Creation of elbow joint in children with humeroradial synostosis. A clinical case
- Authors: Grankin D.Y.1, Golyana S.I.1, Avdeychik N.V.2, Safonov A.V.2, Arakelyan A.I.2
-
Affiliations:
- H. Turner National Medical Research Center for Children’s Trauma Surgery and Orthopedics
- H. Turner National Medical Research Center for Children’s Orthopedics and Trauma Surgery
- Issue: Vol 40, No 5 (2023)
- Pages: 158-166
- Section: Clinical case
- Submitted: 27.06.2023
- Published: 18.10.2023
- URL: https://permmedjournal.ru/PMJ/article/view/514879
- DOI: https://doi.org/10.17816/pmj405158-166
- ID: 514879
Cite item
Full Text
Abstract
Humeroradial synostosis is a severe rare anomaly of the upper limb, leading to the development of disability. This congenital anomaly may be a separate nosological unit, or a part of a genetic syndrome. Multi-stage surgical treatment is correct for all components of the deformity. The most difficult stage of treatment is the creation of an elbow joint. There are few studies on this problem in the literature. The article presents the results of surgical treatment of two children with humeroradial synostosis, who had the elbow joint created using two techniques. Patient A. underwent microsurgical transplantation of 2–3 metatarsophalangeal joints into the area of the elbow joint that had been absent since birth. Patient B. underwent total arthroplasty of the elbow joint with an individual implant. The unsatisfactory result of the treatment of patient A. is associated with the impossibility of early development of movements in the elbow joint due to the presence of axial pins. The stable position of the endoprosthesis in patient B. made it possible to conduct a course of early development of movements and get a good long-term result. Due to small number of patients, it is impossible to reliably assess the advantage of one of the presented methods. Improvement of the results of treatment in children with humeroradial synostosis requires further research.
Full Text
Введение
Плечелучевой синостоз (ПЛС) является редким врожденным пороком развития верхней конечности. Данный порок развития характеризуется выраженными функциональными и косметическими нарушениями, приводящими к развитию инвалидности [1; 2]. Первые упоминания данного порока в литературе относятся к 1865 г. – Forster и 1895 г. – Kummel. При этом большинство публикаций на тему ПЛС включают описание единичных клинических случаев, и для большинства ортопедов ПЛС остается малоизвестным заболеванием, используемым только как обозначение симптома [1–3]. В современном понимании ПЛС сложный, многокомпонентный порок развития всей верхней конечности. Клиническая картина включает в себя: укорочение плеча и/или предплечья; отсутствие локтевого сустава; недоразвитие или аплазию локтевой кости, а также саблевидную деформацию лучевой кости. Ведущим признаком авторы считают отсутствие локтевого сустава [2]. ПЛС может включать деформации костно-суставного и сухожильно-связочного аппаратов предплечья и кисти. При некоторых вариантах данной патологии кисть остается интактной [2–4].
Развитие эмбриологии помогает более детально разобраться в причинах возникновения ПЛС [5–7]. Известно, что критическим периодом развития верхней конечности считается 4–8-я неделя эмбрионального развития, поэтому воздействие неблагоприятных факторов в данный период может привести к возникновению ПЛС. Однако ПЛС может возникнуть в результате спонтанной мутации [7–9]. Современная классификация врожденных аномалий развития основана на том, что повреждение одного из механизмов дифференцировки конечности приводит к развитию определённой её аномалии [10; 11]. По данной классификации ПЛС относится к нарушениям формирования/дифференцировки всей верхней конечности в радиоульнарном направлении, с выделением в отдельную нозологическую единицу – I.A.2.iv. [10; 11]. Данная аномалия развития может встречаться в изолированном виде. Также ПЛС входит в состав некоторых синдромов, таких как синдром Антлей – Бикслера, Кейтеля, Ниевергельт – Пеарлмана [3; 5; 7].
Лечение пациентов с ПЛС является многоэтапным и включает последовательное устранение всех компонентов аномалии развития. Часто из-за значительного недоразвития или отсутствия локтевой кости лучевая кость саблевидно деформирована кзади, что обусловливает порочное положение кисти. Фактически кисть отклонена к спине, и функция такой конечности значительно затруднена. Поэтому первым этапом выполняют остеотомию плечелучевой кости в зоне синостоза для установки лучевой кости кпереди под углом 90–110° относительно плечевой кости, благодаря чему кисть выводится в функционально выгодное положение. Затем проводят удлинение укороченных сегментов и устранение их деформаций методом компрессионно-дистракционного остеосинтеза. В случаях сочетания ПЛС с врожденными пороками развития кисти проводят их поэтапное устранение [2].
Однако наиболее сложной задачей у данной группы пациентов остаётся вопрос создания локтевого сустава. Для этой цели могут быть использованы различные варианты артропластики [2; 12]. Благодаря развитию микрохирургических технологий во второй половине ХХ в. появилась принципиально новая методика – пересадка кровоснабжаемых комплексов тканей на питающей сосудистой ножке. В состав этих комплексов тканей могут входить, в том числе и суставы, что делает возможным создание ранее отсутствовавшего «локтевого сустава». В литературе описаны возможности создания локтевого сустава при помощи пересадки плюснефалангового сустава (ПФС) у пациентов с врожденной патологией верхних конечностей [12; 13].
Значительное количество неудовлетворительных результатов хирургического лечения показывает необходимость поиска новых методик [13; 14]. Совершенствование конструкции эндопротезов локтевого сустава, а именно установка индивидуального импланта, открывает новые возможности в вопросе лечения пациентов с ПЛС. В современной литературе имеется незначительное количество работ, посвященных использованию индивидуальных эндопротезов у детей с врожденными пороками развития верхних конечностей, характеризующимися отсутствием локтевого сустава [15]. Таким образом, представление даже отдельных клинических случаев, описывающих возможность создания локтевого сустава у детей с ПЛС, имеет практическую ценность.
Цель исследования – представить наш опыт «создания локтевого сустава» у детей с ПЛС при помощи двух методик: свободной микрохирургической пересадки блока 2, 3-го ПФС в позицию локтевого сустава и эндопротезирование локтевого сустава индивидуальным имплантом.
Материалы и методы исследования
На базе отделения реконструктивной микрохирургии и хирургии кисти ФГБУ НМИЦ ДТО им. Г.И. Турнера проводилось хирургическое лечение двух детей с ПЛС. Пациенту А., 8 лет, с целью создания локтевого сустава произведена микрохирургическая пересадка блока 2–3-го ПФС левой стопы. Пациенту Б., 14 лет, произведено эндопротезирование локтевого сустава индивидуальным имплантом. Оценка результатов хирургического лечения проводилась через 4 месяца у пациента А. и через 4, 12 и 24 месяцев у пациента Б. на основании клинического осмотра и анализа рентгенограмм.
Представлен результат лечения двух пациентов с ПЛС. Ранее оба пациента получали этапное хирургическое лечение на базе отделения реконструктивной микрохирургии и хирургии кисти ФГБУ «НМИЦ ДТО им. Г.И. Турнера». Поэтапно производились коррекция «порочного положения» предплечий, устранение врожденных деформаций кистей, а также коррекция деформаций и удлинение длинных трубчатых костей верхних конечностей методом компрессионно-дистракционного остеосинтеза.
Клинический случай № 1
Пациент А. в возрасте 8 лет поступил для проведения микрохирургической пересадки блока 2–3-го ПФС левой стопы в зону отсутствовавшего с рождения локтевого сустава. При клиническом осмотре и по данным рентгенографии отмечалось укорочение и деформация верхних конечностей, отсутствие локтевых суставов и деформация кистей.
Техника проведения операции: по тыльной поверхности левой стопы произведен фигурный разрез в области 2-го и 3-го межпальцевых промежутков с формированием «буйкового лоскута». Выделены сосудистые пучки – большая подкожная вена с её ветвями ко 2-му и 3-му пальцам и тыльная артерия стопы, с ее продолжением в виде 2-го и 3-го тыльных плюсневых артерий. Разрез продолжили на подошвенную поверхность стопы. Произвели выделение 2–3-й подошвенных плюсневых артерий до уровня разветвления на собственные пальцевые артерии. Пересекли сухожилия сгибателей и разгибателей 2–3-го пальцев левой стопы. Выполнили остеотомию плюсневых костей и основных фаланг 2–3-го пальцев, после чего единым блоком заимствовали аутотрансплантат 2–3-го плюсне-фаланговых суставов на сосудистой ножке. При этом для питания 2–3-го пальцев (от уровня основных фаланг до ногтевых фаланг) сохранены подошвенные собственные пальцевые артерии, получающие кровоток из 1-й и 4-й подошвенных плюсневых артерий. В реципиентной зоне по передней поверхности правой верхней конечности в проекции синостоза произвели S-образный разрез. Лоскут окружающих мягких тканей мобилизован. Выделен дистальный отдел плечевой и участок лучевой артерии, а также латеральная подкожная вена. Для создания диастаза между лучевой и плечевой костями выполнили остеотомию с резекцией зоны их синостоза на протяжении 3 см. В образовавшийся диастаз внедрили аутотрансплантат блока 2–3-го ПФС и фиксировали по оси сегмента двумя спицами Киршнера. Далее наложили микрососудистые анастомозы между сосудами донорской и реципиентной области. Оценку адекватности кровотока производили благодаря включению в аутотрансплантат «буйкового лоскута». С целью восстановления опороспособности левой стопы одномоментно провели ее реконструкцию. Верхнюю и нижнюю конечности иммобилизировали гипсовыми лонгетами (рис. 1).
Рис. 1. Пациент А.: а – внешний вид верхней конечности до проведения микрохирургической аутотрансплантации блока 2–3-го ПФС в позицию правого локтевого сустава; б – рентгенограмма верхней конечности до проведения микрохирургической аутотрансплантации блока 2–3-го ПФС в позицию правого локтевого сустава; в – этап оперативного вмешательства – выделен аутотрансплантат блока 2–3-го ПФС; г – рентгенограмма верхней конечности после проведения микрохирургической аутотрансплантации блока 2–3-го ПФС в позицию правого локтевого сустава
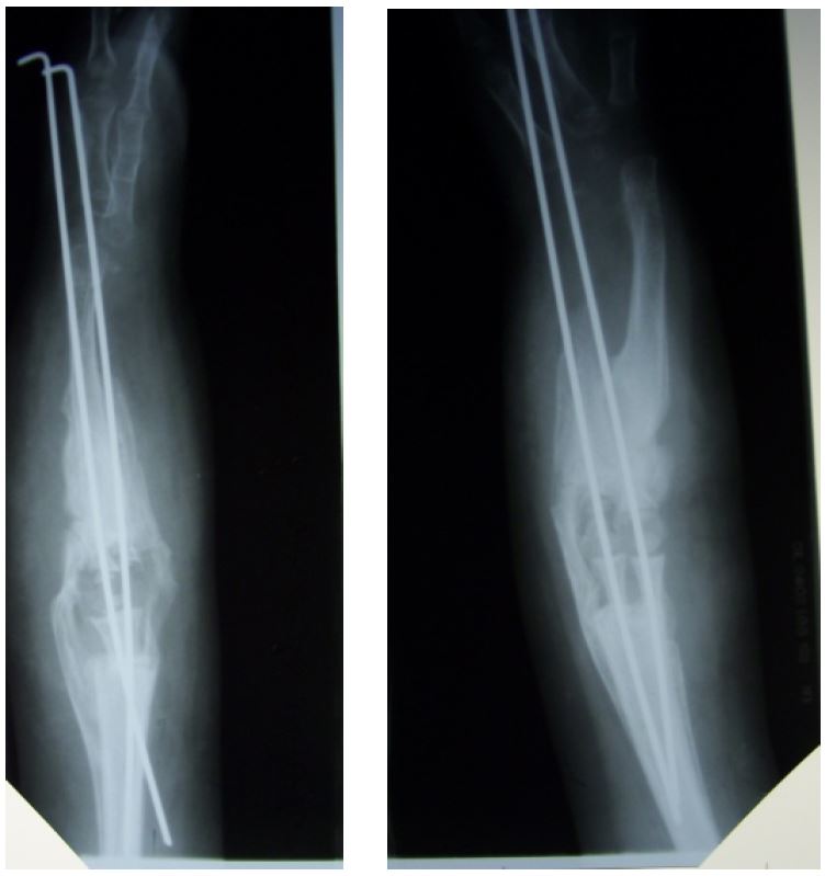
Течение послеоперационного периода – гладкое. Швы сняты на 14-е сутки. На контрольной рентгенографии через два месяца консолидация костных фрагментов не была достигнута, продолжена фиксация МОС и иммобилизация гипсовым лонгетом. Через 4 месяца на рентгенограммах отмечено разрастание блокирующих локтевой сустав остеофитов. Произведено удаление осевых спиц. Активных движений в локтевом суставе нет, пассивно сгибание в пределах 10–15º. Пациенту планировалось проведение ревизионного вмешательства. Оперативное лечение не проведено в связи со сменой места жительства ребёнка (рис. 2).
Рис. 2. Контрольная рентгенограмма верхней конечности через 4 месяца после оперативного лечения
Клинический случай № 2
Пациент Б. с диагнозом ПЛС в возрасте 14 лет поступил для проведения тотального эндопротезирования локтевого сустава индивидуальным имплантом. На догоспитальном этапе проведена компьютерная томография (КТ) верхней конечности. С учётом анатомических особенностей по результатам КТ на заводе-производителе изготовлен индивидуальный эндопротез локтевого сустава. При проведенном клиническом осмотре выявлены характерные признаки ПЛС – укорочение и деформация верхней конечности, отсутствие локтевого сустава.
Техника проведения операции: по передней и задней поверхностям правой верхней конечности в проекции синостоза произвели фигурный разрез. После мобилизации мягких тканей и сосудисто-нервных пучков выделена область синостоза лучевой и плечевой костей. Согласно разработанному заводом изготовителем индивидуальному плану, произведены поперечные остеотомии плечевой и лучевой кости. При помощи бура расширен костномозговой канал плечевой и лучевой кости, после чего в канал введен цементирующий материал и внедрены лучевой и плечевой компоненты энодпротеза. После затвердевания материала компоненты эндопротеза скреплены между собой специальным замком. Интраоперационно получено сгибание в локтевом суставе до 110º, разгибание – полное. Правая верхняя конечность иммобилизована гипсовым лонгетом в положении максимального сгибания в локтевом суставе (рис. 3).
Рис. 3. Пациент Б.: а – рентгенограмма верхней конечности до проведения эндопротезирования локтевого сустава; б, в – внешний вид верхней конечности после установки индивидуального эндопротеза локтевого сустава; г, д – рентгенограммы верхней конечности после установки индивидуального эндопротеза локтевого сустава
Течение послеоперационного периода гладкое, с 3-х суток начата пассивная, а с 10-х – активная разработка движений в правом локтевом суставе. Швы сняты на 21-е сутки. На контрольном осмотре через 4 месяца отмечался хороший функциональный результат. Сгибание в правом локтевом суставе до 100º, разгибание полное. По данным рентгенографии правой верхней конечности компоненты эндопротеза стабильны, видны единичные, не блокирующие локтевой сустав оссификаты. Через один и два года амплитуда движений в правом локтевом суставе без изменений. Рентгенологическая картина прежняя. Пациент удовлетворен результатом лечения ввиду появившейся в результате оперативного лечения возможности самообслуживания (рис. 4).
Рис. 4. Пациент Б. через 2 года после установки индивидуального эндопротеза локтевого сустава: а, б – внешний вид верхней конечности; в, г – рентгенограммы верхней конечности
Выводы
Представленные результаты хирургического лечения детей с ПЛС подтверждают сложность данной патологии. Неудовлетворительный результат лечения у пациента с микрохирургической аутотрансплантацией блока ПФС 2, 3-го пальцев, возможно, связан с длительной иммобилизацией, направленной на получение консолидации аутотрансплантата в реципиентной зоне, в связи с чем невозможно проведение ранней разработки движений в локтевом суставе. Использование индивидуального эндопротеза локтевого сустава позволяет проводить раннюю разработку движений в суставе, что в нашем случае обеспечило хороший функциональный результат. Ввиду небольшого количества пациентов невозможно достоверно оценить эффективность представленных методик. Для улучшения результатов хирургического лечения детей с ПЛС требуется проведение дальнейших исследований.
Финансирование. Исследование не имело спонсорской поддержки.
Конфликт интересов. Авторы заявляют об отсутствии конфликта интересов.
Вклад авторов равноценен.
About the authors
D. Yu. Grankin
H. Turner National Medical Research Center for Children’s Trauma Surgery and Orthopedics
Author for correspondence.
Email: grankin.md@gmail.com
ORCID iD: 0000-0001-8948-9225
SPIN-code: 1940-3837
Researcher, Department of Reconstructive Microsurgery and Hand Surgery
Russian Federation, Saint-PetersburgS. I. Golyana
H. Turner National Medical Research Center for Children’s Trauma Surgery and Orthopedics
Email: ser.golyana@yandex.ru
ORCID iD: 0000-0003-1319-8979
SPIN-code: 8360-8078
Candidate of Medical Sciences, Scientific Supervisor, Department of Reconstructive Microsurgery and Hand Surgery
Russian Federation, Saint-PetersburgN. V. Avdeychik
H. Turner National Medical Research Center for Children’s Orthopedics and Trauma Surgery
Email: natali_avdeichik@mail.ru
ORCID iD: 0000-0001-7837-4676
SPIN-code: 6059-4464
Orthopedic Surgeon
Russian Federation, Saint-PetersburgA. V. Safonov
H. Turner National Medical Research Center for Children’s Orthopedics and Trauma Surgery
Email: safo125@gmail.com
ORCID iD: 0000-0003-1923-7289
Candidate of Medical Sciences, Head of the Department of Reconstructive Microsurgery and Hand Surgery
Russian Federation, Saint-PetersburgA. I. Arakelyan
H. Turner National Medical Research Center for Children’s Orthopedics and Trauma Surgery
Email: a_bryanskaya@mail.ru
ORCID iD: 0000-0002-3998-4954
SPIN-code: 9224-5488
Candidate of Medical Sciences, researcher, Department of Consequences of Injuries and Rheumatoid Arthritis
Russian Federation, Saint-PetersburgReferences
- Maier W.A. Thalidomide embryopathy and limb defects; experiences in habilitation of children with ectromelias. Arch. Dis. Child. 1965; 40: 154–157.
- Shvedovchenko I.V., Min'kin A.V. Operativnoe lechenie i protezirovanie detej s vrozhdennym plecheluchevym sinostozom. Vestnik vserossijskoj gil'dii protezistov-ortopedov 2005; 2: 24–33 (in Russian).
- McVeigh T.P., Soye J.A., Gordon E., Lynch S.A. Non-syndromic bilateral ulnar aplasia with humeroradial synostosis and oligo-ectrodactyly. American Journal of Medical Genetics Part A 2018; 176 (5): 1180–1183.
- Lee Y., Choi J.H., Oh A., Kim G.H., Park S.H., Moon J.E., Ko C.W., Cheon C.K., Yoo H.W. Clinical, endocrinological, and molecular features of four Korean cases of cytochrome P450 oxidoreductase deficiency. Ann Pediatr Endocrinol Metab. 2020 Jun; 25 (2): 97–103. doi: 10.6065/apem.1938152.076.
- Morton J.E. V. Frentz S., Morgan T., Sutherland-Smith A.J., Robertson S.P. Biallelic mutations in CYP26B1: A differential diagnosis for Pfeiffer and Antley–Bixler syndromes. American Journal of Medical Genetics Part A 2016; 170 (10): 2706–2710.
- Gençay I., Vargel I., Büyükkoçak U., Yazc I., Apan A. Anesthetic risks associated with Antley-Bixler syndrome. The Journal of Craniofacial Surgery 2013 Jan; 24 (1): e21-3. doi: 10.1097/SCS.0b013e318267be0f. PMID: 23348324.
- Oldani E., Garel C., Bucourt M., Carbillon L. Prenatal diagnosis of Antley-Bixler syndrome and POR deficiency. The American Journal of Case Reports 2015; 16: 882.
- Morton J.E. V., Frentz S., Morgan T., Sutherland-Smith A.J., Robertson S.P. Biallelic mutations in CYP26B1: A differential diagnosis for Pfeiffer and Antley–Bixler syndromes. American Journal of Medical Genetics Part A 2016; 170 (10): 2706–2710.
- Zavaruhin V.I. Embriogenez verhnej konechnosti: ot bugorka do slozhnejshego mekhanizma. Voprosy rekonstruktivnoj i plasticheskoj hirurgii 2018; 21 (4): 61–67 (in Russian).
- Goldfarb C.A., Ezaki M., Wall L.B., Lam W.L., Oberg K.C. The Oberg-Manske-Tonkin (OMT) classification of congenital upper extremities: update for 2020. The Journal of Hand Surgery 2020; 45 (6): 542–547.
- Zavaruhin V.I. Obshchie principy lecheniya vrozhdennyh anomalij razvitiya verhnej konechnosti. CHast' I. Voprosy rekonstruktivnoj i plasticheskoj hirurgii 2018; 4: 67 (in Russian).
- Sénès F.M., Catena N. Correction of forearm deformities in congenital ulnar club hand: one-bone forearm. The Journal of hand surgery 2012; 37 (1): 159–164.
- Avdejchik N.V., Golyana S.I., Grankin D.YU., Safonov A.V., Tihonenko T.I., Galkina N.S.. Vozmozhnosti primeneniya mikrohirurgicheskoj autotransplantacii kompleksov tkanej u detej. Ortopediya, travmatologiya i vosstanovitel'naya hirurgiya detskogo vozrasta 2020; 8 (4): 437–450 (in Russian).
- Rayan G.M., Upton III J., Rayan G.M., Up-ton III J. Elbow Synostosis. Congenital Hand Anomalies and Associated Syndromes 2014; 105–117.
- Golyana S.I., Avdejchik N.V., Grankin D. YU., Safonov A.V. Blizhajshie rezul'taty endoprotezirovaniya loktevogo sustava u detej s vrozhdennoj loktevoj kosorukost'yu. Sovremennye problemy nauki i obrazovaniya 2021; 4: 76–76 (in Russian).
Supplementary files


