Acute post-manipulation pancreatitis after interventions on the major duodenal papilla (experimental study)
- Authors: Rantsev M.A.1, Prudkov M.I.1, Chupakhin O.N.2
-
Affiliations:
- Ural State Medical University
- I.Ya. Postovsky Institute of Organic Synthesis of the Ural Branch of RAS
- Issue: Vol 40, No 5 (2023)
- Pages: 167-177
- Section: Biology and experimental medicine
- Submitted: 12.07.2023
- Published: 18.10.2023
- URL: https://permmedjournal.ru/PMJ/article/view/546033
- DOI: https://doi.org/10.17816/pmj405167-177
- ID: 546033
Cite item
Full Text
Abstract
Objective. To study the morphological consequences of severe acute post-manipulation pancreatitis (APP), the morphological features of its course and the result of the compound "L-17" exposure.
Materials and methods. Rats weighing 250–300 g were used. Forty operations were performed to create a model of APP on rats. The control group included 20 rats with APP without medication, the experimental group – 20 rats with AKI against the background of "L-17" introduced in the dose of 40 mg/kg once per day.
Results. In all cases of application of this APP model in rats, the development of acute pancreatitis was noted. The conducted morphological studies showed that APP in rats in the experiment met the criteria for a severe course of acute pancreatitis with the development of purulent peritonitis and necrotizing parapancreatitis with morphological manifestations of systemic inflammation in all the organs studied (with a lethality of 70 %). The use of a new "L-17" in APP in experimental rats showed a decrease in the risk for developing both purulent peritonitis and purulent-necrotic parapancreatitis as well as a 2-fold decrease in mortality (from 70 % to 30 %). A new effect of "L-17" was revealed, i.e. prevention of necrosis of Langerhans islets. The study of the cellular composition of the inflammatory infiltrate showed a decrease in the activity of inflammatory process.
Conclusions. The efficacy of a new rat model of APP, ranked by severity, was shown. "L-17" alleviates the severity of APP, reducing the risk for developing various purulent complications and systemic inflammation.
Full Text
Введение
Острый панкреатит, развивающийся после вмешательств на большом дуоденальном сосочке двенадцатиперстной кишки, рассматривается как нередкое осложнение данных вмешательств и может приводить к летальному исходу [1–8]. Каждый инцидент развития ОПП, даже в случае благоприятного исхода, может послужить причиной для проведения судебно-медицинской экспертизы с последующим судебным разбирательством.
Частота возникновения острого постманипуляционного панкреатита после вмешательств на большом дуоденальном сосочке (ОПП) варьируется от 3,5 до 15 % и более [5; 6; 9–14]. В 5–15 % наблюдений течение ОПП расценивается как тяжелое и сопровождается госпитализацией в отделение интенсивной терапии и реанимации [6; 13; 15]. При тяжелом течении ОПП наблюдается закономерно высокий уровень летальности (до 30 %) [16]. По данным многочисленных публикаций, посвященных данной проблеме, не существует единого мнения о значении того или иного фактора, инициализирующего развитие ОПП [2; 8; 9; 17; 18]. Это обстоятельство во многом предопределило отсутствие современного медикаментозного средства, помогающего решить или значительно облегчить эту актуальную проблему абдоминальной хирургии.
Цель исследования – проведение морфологических исследований, позволяющих оценить эффективность применения соединения «L-17» как представителя (2-морфолино-5-фенил-6Н-1,3,4-тиадиазин гидробромид) новой группы химических соединений 5-фенилзамещенных-6H-1,3,4-тиадиазин-2-аминов [19] для снижения выраженности воспалительной реакции и морфологические изменения течения ОПП на примере ранжированной по степени тяжести течения экспериментальной модели ОПП.
Материалы и методы исследования
Для проведения эксперимента были использованы здоровые половозрелые крысы массой 250–300 г, со стандартными условиями содержания в виварии Института иммунологии и физиологии Уральского отделения РАН. Проведенные экспериментальные исследования одобрены этическим комитетом при ФГБУН «Институт иммунологии и физиологии» УрО РАН и выполнены в соответствии с Положениями о лабораторных практиках РФ (Приказ Министерства здравоохранения № 267 от 19.06.2003).
Оперативное вмешательство по созданию модели (патент РФ на изобретение № 2400820 от 27.09.2010) острого постманипуляционного панкреатита заключалось в прецизионной перевязке главного панкреатического протока у места впадения в двенадцатиперстную кишку, чем воспроизводили патогенетический механизм развития острого постманипуляционного панкреатита после вмешательств на большом дуоденальном сосочке. Вывод животных из эксперимента проводили в 1-е и 7-е сутки (по 10 животных) гуманным способом, с последующим проведением гистоморфологических исследований. Эффективность модели относительно развития ОПП, отличавшегося тяжелой степенью течения, составила 100 %. Все животные были разделены на контрольную (20 особей) и экспериментальную группы (20 особей). Животным экспериментальной группы вводили соединение «L-17» однократно в сутки в дозе 40 мг/кг.
Данные представлены в формате M ± m. Проверка на нормальность данных была выполнена тестом Шапиро – Уилка, и результат его выполнения указал на нормальность распределения большинства показателей (p-value > 0,05). Критический уровень значимости при проверке статистических гипотез принимался равным 0,05. При сравнении лабораторных данных в 1 и 7 сутки использован U-тест Манна – Уитни, позволяющий сравнивать независимые выборки относительно выборочного распределения, так как тест Левена на гомогенность дисперсий указал на разнородность сравниваемых данных (p-value < 0,05).
Результаты и их обсуждение
Для гистоморфологического исследования были изъяты поджелудочная железа, легкие, печень, почки, селезенка и сердце. В контрольной группе развитие острого панкреатита отмечено у всех животных.
В контрольной группе в 1-е сутки течения ОПП в поджелудочной железе выявлялись массивные сливные очаги некроза, в перидуктальной области основного протока поджелудочной железы. Некротическим изменениям подвергались большинство экзокриноцитов нескольких прилегающих друг к другу долек одновременно. Площадь некротизированной паренхимы железы соответствовала распространенному панкреонекрозу. Некротизированные массы паренхимы поджелудочной железы были отмечены умеренно выраженной лейкоцитарной инфильтрацией, которая локализовалась преимущественно в периферийных участках некроза на границе с сохранившимися ацинарными структурами поджелудочной железы. В прилежащих областях к зонам некроза отмечали выраженный отек и расширение дольковых трабекул с умеренно выраженной лейкоцитарной инфильтрацией. В панкреатических островках Лангерганса, прилежащих к зонам некроза, имелись отек и деструкция панкреатоцитов. В легких наблюдали полнокровие сосудов и капилляростаз в перибронхиальных сосудах, в мелких и средних бронхах, которые обусловливали наличие сливных очаговых ателектатических очагов. В паренхиме селезенки структурных и воспалительных изменений не выявили. Сохранялась граница между красной и белой пульпой отчетливая, зональность лимфоидных фолликулов сохранена. В паренхиме печени изменения носили очаговый характер, отмечали очаговое полнокровие центральных вен и вен портального тракта, без расширения внутрипеченочных желчных. В почках имелось очаговое полнокровие синусоидальных сосудов коркового вещества с явлениями капилляростаза, в сосудистых клубочках наблюдали умеренно выраженный стромальный отек. В сердце гистологические изменения характеризовались наличием выраженного интерстициального отека в миокарде желудочков. Во всех отделах сердца определялось полнокровие подэпикардиальных сосудов с явлениями капилляростаза. Данные изменения косвенно указывали на наличие ишемических явлений в тканях сердца.
В экспериментальной группе развитие острого панкреатита наблюдали у всех животных. В экспериментальной группе на фоне введения соединения «L-17» в 1-е сутки в паренхиме поджелудочной железы также выявлялись сливные очаги некроза с интенсивной инфильтрацией поврежденных структур полиморфноядерными лейкоцитами, диффузный отек паренхиматозной части железы, полнокровие трабекулярных сосудов с очаговым лейкостазом и лейкодиапедезом. В 8 срезах из 10 обнаружили сохранение панкреатических островков Лангерганса в зонах, примыкавших к очагам некроза, в некоторых (60–70 %) панкреатических островках были видны дистрофические изменения панкреатоцитов. В респираторных отделах легких находили перибронхиальные (в мелких бронхах) лимфоидные инфильтраты с примесью небольшого количества полиморфноядерных лейкоцитов и очаги эмфизематозных изменений в виде кариопикноза ядер на фоне выраженного интерстициального отека. При исследовании селезенки структурных и воспалительных изменений не было, сохранялась зональность лимфоидных фолликулов и границы между белой и красной пульпой. В паренхиме печени отмечали очаговое полнокровие центральных вен и портальных трактов, без структурных и воспалительных изменений. При исследовании почек структурных и воспалительных изменений не выявили, имелась сохранность структур клубочкового аппарата и стромы почек. В сердце выявляли полнокровие подэпикардиальных сосудов с умеренно выраженным интерстициальным отеком, без воспалительных и ишемических проявлений.
Таким образом, в 1-е сутки течения ОПП при гистологическом исследовании комплекса органов выраженных различий не отмечали, за исключением сохранения жизнеспособности островков Лангерганса в экспериментальной группе в зонах, примыкавших к очагам некроза паренхимы железы. Выраженность воспалительных изменений в зонах некроза железы и окружающей клетчатке была сопоставима. Кроме того, изменения в легких в экспериментальной группе не характеризовались очагами ателектазов, а в сердце отсутствовали признаки ишемизации миокарда.
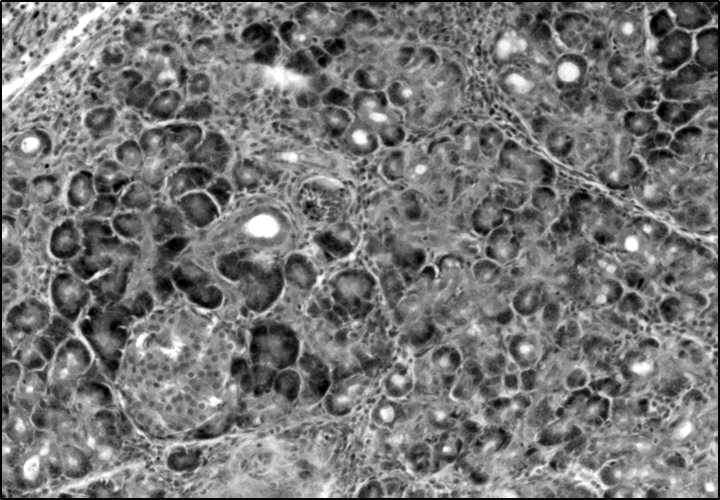
К 7-м суткам течения ОПП в контрольной группе в поджелудочной железе были расширены соединительнотканные междольковые трабекулы с признаками выраженного отека и интенсивной лейкоцитарной инфильтрацией. Ацинарные структуры экзокринной части долек железы в большинстве случаев визуализировались с признаками деструкции, сохранилась лишь малая часть экзокриноцитов (менее 30 %). Строма долек железы была инфильтрирована сегментоядерными лейкоцитами. Сохранившиеся панкреатические островки Лангерганса обнаруживались с признаками выраженного отека стромы, большинство клеток островков (более 50 %) было деструктивно изменено (рис. 1). В парапанкреатической клетчатке и висцеральной брюшине имелась интенсивная инфильтрация полиморфноядерными лейкоцитами, что свидетельствовало о развитии гнойного перитонита и гнойного парапанкреатита – флегмоны парапанкреатической клетчатки в брыжейке двенадцатиперстной кишки. Выявленные изменения соответствовали гистоморфологическим проявлениям второй фазы течения острого панкреатита с развитием гнойно-септических осложнений в виде гнойного перитонита и некротического парапанкреатита. В легких определялись сливные фокусы бронхопневмонии с поражением средних и мелких бронхов, в большинстве случаев обнаруживалось их слияние (фокусов) с развитием долевой пневмонии. В перибронхиальных сосудах в просвете отмечалось краевое стояние лейкоцитов и признаки лейкодиапедеза. В двух случаях (20 %) макроскопически выявлено осложнение пневмонии в виде эмпиемы плевры. В селезенке визуально обнаружено снижение числа лимфоидных фолликулов белой пульпы и оголение стромы органа, границы между красной и белой пульпой были стерты. В сохранившихся лимфоидных фолликулах была нарушена клеточная зональность. Данные изменения свидетельствовали о выраженной воспалительной реакции в паренхиме селезенки. В печени балочное строение органа было не изменено, но сохранялись признаки полнокровия сосудов венозного коллектора очагового характера, а в части портальных трактов перифокально обнаруживали мелкие круглоклеточные инфильтраты. В паренхиме органа определялись очаговые некрозы гепатоцитов в виде кариолизиса ядер и разрушенных клеточных мембран с круглоклеточной инфильтрацией. В части случаев (70 %) в портальных трактах обнаруживалась выраженная пролиферация протокового эпителия, множественные перипортальные некрозы и жировая дистрофия гепатоцитов, что указывало на вовлечение печени в системную воспалительную реакцию. В почках находили полнокровие сосудов, а в синусоидальных сосудах коркового вещества отмечали капилляростаз с очаговыми скоплениями лейкоцитов, что указывает на развитие острого нефрита. В сердце в миокарде желудочков выявляли признаки выраженного интерстициального отека, подэпикардиальные сосуды были полнокровны с явлениями капилляростаза. В миокарде предсердий – определялись подэпикардиальные фокусы деструкции кардиомиоцитов в виде кариопикноза ядер и распада саркоплазмы, круглоклеточная инфильтрация в зоне дистрофии кардиомиоцитов. Это позволяло говорить о наличии начальных признаков развития миокардита и перикардита, что подтверждало вовлечение сердца в системную воспалительную реакцию.
Рис. 1. Поджелудочная железа, некроз панкреатического островка, 7-е сутки, контрольная группа. Окр. гематоксилином и эозином, ув. ×200
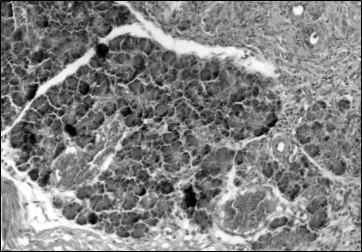
Рис. 2. Поджелудочная железа, жизнеспособный панкреатический островок, 7-е сутки, экспериментальная группа с соединением «L-17». Окр. гематоксилином и эозином, ув. ×200
Таким образом, во всех органах, взятых для гистологического исследования в контрольной группе с ОПП, к седьмым суткам фиксировались отчетливые воспалительно-некротические изменения. Максимальные изменения были выявлены, как и следовало ожидать, в паренхиме поджелудочной железы, включая протоки и эндокринный аппарат. Обнаруживались гнойно-септические осложнения в виде парапанкреатической флегмоны и гнойного перитонита. Выявление воспалительно-некротических изменений во всех исследованных органах позволяет говорить о развитии у животных в контрольной группе с ОПП проявлений системной воспалительной реакции. В контрольной группе к 7-м суткам из 10 выжило только трое животных.
В экспериментальной группе с ОПП на фоне введения соединения «L-17» к 7-м суткам в поджелудочной железе выявлялись очаговые некрозы части долек поджелудочной железы без тенденции к слиянию и очаговые некрозы в парапанкреатической клетчатке с формированием лейкоцитарного вала. В перифокальной области определялись функционально активные фибробласты с формированием грануляционной ткани. Обнаружена пролиферация протокового эпителия с формированием множественных мелких протоков. В зонах, примыкающих к некрозу, визуализировались жизнеспособные островки Лангерганса (в 7 срезах из 10) (рис. 2). В легких определялось полнокровие перибронхиальных сосудов, умеренная очаговая периваскулярная и перибронхиальная инфильтрация сегментоядерными лейкоцитами. Сформированные очаги пневмонии не выявлялись. В селезенке соотношение красной и белой пульпы соответствовало интактным животным, определялось незначительное нарушение зональности лимфоидных фолликулов без признаков лимфопении. В печени выявлялась умеренная лимфоидная инфильтрация портальных трактов и расширение синусоидальных сосудов, очагов абсцедирования или некрозов не выявлено. В почках структурных изменений не было, определялось только полнокровие сосудов и капилляростаз в синусоидальных сосудах коркового вещества, воспалительных изменений не было. В правых отделах сердца выявлялся капилляростаз и полнокровие подэпикардиальных сосудов с небольшим интерстициальным отеком.
Клеточный состав воспалительного инфильтрата поджелудочной железы при экспериментальном ОПМП
Группа | Гранулоциты в мм2 | Моноциты в мм2 | Лимфоциты в мм2 | Плазмоциты в мм2 |
ОПП, 1-е сут | 12,96 ± 0,56 | 1,7 ± 0,11 | 2,02 ± 0,12 | 1,0 ± 0,11 |
ОПП+ «L-17», 1-е сут | 8,6 ± 0,73 | 3,2 ± 0,49 | 9,1 ± 0,73 | 0,6 ± 0,14 |
ОПП, 7-е сут | 20,76 ± 1,16 | 1,82 ± 0,22 | 2,68 ± 0,30 | 0,66 ± 0,11 |
ОПП+ «L-17», 7-е сут | 7,75 ± 0,98 | 3,3 ± 0,38 | 7,6 ± 0,89 | 0,4 ± 0,11 |
Таким образом, на фоне введения соединения «L-17» в экспериментальной группе с ОПП в паренхиме железы выявилось преобладание процессов репарации и регенерации над воспалительно-деструктивными процессами. В 70 % было отмечено отсутствие разлитых гнойных осложнений панкреонекроза, таких как параорганная флегмона и распространенный перитонит. Обнаружено сохранение в жизнеспособном состоянии большей части панкреатических островков Лангерганса в областях, примыкающих к зонам некроза. В легких отсутствовало развитие долевой пневмонии. В остальных исследованных органах воспалительных изменений, характерных для развития системного воспаления, не выявили. В экспериментальной группе к 7-м суткам из 10 выжило 7 животных. Причиной летального исхода животных явилось развитие и прогрессирование гнойного перитонита и парапанкреатита.
Интересные данные были получены при исследовании клеточного состава воспалительного инфильтрата паренхимы поджелудочной железы (таблица).
Из данных таблицы следует, что воздействие соединения «L-17» при ОПП позволяет снизить выраженность воспалительного процесса, исходя из динамики клеточного состава воспалительного инфильтрата паренхимы поджелудочной железы. Прогрессирование воспалительной реакции в контрольной группе к 7-м суткам подтверждалось двукратным увеличением количества гранулоцитов. В экспериментальной группе большее количество лимфоцитов вкупе с моноцитами косвенно указывало на пролиферативную направленность течения воспалительного процесса на фоне соединения «L-17». Уменьшение числа плазмоцитов воспалительного инфильтрата поджелудочной железы и купирование всплеска концентрации цитокинов в 1-е сутки течения ОПП на фоне введения соединения «L-17» свидетельствовало о снижении выраженности системных проявлений воспалительной реакции. Уменьшение количества плазматических клеток в экспериментальной группе, в соответствии с данными литературы, указывало на снижение выброса в системный кровоток цитокинов, что «прерывало» инициализацию системной воспалительной реакции и способствовало снижению системной гипоперфузии в тканях [20–22].
Выводы
Полученные результаты свидетельствуют, что данная модель по многим параметрам воспроизводит острый постманипуляционный панкреатит тяжелой степени, что позволяет ее использовать для дальнейших исследований.
Снижение выраженности гнойно-некротических осложнений и частоты некроза островков Лангерганса, зарегистрированные в эксперименте после введений соединения «L-17», являются обнадеживающими и требуют дальнейшего изучения.
Финансирование. Исследование не имело спонсорской поддержки.
Конфликт интересов. Авторы заявляют об отсутствии конфликта интересов.
Вклад авторов равноценен.
About the authors
M. A. Rantsev
Ural State Medical University
Author for correspondence.
Email: r-ma@bk.ru
ORCID iD: 0009-0001-6515-7231
SPIN-code: 7422-3786
Candidate of Medical Sciences, Associate Professor, Department of Surgery, Coloproctology and Endoscopy
Russian Federation, YekaterinburgM. I. Prudkov
Ural State Medical University
Email: r-ma@bk.ru
MD, PhD, Professor, Chief Non-Staff Surgeon of the Ural Federal District, Head of the Department of Surgery, Coloproctology and Endoscopy
Russian Federation, YekaterinburgO. N. Chupakhin
I.Ya. Postovsky Institute of Organic Synthesis of the Ural Branch of RAS
Email: r-ma@bk.ru
Doctor of Chemical Sciences, Academician of RAS, Chief Scientist
Russian Federation, YekaterinburgReferences
- Karyampudi A., Nabi Z., Reddy D.N. Risk Factors and Prevention of Post-endoscopic Retrograde Cholangiopancreatography Pancreatitis: An Update. EMJ. 2021; 6 (4): 96–108.
- Akshintala V.S., Goenka M.K., Kamal A., Rai V.K., Ghosh S., Talukdar R., Khashab M.A., Kalloo A.N., Reddy D.N., Singh V., Dhaka N., Sinha S., Kochha R. Sa 1386 Risk Factors for Post-Endoscopic Retrograde Cholangiopancreatography (ERCP) Pancreatitis in High-Risk Patients: Secondary Analysis of a Randomized Controlled Study. GIE. 2017; 85 (5): AB219-AB220. doi: 10.1016/j.gie.2017.03.489
- Cahyadi O., Tehami N., de-Madaria E., Siau K. Post-ERCP Pancreatitis: Prevention, Diagnosis and Management. Medicina (MDPI) 2022; 58 (9): 1261. doi: 10.3390/medicina58091261
- Freeman M.L., DiSario J.A., Nelson D.B., Fennerty M.B., Lee J.G., Bjorkman D.J., Overby C.S., Aas J., Ryan M.E., Bochna G.S., Shaw M.J., Snady H.W., Erickson R.V., Moore J.P., Roel J.P. Risk factors for post-ERCP pancreatitis: a prospective, multicenter study. Gastrointest Endosc 2001; 54 (4): 425–34. doi: 10.1067/mge.2001.117550
- Mohammed A.O., Ahmed E.A.,
- Omar A.S., Hussein El-A. Risk factors for post-ERCP pancreatitis a prospective multicenter study in Upper Egypt. Egypt J Surg. 2015; 34 (1): 1–10. doi: 10.4103/1110-1121.153364
- Perdigoto D.N., Gomes D., Almeida N., Mendes S., Alves A.R., Camacho E., Tomé L. Risk Factors for Post-Endoscopic Retrograde Cholangiopancreatography Pancreatitis in the Indomethacin Era – A Prospective Study. GE Port J Gastroenterol. 2019; 26 (3): 176–183. doi: 10.1159/000492313
- Ribeiro I.B., Silvino do Monte Junior E., Neto A.A. M., Proença I.M., Hourneaux de Moura D.T., Minata M.K., Ide E., Lera dos Santos M.E., Luz G.O., Matuguma S.E., Cheng S., Baracat R., Hourneaux de Moura E.G. Pancreatitis after endoscopic retrograde cholangiopancreatography: A narrative review. World J Gastroenterol. 2021; 27 (20): 2495–2506. DOI: 10.3748 % 2Fwjg.v27.i20.2495
- Syrén E., Eriksson S., Enochsson L., Eklund A., Sandblom G. Risk factors for pancreatitis following endoscopic retrograde cholangiopancreatography. BJS Open. 2019; 3 (4): 485–489. doi: 10.1002/bjs5.50162
- Cotton P.B., Garrow D.A., Gallagher J., Romagnuolo J. Risk factors for complica-tions after ERCP: a multivariate analysis of 11,497 procedures over 12 years. Gastrointest Endosc. 2009; 70 (1): 80–88. doi: 10.1016/j.gie.2008.10.039
- Anderson M.A., Fisher L., Jain R., Evans J.A., Appalaneni V., Ben-Menachem T., Cash B.D., Decker G.A., Early D.S., Fanelli R.D. Complications of ERCP. Gastrointest Endosc. GIE. 2012; 75 (3): 467–473. DOI: 10.1016/
- j.gie.2011.07.010
- Matsubayashi H., Fukutomi A., Kanemoto H., Maeda A., Matsunaga K., Uesaka K., Otake Y., Hasuike N., Yamaguchi Y., Ikehara H., Kohei Takizawa K., Yamazaki K., Ono H. Risk of pancreatitis after endoscopic retrograde cholangiopancreatography and endoscopic biliary drainage. HPB (Oxford). 2009; 11 (3): 222–228. DOI: 10.1111 % 2Fj.1477-2574.2008.00020.x
- Andriulli A., Loperfido S., Napolitano G., Niro G., Valvano M.R., Spirito F., Pilotto A., Forlano R. Incidence rates of post-ERCP complications: a systematic survey of prospective studies. Am J Gastroenterol. 2007; 102 (8): 1781–1788. doi: 10.1111/j.1572-0241.2007.01279.x
- Dubravcsik Z., Hritz I., Szepes A., Madácsy L. Risk factors of post-ERCP pancreatitis in high-risk patients despite prevention with prophylactic pancreatic stents. Scand J Gastroenterol. 2020; 55 (1): 95–99. doi: 10.1080/00365521.2019.1701069
- Köseoğlu H., Solakoğlu T., Başaran M., Özer Sarı S., Tahtacı M., Yaman S., Selvi E., Ersoy O. Risk factors for post-ERCP pancreatitis: it depends on the ERCP indication. Acta Gastroenterol Belg. 2020; 83 (4): 598–602.
- Arslan U., Cayci H.M., Doğan G., Erdogdu U.E., Tardu A., Yiğit D., Firat Y.D., Şansal M. Post-ERCP complications, risk factors and management of complications. Laparosc Endosc Surg Sci. 2021; 28 (2): 93–98. doi: 10.14744/less.2021.58966
- Lin Y., Liu X., Cao D.-Q., Tang J.-H., Wen J.-J., Li T.-F., Liu P.-F., Xia T.-S. Analysis of risk factors and prevention strategies of post-ERCP pancreatitis. Eur Rev Med Pharmacol Sci. 2017; 21 (22): 5185–5190. doi: 10.26355/eurrev_201711_13838
- Colton J.B., Curran C.C. Quality indicators, including complications, of ERCP in a community setting: a prospective study. Gastrointest Endosc. 2009; 70 (3): 457–67. doi: 10.1016/j.gie.2008.11.022
- Chen J.J., Wang X.M., Liu X.Q., Li W., Dong M, Suo Z.W., Ding P., Li Y. Risk factors for post-ERCP pancreatitis: a systematic review of clinical trials with a large sample size in the past 10 years. Eur J Med Res. 2014; 19 (1): 26. DOI: 10.1186 % 2F2047-783X-19-26
- Chupakhin O.N., Sidorova L.P., Petrova N.M., et al. Substituted 5R1, 6R2 1,3,4-thiadiazine-2 amines and pharmaceutical compositions as pharmacologically active agents with anticoagulant and antiaggregant effects. RF patent No. 2 259 371, C2 MPK7 C 07 D 417/12, 417/04, A61 K 31/549, A61 P 7/02; Appl. 05/05/2033; Published 08/27/2009; Bulletin No. 24 (in Russian).
- Gribunov Yu. P., Baranov G.A., Davydovskaya T.I., and Skalozub O.I. Pathomorphological assessment of modern immunotherapy effectiveness in surgical sepsis. Kremlin medicine 2012; 2: 69–74 (in Russian).
- Pioli P.D. Plasma Cells, the Next Generation: Beyond Antibody Secretion. Front. Immunol. 2019; 10: 2768. doi: 10.3389/fimmu.2019.02768.
- Dang V.D., Hilgenberg E., Ries S., Shen P., Fillatreau S. From the regulatory functions of B cells to the identification of cytokine-producing plasma cell subsets. Curr Opin Immunol 2014; 28: 77–83. doi: 10.1016/j.coi.2014.02.009.
Supplementary files




