Experience of transmural endoscopic drainage in treatment of pancreatic pseudocysts
- Authors: Kotelnikova L.P.1,2, Trushnikov D.V.2, Khlebnikov P.D.1
-
Affiliations:
- E.A.Vagner Perm State Medical University
- Perm Regional Clinical Hospital
- Issue: Vol 40, No 3 (2023)
- Pages: 92-99
- Section: Methods of diagnosis and technologies
- Submitted: 06.07.2023
- Accepted: 06.07.2023
- Published: 07.07.2023
- URL: https://permmedjournal.ru/PMJ/article/view/530975
- DOI: https://doi.org/10.17816/pmj40392-99
- ID: 530975
Cite item
Full Text
Abstract
Objective. To evaluate the possibilities of transmural endoscopic drainage in the treatment of post–necrotic pancreatic pseudocysts in the immediate and long-term periods.
Materials and methods. From 2018 to 2022, a transmural endoscopic drainage method was used in the treatment of 36 patients with pancreatic pseudocysts at Perm Regional Clinical Hospital. The results were evaluated in the immediate postoperative period, 4–7 months before the removal of the stent and 1–4 years by the complaints of patients, blood amylase content, the results of ultrasound and CT examination of the abdominal cavity.
Results. Two-three days after the endoscopic intervention, the cyst completely disappeared in 30.56 % of patients, decreased by half or more of the diameter in 63.89 % and only in 5.56 % – decreased slightly. After 1–4 years, the absence of cysts was registered in 80 %, small diameter (from 15 to 24 mm) – in 10 %. Pancreatic cysts persisted in three patients (10 %). Statistical analysis showed that the wider was the main pancreatic duct and the higher the blood amylase level before transmural endoscopic drainage, the poorer was the treatment result.
Conclusions. Transmural endoscopic drainage of pancreatic pseudocysts makes it possible to achieve complete disappearance or significant reduction in the size of pancreatic cysts a year or more after the intervention in 90 % of cases. The clinical result of transmural endoscopic drainage in the treatment of pancreatic pseudocysts depended on the initial width of the main pancreatic duct and the level of blood amylase.
Full Text
Введение
Панкреонекроз приводит к формированию жидкостных скоплений в 60–80 %, а в отдаленном периоде в 10–25 % – к образованию псевдокист поджелудочной железы (ПЖ) [1; 2]. Клинические проявления зависят от размеров, локализации кист, наличия связи с главным панкреатическим протоком (ГПП). В 30–40 % случаев возникают осложнения в виде прорыва кисты ПЖ в свободную брюшную полость, нагноения, сдавления внепеченочных желчных протоков с развитием механической желтухи или двенадцатиперстной кишки с нарушением проходимости по ней, кровотечения в полость кисты [3]. В их лечении в настоящее время применяют как «открытые» дренирующие, иногда резецирующие операции, так и малоинвазивные вмешательства – транспапиллярное стентирование ГПП, чрескожное наружное и эндоскопическое внутреннее дренирование через стенку желудка или двенадцатиперстной кишки [1; 4]. Проанализировав результаты чрескожных пункций и дренирований кист ПЖ, большинство авторов пришло к выводу, что результаты могут быть хорошими только при отсутствии связи с главным панкреатическим протоком. Кроме того, наличие наружного дренажа требует наблюдения и ухода за ним, может приводить к формированию наружного панкреатического свища, что снижает качество жизни пациентов [3; 5; 6]. Применение трансмурального эндоскопического дренирования кист ПЖ позволяет использовать как пассивный, так и активный способ удаления их содержимого, в качестве дренажа устанавливать пластиковый или саморасправляющийся металлический стент [1; 4; 7]. Сроки удаления стентов продолжают обсуждаться. В качестве критериев своевременности извлечения дренажей используют данные ультразвукового исследования (УЗИ) и компьютерной томографии (КТ), уровень амилазы в отделяемом из цистогастрального соустья. Тем не менее количество рецидивов кист ПЖ после их трансмурального эндоскопического дренирования колеблется от 15 до 24 %, что подтверждает актуальность дальнейших исследований [4; 7; 8].
Цель исследования – оценить возможности трансмурального эндоскопического дренирования в лечении постнекротических псевдокист поджелудочной железы в ближайшем и отдаленном периодах.
Материалы и методы исследования
С 2018 по 2022 г. в хирургических отделениях Пермской краевой клинической больницы (ПККБ) в лечении 36 пациентов с постнекротическими псевдокистами ПЖ был использован трансмуральный эндоскопический метод их дренирования. Возраст пациентов колебался от 29 до 79 лет (медиана 52 года). Мужчин и женщин было поровну.
До операции изучали жалобы, сроки формирования кист после перенесенного панкреонекроза. Проводили рутинные лабораторные исследования. Для дифференциальной диагностики со злокачественными кистозными опухолями поджелудочной железы определяли уровни онкомаркеров – РЭА, Са 19-9, АФП. Всем пациентам было выполнено УЗИ и КТ органов брюшной полости с болюсным усилением. При необходимости более детальной оценки протоковой системы ПЖ и печени выполняли магнитно-резонансную холангиографию (МРТ-ХГ). Эндоскопическое вмешательство осуществляли под эндотрахеальным наркозом после фиброгастродуоденоскопии (ФГДС). Точку для пункции кисты ПЖ через заднюю стенку желудка или 12-перстной кишки выбирали по результатам КТ и визуального осмотра при ФГДС. Определяли бессосудистую зону и минимальное расстояние между скоплением жидкости и стенкой желудка (не более 5 мм). После пункции и получения содержимого кисты соустье расширяли с помощью электрокоагуляции, затем устанавливали дренаж double pig tail.
Результаты лечения оценивали в ближайшем послеоперационном периоде, через 4–7 месяцев перед удалением стента и спустя год после эндоскопического вмешательства по жалобам пациентов, содержанию уровня амилазы в крови, результатам УЗИ и КТ брюшной полости.
Проведен статистический анализ полученных результатов с помощью программы Excel и Statistika 6. В качестве меры центральной тенденции рассчитывали медиану. Для изучения взаимосвязи двух переменных использовали коэффициент ранговой корреляции Спирмена. Для оценки силы связи применяли шкалу Чеддока.
Результаты и их обсуждение
Все пациенты в сроки от одного до 36 месяцев до эндоскопического вмешательства лечились по поводу панкреонекроза, большинство (27) – консервативно. Часть пациентов была оперирована (9). Им были выполнены лапароскопические (1) и «открытые» (5) операции в объеме дренирования брюшной полости и сальниковой сумки, секвестрэктомии. В трех случаях были проведены операции внутреннего дренирования – цистоеюноанастомоз (1), цистогастроанастомоз (1), продольный панкреатоеюноанастомоз (1).
Основными жалобами при поступлении были боли в эпигастральной области и левом подреберье, подъемы температуры тела до фебрильных цифр. Почти половина пациентов (49,8 %) имели тяжелые сопутствующие заболевания. Индекс Чарльстона колебался от 0 до 9 (медиана 3). При объективном осмотре иногда (5,5 %) отмечали асимметрию живота и пальпаторно определяли образование в эпигастральной области и/или левом подреберье. Повышение в 1,5–20 раз уровня амилазы крови отмечено у 15 пациентов. По результатам УЗИ и КТ были обнаружены кисты головки и тела ПЖ у 6 человек. У остальных 30 кисты локализовались в теле и/или хвосте ПЖ. Во всех случаях диаметр кист превышал 5 см и колебался от 6 до 20,8 см (медиана 12 см). Расширение главного панкреатического протока от 4 до 11 мм диагностировали у половины пациентов (медиана 5,5 мм), гепатикохоледоха – от 8 до 12 мм – у 6 (16,67 %). Камни в желчном пузыре обнаружены у 14 больных. Во всех случаях уровень онкомаркеров был в пределах нормы. Показаниями к выполнению трансмурального эндоскопического дренирования, как и другие хирурги, считали наличие болевого синдрома, признаков инфицирования жидкостных скоплений, нарушение эвакуации из желудка или 12-перстной кишки, а также увеличение размеров жидкостного скопления [2–5]. Необходимым условием для выполнения процедуры считали наличие капсулы, толщина которой варьировалась от 1 до 6 мм.
При пункции кисты ПЖ через заднюю стенку желудка было получено мутное (27), прозрачное или желтоватое (7) и гнойное (2) содержимое. В одном случае при кисте головки ПЖ стент был установлен через заднюю стенку двенадцатиперстной кишки. У одного пациента при постановке стента удалось извлечь секвестр из полости кисты. При диагностике двухкамерной кисты было установлено два стента. В одном случае дренаж ввиду его закупорки пришлось переставить через двое суток (2,78 %). При проведении эндоскопического вмешательства у двух пациентов (5,56 %) возникло незначительное кровотечение из краев соустья, которое было остановлено дополнительной коагуляцией.
Через 2–3 суток пациенты отмечали уменьшение болевого синдрома, нормализацию температуры тела. Уровень амилазы оставался повышенным в 1,5–2 раза в 9 случаях. По результатам УЗИ и КТ киста через 2–3 дня после эндоскопического вмешательства полностью исчезла у 30,56 % пациентов, спалась на половину диаметра и более у 63,89 % и только у 5,56 % – уменьшилась незначительно (рис. 1–3).
Рис. 1. Ближайшие и отдаленные результаты трансмурального эндоскопического дренирования псевдокист поджелудочной железы
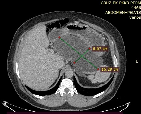
Рис. 2. КТ органов брюшной полости с болюсным усилением, артериальная фаза. В сальниковой сумке обнаружена постнекротическая псевдокиста ПЖ размерами 6,67´16,29 см с наличием капсулы, плотно прилегающая к задней стенке ПЖ
Рис. 3. КТ органов брюшной полости с болюсным усилением, артериальная фаза. В просвете псевдокисты ПЖ находится дренаж типа double pig tail. Полость псевдокисты ПЖ уменьшилась в размерах в два раза
В раннем послеоперационном периоде умерли трое пациентов (8,33 %). Причиной летального исхода послужила пневмония (1), хроническая болезнь почек 5-й стадии (1) и недиагностированная аденокарцинома ПЖ (1).
Стент удален через 4–7 месяцев после его установки у 27 из 33 выписанных.
Состояние пациентов перед извлечением дренажа было удовлетворительным, боли в брюшной полости прошли или значительно уменьшились. Полость кист по результатам УЗИ и КТ полностью спалась или уменьшилась до щелевидной, что служило основным критерием целесообразности удаления внутреннего дренажа [4; 9]. В одном случае (2,77 %) киста, несмотря на нормальное положение стента, не спалась через три месяца. При МРТ-ХГ диагностировали протяженное сужение терминального отдела холедоха увеличенной головкой ПЖ. Проведена эндоскопическая ретроградная папиллотомия и установка стента Фанели в гепатикохоледох (рис. 4), после чего киста уменьшилась в размерах в два раза.
Рис. 4. Протяженный стеноз терминального отдела холедоха на фоне панкреатита. Эндоскопическая ретроградная папиллотомия и установка стента Фанели в гепатикохоледох
Еще пяти пациентам стент не был удален, так как сохранялось кистозное образование ПЖ диаметром до 5 см. Им была выполнена МРТ-ХГ, при которой обнаружено сообщение кисты ПЖ с протоковой системой ПЖ. Эффективность трансмурального эндоскопического дренирования псевдокист ПЖ определяется наличием их связи с ГПП, протоковой гипертензией, а также проходимостью стента и длительностью его функционирования [4, 9, 10]. При нарушениях оттока панкреатического сока и желчи целесообразно использовать транспапиллярное стентирование ГПП и желчных протоков при функционирующем трансмуральном эндоскопическим дренаже.
Через 1–4 года после эндоскопического вмешательства удалось осмотреть 30 (90,91 %) пациентов. Двое пациентов за этот период умерли от декомпенсированного токсического цирроза печени, один переехал в другой регион. У остальных по данным КТ были обнаружены признаки хронического панкреатита: камни в ГПП и ткани ПЖ, ее атрофия. Девять пациентов с токсическим панкреатитом, которые продолжали злоупотреблять алкоголем, лечились консервативно 1–2 раза по поводу обострения хронического панкреатита. По результатам КТ отсутствие кист зарегистрировано в 24 случаях (80 %), кисты малого диаметра (от 15 до 24 мм) – в 3 (10 %) (см. рис. 1). У этих пациентов расширения ГПП и ОЖП не обнаружено, что свидетельствовало о нормальном оттоке панкреатического сока и желчи естественным путем. Пяти пациентам из них стент был удален через 10–14 месяцев после полного исчезновения просвета кисты по результатам контрольной КТ.
Кисты ПЖ сохранялись у трех пациентов (10 %). Они были оперированы по поводу осложнений панкреонекроза в срок до года после трансмурального эндоскопического дренирования псевдокист ПЖ. В одном случае в результате миграции стента вновь увеличились размеры кисты ПЖ с нарушением эвакуации из желудка. Пациентке выполнена «открытая» операция – наложение цистогастроанастомоза. В двух случаях через 7–10 месяцев после эндоскопического вмешательства в результате злоупотребления алкоголем снова возник острый панкреатит, который осложнился развитием ферментативного перитонита (1) и инфицированием содержимого кисты с наличием секвестров (1). Пациентам была выполнена лапаротомия, дренирование сальниковой сумки, полости кисты, брюшной полости. У них в послеоперационном периоде сформировался наружный панкреатический свищ с дебитом 200–250 мл в сутки. Им был установлен эндоскопический траспапиллярный стент в ГПП, что привело к закрытию панкреатического свища [11; 12].
В 14 случаях пациентам после трансмурального дренирования псевдокист ПЖ была выполнена лапароскопическая холецистэктомия по поводу калькулезного холецистита.
При проведении статистического анализа установлено, что клинический результат трансмурального эндоскопического дренирования псевдокист ПЖ зависел от исходной ширины ГПП и уровня амилазы крови до процедуры. Обнаружены положительные корреляции слабой и средней силы. Чем шире был ГПП и выше уровень амилазы крови, тем хуже был результат лечения (r = 0,43, p = 0, 03; r = 0,54, p = 0, 04 соответственно).
Выводы
- Трансмуральное эндоскопическое дренирование псевдокист поджелудочной железы позволяет добиться полного исчезновения или значительного уменьшения их размеров через год и более после вмешательства в 90 % случаев.
- Наличие кисты ПЖ по результатам УЗИ и КТ через 4–7 месяцев служит противопоказанием к удалению стента, а расширение общего желчного протока – показанием к его стентированию.
- Клинический результат трансмурального эндоскопического дренирования в лечении псевдокист поджелудочной железы зависел от исходной ширины главного панкреатического протока и уровня амилазы крови.
Финансирование. Исследование не имело спонсорской поддержки.
Конфликт интересов. Авторы заявляют об отсутствии конфликта интересов.
Вклад авторов равноценен.
About the authors
L. P. Kotelnikova
E.A.Vagner Perm State Medical University; Perm Regional Clinical Hospital
Author for correspondence.
Email: splaksin@mail.ru
MD, PhD, Professor, Head of the Department of Surgery with Course of Cardiovascular Surgery and Invasive Cardiology
Russian Federation, Perm; PermD. V. Trushnikov
Perm Regional Clinical Hospital
Email: splaksin@mail.ru
doctor of the Endoscopic Unit
Russian Federation, PermP. D. Khlebnikov
E.A.Vagner Perm State Medical University
Email: splaksin@mail.ru
resident of the Department of Surgery with Course of Cardiovascular Surgery and Invasive Cardiology
Russian Federation, PermReferences
- Parfenov I.P., Bedin V.V., Korzheva I.Yu., Vshabunin A.V., Komissarov D.Yu., Vengerov V.Yu. Low trauma treatment of chronic pancreatitis complicated by isolated pseudocysts of the pancreas. Moscow Surgical Journal 2018; 5 (63): 45–50 (in Russian).
- Lazutkin M.V., Ivanusa S.Y., Shershen D.P. Integrated use modern miniinvasive interventions under radiation guidance in the surgical treatment pancreatic cysts. Medical Visualization 2014; 4: 42–49 (in Russian).
- Pereira E., Caldeira A., Leite S., Moreira T., Moutinho-Ribeiro P., Nines N., Bispo M. GRUPUGE Perspective: Endoscopic ultrasound-guided drainage of peripancreatic collections. GE Port Journal Gastroenterology 2020; 28 (1): 39–51.
- Ivanusa S.Y., Lazutkin M.V., Shershen D.P., Eliseev A.V., Popov A.A. Differentiated approach to transmural endoscopic drainage in patients with pancreatic fluid formations. Moscow Surgical Journal 2022; (4): 9–19 (in Russian).
- Farias G.F.A., Bernardo W.M., De Moura D.T.H., Guedes H.G., Brunaldi V.O., Visconti T.A.C., Gonçalves C.V.T., Sakai C.M., Matuguma S.E., Santos M.E.L.D., Sakai P., De Moura E.G.H. Endoscopic versus surgical treatment for pancreatic pseudocysts: Systematic review and meta-analysis. Medicine (Baltimore) 2019; 98: e14255.
- Bang J.Y., Wilcox C.M., Arnoletti J.P., Varadarajulu S. Superiority of endoscopic interventions over minimally invasive surgery for infected necrotizing pancreatitis: meta-analysis of randomized trials. Dig Endosc. 2020; 32: 298–308.
- Proença I.M., Lera dos Santos M.E., Hourneaux de Moura D.T., Ribeiro I.B., Matuguma S.E., Cheng S., McCarty T.R, Silvino do Monte Junior E., Sakai P., Hourneaux de Moura E.G. Role of pancreatography in the endoscopic management of encapsulated pancreatic collections – review and new proposed classification. World J Gastroenterol. 2020; 26 (45): 7104–7117. Published online Dec 7, 2020.
- Popov A.A. Modern diagnostics and surgical treatment of pancreatic pseudocysts (Literature review). Izvesyia of the Russian military medical academy 2021; 40 (S 1–1): 125–128 (in Russian).
- Lazutkin M.V., Ivanusa S.Ya., Shershen D.P., Popov A.A. Modern drainage intervention in the surgical treatment pancreatic cysts. Izvesyia of the Russian military medical academy 2020; 39 (3): 82–85 (in Russian).
- Ivanusa S.Y., Demko A.E., Lazutkin M.V., Batig E.V., Kulagin V.I., Popov A.A. Minimally invasive external and internal drainage in the surgical treatment of pancreatic cysts. The Journal of Emergency Surgery named after I.I. Dzhanelidze 2022. 3 (8): 56–60 (in Russian).
- Feklyunin A.A., Romashchenko P.N., Maistrenko N.A.,Omran V.S. Prevention of complications of transpapillary endoscopic interventions. Bulliten of the Russian military medical academy 2021; 23 (3): 141–147 (in Russian).
- Malyuga Y.Yu., Davidova S.V., Klimov A.E.,, Gaboyan A.S., Kuprin A.A., Novoselova V.V. Potential for endoscopic treatment of patients with pancreatic psudocysts. Pacific Medical Journal 2011; 46 (4): 14–16 (in Russian).
Supplementary files






