Морфологическая характеристика паховых лимфатических узлов при ВИЧ-инфекции
- Авторы: Гуляева Н.И.1, Фрейнд Г.Г.1, Шмагель Н.Г.2, Королевская Л.Б.3, Сайдакова Е.В.3, Шмагель К.В.3
-
Учреждения:
- Пермский государственный медицинский университет им. академика Е.А. Вагнера
- Пермский краевой центр по профилактике и борьбе со СПИД и инфекционными заболеваниями
- Институт экологии и генетики микроорганизмов Уральского отделения РАН
- Выпуск: Том 36, № 2 (2019)
- Страницы: 51-59
- Раздел: Методы диагностики и технологии
- Статья получена: 23.06.2019
- Статья одобрена: 23.06.2019
- Статья опубликована: 23.06.2019
- URL: https://permmedjournal.ru/PMJ/article/view/14324
- DOI: https://doi.org/10.17816/pmj36251-59
- ID: 14324
Цитировать
Полный текст
Аннотация
Цель. Установить морфологические изменения паховых лимфатических узлов у больных 4а-стадией ВИЧ-инфекции, принимающих антиретровирусную терапию.
Материалы и методы. Исследование проводилось у 12 ВИЧ-инфицированных пациентов, находящихся на лечении в ГКУЗ ПК «Пермский краевой центр по профилактике и борьбе со СПИД и инфекционными заболеваниями», имеющих 4а-стадию ВИЧ-инфекции и принимающих в течение 2 лет антиретровирусную терапию. Выделены две группы пациентов: 1-я – 6 человек, у которых количество СD4+-лимфоцитов в крови составляло более 350 в 1 мкл; 2-я – 6 человек с содержанием СD4+-лимфоцитов в крови менее 350 в 1 мкл. Паховые лимфатические узлы (ПЛУ) забирали под местной анестезией, готовили гистологические препараты по обычной схеме, окрашивали гематоксилином и эозином, трехцветной окраской по Массону. В иммуногистохимических реакциях оценивали экспрессию маркеров Ki-67 и CD4+.
Результаты. Установлено изменение гистоархитектоники лимфоузлов в результате массивного развития склероза в области ворот, капсулы и трабекул. На фоне склероза происходило обеднение лимфоцитами, изменение структуры стромальных клеток и неоангиогенез во всех зонах лимфоузла. В участках склероза выявлена гибель лимфоцитов. У пациентов 2-й группы установлено более активное развитие фолликулов с центрами размножения в корковом веществе лимфоузлов и увеличение количества клеток, экспрессирующих маркер Ki-67.
Выводы. В ПЛУ развитие склеротических процессов вызывает гибель Т-лимфоцитов, которые, в свою очередь, являются источником образования лимфотоксина-β. Утрата CD4+ Т-лимфоцитов сопровождается дефицитом лимфотоксина-β и приводит к потере уже самих фибробластических ретикулярных клеток, которые через продукцию IL-7 поддерживают жизнедеятельность Т-клеток.
Полный текст
ВВЕДЕНИЕ
ВИЧ-инфекция является одной из наиболее актуальных медицинских проблем XXI в., что связано с ежегодным увеличением числа инфицированных и высоким уровнем летальности [6]. В настоящее время в мире насчитывается около 40 млн заболевших, и их количество постоянно растет. Вирус иммунодефицита, обладая тропизмом к лимфоидной ткани, поражает CD4+-лимфоциты, моноциты и дендритные клетки, которые мигрируют в лимфатические узлы, вызывая развитие лимфаденитов в виде фолликулярной гиперплазии, завершающейся инволюцией лимфоидной ткани в поздние стадии заболевания [3]. В лимфатических узлах постоянно происходит размножение ВИЧ, что не только определяет массовую гибель и снижение числа CD4+-T-клеток крови, но и сопровождается развитием локального и системного воспаления. Применяемая в настоящее время высокоактивная антиретровирусная терапия (АРТ) подавляет репликацию вируса, повышает численность CD4+-T-лимфоцитов крови и приводит к увеличению продолжительности жизни пациентов. Основная часть работ, направленных на исследование состояния иммунитета при ВИЧ-инфекции, проводится на клетках крови, в то время как подавляющее большинство лимфоцитов находится в лимфоидной ткани. В настоящее время недостаточно изучены морфологические изменения лимфоидных органов при ВИЧ-инфекции, отсутствует целостное представление об их роли в нарушении пролиферации и дифференцировки иммунокомпетентных клеток у ВИЧ-инфицированных пациентов на фоне АРТ.
Цель работы – установить морфологические изменения паховых лимфатических узлов у больных 4а-стадией ВИЧ-инфекции, принимающих антиретровирусную терапию.
МАТЕРИАЛЫ И МЕТОДЫ ИССЛЕДОВАНИЯ
Проведено гистологическое исследование паховых лимфатических узлов (ПЛУ) у 12 ВИЧ-инфицированных пациентов, находящихся на антиретровирусной терапии в ГКУЗ ПК «Пермский краевой центр по профилактике и борьбе со СПИД и инфекционными заболеваниями». У пациентов диагностирована 4а-стадия ВИЧ-инфекции по классификации В.И. Покровского (1989). Все больные подписали письменное информационное согласие на участие в исследовании. Пациенты принимали АРТ в течение 2 лет, показателем ее эффективности явилось полное прекращение репликации вируса: концентрация вируса в крови была менее 50 копий в 1 мл. Пациенты были разделены на две группы: 1-я – ВИЧ-инфицированные лица (6 человек), у которых количество СD4+-Т-лимфоцитов за время лечения превысило уровень 350 в 1 мкл крови (наличие иммунологического ответа на АРТ); 2-я – ВИЧ-инфицированные субъекты (6 человек), у которых количество СD4+-Т-клеток в крови за время терапии не достигло этого значения (иммунологические неответчики). Паховые лимфатические узлы забирали под местной анестезией, фиксировали в 4%-ном параформальдегиде, заливали в парафин. Парафиновые срезы толщиной 4–5 мкм окрашивали гематоксилином и эозином, трехцветной окраской по Массону. Для определения пролиферативной активности клеток оценивали экспрессию маркера Ki-67, для идентификации CD4+-T-лимфоцитов – экспрессию маркера CD4. Для этого использовали меченные пероксидазой моноклональные антитела, полученные от клона MIB-1 и клона 4В12 соответственно. Иммуногистохимическое окрашивание проводили по стандартной методике с использованием 3,3-диаминобензидина. Изготовление гистологических препаратов и их окрашивание проведено в лаборатории Тима Шаккера (Университет Миннесоты, США). Анализ изображения осуществляли с помощью морфометрической установки Olympus. В поле зрения микроскопа при увеличении 10×100 подсчитывали все клетки и определяли процент клеток, дающих положительную реакцию на Ki-67-белок. Для статистического анализа использовали метод Стьюдента для независимых средних величин.
РЕЗУЛЬТАТЫ И ИХ ОБСУЖДЕНИЕ
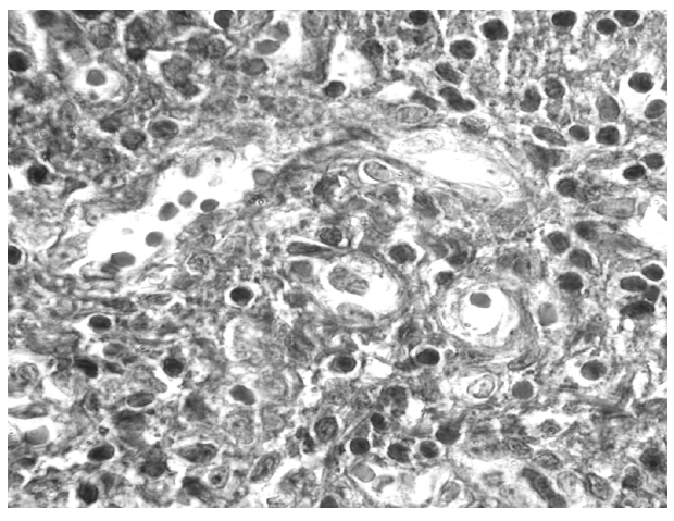
Паховые лимфатические узлы ВИЧ-инфицированных пациентов характеризовались повышенной плотностью. На разрезе отмечалось изменение гистоархитектоники лимфоузлов, их зоны определялись нечетко: паракортикальная зона не выявлялась, а мозговое вещество было значительно уменьшено в размерах. У всех больных наблюдался выраженный склероз в области ворот ПЛУ, а также утолщение капсулы и трабекул. Краевой и корковые синусы на большем протяжении были склерозированы. Склеротические процессы наблюдались в ПЛУ повсюду, начиная от перицеллюлярного коллагеногенеза до образования крупных участков фиброза во всех зонах, особенно в области ворот и трабекул. Наличие перицеллюлярной тонкопетлистой сети коллагеновых волокон свидетельствует о продолжающемся процессе фиброзирования лимфоузлов, несмотря на двухлетнюю эффективную АРТ (рис. 1).
Рис. 1. Сеть коллагеновых волокон в корковом веществе. Окраска по Массону. Ув. 10×100
Во всех зонах лимфоузлов происходили изменения стромальных клеток и сосудистого компонента. В корковом веществе наблюдалось формирование посткапиллярных венул, образующих многочисленные ветвления как в корковом, так и в мозговом веществе. Стенки венул были утолщены в результате набухания эндотелия и за счет склероза. Наряду с разрастанием посткапиллярных венул в лимфоузлах происходило образование множества тонкостенных сосудов капиллярного типа, густо располагавшихся в корковом и мозговом веществе. Причиной неоангиогенеза, вероятно, является развивающаяся на фоне склероза лимфоузла гипоксия, которая вызывает стабилизацию фактора транскрипции HIF-1 в эндотелиальных клетках сосудов, их активизацию и синтез ангиогенных факторов: VEGF и его рецепторов [7].
В ПЛУ плотность расположения лимфоцитов была неравномерной, наблюдались участки разрежения с обнажением ретикулярной стромы. Стромальные клетки увеличивались в размерах, некоторые из них теряли отростчатую форму, обособлялись от других клеток. Цитоплазма стромальных клеток характеризовалась неравномерной эозинофилией и наличием в ней зернистости. Ретикулярные клетки стромы подвергались гипертрофии, формировали кластеры. Трансформация клеток стромы лимфоузлов, по мнению В.А. Цинзерлинга [8], является характерным признаком ВИЧ-инфекции на ранних стадиях заболевания. Изменение формы клеток с потерей отростков свидетельствует об усилении их фагоцитарной активности, однако при этом снижаются их антигенпрезентирующие свойства [5]. В нашем исследовании в цитоплазме некоторых стромальных клеток выявлялись фрагменты лимфоцитов. Цитоплазма стромальных клеток часто подвергалась фрагментации, встречались клетки стромы с пикнотичными и деформированными ядрами, что, возможно, связано с непосредственным действием вируса. Известно, что клетки стромы, в частности дендритные клетки лимфоузлов, первыми захватывают вирус иммунодефицита и являются его активными продуцентами [3]. Также имеются данные [16] о том, что стромальные клетки лимфоузлов являются прямыми мишенями при некоторых вирусных инфекциях, что приводит к разрушению стромы, нарушению формирования Т- и В-зависимых зон, увеличению фиброза и подавлению иммунитета. В синусах мозгового вещества, а также в корковых синусах, не подверженных склерозу, наблюдалось увеличение количества макрофагов. В макрофагах отмечались признаки активного фагоцитоза. Согласно ранее представленной гипотезе [9], при ВИЧ-инфекции макрофаги поддерживают хроническое вялотекущее системное воспаление, что обусловлено их активацией по альтернативному пути в результате воздействия на них циркулирующих иммунных комплексов. Альтернативно активированные макрофаги вызывают смещение баланса CD4+-T-клеток в сторону образования Th2-лимфоцитов, стимулируют фибробласты к синтезу коллагеновых волокон, следствием чего является развитие склероза.
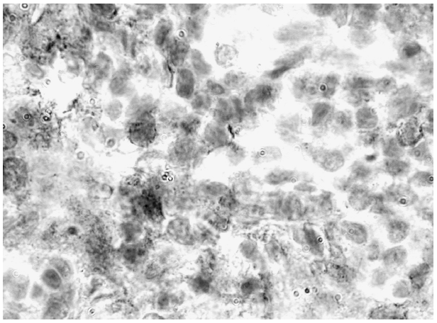
Лимфоидная ткань ПЛУ была представлена корковым веществом, содержащим первичные и вторичные фолликулы разных размеров, и мозговым веществом. Вторичные фолликулы характеризовались малыми размерами и неправильной формой. Однако у пациентов 2-й группы определялись и крупные фолликулы с хорошо выраженными центрами размножения (ЦР) и широкой мантийной зоной, состоящей из 6–10 слоев равномерно расположенных лимфоцитов. ЦР фолликулов были представлены стромальными клетками, макрофагами, единичными центробластами, малыми и средними лимфоцитами. Иммунобласты и митотически делящиеся клетки практически не встречались. Большая часть клеток в ЦР экспрессировала Ki-67-белок (рис. 2).
Рис. 2. Ki-67-положительные клетки в центрах размножения фолликулов и в корковом веществе. ИГХ: Ki-67. Ув. 10×4
У больных 1-й группы вторичные фолликулы выявлялись значительно реже по сравнению со 2-й группой. Многие фолликулы у пациентов 1-й группы не имели четких границ или отсутствовали.
Клеточный состав коркового вещества в тех участках, где в меньшей степени выражен склероз, был представлен лимфоцитами, в основном малыми и средними. Достаточно часто встречались большие лимфоциты, а иммунобласты выявлялись редко. Плазмобласты и плазмоциты определялись в основном в межфолликулярной зоне, где они формировали небольшие скопления, в то время как в мозговом веществе они практически полностью отсутствовали. В корковом и мозговом веществе равномерно располагались Кi-67-положительные клетки. При подсчете процентного соотношения Кi-67-положительных клеток среди клеток коркового вещества ПЛУ установлено, что их число во 2-й группе больных преобладало над их количеством в 1-й группе (21,6 и 12,3 % соответственно, р < 0,001). Среди Кi-67-положительных клеток во 2-й группе количество клеток с выраженной и умеренной экспрессией также было выше, чем их количество у больных 1-й группы. Такая же динамика относительного количества пролиферирующих клеток была характерна и для мозгового вещества: в 1-й группе Ki-67-положительные клетки составляли 11,8 %, во второй – 21,2 % (p < 0,001).
Увеличение количества Ki-67-положительных клеток у больных 2-й группы, наличие в корковом веществе ПЛУ вторичных фолликулов с активно пролиферирующими клетками свидетельствует об иммунной активации лимфоидной ткани. Активация иммунитета в ранние стадии ВИЧ-инфекции происходит в результате стимуляции лимфоцитов вирусом иммунодефицита и его антигенами, а также в связи с поступлением бактериальных продуктов из кишечника через разрушенный кишечный барьер [11]. При развитии хронической фазы инфекции опустошение лимфоидной ткани кишечника ведет к увеличению в крови больных концентрации бактериальных продуктов, что сопровождается стимуляцией макрофагов и дендритных клеток, ростом концентрации провоспалительных цитокинов (ИЛ-1, ИЛ-6, ИЛ-8, интерферонов) и сывороточных маркеров воспаления в крови, что, в свою очередь, является причиной активации иммунокомпетентных клеток. Развитие системного воспаления при ВИЧ-инфекции поддерживает высокий уровень пролиферации лимфоцитов в лимфоузле, несмотря на проводимую АРТ, что подтверждается более высоким содержанием Ki-67-положительных клеток во всех зонах ПЛУ у больных 2-й группы. Увеличение числа клеток с положительной экспрессии Ki-67-белка у больных 2-й группы свидетельствует об укорочении времени полужизни лимфоцитов и увеличении скорости их обновления. Однако отсутствие иммунобластов в фолликулах и клеток плазмоцитарного ряда в мозговом веществе говорит о нарушении процессов дальнейшей дифференцировки лимфоцитов. Изучение пролиферации Т-лимфоцитов на фоне эффективного подавления вирусной нагрузки при АРТ показало, что она снижается по сравнению с уровнем до лечения, но полного восстановления иммунной системы у больных не происходит [13].
Иммунная активация лимфоцитов при ВИЧ-инфекции приводит к апоптозу Т-клеток, который рассматривается как один из механизмов истощения популяции CD4+- Т-лимфоцитов [12]. В наших исследованиях в участках склероза: в субкапсулярной зоне, вдоль разрастающихся трабекул и в области ворот лимфоузла определялись скопления лимфоцитов, у которых наблюдались изменения формы ядер с конденсацией хроматина, или фрагментация клеток с образованием апоптотических телец. Иногда в участках склероза, особенно в субкапсулярной зоне, выявлялся так называемый «краш-феномен», при котором ядра лимфоцитов приобретали вытянутую форму в виде базофильных тяжей ядерного материала, напоминающих «струи» и «потоки». Такие изменения клеток описаны при мелкоклеточном раке, когда опухолевые клетки, становясь хрупкими, легко деформируются [1]. По мнению Ю.Р. Зюзя и соавт. [2], при ВИЧ-инфекции происходят апоптотические изменения клеток с последующим их некрозом. C. Doitsh и соавт. [14] установили, что Т-лимфоциты, пораженные ВИЧ, в лимфоузле погибают путем апоптоза через активизацию каспазы-3, в то время как лимфоциты, не пораженные вирусом, погибают путем пироптоза, при котором каспаза-1 нарушает целостность цитолеммы и вызывает некроз клетки. При этом выделяются ИЛ-1β и ИЛ-18, не только способствующие гибели большого числа лимфоцитов, но и запускающие воспалительную реакцию. В наших исследованиях апоптотические тельца в виде мелкой зернистости определялись в цитоплазме стромальных клеток и макрофагов, а также выявлялись между клетками стромы (рис. 3).
Формирование тотального склероза в лимфатическом узле в результате развития при ВИЧ-инфекции хронического воспаления сопровождается утратой фибробластических ретикулярных клеток, являющихся источником ИЛ-7 и других цитокинов, обеспечивающих пролиферацию и дифференцировку
Рис. 3. Стромальные клетки лимфоузла, дающие положительную окраску на CD4+ в виде зернистости, выявляемой в цитоплазме. ИГХ: СD4+. Ув. 10×100
лимфоцитов [11, 18]. Затруднение доступа Т-лимфоцитов к ИЛ-7 нарушает процесс их самоподдержания. В исследованиях D. Jacob и соавт. [17] показано, что фибробластические ретикулярные клетки создают в лимфоузле трехмерную сеть, обеспечивающую перемещение и взаимодействие лимфоцитов, и оптимальные условия для их контакта с регуляторными факторами. Изменение морфологии и связей между стромальными клетками, перестройка сосудистого компонента нарушают синтез и распределение цитокинов, факторов роста и других посредников, обеспечивающих миграцию лимфоцитов и эффективное формирование иммунного ответа. Более того, развитие склеротических процессов в лимфоузле при ВИЧ-инфекции приводит к гипоксии [15], создающей условия для гибели лимфоцитов. Гипоксия способствует неоангиогенезу, обеспечивающему усиленный приток лимфоцитов, в том числе Т-reg, которые синтезируют трансформирующий ростовый фактор β1(TGF-β1), активизирующий фибробласты к синтезу коллагена. Известно [4], что дефицит ИЛ-7 снимает его ингибирующее влияние на функцию Т-reg-лимфоцитов. Высокий уровень продукции TGF-β1 был обнаружен у зараженных вирусом иммунодефицита макак и у пациентов с ВИЧ-инфекцией, что сопровождалось усилением синтеза коллагеновых волокон в лимфоидной ткани [19]. Продукция факторов, способствующих развитию склероза в лимфоузлах, осуществляется также пораженными при ВИЧ-инфекции макрофагами [9], которые при взаимодействии с апоптотическими клетками активно продуцируют TGF-β1. Иммунная активация лимфоцитов в условиях гипоксии и дефицита регуляторных факторов в результате развития склероза приводит клетки к гибели. Массовая гибель лимфоцитов, наблюдаемая особенно в зонах склеротических изменений лимфоузла, возможно, является причиной значительного снижения концентрации Т-лимфоцитов в крови. В ранее проведенных [10] исследованиях с помощью проточной цитофлуориметрии установлено, что уменьшение числа лимфоцитов в периферической крови происходит за счет наивных CD4+-лимфоцитов. Дефицит CD4+-T-клеток индуцирует процесс гомеостатической пролиферации. Это может происходить как за счет влияния IL-7, так и за счет образования при разрушении клеток внеклеточной ДНК, циркулирующей во всех жидких средах организма [4]. Анализ экспрессии маркера Ki-67 показал, что деление наивных CD4+-T-клеток в лимфатическом узле протекает значительно более интенсивно по сравнению с кровью. Пролиферирующие лимфоциты, не получая дальнейших стимулов к дифференцировке в результате поражения стромальных клеток и развития склеротических процессов в лимфоузле, подвергаются гибели путем апоптоза или некроза, а «обломки» апоптотировавших элементов фагоцитируются стромальными клетками и тканевыми макрофагами. Таким образом, согласно современной концепции [12], высокий уровень гибели Т-лимфоцитов в лимфоузлах определяется не столько прямым действием вируса на Т-лимфоциты, сколько иммунной активацией CD4+-Т-лимфоцитов в результате действия разных факторов, в том числе и развитием хронического воспаления. Результатом воспаления является формирование склеротических процессов в лимфатическом узле, приводящих к нарушению взаимодействия лимфоцитов и стромальных клеток.
Массивная гибель лимфоцитов способствует активизации фагоцитарной функции стромальных клеток ПЛУ, и вся строма органа участвует в утилизации разрушающихся клеток. При иммуногистохимическом определении лимфоцитов, экспрессирующих маркер CD4+, слабое положительное окрашивание выявлялось лишь в лимфоцитах, расположенных в синусах лимфоузла. Во всех зонах ПЛУ, исключая мантийную зону ВФ, стенки сосудов и участки склероза, положительная реакция на CD4+-лимфоциты определялась в виде мелкой зернистости в цитоплазме стромальных клеток и макрофагов синусов (см. рис. 3). Создавалось впечатление, что осуществляется фагоцитоз стромальными клетками всех зон CD4+-лимфоцитов, подвергшихся массивному разрушению. Лимфатический узел, таким образом, становился «кладбищем» для гибнущих лимфоцитов. В результате в ПЛУ формируется замкнутый круг: развитие склеротических процессов в лимфоузле вызывает гибель Т-лимфоцитов, которые, в свою очередь, являются источником образования лимфотоксина-β [19]. Утрата CD4+-Т-лимфоцитов сопровождается дефицитом лимфотоксина-β и приводит к потере уже самих фибробластических ретикулярных клеток, которые через продукцию IL-7 поддерживают жизнедеятельность Т-клеток.
ВЫВОДЫ
- В ПЛУ ВИЧ-инфицированных больных наблюдаются развитие тотального склероза, захватывающего все зоны лимфоузла, и изменение структуры стромальных клеток, сохраняющиеся на фоне эффективной АРТ.
- При ВИЧ-инфекции происходит нарушение гистоархитектоники ПЛУ с исчезновением паракортикальной зоны и уменьшением размеров мозгового вещества.
- У всех пациентов, получающих АРТ, происходит гибель лимфоцитов, более выраженная в участках склероза.
- У пациентов с дискордантным ответом иммунной системы на АРТ наблюдается более выраженная активация иммунитета, проявляющаяся в развитии вторичных лимфоидных фолликулов в корковом веществе и более высоком уровне пролиферации лимфоцитов.
Работа выполнена в рамках государственного задания, номер гос. регистрации темы: 01201353248. Авторы выражают благодарность Тиму Шаккеру (Университет Миннесоты, США) за помощь в работе.
Об авторах
Наталья Ивановна Гуляева
Пермский государственный медицинский университет им. академика Е.А. Вагнера
Автор, ответственный за переписку.
Email: bizon55@mail.ru
к.м.н., доцент кафедры гистологии, цитологии и эмбриологии
Россия, 614990, г. Пермь, ул. Петропавловская 26Генриетта Генриховна Фрейнд
Пермский государственный медицинский университет им. академика Е.А. Вагнера
Email: bizon55@mail.ru
д.м.н., профессор, заведующая кафедрой патологической анатомии с секционным курсом
Россия, 614990, г. Пермь, ул. Петропавловская 26Надежда Геннадьевна Шмагель
Пермский краевой центр по профилактике и борьбе со СПИД и инфекционными заболеваниями
Email: bizon55@mail.ru
к.м.н., врач-иммунолог
Россия, 614081, г. Пермь, ул. Голева, 13Лариса Борисовна Королевская
Институт экологии и генетики микроорганизмов Уральского отделения РАН
Email: bizon55@mail.ru
к.м.н., научный сотрудник
Россия, 614088, г. Пермь, ул. Свиязева, 21Евгения Владимировна Сайдакова
Институт экологии и генетики микроорганизмов Уральского отделения РАН
Email: bizon55@mail.ru
к.б.н., младший научный сотрудник
Россия, 614088, г. Пермь, ул. Свиязева, 21Константин Владимирович Шмагель
Институт экологии и генетики микроорганизмов Уральского отделения РАН
Email: bizon55@mail.ru
д.м.н., заведующий лабораторией
Россия, 614088, г. Пермь, ул. Свиязева, 21Список литературы
- Должанский О.В., Каабах М.М., Соловьева С.Е. и др. Диссеминированный комбинированный мелкоклеточный рак с поражением трансплантатов после пересадки почек от умершего донора двум больным. Архив патологии 2017; 6: 53–59.
- Зюзя Ю.Р., Бархина Т.Г., Пархоменко Ю.Г., Черников В.П. Гистологические и ультраструктурные изменения в легких при ВИЧ-инфекции в сочетании с туберкулезом. Архив патологии 2015; 1: 23–29.
- Иммунология: учеб. Под ред. А.А. Ярилина. М.: ГОЭТАР-Медиа 2010; 752.
- Козлов А.В. Гомеостатическая пролиферация как основа неизбежного формирования тотального иммунодефицита. Медицинская иммунология 2014; 5: 403–407.
- Леенман Е.Е., Мухина М.С., Гиршович М.М. и др. Место дендритных клеток в микроокружении при лимфоме Ходжкина. Архив патологии 2010; 2: 3–7.
- Морфологические аспекты ВИЧ-инфекции. Под ред. Ю.Г. Пархоменко, Ю.Р. Зюзя, А.И. Мазус. М.: Литтерра 2016; 168.
- Раденска-Лоповок С.Г., Корзенёва Е.Г., Алекперов Р.Т. Ангиогенез и его связь с воспалением и фиброзом в ходе развития системной склеродермии. Архив патологии 2015; 2: 56–60.
- Цинзерлинг В.А., Комарова Д.В., Васильева М.В. и др. Патологическая анатомия ВИЧ-инфекции по материалам Санкт-Петербурга. Архив патологии 2003; 1: 42–44.
- Шмагель К.В., Королевская Л.Б., Черешнев В.А. Роль иммунных комплексов в активации иммунокомпетентных клеток при ВИЧ-инфекции (гипотеза). Иммунология 2014; 2: 117–120.
- Шмагель К.В., Шмагель Н.Г., Королевская Л.Б. и др. Сравнение субпопуляционного состава T-лимфоцитов периферической крови и лимфатических узлов у ВИЧ-инфицированных пациентов. Российский иммунологический журнал 2016; 2 (1): 404–406.
- Шмагель Н.Г., Шмагель К.В., Королевская Л.Б. и др. Системное воспаление и повреждение кишечного барьера при эффективном лечении ВИЧ-инфекции. Клиническая медицина 2016; 1: 47–51.
- Черешнев В.А., Шмагель К.В., Королевская Л.Б и др. Влияние коинфекции вирусом гепатита на активацию и апоптоз Т-лимфоцитов у ВИЧ-инфицированных пациентов, получающих антиретровирусную терапию. Иммунология 2013; 4: 236–241.
- Anthony K.B., Yoder C., Metcalf J.A. Incomplete CD4 T cell recovery in HIV-1 infection after 12 months of highly active antiretroviral therapy is associated with ongoing increased CD4 T cell activation and turnover. Immunology 2003; 2: 125–133.
- Doitsh G., Galloway N.L.K., Geng X. Cell death by pyroptosis drives CD4 T-cell depletion in HIV-1 infection. Nature 2014; 7484: 509–514.
- Durudas A., Milush J.M., Chen H.L. Elevated levels of innate immune modulators in lymph nodes and blood are associated with more-rapid disease progression in simian immunodeficiency virus-infected monkeys. J Virol 2009; 23: 12229–12240.
- Fletcher A.L., Acton S.A., Knoblich K. Lymph node fibroblastic reticular cells in health and disease. Nature Reviews Immunology 22 May 2015. doi: 10.1038/nri3846
- Jacob D. E., Haaseb A.T., Schacker T.W. The role of collagen deposition in depleting CD4+ T cells and limiting reconstitution in HIV-1 and SIV infections through damage to the secondary lymphoid organ niche. Seminars in Immunology 2008; 20: 181–186.
- Link A., Vogt T.K., Favre S. Fibroblastic reticular cells in lymph nodes regulate the homeostasis of naive T cells. Nat Immunol 2007; 11: 1255–1265.
- Zeng M., Smith A.J., Wietgrefe S.W. Cumulative mechanisms of lymphoid tissue fibrosis and T cell depletion in HIV-1 and SIV infections. J Clin Invest 2011; 3: 998–1008.
Дополнительные файлы






