Clinical case of invasive candidiasis in phthisiatrician’s practice
- Authors: Shurygin A.A.1, Shirinkina A.E.1, Makarova E.A.1, Sergeev A.V.1, Marusich I.A.1
-
Affiliations:
- E.A. Vagner Perm State Medical University
- Issue: Vol 36, No 6 (2019)
- Pages: 83-94
- Section: Clinical case
- Submitted: 30.01.2020
- Accepted: 30.01.2020
- Published: 30.01.2020
- URL: https://permmedjournal.ru/PMJ/article/view/19253
- DOI: https://doi.org/10.17816/pmj36683-94
- ID: 19253
Cite item
Full Text
Abstract
The paper presents a case of generalized candidomycosis in a 67-year old woman. Literature data regarding the cases of respiratory mycoses and candida sepsis are summarized. This case is interesting from the point of view of difficulty of differential diagnosis in patients with respiratory mycosis and tuberculosis, choice of adequate treatment.
Keywords
Full Text
ВВЕДЕНИЕ
Проблема микозов за последнее десятилетие все больше привлекает внимание исследователей и приобретает особое значение во всех странах мира. Большинство
авторов связывают рост этих инфекций с широким, часто неадекватным или необоснованным, а порой вынужденно длительным применением антибиотиков широкого спектра действия, кортикостероидов, цитостатиков; широким распространением инвазивных диагностических и лечебных процедур; распространением ВИЧ-инфекции [3, 4]. Несмотря на это, многие вопросы, касающиеся этой проблемы, остаются малоизученными. При попадании микроорганизма в кровь развивается наиболее тяжелая и опасная форма – инвазивный микоз, при этом возбудитель может как циркулировать в крови (сепсис), так и/или поражать внутренние органы и ткани. Распространенность инвазивного микоза в РФ составляет 8,29 на 100 тыс. населения [4]. Основные возбудители инвазивных микозов – Candida spp. – одноклеточные дрожжевые микроорганизмы, способные формировать биопленки. В настоящее время известно более 150 видов грибов Candida [3–5]. Наиболее распространенным возбудителем инвазивного кандидоза остается C. albicans, большинство изолятов которой чувствительны к применяемым в настоящее время антимикотикам. Вызванный C. glabrata инвазивный кандидоз отличается высокой летальностью. Этот вид часто встречается у лиц старше 65 лет и у пациентов, ранее получавших антимикотики. Диагностически значимой разницы в клинических проявлениях инвазивного кандидоза, вызванного разными Candida spp., не выявлено. При кандидемии в патологический процесс вовлекаются кожа и подкожная клетчатка, головной мозг, почки, сердце, а также легкие. К факторам риска кандидемии относятся использование центральных венозных катетеров, применение антибиотиков, искусственную вентиляцию легких, тяжелое состояние больного, хирургическое лечение органов желудочно-кишечного тракта, сахарный диабет, новообразования, хроническую почечную недостаточность. Основные клинические проявления кандидемии неспецифичны и не отличаются от бактериального сепсиса – лихорадка, синдром полиорганной недостаточности. Ранняя диагностика инвазивного кандидоза сложна не только отсутствием патогномоничных клинических признаков, но и большими затратами времени на идентификацию патогена [5]. Рефрактерность к применению антибиотиков и поражение легких требуют исключения туберкулезной инфекции, особенно в регионах с напряженной эпидемиологической ситуацией по туберкулезу (Пермский край – 68,5 на 100 тыс. населения в 2018 г.).
Цель исследования – изучить клинически значимые дифференциально-диагностические признаки инвазивного кандидоза и туберкулеза по данным представленного клинического примера.
МАТЕРИАЛЫ И МЕТОДЫ ИССЛЕДОВАНИЯ
Обобщены литературные данные по диагностическим критериям микозов. Описан клинический случай заболевания генерализованным кандидамикозом пациентки 67 лет, наблюдавшейся в ГБУЗ ПК «Клинический фтизиопульмонологический медицинский центр» (ГБУЗ ПК КФМЦ) г. Перми.
РЕЗУЛЬТАТЫ И ИХ ОБСУЖДЕНИЕ
По данным литературы, различают первичный и вторичный кандидамикоз легких. Первичная кандидапневмония возникает на фоне лечения антибиотиками или кортикостероидными гормонами у больного внелегочным заболеванием. При вторичном кандидамикозе речь идет об изменениях в клинической картине у больного с имеющимся легочным заболеванием. На начальной стадии заболевания и в легкопротекающих случаях кандидамикотическая инфекция напоминает бронхит. На рентгенограммах можно различить только усиление легочного рисунка. При развитой стадии заболевания кандидамикоз протекает под клинической картиной бронхопневмонии, лобарной пневмонии. Общее состояние становится тяжелым, температура приобретает гектический характер, появляется кашель с мокротой. При микроскопическом исследовании комочков обнаруживаются почкующиеся дрожжевые клетки и мицелий Candida. Очаги кандидапневмоний рентгенологически не отличаются от бактериальной пневмонии, туберкулезных инфильтратов.
При дифференциальной диагностике кандидамикоза имеют в виду следующее:
- Процесс возникает чаще всего на фоне лечения антибиотиками, кортикостероидными гормонами.
- Имеющийся у больного легочный процесс ухудшается под влиянием антибиотиков.
- Очаги микоза локализуются преимущественно в нижних и средних долях, хотя процесс может иногда распространяться и на верхние отделы.
- Изменяется характер температурной кривой – тип continua переходит в тип гектической, септической кривой.
- Лихорадка сопровождается ознобами и проливными потами.
- Для кавернозной кандидапневмонии характерно быстрое возникновение тонкостенных полостей.
- Наличие лимфопении в крови при нормальном или немного повышенном количестве лейкоцитов, снижение зозинофилов, высокая СОЭ (50–60 мм/ч).
- Появление кандидамикоза полости рта помогает подтвердить диагноз кандидамикоза легких.
- Клиническая диагностика кандидамикоза легких должна быть подтверждена повторным обнаружением элементов Candida в мокроте при микроскопическом исследовании (после предварительного тщательного туалета полости рта) [1, 2, 7].
Культуральное исследование желательно проводить на нескольких селективных питательных средах (например, Сабуро, среда 1640 и др.). Если КОЕ гриба в 1 мл мокроты или жидкости бронхоальвеолярного лаважа не превышает 1000 – это признак носительства. Особое значение имеет выделение гемокультуры гриба, однако высевание из крови определяется только у 50–60 % больных [6].
КЛИНИЧЕСКИЙ ПРИМЕР
Пациентка Б., 67 лет, пенсионерка, житель г. Пермь, считала себя больной с августа 2018 г., когда появились жалобы на слабость, кашель, повышение температуры. Обратилась в общую лечебную сеть в связи с выявленными изменениями в легких, была госпитализирована в центральную районную больницу (ЦРБ) с 27.08.2018 по 06.09.2018 г. с диагнозом «внебольничная среднедолевая пневмония справа средней степени тяжести, осложненная малым гидротораксом справа. Хроническая обструктивная болезнь легких, хронический обструктивный бронхит, фаза обострения».
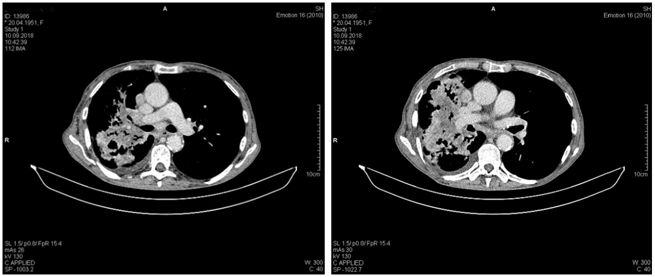
Рентгенография от 27.08.2018 и мультиспиральная компьютерная томография (МСКТ) органов грудной клетки и брюшной полости от 03.09.2018 – определяются признаки гиповентиляции средней доли легкого с застойными изменениями по типу инфильтрации. МСКТ грудной клетки от 07.09.2018: прикорневой инфильтративный процесс с переходом на среднюю долю справа, выраженный пневмофиброз с обеих сторон. Малый гидроторакс справа. Внутригрудная, внутри- и забрюшинная лимфоаденопатия. Фиброзные изменения верхушки. Бугристая деформация почек, утолщение стенки желудка, спленомегалии (рис. 1).
Рис. 1. МСКТ органов грудной клетки и брюшной полости от 03.09.2018
Данные лабораторных исследований: общий анализ крови (ОАК) в динамике – признаки анемии I степени (эритроциты – (3,6–3,4)1012 л; гемоглобин – 107–90 г/л), лейкоцитоз с преобладанием нейтрофилов, лимфопения, повышение СОЭ. Общий анализ мочи (ОАМ) в динамике – снижение воспалительных изменений. Бактериоскопия мокроты однократно – кислотоустойчивые микобактерии (КУМ) не обнаружены.
Инструментальные методы: спирография от 30.08.2018 – нарушение вентиляционной функции по смешанному типу на уровне всех бронхов. УЗИ органов брюшной полости от 30.08.2018 – диффузные изменения тканей печени, поджелудочной железы, бескаменный холецистит, нефроптоз справа. УЗИ мягких тканей шеи (11.09.2018) – двусторонняя лимфоаденопатия. Фибробронхоскопия (ФБС) от 05.09.2018 – двусторонний диффузный атрофический эндобронхит.
Было проведено лечение: антибактериальная терапия цефтриаксоном, 2,0, внутривенно, 2 раза в сутки, и левофлоксацином, 500 мг, 2 раза в сутки в течение 10 дней, противовирусная терапия ингавирином, 90 мг в сутки в течение 5 дней.
На фоне лечения динамика заболевания слабоположительная. Профилактика грибковых осложнений антибиотикотерапии не проводилась. После выписки из ЦРБ 06.09.2018 была направлена к фтизиатру (не явилась). За медицинской помощью с 06.09.2018 по 10.11.2018 не обращалась.
С начала ноября состояние ухудшилось. Наросли слабость, одышка и повышение температуры до 38–39 °С, что потребовало повторной госпитализации в пульмонологическое отделение Городской клинической больницы № 4 с 10.11.2018 по 27.11.2018 с диагнозом «внебольничная пневмония правого легкого средней степени тяжести».
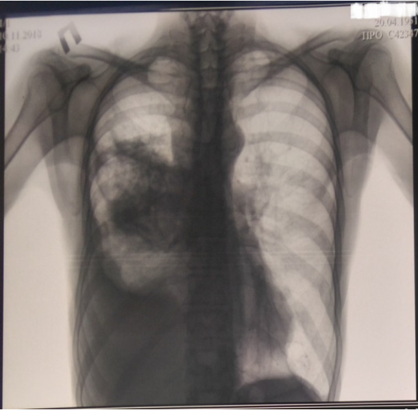
Рентгенография органов грудной клетки (ОГК) от 10.11.2018: легкие эмфизематозны справа в среднем поле, в проекции S6 снижена прозрачность за счет инфильтрации с полостями деструкции и с вовлечением прилежащей плевры, в плевральной полости жидкость с косым уровнем по переднему отрезку 5-го ребра. Левое легкое без инфильтративных изменений, парамедиастинально на уровне 4-го межреберья визуализируется плотная очаговая тень 10×15 мм с довольно четким контуром. Легочный рисунок деформирован за счет явлений пневмосклероза (рис. 2).
Рис. 2. Рентгенограмма органов грудной клетки от 10.11.2018 (позитив)
Рентгенография ОГК от 14.11.2018 – отмечается отрицательная динамика: справа нарастает субтотальное затемнение за счет ателектаза средней и нижней долей, а также жидкости с паракостальным распространением и плевральных наслоений. Слева легкое без инфильтративных изменений. В проекции «головки» левого корня плотная очаговая тень 10×15 мм с довольно четким контуром. Легочный рисунок деформирован за счет явлений пневмосклероза. Средостение смещено вправо (рис. 3).
Дообследована с помощью компьютерной томографии органов грудной клетки 18.11.2018 (рис. 4). В плевральной полости справа определяется большое количество жидкости, сепарация листков до 100 мм. Пневматизация правого легкого значительно снижена. В S1-2 левого легкого перисциссурально отмечается появление неправильной формы инфильтрата, с неровными контурами, неоднородного по структуре, размерами до 27 мм. В апикальных отделах S1-2, в S8 левого легкого визуализируются участки локального тяжистого пневмофиброза. Легочной рисунок левого легкого деформирован за счет пневмосклероза, явлений центролобулярной эмфиземы. Определяются многочисленные увеличенные (до 25 мм) внутригрудные лимфоузлы.
Рис. 3. Рентгенограмма органов грудной клетки от 14.11.2018
Лабораторные данные: ОАК в динамике – признаки анемии I степени, сохранялись воспалительные изменения периферической крови, значительное повышение СОЭ (до 57 мм/ч). Биохимический анализ крови в динамике – гипопротеинемия (50–56 г/л), гипоальбуминемия (20–30 г/л), повышение СРП (116–152 мг/л).
Рис. 4. Компьютерная томография органов грудной клетки от 18.11.2018
При микробиологическом исследовании (мокроты) обнаружена Candida albiсans 1000 КОЕ/мл (можно рассматривать как носительство), чувствительная к амфотерицину В, устойчивая к флуконазолу, роста бактериальной флоры нет. Бактериоскопия мокроты трехкратно – КУМ не обнаружены.
В правой надключичной области пальпировалось образование размером 1,5×2,0 см. Заподозрено злокачественное новообразование правого легкого, осложненное параканкрозным гидротораксом, метастазом в надключичный лимфоузел справа.
Консультация торакального хирурга 19.11.2018 – внебольничная пневмония справа. Экссудативный плеврит справа. Рак правого легкого (?). Аденопатия подключичных лимфоузлов справа.
19.11.2018 проведена экстирпация подключичного лимфоузла справа.
Цитологическое исследование подключичного лимфоузла справа от 19.11.2018: нейтрофильные лейкоциты в значительном количестве, незначительное количество плоского и цилиндрического эпителия без атипии, единичные макрофаги. Гистологическое заключение подключичного лимфоузла справа от 19.11.2018 – гнойно-некротический лимфаденит.
20.11.2018 г. проведена плевральная пункция: удалено 2 л прозрачного желтоватого экссудата. Цитологическое исследование плевральной жидкости от 20.11.2018 г.: лимфоцитарный цитоз (нейтрофилы – 24 %, лимфоциты – 76 %).
Проводилось лечение – антибактериальная терапия цефтриаксоном, 2,0 г в сутки, и левофлоксацином, 500 мг 2 раза в сутки в течение 14 дней.
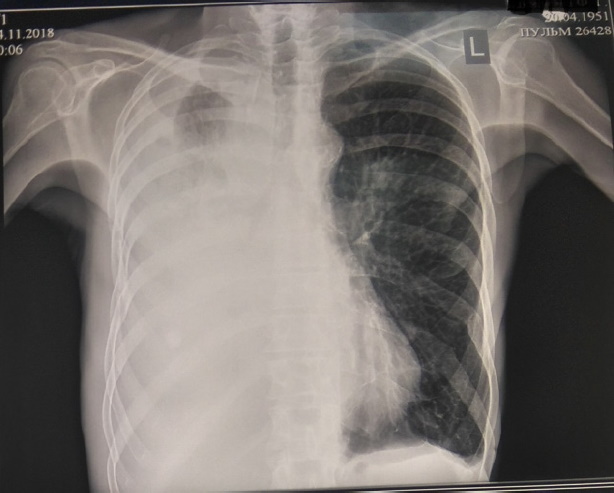
Рентгенограмма ОГК (после пункции) от 22.11.2018 г.: улучшение прозрачности легочной ткани в области верхушки и уменьшения количества жидкости до 6-го ребра справа, на остальном участке сохраняется субтотальное интенсивное затемнение за счет ателектаза средней и нижней долей. Слева легкое без инфильтративных изменений, в проекции «головки» корня легкого плотная очаговая тень 10×15 мм с довольно четким контуром. Легочный рисунок деформирован за счет явлений пневмосклероза. Средостение смещено вправо, тень сердца в пределах возрастной нормы (рис. 5).
КТ ОГК с контрастированием от 22.11.2018 г.: легочные поля расправлены, эмфизематозны. В перибронхиальной легочной ткани правого легкого на уровне центральных отделов определяется массивная зона уплотнения с видимыми деформированными бронхами, пневматизация резко снижена, объем легкого уменьшен. Правый главный и верхнедолевой бронхи дифференцируются на всем протяжении, промежуточный бронх неравномерно сужен, среднедолевой бронх визуализируется фрагментарно, нижнедолевой бронх конически сужен. Бронхи левого легкого не изменены. В S6 левого легкого участок фиброза с деформацией междолевой плевры. Двухсторонний апикальный фиброз (рис. 6).
Рис. 5. Рентгенограмма органов грудной клетки от 22.11.2018
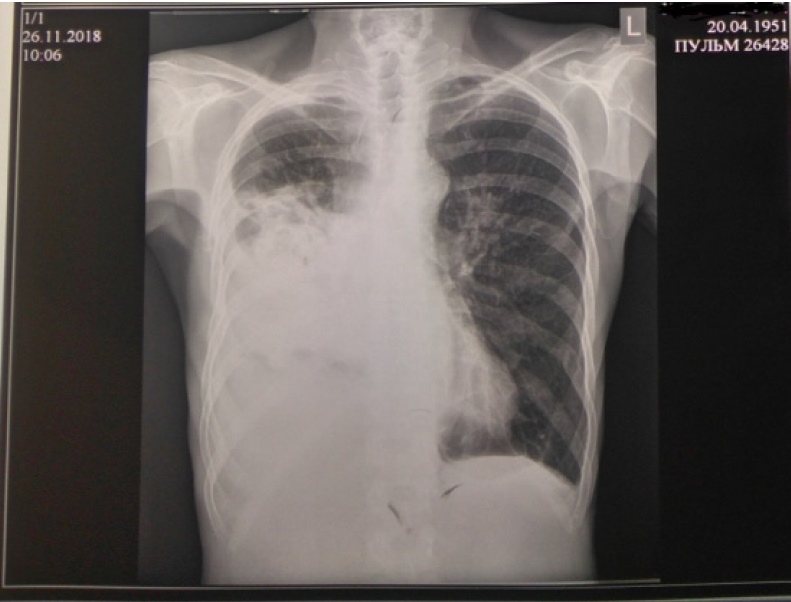
На контрольной рентгенограмме грудной клетки от 26.11.2018 г. снова отмечается ухудшение прозрачности справа в средних и нижних отделах, сохраняется субтотальное интенсивное затемнение за счет ателектаза средней и нижней долей, а также жидкости и плевральных наложений. Слева в проекции «головки» корня легкого плотная очаговая тень 10×15 мм. Легочный рисунок деформирован за счет явлений пневмосклероза. Корень слева не расширен, структурный. Диафрагма и синусы слева контурируются. Средостение смещено вправо (рис. 7).
Консультирована фтизиатром – учитывая рефрактерность к антибактериальной терапии, отсутствие данных, подтверждающих наличие онкопатологии, лимфоцитарный характер экссудата, необходимо исключить туберкулез. Диагноз: образование средней доли легкого (?), подозрение на инфильтративный туберкулез средней доли правого легкого, экссудативный плеврит справа. Для дообследования переведена в стационарное отделение ГБУЗ ПК КФМЦ 27.11.2018 г.
Рис. 6. КТ органов грудной клетки с контрастированием от 22.11.2018
Рис. 7. Рентгенограмма органов грудной клетки от 26.11.2018
При поступлении предъявляет жалобы на общую слабость, одышку при незначительной физической нагрузке. При объективном обследовании: состояние пациентки средней тяжести, температура субфебрильная (37,5 °С), сидит в постели с поддержкой, не ходит. Периферические лимфоузлы не увеличены. ЧДД = 20 в мин. При перкуссии легких – притупление в нижних отделах справа. При аускультации дыхание жесткое, не выслушивается в нижних отделах справа, в средних отделах – сухие хрипы. Наблюдается тахикардия (98 уд/мин), гипотензия (90/60 мм рт. ст). Со стороны других внутренних органов изменений не выявлено.
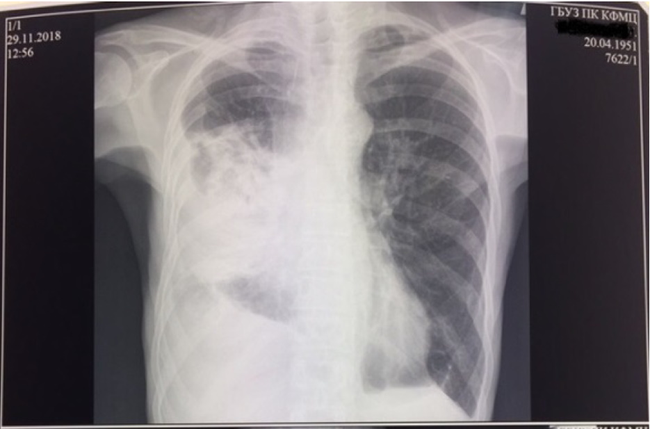
Рентгенография от 29.11.2018: в S1-2 левого легкого сохраняется небольшой фокус инфильтрации, связанный с междолевой плеврой. В средних и нижних отделах правого легкого определяется обширная интенсивная инфильтрация, связанная с корнем и утолщенной плеврой. В правой плевральной полости определяется жидкость над диафрагмой. В левой плевральной полости жидкости нет. Средостение не смещено (рис. 8).
Лабораторные данные: ОАК – признаки анемии I степени, воспалительные изменения (лейкоцитоз с преобладанием сегментоядерных нейтрофилов, повышение СОЭ). ОАМ – протеинурия, бактериурия. Биохимический анализ крови – гипопротеинемия, воспалительные изменения (значительное увеличение СРП).
Рис. 8. Рентгенограмма органов грудной клетки от 29.11.2018
Фибробронхоскопия – двусторонний тотальный гнойный эндобронхит 2-й ст.
УЗИ плевры и органов брюшной полости – спленомегалия, жидкость в плевральной полости справа в большом количестве.
Полимеразно-цепная реакция мокроты двукратно – ДНК микобактерий туберкулеза (МБТ) не обнаружена. Люминесцентная микроскопия мокроты трехкратно – КУМ не обнаружены. Посевы мокроты на МБТ (на плотные и жидкие питательные среды) – в работе. Цитологическое исследование мокроты двукратно – грамположительные кокки и значительное количество дрожжевых грибков и мицелия.
Посев мокроты от 29.11.2018 – роста бактериальной флоры нет, рост Candida albicans 100 000 КОЕ/мл, чувствительна к основным антимикотическим препаратам. Candida glabrata – 100 000 КОЕ/мл, количество КОЕ можно рассматривать как показатель кандидамикоза.
Пересмотрены стеклопрепараты ткани лимфатического узла (от 19.11.2018) – хро-нический продуктивный гранулематозно-гнойно-некротический лимфаденит и периаденит в фазе организации, подозрение на кокцидиоидомикозную этиологию заболевания.
Проведено исследование иммунного статуса. Иммунограмма от 03.12.2018 – СD4 – 480 клеток, что следует рассматривать как иммуносупрессию.
03.12.2018 г. – резкое ухудшение состояния, пациентка заторможена, пульс слабого наполнения, 100 уд/мин, АД 70/50 мм рт. ст., ЧДД = 22 в мин, сатурация кислорода – 85 %. При УЗИ плевры – справа значительное количество жидкости, при плевральной пункции удалено 650 мл серозного экссудата. Анализ экссудата: белок – 5,0 г/л, цитоз: нейтрофилы – 19 %, лимфоцитов – 81 %, атипичных клеток нет. Аденозиндезаминаза – 3,8 е/л. Пациентка была переведена в реанимационное отделение, где находилась в стабильно тяжелом состоянии.
Получала лечение: «Левофлоксацин», 500 мг в сутки – отменен после получения бактериологического исследования мокроты, к лечению добавлен «Флуконазол» – по 200 мг внутривенно 1 раз в день (с 7.12.2018 – 4 дня).
Лабораторные данные в динамике: ОАК – лейкоцитоз со сдвигом влево до юных форм, токсическая зернистость нейтрофилов, лимфопения, тромбоцитопения (35 000), СОЭ – 15 мм/ч, желтый цвет плазмы (проявление выраженной интоксикации). Биохимический анализ крови – гипопротеинемия, увеличение общего билирубина за счет прямой фракции.
КТ органов грудной клетки от 04.12.2018 – аденопатия средостения, массивная инфильтрация средней доли справа с большим количеством гнойного секрета в просвете бронхов нижней доли справа. В S1-2 левого легкого субплеврально небольшой инфильтративный фокус с неровными контурами. Гидроторакс справа с компрессией легочной ткани справа, слева незначительное количество жидкости. Паратрахеально и бифуркационно – конгломераты лимфоузлов без четких контуров, мелкие лимфоузлы в аортальном окне (рис. 9).
Рис. 9. КТ органов грудной клетки от 04.12.2018
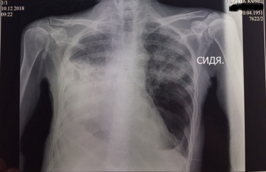
Рис. 10. Рентгенограмма органов грудной клетки от 10.12.2018
Рентгенография от 10.12.2018: в S1-2 левого легкого фокус инфильтрации, связанный с междолевой плеврой. В средних и нижних отделах правого легкого определяется обширная интенсивная инфильтрация, связанная с корнем и утолщенной плеврой. В правой плевральной полости определяется жидкость над диафрагмой. В левой плевральной полости незначительное количество жидкости (рис. 10).
Случай обсуждался на заседании центральной врачебной контрольной комиссии от 11.12.2018 г. – проведено обследование в соответствии с протоколом. Данные, подтверждающие наличие активного туберкулезного процесса, отсутствуют. По клиническим данным подозрение на бронхоальвеолярный рак. Генерализованный микоз (надключичного лимфоузла справа – гистологически подтвержден, микоз верхних дыхательных путей и легких).
Несмотря на начатую антимикотическую терапию 11.12.2018 г. констатирована биологическая смерть.
Патолого-анатомический диагноз. Основное заболевание: генерализованный кандидоз с преимущественным поражением легких – двусторонняя полисегментарная субтотальная пневмония в фазе карнификации правого легкого, слизистой оболочки рта, пищевода, кишечника, селезенки, печени. Фоновое заболевание: антракоз. Хронический необструктивный бронхит, обострение. Очаговый пневмо- и плевросклероз.
Осложнения: подострое легочное сердце с расширением его полостей. Подострая кандидозная септицемия, септический шок: септическая гиперплазия селезенки с множественными инфарктами на разных стадиях развития, «шоковые легкие». Асцит. Правосторонний серозно-фибринозный плеврит в фазе организации. Левосторонний гидроторакс. Отек легких и головного мозга. Кахексия.
Сопутствующие заболевания: хроническая ишемическая болезнь сердца: крупноочаговый постинфарктный кардиосклероз передней стенки с переходом на боковую, диффузный мелкоочаговый атеросклеротический кардиосклероз. Стенозирующий атерослероз коронарных артерий. Атеросклероз аорты, атеросклероз сосудов почек, атеросклеротически сморщенные почки. Железодефицитная анемия средней степени тяжести, смешанного генеза. Хронический атрофический гастроэнтерит, хроническая рецидивирующая язва желудка в стадии обострения. Липосклероз поджелудочной железы. Энцефалопатия смешанного генеза.
Представленный пример показывает, что отсутствие профилактики грибковых осложнений в общей лечебной сети на фоне массивной антибиотикотерапии приводит к развитию тяжелых форм пневмомикоза, имеющих сходную клинику, лабораторные и рентгенологические признаки с туберкулезом. Это объясняет ошибочную тактику ведения и позднее назначение адекватного лечения.
Можно заключить, что диагноз пневмомикоза у пациентки подтверждался следующими факторами:
- Наличие фактора риска возникновения пневмомикоза: хроническая обструктивная болезнь легких, возраст старше 65 лет.
- Локализация поражения в нижних и средних долях.
- Ухудшение имеющегося легочного процесса на фоне применения антибиотиков.
- Отсутствие профилактики грибковых осложнений на фоне массивной антибиотикотерапии.
- Обнаружение гриба микроскопическими, культуральными (КОЕ ≥ 1000/мл) и гистологическим методами.
- Иммуносупрессия (CD4 – 480 кл).
About the authors
A. A. Shurygin
E.A. Vagner Perm State Medical University
Author for correspondence.
Email: alex_shyrugin@mail.ru
заведующий кафедрой фтизиопульмонологии
Russian Federation, PermA. E. Shirinkina
E.A. Vagner Perm State Medical University
Email: alex_shyrugin@mail.ru
доцент кафедры фтизиопульмонологии
Russian Federation, PermE. A. Makarova
E.A. Vagner Perm State Medical University
Email: elena-makarova07@mail.ru
ассистент кафедры фтизиопульмонологии
Russian Federation, PermA. V. Sergeev
E.A. Vagner Perm State Medical University
Email: elena-makarova07@mail.ru
ординатор кафедры фтизиопульмонологии
Russian Federation, PermI. A. Marusich
E.A. Vagner Perm State Medical University
Email: elena-makarova07@mail.ru
ординатор кафедры фтизиопупьмонологии
Russian Federation, PermReferences
- Бурухина Л.В. Пневмомикозы. Современные проблемы борьбы с туберкулезом 2004; 239–244.
- Васильева Н.В., Климко Н.Н., Цинзерлинг В.А. Диагностика и лечение инвазивных микозов: современные рекомендации. Вестник Санкт-Петербургской медицинской академии последипломного образования 2010; 4: 5–18.
- Климко Н.Н. Микозы – скрытая угроза. Медицина экстремальных ситуаций 2018; 3: 289–292.
- Климко Н.Н. Микотический сепсис. Проблемы медицинской микологии 2018; 2: 105–132.
- Кудряшова И.Б., Рекстина В.В. Диагностика инвазивных кандидозов: научные исследования и практическое применение. Актуальные проблемы гуманитарных и естественных наук 2017; 12 (1): 8–14.
- Пеленева И.М. Основные принципы антимикотической терапии и место микосиста в лечении больных пневмомикозами. Современные проблемы борьбы с туберкулезом 2004; 291–299.
- Снхчян С.С., Дмитриев Н.Л. Клинико-морфологический анализ летальных случаев кандидозного сепсиса. Медицина завтрашнего дня: материалы XVI межрегион. науч.-практ. конф. студентов и молодых ученых 2017; 119–120.
Supplementary files













