Клинический случай развития тромбоэмболии после тиреоидэктомии на фоне сопутствующих заболеваний
- Авторы: Стяжкина С.Н.1, Кирьянов Н.А.1, Зайцев Д.В.1, Тихомирова Г.И.1, Федулова Т.В.1, Филоненко М.В.1, Шамилова Я.Ф.1, Рыбаков И.В.1
-
Учреждения:
- Ижевская государственная медицинская академия
- Выпуск: Том 40, № 1 (2023)
- Страницы: 136-141
- Раздел: Случай из практики
- Статья получена: 30.11.2022
- Статья опубликована: 16.03.2023
- URL: https://permmedjournal.ru/PMJ/article/view/114842
- DOI: https://doi.org/10.17816/pmj401136-141
- ID: 114842
Цитировать
Полный текст
Аннотация
Цель. Изучение клинического случая после плановой тиреоидэктомии. Венозные тромбоэмболии в виде тромбоза глубоких вен или легочной эмболии находятся на третьем месте в мире по распространенности, уступая только инфаркту миокарда и инсульту. В эпидемиологических исследованиях ежегодная заболеваемость легочной эмболией варьируется от 39 до 115 человек на 100 000 населения; для тромбоза глубоких вен показатели заболеваемости колеблются от 53 до 162 на 100 000 населения. Данные поперечного анализа показывают, что заболеваемость венозной тромбоэмболией почти в 8 раз выше у лиц в возрасте старше 80 лет, чем в пятидесятилетнем возрасте. Тромбоэмболия легочной артерии – это остановка кровотока в ветви легочной артерии вследствие закупорки тромбом. Наиболее частыми местами образования тромбов являются глубокие вены нижних конечностей. Факторами риска тромбоэмболии могут быть хирургические операции, варикозная болезнь, возраст, избыточная масса тела. Это одно из самых распространенных и тяжелых осложнений послеоперационного периода. Приведен клинический случай развития тромбоэмболии после тиреоидэктомии, представлены результаты патоморфологических исследований, аутопсии, гистологических исследований.
Материалы и методы. Работа заключалась в изучении клинического случая тромбоэмболии легочной артерии после планового оперативного вмешательства по поводу узлового зоба. Проведено изучение гистологических срезов таких органов, как сердце, почки, желчный пузырь, щитовидная железа, печень.
Результаты. Результаты исследования показали, что тиреоидэктомия относится к операциям высокой категории сложности и большого риска развития множественных осложнений, а также возникновения летального исхода. Поэтому необходимо тщательное обследование всех органов и систем пациентов, особенно тех, которые входят в группы пожилого возраста и тяжелой коморбидной патологии. Это связано с тем, что риск летального исхода без должной подготовки к оперативному вмешательству с такими сопутствующими заболеваниями, которые имелись у данной пациентки (узловой коллоидный зоб, эмпиема желчного пузыря, болезнь Жильбера, персистирующий гепатит, сахарный диабет 2-го типа, гипертоническая болезнь, хроническая ишемическая болезнь сердца), был очень высок.
Выводы. Диффузно-узловой токсический зоб является сложной хирургической патологией, вовлекающей многие органы и системы. У больных с таким диагнозом требуется тщательный сбор анамнеза, проведение клинических, инструментальных и лабораторных методов исследования, в том числе успешного хирургического вмешательства.
Полный текст
Введение
Тромбоэмболия является самым опасным и сложным послеоперационным осложнением, которое представляет угрозу для жизни пациентов [1]. Большинство случаев ТЭЛА развивается в стационарах, причем 70–80 % составляет терапевтический профиль. Это грозное осложнение наиболее часто развивается при инсульте (56 %), инфаркте миокарда (22 %), острых терапевтических заболеваниях (16 %), новообразованиях (15 %), а также у лиц преклонного возраста (9 %). Тромбоэмболия легочной артерии при аутопсии обнаруживается у 12–15 %, при этом 68 % этих смертей можно предотвратить [2–5].
Цель исследования – изучение клинического случая после плановой тиреоидэктомии.
Материалы и методы исследования
Работа заключалась в изучении клинического случая тромбоэмболии легочной артерии после планового оперативного вмешательства по поводу узлового зоба. Проведено изучение гистологических срезов таких органов, как сердце, почки, желчный пузырь, щитовидная железа, печень.
Клинический случай
Пациентка Л., 71 г., страдала диффузным узловым зобом 2-й степени. В последние годы отмечала увеличение узлов. В течение последнего года на УЗИ щитовидной железы отмечалось увеличение узлов обеих долей. По данным УЗИ, сделанного в августе 2018 г.: левая доля 4´5 см, правая доля 3´4 см, что вызвало незначительную компрессию органов шеи. После консультации эндокринолога и хирурга ей рекомендовано оперативное лечение. В плановом порядке было проведено оперативное вмешательство. В раннем послеоперационном периоде через 6 ч после тиреоидэктомии наступило резкое ухудшение состояния с падением артериального давления и одышкой. Пациентка была переведена в реанимационное отделение. Реанимационные мероприятия по спасению жизни были неэффективны, произошла остановка сердца с летальным исходом. Констатирована биологическая смерть 01.09.2018. Данный случай летального исхода при тяжелой сопутствующей патологии (эмпиема желчного пузыря, гипертоническая болезнь, атеросклероз, кардиосклероз, СД 2-го типа, ХСН 2Б, болезнь Жильбера, персистирующий гепатит, диффузно-узловой токсический зоб) указывает на то, что пациенты пожилого возраста с тяжелой патологией должны проходить тщательное обследование с консультацией хирурга, терапевта, эндокринолога.
Результаты патоморфологических исследований
Операционный материал
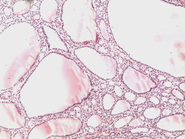
Щитовидная железа (рис. 1) размером 10´15 см, плотная, с множественными узлами различного размера. На разрезе железа красно-коричневого цвета с широкими прослойками фиброзной ткани. При микроскопическом изучении в железе видны узлы, между которыми имеется разрастание фиброзной ткани. Узлы представлены фолликулами щитовидной железы различного размера. Коллоид в них бледно-розовый, а тиреоциты уплощены. Заключение: узловой коллоидный зоб.
Рис. 1. Коллоидный зоб. Гематоксилин и эозин. Ув.х200
Результаты аутопсии
Тело женщины умеренного питания. Кожные покровы бледные. На передней поверхности в нижней части шеи имеется послеоперационный разрез длиной 7 см, стянутый шелковыми швами. При снятии швов рана представлена мягкими тканями красного цвета. Края раны чистые. При осмотре органов грудной полости выявлен двусторонний гидроторакс (700 мл в каждой плевральный полости) и гидроперикард (180 мл), Сердце увеличено в размерах, масса его – 410 г. Миокард дряблый, глинистого вида, неравномерного кровенаполнения и с большим количеством сероватых прослоек. Венечные артерии с плотными кальцинированными бляшками с сужением их просвета до 80 %. В аорте и других крупных сосудах множественные атеросклеротические бляшки с атероматозом и изъязвлением. Легкие увеличены в объеме, плотноэластической консистенции. Масса их увеличена. На разрезе легкие красновато-синюшного цвета, гладкие, блестящие. С поверхности разреза стекает большое количество темно-красной жидкости. В желудке множественные поверхностные дефекты размером от 0,2 до 0,5 см черного цвета. Печень не увеличена, на разрезе с «мускатным» рисунком. Желчный пузырь содержит гноевидное содержимое и несколько конкрементов. В почках видны единичные рубцовые втяжения. На разрезе корковый слой расширен, бледно-серого цвета. Пирамиды красного цвета.
Гистологическое исследование
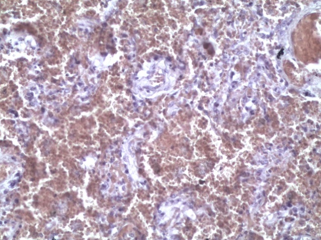
Легкие (рис. 2): в ткани легких виден альвеолярный отек, выраженное полнокровие всех сосудов. В отдельных участках легкого видно геморрагическое пропитывание ткани легких с единичными мелкими тромбами в мелких сосудах. Просвет мелких бронхов имеет «звездчатую» форму за счет спазма.
Рис. 2. Геморрагическое пропитывание ткани легкого. Гематоксилин и эозин. Ув.х200
Сердце (рис. 3): в миокарде выявлены контрактурные изменения кардиомиоцитов, множественные мелкие рубцы, преимущественно вокруг артерий, выраженный отек стромы, полнокровие и эритродиапедез.
Рис. 3. Фрагментация кардиомиоцитов. Гематоксилин и эозин. Ув.х200
Печень, желчный пузырь: в печени воспалительный инфильтрат в портальных трактах. В стенке желчного пузыря флегмонозное воспаление.
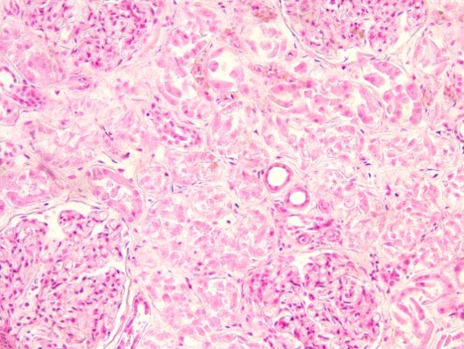
Почки (рис. 4): в корковом слое почек более 50 % канальцев с явлением некроза.
Рис. 4. Некронефроз. Гематоксилин и эозин. Ув.х200
Патолого-анатомический диагноз
Основное заболевание: острая коронарная недостаточность (стеноз коронарных артерий более 80 %, неравномерное кровенаполнение сосудов миокарда, фрагментация кардиомиоцитов, неравномерное кровенаполнение).
Осложнения: тромбоэмболия мелких ветвей лёгочной артерии, кардиопульмональный рефлекс (шоковые легкие, шоковые почки, гидроторакс, гидроперикард, множественные острые язвы желудка).
Сопутствующие заболевания: узловой коллоидный зоб, операция удаления железы, желчнокаменная болезнь, гипертоническая болезнь, хроническая ишемическая болезнь сердца.
Выводы
Пациентка Г., 71 г., страдала хронической ишемической болезнью сердца с выраженным стенозом коронарных артерий. В этих условиях ей проведена операция тиреоидэктомии, но в раннем послеоперационном периоде у больной развилась острая коронарная недостаточность, приведшая к кардиопульмональному рефлексу с развитием тромбоза мелких ветвей легочной артерии, шоковым легким, шоковым почкам и острым язвам желудка. Это и явилось непосредственной причиной смерти. Основной целью анализа данного клинического случая является рекомендация тщательного обследования больных с данной патологией, особенно в пожилом возрасте. Учитывая степени риска и абсолютные показания к операции, можно было избежать летального исхода у этой пациентки.
Финансирование. Исследование не имело спонсорской поддержки.
Конфликт интересов. Авторы заявляют об отсутствии конфликта интересов.
Вклад авторов равноценен.
Об авторах
Светлана Николаевна Стяжкина
Ижевская государственная медицинская академия
Автор, ответственный за переписку.
Email: sstazkina064@gmail.com
профессор кафедры факультетской терапии с курсами урологии, доктор медицинских наук, профессор
Россия, ИжевскНиколай Александрович Кирьянов
Ижевская государственная медицинская академия
Email: kirnik@list.ru
заведующий кафедрой патологической анатомии, доктор медицинских наук, профессор
Россия, ИжевскДмитрий Викторович Зайцев
Ижевская государственная медицинская академия
Email: sstazkina064@gmail.com
заслуженный врач-хирург, кандидат медицинских наук
Россия, ИжевскГалия Имамутдиновна Тихомирова
Ижевская государственная медицинская академия
Email: galla-tix@mail.ru
доцент кафедры общей хирургии, доктор медицинских наук, доцент
Россия, ИжевскТатьяна Васильевна Федулова
Ижевская государственная медицинская академия
Email: fedulova17@yandex.ru
преподаватель кафедры общей хирургии, доктор медицинских наук
Россия, ИжевскМария Викторовна Филоненко
Ижевская государственная медицинская академия
Email: filonenko-01@mail.ru
студентка IV курса
Россия, ИжевскЯзиля Фаритовна Шамилова
Ижевская государственная медицинская академия
Email: shamilovayaz@mail.ru
студентка IV курса
Россия, ИжевскИван Владимирович Рыбаков
Ижевская государственная медицинская академия
Email: filonenko-01@mail.ru
студент IV курса
Россия, ИжевскСписок литературы
- Tapson V.F. Тромбоэмболия легочной артерии (ТЭЛА) MD, Cedars-Sinai Medical Center, 2018, available at: https:// www.msdmanuals.com/ru
- Ганцев Ш.Х., Каримов А.И., Огий И.И., Хуснутдинов Ш.М., Ишмуратова Р.Ш., Маматова Г.У., Самышина Е.А., Кзыргалин Ш.Р. Тромбоэмболия легочной артерии: частота, причины и пути профилактики в онкологии. Журнал Креативная хирургия и онкология 2011; 4: 17.
- Бендерский Ю.Д., Киршин А.А. Тромбоэмболия легочной артерии: патофизиология, клиника, диагностика, лечение, профилактика. Ижевск 2015.
- Стяжкина С.Н., Чернядева Е.В., Карманова В.В., Сажина К.И., Коробейников В.И. Особенности диагностики и лечения тиреотоксикоза у пациента с тяжелой коморбидной патологией: клинический случай. Пермский медицинский журнал 2022; 39 (1): 119–123.
- Stavros V.C. и др. Рекомендации ESC по диагностике и лечению острой легочной эмболии разработанные в сотрудничестве с Европейским респираторным обществом (ERS). Российский кардиологический журнал 2020; 25 (8): 188.
Дополнительные файлы






