Clinical case of surgical treatment of giant central anastomosis aneurysm after autovenous femoropopliteal bypass
- Authors: Samartsev V.A.1,2, Vaganov D.S.2, Oparin A.Y.1, Karasov I.A.1, Kruglov E.V.1, Goryunov S.N.1
-
Affiliations:
- E.A. Vagner Perm State Medical University
- City Clinical Hospital № 4
- Issue: Vol 38, No 1 (2021)
- Pages: 144-150
- Section: Clinical case
- Submitted: 08.12.2020
- Published: 22.01.2021
- URL: https://permmedjournal.ru/PMJ/article/view/54400
- DOI: https://doi.org/10.17816/pmj381144-150
- ID: 54400
Cite item
Full Text
Abstract
Ahterosclerosis of vessels of the lower extremities is widely distributed in the population. Open surgical revascularization is an efficient method for treatment of this pathology. One of the rare postoperative complications is an anastomosis aneurysm development. We report about a clinical case of a 74-year-old male with a giant (25 cm in diameter) aneurysm of the proximal anastomosis after femoropopliteal bypass. Open aneurysmectomy was performed, and the postoperative period was uneventful.
Full Text
Клиническое наблюдение
Пациент М., 74 года, поступил в отделение хирургии сердца и сосудов ГАУЗ ПК ГКБ № 4 г. Перми 07.01.2020. Обратился с жалобами на наличие крупного пульсирующего образования правой паховой области с периодическими незначительными наружными кровотечениями.
Анамнез заболевания: симптомы «перемежающейся хромоты» отмечает более 16 лет – с 2003 г. Консервативное лечение давало временный эффект, постепенно сокращалась дистанция безболевой ходьбы. В 2004 г. перенес реваскуляризирующую операцию на правой нижней конечности: аутовенозно-бедренно-подколенное шунтирование (АВБПШ) справа. В последние три года начал отмечать появление объемного пульсирующего образования в правой паховой области, в проекции послеоперационного рубца. За три недели до поступления начал отмечать резкий рост образования, неинтенсивные наружные кровотечения. Последнее кровотечение – 07.01.2020, пациент вызвал бригаду СМП, был доставлен в приемное отделение ГКБ № 4.
Объективный статус: состояние удовлетворительное. Кожа, слизистые физиологической окраски. Периферические лимфоузлы не увеличены. Сердце: тоны ритмичные, приглушены, шумов нет. ЧСС 96 уд/мин. АД = 150/90 мм рт. ст. Дыхание везикулярное, проводится во все отделы легких, хрипов нет. Живот мягкий, безболезненный при пальпации, перистальтика выслушивается. Стул, диурез, со слов пациента, в норме.
Локальный статус: на обеих ногах – выраженное варикозное расширение подкожных вен. Симптом Гаккенбруха положителен с обеих сторон. Пигментация кожи голени слева. Пульсация артерий нижних конечностей: на общей бедренной артерии с обеих сторон, дистальнее не определяется. Справа в паховой области имеется больших размеров (25×25 см) пульсирующее образование – аневризма с истонченным участком кожи по ее медиальной поверхности, прикрытым сгустком крови. Образование при пальпации умеренно болезненно. Повязка, наложенная бригадой СМП, незначительно промокла геморрагическим отделяемым.
Данные лабораторных и инструментальных исследований до операции:
– исследование уровня глюкозы в крови: глюкоза капиллярная 6,9 мМоль/л;
– общий анализ крови: гемоглобин (HgB) 122 г/л; эритроциты (RBC) 4,56·1012/л; лейкоциты (WBC) 10,3·109/л; гранулоциты (GRA) 62,0 %; лимфоциты (LYM) 29,4 %; моноциты (MID) 8,6 %; цветной показатель (MCH) 26,8 пг;
– биохимический анализ крови: глюкоза В 8,6 мМоль/л; АСТ 20 u/l; АЛТ 14 u/l; амилаза крови 19 u/l; натрий 145,0 мМоль/л; калий 3,91 мМоль/л; СРП 45,3 mg/l ; белок общий 77 г/л; альбумин 32 г/л; мочевина 6,3 мМоль/л; креатинин крови 129 мкМоль/л; скорость КФ MDRD 50,19 мл/мин; билирубин общий 8,4 мкМоль/л;
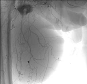
– брюшная аортография: под местной анестезией раствором новокаина (0,25%-ный, 20,0 мл) справа через общую межкостную артерию (локтевая и лучевая артерии окклюзированы). Инфраренальный отдел аорты атеросклеротически изменен, проходим. Справа стеноз общей подвздошной артерии до 60–70 %, наружной подвздошной артерии – до 55 %. Общая (ОБА) и глубокая (ГБА) бедренные артерии проходимы. Из терминальной части общей бедренной артерии контрастируется дополнительное образование размерами 20×16 см, с затеканием контрастного вещества в полость образования. Поверхностная бедренная артерия (ПБА) не контрастировалась на всем протяжении. Через коллатерали фрагментами выполняется подколенная (ПКЛА) и малоберцовая артерии. Слева окклюзия подвздошных артерий на всем протяжении (рис. 1).
Рис. 1. Артериографическая картина гигантской аневризмы проксимального анастомоза АВБПШ: 1 – просвет аневризмы; 2 – тромбированная полость аневризмы
После дообследования установлен следующий диагноз:
– основной диагноз: атеросклероз. Окклюзия обеих ПБА. Состояние после АВБПШ справа (2004). Окклюзия шунта;
– сопутствующие: гипертоническая болезнь 2-й степени III стадии, риск 4. Цереброваскулярная болезнь, перенесенное острое нарушение мозгового кровообращения в бассейне левой среднемозговой артерии (2018). Варикозная болезнь нижних конечностей CEAP: C2,S, Ep, As, p, Pr, 2,18 с обеих сторон;
– осложнения: гигантская ложная аневризма центрального анастомоза АВБПШ с разрывом. Хроническая артериальная недостаточность IIБ степени по Покровскому – Фонтейну.
Принято решение выполнить операцию в экстренном порядке (рис. 2).
Рис 2. Вид пациента на операционном столе
Операция: резекция аневризмы центрального анастомоза АВБПШ справа. Антибиотикопрофилактика: амоксициллин + клавулановая кислота – 1,2 г.
Под эндотрахеальным наркозом межмышечным доступом в подвздошной области справа была выделена наружная подвздошная артерия. Проекционным доступом в паховой области справа частично выделена аневризма. Размер аневризмы после выделения – 20×25 см. При вскрытии полости удалено до 1 л старых тромбов, сгустков и крови (рис. 3). Взят посев на микрофлору (результат от 09.01.2020 – рост микрофлоры не выявлен). Последовавшее после очищения полости кровотечение из общей бедренной артерии остановлено прошиванием нитью Prolene 0. Достигнут гемостаз. Возник значительный избыток тканей после удаления сгустков. Иссечен кожно-жировой лоскут вместе со стенкой аневризмы примерно 15×15 см. Послойное ушивание раны, дренирование резиновыми выпускниками.
Рис 3. Интраоперационная картина после вскрытия аневризмы и удаления сгустков и тромбов
В течение 13 койко-дней пациент находился под наблюдением в отделении сердечно-сосудистой хирургии. Проводилась антибиотикотерапия (цефтриаксон – 1,0 г внутримышечно 3 раза в день – 7 дней), анальгетическая терапия, антиагрегантная терапия (пентоксифиллин 2 % – 5,0 мл на 250,0 мл 0,9 % раствора NaCl один раз в день).
Данные дуплексного сканирования артерий нижних конечностей через 4 дня после операции (11.01.2020): выраженный кальциноз стенок всех магистральных артерий нижних конечностей. Справа: состояние после резекции аневризмы центрального анастомоза АВБПШ. Подвздошные артерии проходимы, стенозы 50–65 %. ОБА, ГБА проходимы. Окклюзия ПБА от устья. ПКЛА проходима, стенозы 30–70 %, Окклюзия берцовых артерий. Кровоток в подколенной и малоберцовой артериях коллатеральный. Слева окклюзии подвздошных артерий, общая и глубокая бедренные артерии проходимы. Окклюзия ПБА от устья, окклюзия берцовых артерий. Кровоток в ОБА, подколенной артериях коллатеральный.
На 13-е сутки после операции раны зажили первичным натяжением, швы сняты. Пациент выписан в удовлетворительном состоянии под наблюдение хирурга по месту жительства.
Результаты и их обсуждение
Облитерирующие заболевания артерий нижних конечностей встречаются у 19 % в популяции, в основном в возрасте от 40 до 59 лет, и в 29 % случаев – в группе старше 70 лет [1]. Эффективным методом лечения хронической артериальной недостаточности является реваскуляризация – как правило, это аортобедренные и подвздошно-бедренные шунтирования при окклюзии аорты и подвздошных артерий, бедренно-подколенное шунтирование при окклюзии поверхностной бедренной артерии [2].
Достаточно редким осложнением подобных операций является формирование аневризмы сосудистого анастомоза – расширения зоны соединения шунта и нативного сосуда [3]. По данным Aldemir et al. [4], аневризмы анастомозов бедренных артерий осложняют от 1 до 10 % сосудистых реконструкций на инфраингвинальном сегменте, что даже больше, чем доля осложнений при пункции бедренной артерии для эндоваскулярных процедур – от 0,1 до 5 % (в этом случае возможно образование ложных аневризм) [5, 6]. Известно, что при аортобедренном шунтировании аневризма дистального анастомоза возникает в три раза чаще, чем аналогичное поражение проксимального анастомоза (8,7 против 2,9 %) [7]. Вопрос о лечении подобных осложнений обсуждается в профессиональном сообществе достаточно долго – с момента массового начала сосудистых операций. Одна из самых цитируемых статей по теме (Szilagyietal) вышла в 1975 г. и во многом продолжает оставаться актуальной [8]. Коллектив авторов под руководством Pogorzelski (2013, 2014) выделяет следующие этиологические факторы развития анастомотических расширений:
1) инфекция зоне анастомоза;
2) повреждение или истончение стенки артерии вследствие прогрессирования атеросклероза или перенесенной эндартерэктомии;
3) технические причины (сосудистый протез, шовный материал, шов);
4) оперативная техника;
Данный клинический случай наиболее интересен выдающимися размерами развившейся аневризмы сосудистого анастомоза через 13 лет после реконструкции. Описываемые в литературе гигантские ложные аневризмы и аневризмы анастомозов редко превышают в диаметре 10–11 см [11–13]. Часто диаметр образования более 2,5 см рассматривается как показание к операции из-за высокого риска неблагоприятных исходов. В случае с аневризмами небольших размеров возможно их выключение из кровотока при помощи стент-графта [12, 13] или же окклюзия просвета при помощи чрескожной инъекции тромбина (что драматически снижает риск кровотечения при разрыве, наиболее успешно применяется при ложных аневризмах) [14, 15]. При образовании размером более 5–7 см в диаметре пациент испытывает выраженный дискомфорт, и в подобных случаях часто единственным выходом становится открытое хирургическое лечение. Реваскуляризирующая операция не была выполнена в связи с отсутствием воспринимающего дистального сосудистого русла.
Выводы
- Аневризма, возникшая в области анастомоза после сосудистой реконструкции, – показание для оперативного вмешательства. При подозрении на разрыв аневризмы хирургическая тактика должна быть активной: необходимо выполнить операцию в экстренном порядке для минимизации кровопотери и предотвращения осложнений.
- Характер вмешательства зависит от клинической ситуации – при гигантских аневризмах, осуществляющих компрессию соседних тканей, эффективно открытое хирургическое лечение.
Информированное согласие: пациент подписал информированное согласие на публикацию медицинских данных в научных целях.
About the authors
Vladimir A. Samartsev
E.A. Vagner Perm State Medical University; City Clinical Hospital № 4
Author for correspondence.
Email: samarcev-v@mail.ru
MD, PhD, Professor, Head of Department of General Surgery № 1
Russian Federation, PermDmitry S. Vaganov
City Clinical Hospital № 4
Email: imyarek.yozhin@mail.ru
cardiovascular surgeon
Russian Federation, PermAndrey Yu. Oparin
E.A. Vagner Perm State Medical University
Email: doctoroparin@mail.ru
cardiovascular surgeon, Head of Cardiovascular Surgery Unit
Russian Federation, PermIlya A. Karasov
E.A. Vagner Perm State Medical University
Email: imyarek.yozhin@mail.ru
ORCID iD: 0000-0001-9256-8709
sixth-year student
Russian Federation, PermEugeny V. Kruglov
E.A. Vagner Perm State Medical University
Email: eugene-kruglov@yandex.ru
cardiovascular surgeon
Russian Federation, PermStepan N. Goryunov
E.A. Vagner Perm State Medical University
Email: imyarek.yozhin@mail.ru
cardiovascular surgeon
Russian Federation, PermReferences
- Van de Weijer M.A.J., Kruse R.R., Schamp K., Zeebregts C.J., Reijnen M.M.P.J. Morbidity of femoropoplitealbypass surgery. Seminars in Vascular Surgery 2015; 28 (2): 112–121.
- Conte M.S., Bradbury A.W., Kolh P. et al. Global vascular guidelines on the management of chronic limb-threatening ischemia. Eur J Vasc Endovasc Surg 2019; 58: 1–109.
- Corriere M.A., Guzman R.J. True and false aneurysms of the femoral artery. Semin Vasc Surg 2005; 18 (4): 216–223.
- Aldemir M., Adali F., Akci Ö., Eerkoç S., Darçin O.T. A rare para-anastomotic femoral artery aneurysm in a patient with history of femoro-popliteal bypass graft occlusion. International Journal of Surgery Case Reports 2015; 10: 49–51.
- Biancari F., Ylönen K., Anttila V. et al. Durability of open repair of infrarenal abdominal aortic aneurysm: a 15-year follow-up study. J Vasc Surg 2002; 35: 87–93.
- Gurbuz A., Yetkin U., Yasa H., Aksun M., Calli A.O. Giant right femoral pseudoaneurysm diagnosed 7 years after cardiac catheterization. Tex Heart Inst J 2008; 35 (2): 222–223.
- Dilic M., Koco D., Kurtalic E., Herceglija E., Svrakic S. Thrombosed femoral artery pseudoaneurysm: complication of cardiac catheterization. Med Arh 2011; 65 (3): 185–187.
- Szilagyi D.E., Smith R.F., Elliott J.P., Hageman J.H., Dall'Olmo C.A. Anastomotic aneurysms after vascular reconstruction: problems of incidence, etiology, and treatment. Surgery 1975; 78 (6): 800–816.
- Pogorzelski R., Fiszer P., Toutounchi S. et al. Anastomotic aneurysms–20-years of experience from one center. Pol Przegl Chir 2013; 85: 181–191
- Pogorzelski R., Fiszer P., Toutounchi S. et al. Anastomotic aneurysms after arterial reconstructive operations--literature review. Pol Przegl Chir 2014; 86 (1): 48–56.
- Guerrero M.A., Zhou W., Kougias P., El Sayed H., Lin P.H. Multiple Giant Anastomotic Pseudoaneurysms of the Carotid and Femoral Arteries: Combined Endovascular and Open Surgical Approach. Vascular 2007; 15(3): 158–161.
- Mahjoob M.P., Khaheshi I., Naderian M. Stentassisted coiling of large common femoral artery pseudoaneurysm following coronary artery catheterization: an uncommon and novel approach. Rom J Intern Med 2017; 55(1): 57–59.
- Sanallah Q., Rubinshtein, R., Gabrielly, M., Jaffe R. Percutaneous Treatment of a Giant Infected Femoral Artery Pseudoaneurysm. JACC: Cardiovascular Interventions 2017; 10 (20): 2129–2130.
- Kim K.-S., Youn J.-M., Han W.-S., Yoon Y.-J., Yoo J.-H., Gu D.-Y., Rhee I. Successful Treatment of an Iatrogenic Giant Femoral Artery PseudoaneurysmWith Percutaneous Thrombin Injection. Korean Circulation Journal 2010; 40 (6): 292.
- Goel P.K., Modi N., Baijal S.S., Kathuria M., Agrawal S.K. Sonographically guided thrombin injection for the treatment of femoral artery pseudoaneurysm. Indian Heart J 2003; 55 (4): 365–367
Supplementary files






