени развитие ИБС обусловлено совокупным эффектом множества различных генов. К настоящему времени установлено порядка 65 полиморфных вариантов генов-кандидатов, ассоциированных с риском развития ИБС [19]. Одним из таких генов является аполипопротеин E (APOE). Мутации гена APOE приводят к семейной дислипопротеинемии (ДЛП), известной как гиперлипопротеинемия III типа, при которой повышенный уровень свободного холестерина (ХС) и ТГ в плазме является следствием нарушения метаболизма липопротеидов очень низкой плотности (ЛОНП) и низкой плотности (ЛНП) [19]. Аполипопротеин Е (апоЕ) представляет собой белок, состоящий из 299 аминокислот, организованных в домены амфипатических a-спиралей, и функционирует как транспортер ХС и липидов в лимфатическую систему, а затем – в кровь. Наиболее высокий уровень синтеза APOE обнаружен в печени, до 75 % суммарной продукции, а также в селезенке и почках [20], кроме того, нелокальными продуцентами являются моноциты в крови и макрофаги печени (клетки Купфера) [21].
Приводим собственное клиническое наблюдение молодой пациентки с ИМ без предшествующего коронарного анамнеза.
Клинический случай
Пациентка Д., 43 года, бухгалтер, поступила 11 ноября 2021 г. в кардиологическое отделение ГКБ им. С.С. Юдина с жалобами на загрудинные боли давящего характера с иррадиацией в верхнюю часть живота, однократный эпизод рвоты, также отмечала головные боли, слабость, утомляемость.
Из анамнеза. Считает себя больной с сентября 2021 г., когда стали беспокоить кратковременные давящие боли в области сердца, длительностью около 5 мин, по утрам, проходящие в покое. Боли возникали не каждый день. Вызывала скорую медицинскую помощь (СМП), на электрокардиограмме (ЭКГ) – без острой патологии, оставлена дома. Периодически беспокоили эпизоды судорог в нижних конечностях. В октябре на рабочем месте также отметила эпизод болей за грудиной давящего, сжимающего характера на фоне психоэмоционального стресса. За медицинской помощью не обращалась, постоянной терапии не получала.
В ноябре (с повторным приступом) вновь почувствовала дискомфорт за грудиной, изжогу, длительностью до 10 мин, а также беспокоили судороги, что послужило поводом для госпитализации в блок интенсивной терапии. На ЭКГ отмечался отрицательный зубец Т в грудных отведениях, был выставлен предварительный диагноз ИБС: Нестабильная стенокардия? Шейно-грудной остеохондроз.
Анамнез жизни. Пациентка родилась в Республике Кабардино-Балкария, была единственным ребенком в семье, росла и развивалась нормально. После окончания университета переехала в Москву. В настоящее время живет в съемной однокомнатной квартире с матерью 82 лет и ребенком. Разведена, одна воспитывает сына 8 лет. Образование высшее, работает бухгалтером. В работе педантична и внимательна, сильно тревожится за результат. Часто задерживается на работе, многократно перепроверяет проделанную работу. Накануне сдачи отчетов беспокоят головные боли и нарушение сна. Пациентка является единственным работающим членом семьи и часто испытывает стрессы, связанные с переутомлением и страхом потерять работу. Всё свободное время старается посвящать семье, испытывает чувство вины за то, что в связи с большой загруженностью на работе мало времени уделяет воспитанию сына. Питается нерегулярно, пьет много кофе, может выпивать до 5–6 чашек крепкого кофе в день. Перед важными отчетами на работе употребляет энергетические напитки, чтобы повысить внимание и концентрацию. За месяц до настоящей госпитализации отмечала нарушение сна, снижение аппетита и похудание, к врачам не обращалась, связывала данные симптомы с отчетным периодом на работе.
Курит в течение 20 лет по 20 сигарет в сутки, индекс курильщика: 20 пачка/лет, алкоголь не употребляет.
Наследственность по ССЗ не отягощена, коронарных событий и смертей в молодом возрасте у родственников не было. В течение последних 4 лет (с 2017 г.) беспокоят длительные головные боли, возникающие из-за регулярных стрессов и психоэмоционального перенапряжения на рабочем месте.
Особенности гинекологического анамнеза. Менструации с 12 лет, регулярные, умеренные, с циклом в 28 дней. Не замужем. Две беременности и одни роды. В 2003 г. прооперирована по поводу внематочной беременности (удаление кисты яичника и маточной трубы слева).
Объективно. При поступлении состояние средней тяжести, сознание ясное, положение активное. Не разговорчива, не знает, что говорить, как начать, как продолжить разговор, игнорирование не выявлено. Кожные покровы обычной окраски, цианоз отсутствует. Периферические отеки отсутствуют. Индекс массы тела 25,7 кг/м2. В легких дыхание жесткое, хрипы не выслушиваются, шум трения плевры отсутствует. При пальпации грудной клетки отмечалась локальная болезненность справа с иррадиацией в спину. ЧДД 16 в мин. Сатурация – 99 %. Область сердца без особенностей. Границы сердца не расширены. Тоны сердца приглушены. Ритм сердца правильный. ЧСС – 65 уд./мин. Пульс на периферических артериях удовлетворительного наполнения и напряжения, 68 в мин. АД 120/75 мм рт. ст. Живот не увеличен, при пальпации мягкий, безболезненный во всех отделах. Стул регулярный, мочеиспускание не нарушено. Симптом поколачивания отрицательный с обеих сторон. Неврологический статус: ориентирована в пространстве и времени, собственной личности. Чувствительная сфера не изменена. Менингеальный синдром отсутствует. Острого неврологического дефицита нет.
По данным лабораторных исследований. Группа крови A (IV), резус положительный (Rh+).
В общем анализе крови: гемоглобин – 139 г/л, эритроциты – 4,47·1012 г/л, лейкоциты – 8,7·109 г/л, тромбоциты – 263·109/л, лейкоцитарная формула без особенностей.
В биохимическом анализе крови: повышение ОХ – 5,97 ммоль/л, снижение ЛПВП – 0,70 ммоль/л, ТГ – 1,44 ммоль/л, ЛПНП – 2,67 ммоль/л, мочевина – 6,3 ммоль/л, креатинин – 73,4 мкмоль/л. Скорость клубочковой фильтрации (СКФ) – 107 мл/мин, мочевая кислота – 247,8 мкмоль/л, билирубин общий – 3,0 мкмоль/л, билирубин прямой (конъюгированный) – 1,8 мкмоль/л, СРБ – 2,63 мг/л.
Отмечалось повышение относительной плотности мочи до 1025 г/л. Кровь полуколичественно до 10,0 мкл. Нитриты – не обнаружено. Уробилиноген – до 3,4 мкмоль/л. Кетоновые тела – не обнаружено, глюкоза – не обнаружено, белок – не обнаружено, pH: 6,0 Ед.
Обращала на себя внимание динамика тропонина. На момент госпитализации уровень тропонина Т был в пределах нормы – 11,900 пг/мл, однако через 6 ч после поступления отмечалось увеличение уровня тропонина Т до 58,700 пг/мл. Уровень КФК-МВ с интервалом 0–6 не превышал нормальных значений.
Коагулограмма в пределах нормы.
По данным инструментальных исследований. ЭКГ при поступлении: синусовая брадикардия – ЧСС до 50 уд./мин, интервалы PQ 0,17 мс, QRS 0,08 мс, удлинение интервала QT 0,47 мс, инверсия зубцов Т в I, AVL, V1–V3. Нарушения ритма сердца не выявлены (рис. 1, а).
Рис.1. Электрокардиограмма (а) и рентгенограмма (б) пациентки Д. Синусовый ритм. Отрицательные «коронарные» зубцы Т в I, AVL, V1–V5. Картина нетрансмурального переднего инфаркта миокарда (без зубца Q). На рентгенограмме расширение сердечной тени в поперечнике
Суточное мониторирование ЭКГ по Холтеру: усредненная частота сердечных сокращений (ЧСС) составила 66 уд./мин. Минимальная ЧСС составила 49 уд./мин в 1:42 АМ. Максимальная составила ЧСС 129 уд./мин в 8:16 АМ. Зарегистрировано 3 наджелудочковых экстрасистолы, без нарушения проводимости. Изменения сегмента ST ишемического характера выявлены до 3 эпизодов.
При проведении эхокардиографии: левое предсердие – 3,6 (N 2,00 – 4,1), правое предсердие – 3,6 см (N < 4,4 ´ 4,8), правый желудочек 2,8 см (N 2,1 ´ 3,5), межжелудочковая перегородка 1,1 (N 0,6 – 1,0), задняя стенка ЛЖ 1,0 (N 0,6 – 1,0), ЛЖ КДР – 4,7 (N 3,8 – 5,5), КСР 2,8 см. Зон гипокинеза миокарда не выявлено, фракция выброса (ФВ) левого желудочка (ЛЖ) составила 66 %, признаков перегрузки правых отделов нет, жидкости в перикарде нет, плевральные синусы без признаков скопления жидкости. Систолическое давление в легочной артерии (СДЛА) – 21 мм рт. ст.
На рентгенограмме органов грудной клетки в прямой проекции – расширение сердечной тени в поперечнике. Легочный рисунок не изменен. Корни легких структурны, не расширены. Диафрагма обычно расположена, контуры ровные, четкие. Латеральные синусы свободны. Аорта без особенностей. Очаговых и инфильтративных теней, признаков гидропневмоторакса не выявлено (рис. 1, б).
Учитывая очаговые изменения на ЭКГ и повышение уровня тропонина, пациентка была направлена на коронароангиографию (КАГ).
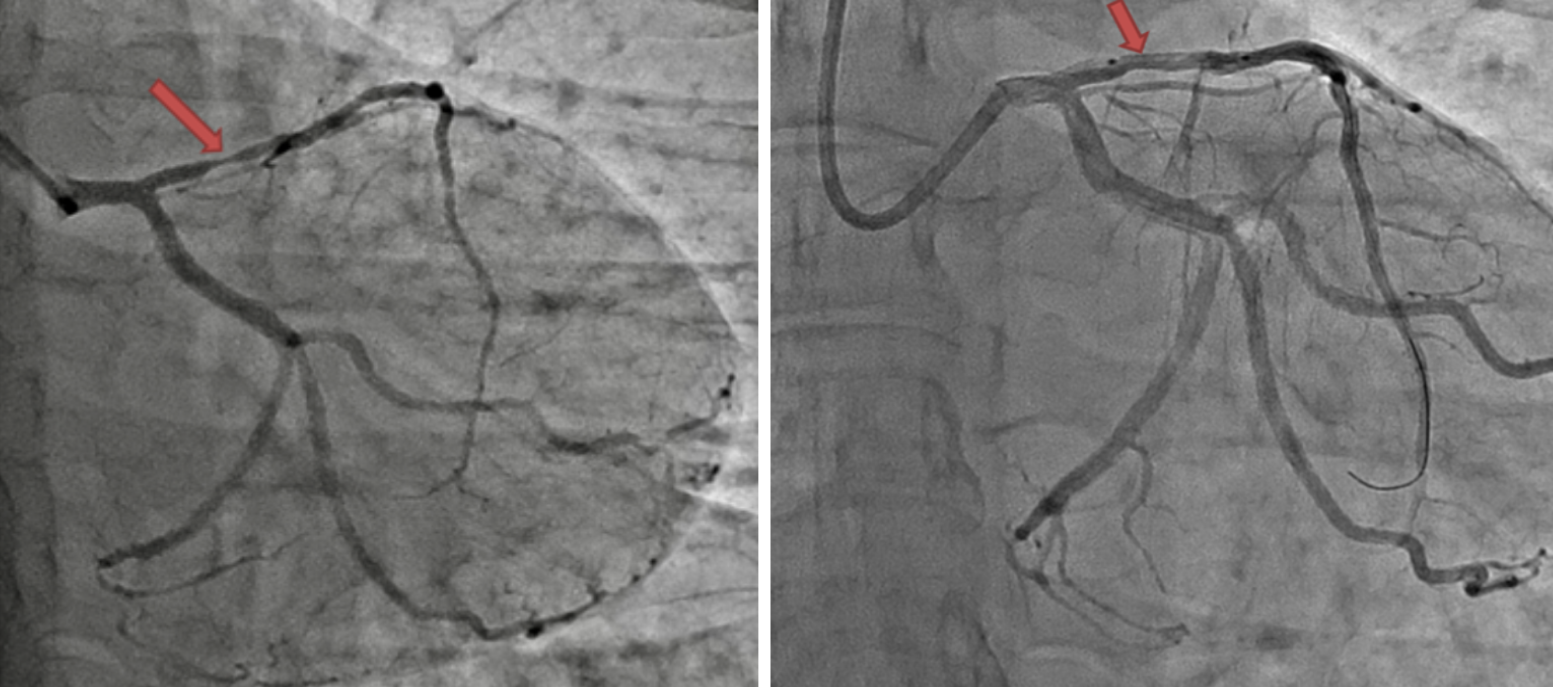
Заключение КАГ: ствол левой коронарной артерии не изменен, правая межжелудочковая артерия стенозирована в проксимальном сегменте на 85 %, далее неровности контуров, огибающая артерия – неровности контуров на всем протяжении, ветвь тупого края не изменена, задняя межжелудочковая артерия – не изменена, правая коронарная артерия – неровности контуров. Тип кровоснабжения – левый (рис. 2, а).
Рис. 2. Коронароангиографическое исследование (а), коронарная ангиопластика (б) пациентки Д. Фрагмент стеноза правой межжелудочковой артерии в проксимальном сегменте до вмешательства. Стент в расправленном состоянии в коронарной артерии. Результат после стентирования удовлетворительный
В связи с выявленным значимым стенозом правой межжелудочковой артерии было принято коллегиальное решение выполнить чрескожное коронарное вмешательство (ЧКВ) для оценки вероятности развития инфаркта – связанной артерии ПМЖВ.
На вторые сутки в отделении рентгенхирургических методов диагностики и лечения пациентке проведена баллонная ангиопластика с последующим стентированием коронарной артерии. Через интродьюсер введено 5000 ЕД гепарина, баллонная ангиопластика выполнена баллонным катетером 2,5´15 мм инфляцией 15 атм. На контрольной ангиографии остаточный стеноз 70 %. В область остаточного стеноза, в проксимальный сегмент правой межжелудочковой ветви позиционирован и имплантирован стент Biomatrix Flex 3,0´18 мм инфляцией 14 атм. Снимок в контроле: стент полностью расправлен, остаточных стенозов, диссекций и окклюзий боковых ветвей нет. Кровоток TIMI 3 (рис. 2, б).
Постоперационный период протекал без осложнений. Проводилось лечение двойной антитромботической терапией (ацетилсалициловая кислота + прасугрел), статинами, ингибиторами АПФ, бета-блокаторами. Самочувствие пациентки значительно улучшилось, ангинозных болей не отмечала, признаки сердечной недостаточности не нарастали. На серии ЭКГ сохранялись отрицательные зубцы Т в I, AVL, V1–V3 отведениях без клинически значимых нарушений ритма. Согласно национальным рекомендациям по острому коронарному синдрому без подъема сегмента ST [59], был выставлен диагноз: ИБС. Острый инфаркт миокарда без подъема ST переднеперегородочной области, верхушки левого желудочка. Однососудистое поражение коронарного русла: в проксимальной трети передней межжелудочковой ветви (ПМЖВ) – стеноз 85 %. Состояние после стентирования Biomatrix Flex. Дислипидемия. Пациентка была выписана из стационара.
С целью определения уровня психоэмоционального стресса пациентке проводился тест по шкале психологического стресса Ридера, по результатам которого был получен средний балл 1,5, что для женщин соответствует высокому уровню стресса (рис. 3).
Рис. 3. Шкала психологического стресса Ридера пациентки Д. Испытуемая с высоким уровнем психосоциального стресса, нуждающаяся в получении психологической помощи
Представленный клинический случай интересен тем, что ИМ развился у молодой 43-летней женщины, тогда как ИБС и непосредственно ИМ традиционно рассматриваются как болезнь мужчин среднего и пожилого возраста. Однако по данным литературы, отмечается тенденция к увеличению частоты развития ИМ у молодых женщин и увеличение их смертности.
У данной больной имеются три классических фактора риска ИБС: курение, психоэмоциональный стресс, дислипидемия при отсутствии отягощенного наследственного анамнеза по ССЗ, ожирения, сахарного диабета.
Курение в течение 20 лет по 20 сигарет в день – индекс пачка/лет 20 – безусловно, является значимым фактором риска ИБС. 1,5 балла по шкале Ридера расценивается как высокий стресс. Следует отметить, что стресс у данной больной хронический.
Дислипидемия, курение, вероятно, привели к раннему атеросклерозу коронарного русла с развитием ИМ.
Жалобы больной, очаговые изменения на ЭКГ, повышение уровня тропонина позволили верифицировать ИМ, провести КАГ, выявить значимый стеноз ПМЖВ, выполнить ЧКВ в объеме пластики со стентированием ПМЖВ. Поражение однососудистое, реваскуляризация миокарда полная, течение неосложненное.
Выявление вышеописанных психологических факторов у больных ССЗ позволили бы использовать их с прогностической целью, своевременно оказывать таким больным дополнительную психологическую и медикаментозную помощь, выбирать оптимальную стратегию их лечения. Психологические трудности больных ИМ эффективно поддаются устранению при наличии психологической реабилитации на общем фоне медикаментозного лечения.
С целью профилактики повторного ИМ данной пациентке настоятельно рекомендован отказ от курения, коррекция дислипидемии, коррекция психоэмоционального состояния. Возможно, потребуется обратиться к психологу или психотерапевту.
Выводы
- Современный ритм жизни привел к трансформации классических факторов риска ишемической болезни сердца. Так, можно обсуждать исключение мужского пола и пожилого возраста из указанного перечня в связи с утратой данными факторами риска актуальности.
- Немаловажное значение для здоровья человека имеет уровень психоэмоционального состояния. Режим «на износ» не способствует сохранению адаптационного равновесия и провоцирует серьезные патологии, в том числе быстрый дебют и прогрессирование ишемической болезни сердца, в частности развитие инфаркта миокарда.
Финансирование. Исследование не имело спонсорской поддержки.
Конфликт интересов. Авторы заявляют об отсутствии конфликта интересов.
About the authors
M. M. Irkabaeva
Peoples' Friendship University of Russia
Email: zhuravlevaas@mail.ru
ORCID iD: 0000-0003-0346-8920
postgraduate student, Department of Hospital Therapy with Courses of Endocrinology, Hematology and Clinical Laboratory Diagnostics
Russian Federation, MoscowA. S. Zhuravleva
Peoples' Friendship University of Russia
Author for correspondence.
Email: zhuravlevaas@mail.ru
ORCID iD: 0000-0001-8810-9999
Scopus Author ID: 56071043300
Candidate of Medical Sciences, Associate Professor, Department of Hospital Therapy with Courses of Endocrinology, Hematology and Clinical Laboratory Diagnostics
Russian Federation, MoscowI. A. Kurnikova
Peoples' Friendship University of Russia
Email: zhuravlevaas@mail.ru
ORCID iD: 0000-0002-5712-9679
SPIN-code: 8579-9455
MD, PhD, Professor of the Department of Hospital Therapy with Courses of Endocrinology, Hematology and Clinical Laboratory Diagnostics
Russian Federation, MoscowN. N. Malyutina
E.A. Vagner Perm State Medical University
Email: zhuravlevaas@mail.ru
ORCID iD: 0000-0002-3475-2505
MD, PhD, Professor, Head of the Department of Faculty Therapy №2, Occupational Pathology and Clinical Laboratory Diagnostics
Russian Federation, PermS. V. Avdoshina
Peoples' Friendship University of Russia
Email: zhuravlevaas@mail.ru
ORCID iD: 0000-0002-1393-8503
Scopus Author ID: 57215279474
Candidate of Medical Sciences, Associate Professor, Department of Internal Diseases with Course of Cardiology and Functional Diagnostics
Russian Federation, MoscowT. S. Polikarpova
Peoples' Friendship University of Russia
Email: zhuravlevaas@mail.ru
Scopus Author ID: 56564024100
Candidate of Medical Sciences, Assistant, Department of Hospital Therapy with Courses of Endocrinology, Hematology and Clinical Laboratory Diagnostics
Russian Federation, MoscowN. V. Kobelevskaya
Peoples' Friendship University of Russia
Email: zhuravlevaas@mail.ru
Candidate of Medical Sciences, Associate Professor, Department of Hospital Therapy with Courses of Endocrinology, Hematology and Clinical Laboratory Diagnostics
Russian Federation, MoscowL. V. Bychkovа
Peoples' Friendship University of Russia
Email: zhuravlevaas@mail.ru
ORCID iD: 0000-0001-8841-5515
Candidate of Medical Sciences, Associate Professor, Department of Hospital Therapy with Courses of Endocrinology, Hematology and Clinical Laboratory Diagnostics
Russian Federation, MoscowReferences
- Cardiovacular prevention 2017. Russian national recommendations. Russian journal of cardiology 2018; (6): 7–122. (in Russian).
- Glushchenko V.A., Irklienko E.K. Cardiovascular disease is one of the most important public health problems. Medicine and healthcare organization 2019; 4 (1): 56–63 (in Russian).
- Shalnova S.A. Conradi A.O., Karpov Yu. A. Analysis of mortality from cardiovascular diseases in 12 regions of the Russian Federation participating in the study "Epidemiology of cardiovascular diseases in various regions of Russia." Russian journal of cardiology 2012; 97–95: 6–11 (in Russian).
- Sharma K., Gulati M. Coronary Artery Disease in Women: A 2013 Update. Global Heart 2013; 8 (2): 105–112.
- Karazhanova L.K., Abelmazhinova G.D., Madieva M.I., Garner L.V. Clinical case of myocardial infarction in a young woman. Science and health care 2013; 6 (in Russian).
- Garganeeva A.A., Okrugin S.A., Borel K.N., Kuzheleva E.A., Parshin E.A. Myocardial infarction at the turn of the century: demographic and social trends. Clinical medicine 2016; 94 (6): 463–467. (in Russian).
- Andreeva N.S., Rebrova O. Yu., Zorini N.A. et al. Systems for assessing the reliability of scientific evidence and the persuasiveness of recommendations: comparative characteristics and unification prospects. Medical Technology Evaluation And Selection 2012; 4 (10): 10–24 (in Russian).
- Sichinava D.P., Kalaijyan E.P., Martsevich S.Yu., Kutishenko N.P. Characteristics of patients with acute myocardial infarction included in the "Profile-MI" register. Cardiosomatics 2017; 1: 5–88 (in Russian).
- ShimoNakanishi Y., Takao Urabe, Nobutaka Hattori et al. Polymorphism of the lipoprotein lipase gene and risk atherothrombotic cerebral infarction in the Japanese. Stroke 2001; 32: 1481–1486.
- Tereshchenko S.N., Uskach T.M., Kositsyna I.V. etc. Osobennosti serdechno-sosudistyh zabolevanij i ih lechenie u zhenshchin. Cardiology 2005; 1: 98–104 (in Russian).
- Lyakishev A.A. Features of ischemic heart disease in women. Medical encyclopedia. Medical articles. Cardiology 2007; 320 (in Russian).
- Jaimison M. ST Elevation Myocardial Infarction is Underdiagnosed and Undertreated in Women. ACLS certification Institute 2013.
- Yusuf S., Hawken S., Ounpuu S., Dans T., Avezum A. Effect of potentially modifiable risk factors associated with myocardial infarction in 52 countries (the INTERHEART study): case-control study. Lancet 2004; 11–17; 364 (9438): 937–952.
- Vingerhoets G. Perioperative anxiety and depression in open heart surgery. Psycho- somatics 1998; 39 (1): 30–37.
- Kiseleva M.G. Psychological factors and the course of cardiovascular diseases. National Psychological Journal 2012; 1 (7): 124–130 (in Russian).
- Parati G., Molinary E. Clinical psychology and heart disease. Milan: Springer 2010.
- Chandrasekhar J., Gill A., Mehran R. Acute myocardial infarction in young women: current perspectives. Int J Women Health 2018; 7 (10): 267–284.
- Rachinskij A.I., Kolosova L.I. Psihologicheskie problemy kardiologicheskih bol'nyh, perenesshih infarkt miokarda. Psihologicheskij vestnik Ural'skogo gosudarstvennogo universiteta 2002; 3: 246–256 (in Russian).
- Webb T.R., Erdmann J., Stirrups K.E. Wellcome Trust Case Control Consortium; MORGAM Investigators; Myocardial Infarction Genetics and CARDIoGRAM Exome Consortia Investigators. Systematic Evaluation of Pleiotropy Identifies 6 Further Loci Associated With Coronary Artery Disease. JACC 2017; 69: 823–836.
- Mahley R.W., Rall S.C. Apolipoprotein E: far more than a lipid transport protein. Annu Rev Genomics Hum Genet. 2000; 1: 507–537.
- Orekhov A., Novikov N., Oishi Y. Transcriptome analysis revealed inflammatory genes responsible for foam cell formation. Atherosclerosis 2018; 275: e116.
Supplementary files





