Therapeutic options in a patient with highly aggressive multiple sclerosis and genetic predisposition to autoimmune process: a clinical case
- Authors: Baidina T.V.1, Trushnikova T.N.1, Danchenko I.Y.2
-
Affiliations:
- E.A. Vagner Perm State Medical University
- Perm Regional Clinical Hospital
- Issue: Vol 40, No 6 (2023)
- Pages: 120-127
- Section: Clinical case
- Submitted: 22.07.2023
- Published: 20.12.2023
- URL: https://permmedjournal.ru/PMJ/article/view/562824
- DOI: https://doi.org/10.17816/pmj406120-127
- ID: 562824
Cite item
Full Text
Abstract
A clinical case of highly aggressive multiple sclerosis in a patient with a family history of demyelinating disease is presented. The effectiveness of early pathogenetic therapy by blocking the adhesion molecules of lymphocytes is demonstrated.
Full Text
Введение
Внедрение понятия «высокоагрессивный рассеянный склероз» (ВАРС) активно происходит на протяжении последних 10 лет.
Следует дифференцировать понятия «быстропрогрессирующий рассеянный склероз» и «высокоактивный рассеянный склероз» [1; 2].
Термин «быстропрогрессирующий рассеянный склероз» используется для наивных пациентов, у которых в течение одного года наблюдения имеют место два или более обострения с подтвержденным усилением инвалидизации и выявлением одного или более контрастируемого очага на Т1-ВИ или увеличением количества очагов на Т2-ВИ по данным МРТ головного и/или спинного мозга в сравнении с предшествующим исследованием. При этом речь идет об инвалидизирующем характере обострений [1; 2].
Характерными чертами ВАРС следует считать инвалидизирующий характер обострений, не менее двух за календарный год, непродолжительную ремиссию, вовлечение в процесс пирамидной и мозжечковой систем, уровень инвалидизации по шкале EDSS (Expanded disability status scale) 4,0 балла за 5 лет заболевания, неудовлетворительный ответ на терапию одним и более ПИТРС в течение года (не по причине непереносимости), наличие активности заболевания, несмотря на терапию в течение года (2 обострения с неполным восстановлением и более, МРТ с активными или новыми очагами (по данным МРТ-обследований, выполненных в 0-й, 3-й и 6-й месяц) [1; 2]. На основании вышеизложенного, как правило, необходимо принятие решения об эскалации терапии.
Единого определения ВАРС нет, но в любом случае – это быстрое инвалидизирующее течение заболевания [3; 4].
Большой объем поражения в режиме Т2 с признаками проницаемости гематоэнцефалического барьера является неблагоприятным прогностическим фактором.
Около 15 % пациентов имеют высокую активность процесса при установлении первичного диагноза [3].
Высокоагрессивный рассеянный склероз требует индукционной тактики терапии, терапии иммунореконституции либо раннего переключения на ПИТРС 2-й линии [5]. Возможные терапевтические опции при ВАРС включают натализумаб, финголимод, алемтузумаб, окрелизумаб, недавно ставший доступным по государственной программе препарат кладрибин [6] и оптиционно митоксантрон off label.
Клинический случай
Дебют заболевания у отца пациента, 1977 года рождения, произошел в возрасте 31 года в 2009 г., со слабости в ногах, которая распространялась на руки с формированием грубого спастического тетрапареза до быстрой инвалидизации I группы. Имело место подозрение на первично-прогрессирующее течение рассеянного склероза. Заболевание было рефрактерно гормональной терапии и плазмаферезу, октагаму, доступных на тот момент ПИТРС 1-й линии, цитостатику митоксантрону. В настоящий момент отцу пациента 43 года, отмечена полная невозможность самообслуживания, недержание мочи постоянно, нарушение речи с трудностью сглатывания.
Неврологический статус отца пациента: менингеальных знаков нет. Ориентирован полностью. Обращенную речь понимает. ЧН: нистагм горизонтальный и вертикальный легкий, объем движений глазных яблок полный, легкая асимметрия лица, язык по средней линии, поперхивание при приеме пищи, дизартрия. Лежит большую часть дня в постели. Пассивная гимнастика и уход. Сила: 0–1 балл в ногах; в руках – может подтянуть локти на 2,0 балла. Сложности разгибания левых ноги и руки за счет высокого тонуса. Высокие СХР D = S. Патологические знаки: кистевые Россолимо, Бабинского, клонусы обеих стоп, коленных чашечек и кистей рук. Отсутствие брюшных рефлексов. Снижение вибрационной чувствительности в стопах. В позе Ромберга не исследован ввиду тетраплегии и обездвиженности. Координаторные пробы невозможны. Тазовые функции нарушены по центральному типу. Утомляемость. Когнитивно сохранен.
Показатель EDSS 9 баллов ввиду ограничений передвижения и самоообслуживания.
МРТ-исследование:
– 23.07.2009: шейный отдел спинного мозга – зона гиперинтенсивного сигнала в структуре спинного мозга на уровне С1–С2 0,5´0,8´3,2 см, с распространением по длиннику спинного мозга на продолговатый мозг;
– 28.07.2009: головной мозг – без патологических изменений;
– 05.10.2009: грудной отдел спинного мозга – очагов демиелинизации нет;
– 13.09.2009, 19.11.2009, 03.04.2010, 07.12.2010, 29.06.2012: шейный отдел спинного мозга с контрастированием – демиелинизирующий процесс продолговатого и спинного мозга (на уровне С1–С2), без отрицательной динамики и активности;
– 29.06.2012: головной мозг – отрицательная динамика в виде появления очага демиелинизации в белом веществе височной доли слева субэпендимарно рогу левого бокового желудочка, с явлениями перифокального отека 1,1´0,8 см, очаг в продолговатом мозге прежний;
– 03.11.2012: головной мозг с контрастированием и МР-трактография 3 Тесла – очаги демиелинизации в белом веществе перивентрикулярные, очаг на уровне продолговатого мозга 29´6 мм, в режиме DTI определяется прерывание части кортикоспинальных трактов, локальная атрофия спинного мозга на этом уровне, без активности;
– 16.06.2013: головной мозг 3 Тесла – очаги перивентрикулярные, один юкстакортикальный, очаг на уровне продолговатого мозга без динамики в сравнении с 11.2012, локальная атрофия спинного мозга на этом уровне, смешанная гидроцефалия умеренной степени;
– 16.06.2013: шейный отдел спинного мозга 3 Тесла – очаг демиелинизации без динамики на уровне продолговатого мозга с переходом на спинной мозг, контраст не вводился;
– 02.11.2013: головной мозг и шейный отдел спинного мозга 3 Тесла – отчетливая визуализация очага не только на уровне продолговатого мозга, но по-прежнему и перивентрикулярных мелких и юкстакортикальных, очаги в белом и сером веществе, смешанная гидроцефалия умеренная, локальная атрофия спинного мозга на уровне крупного очага (на пересечении продолговатый и спинной мозг), незначительное увеличение площади очага.
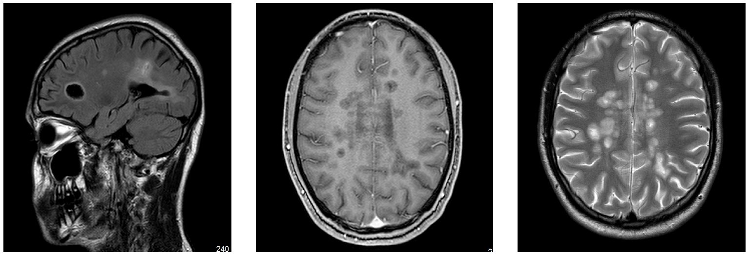
Сын пациента – Ш., 21 год – с августа 2019 г. при физических нагрузках, при ходьбе, в тепле – непостоянное снижение зрения сначала на левый, затем на правый глаз. Был осмотрен в Центре РС в январе 2020 г., диагноз: G37.9, вероятный рассеянный склероз, дебют. Состояние постепенно ухудшилось – наросли зрительные нарушения, появилась шаткость и чувствительные расстройства. Выполнено МРТ с контрастом 26.01.2020 (рис. 1): обострение, отек вокруг очагов, грубая активность процесса во все очагах, массивное накопление контраста, появление очагов в шейном отделе спинного мозга на уровне С2, также повышение сигнала и активность и области хиазмы справа, структурные изменения хиазмы слева.
Курс гормонотерапии с 28.01.2020 по 06.02.2020: дексаметазон в/в кап. 24–24–24–16–16–16–8–8–8–4–4–4 мг, далее преднизолон в табл. по 50 мг (10 табл.) со снижением дозы на 2 табл. в 3 дня.
Рис. 1. МРТ-изображения в режимах T2 ВИ и FLAIR, 26.01.2020
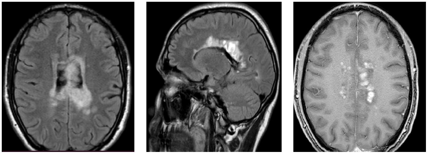
Рис. 2. МРТ-изображения в режимах T2 ВИ и FLAIR, 20.05.2020
На фоне гормонов – уменьшение шаткости, чувствительных и зрительных расстройств.
Новое обострение с середины мая 2020 г. – усиление шаткости, появились речевые нарушения – 2-е многоочаговое обострение за 4 месяца заболевания с отрицательной динамикой по МРТ (рис. 2).
МРТ-исследования до начала терапии:
– 08.01.2020: головной мозг – очаги демиелинизации в белом веществе, в мозолистом теле, мозжечке, с признаками отека. Джо 10–15 очагов. Лейкоареоз;
– 26.01.2020: головной мозг – отрицательная динамика в сравнении с 08.01.2020, обострение по МРТ, отек вокруг очагов, грубая активность процесса во всех очагах, массивное накопление контраста, появление очагов в шейном отделе спинного мозга на уровне С2, также повышение сигнала и активность и области хиазмы справа, структурные изменения хиазмы слева;
– 20.05.2020: головной мозг – ОРЭМ? Резко отрицательная динамика по количеству очагов, срединные структуры смещены вправо на 2 мм, от 3 до 40 мм, с умеренным перифокальным отеком, с кистозной трансформацией крупных, повышение сигнала от хиазмы с увеличением ее объема. Компримированы боковые желудочки с перивентрикулярным отеком. После контраста – выраженное неоднородное усиление сигнала по периферии от большинства выявленных очагов;
– 27.05.2020: шейный отдел спинного мозга – разновеликие очаги демиелинизации С1–С7, протяженностью до 16 мм, до 5,3 мм толщиной, без отека;
– 27.05.2020: грудной отдел спинного мозга – очаги демиелинизации Th9–Th12, протяженностью до 16 мм, до 4,3 мм толщиной, без отека;
– 03.06.2020: некоторая положительная МРТ-динамика, очаги 3–32 мм, с умеренным перифокальным отеком, уменьшением кистовидной деформации очагов, регресс активных очагов до 7 в лобных, теменных, височных долях, мозолистом теле. Повышение сигнала от хиазмы с признаками увеличения ее объема.
Госпитализация с 18.05.2020 по 04.06.2020 для дообследования (ликвор, аквапорин-4, КТ брюшной полости и грудной клетки, МРТ спинного и головного мозга). Уровень EDSS на момент госпитализации 4,0 балла. Обращало на себя внимание наличие белково-клеточной диссоциации в ликворе (белок повышен до 2,43 г/л) и наличие синтеза олигоклональных иммуноглобулинов в крови и ликворе 1-го типа (поликлонального, не характерного для аутоиммунной патологии).
Исключались идиопатическое аутоиммунное заболевание, недемиелинизирующее инфекционное заболевание и другие демиелинизирующие заболевания (острый рассеянный энцефаломиелит, заболевание спектра нейрооптикомиелита).
Данные дополнительных обследований. Флюорография легких – норма от 10.01.2020. Антитела к аквапорину – 4 и миелину от 27.01.2020 – отрицательные, данные за оптикомиелит сомнительные. ОАК, ОАМ, биохимический анализ крови, ЭКГ – без особенностей. Кровь на ВИЧ, RW, гепатиты от 20.05.2020 – отрицательные. Кровь на антитела к аквапорину-4 от 19.05.2020 – отрицательные. Кровь на антитела к эхинококкозу IgG и токсоплазмозу IgM, G от 27.05.2020 – не обнаружено. Ликвор от 21.05.2020: белок 2,43 г/л, цитоз 4 кл. в мм3 (нейтрофилы – 3, лимфоциты – 1), прозрачный, бесцветный. Ликвор на олигоклональные иммуноглоюбулины от 21.05.2020 – синтез олигоклольных иммуноглоублинов 1-го типа (поликлональный в крови и сыворотке). КТ органов грудной клетки 26.05.2020 – без патологии.
КТ органов брюшной полости 26.05.2020 – без патологии.
Проведен курс гормональной терапии: дексаметазон с 32 мг с переходом на таблетированный прием преднизолона.
У пациента имели место неблагоприятные прогностические факторы тяжелого течения заболевания – мужской пол, два инвалидизирующих обострения в первый год заболевания, полисимптомное начало с мозжечковыми симптомами. Неврологический статус после обострения: ЧН: зрение восстановилось до 1,0, нистагма нет, объем движений глазных яблок полный, лицо симметрично, язык по средней линии. Ходит на пятках, носках. СХР D = S с ног чуть выше фона. Патологические знаки – кистевые Россолимо, Бабинского справа. Брюшные рефлексы живые. Мышечная сила 4 балла в ногах. Чуть снижена вибрационная чувствительность в правой стопе. В позе Ромберга неустойчив, по прямой ходит неуверенно. Адиадохокинеза нет. ПНП, ПКП выполняет удовлетворительно. Тазовые нарушения отрицает. Когнитивно сохранен. Симптом Лермитта в анамнезе. EDSS 3,5 балла.
Была инициирована терапия ПИТРС 2-й линии – индукционная тактика – инфузии моноклонального антитела натализумаб с 06.2020. Введение натализумаба пациент переносит хорошо, получил 16 инфузий, за это время не зафиксировано клинических обострений и имела место положительная динамика на МРТ.
Натализумаб – первое гуманизированное моноклональное антитело, применяющееся в терапии ремиттирующего рассеянного склероза [7], с 15-летним опытом исследования в мировой практике.
Натализумаб в дозе 300 мг рекомендован пациентам с ВАРС начиная с 18 лет, с частотой внутривенной инфузии один раз в 28 дней с целью предотвращения обострений и активности заболевания по данным МРТ.
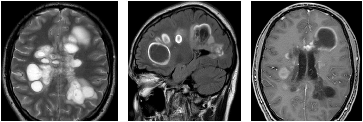
Рис. 3. МРТ-изображения в режимах T2 ВИ и FLAIR, 06.11.2020
Для обеспечения максимальной безопасности пациента во время лечения необходимо использовать план управления рисками данной терапии [7].
МРТ-исследования на фоне терапии ПИТРС натализумаб (рис. 3): 06.11.2020: положительная динамика, очаги 3–21 мм, с уменьшением размеров, один очаг копит контраст в левой теменной доле.
На МРТ от 09.09.2021: нарастание атрофических изменений мозолистого тела, полиморфизм очаговых изменений, тенденция к уменьшению очагов, без признаков активности процесса.
В настоящий момент сохраняются жалобы на шаткость, усталость при ходьбе в правой ноге, прохождение тока по позвоночнику, тремор рук.
Неврологический статус на фоне терапии натализумабом без отрицательной динамики.
Кровь на JC-вирус: индекс 0,77 – 27.05.2021 – положительный статус, что может потребовать расширенного интервала дозирования натализумаба после двух лет терапии и более частого МРТ-контроля на предмет бессимптомной ПМЛ (прогрессирующей мультифокальной лейкоэнцефалопатии).
Результаты и их обсуждение
Механизм действия препарата натализумаба заключается в связывании с α4-субъединицей интегринов человека, которые присутствуют в Т- и В-клетках, нарушении взаимодействия между α4-интегрином и молекулой адгезии эпителиоцитов сосудов ГЭБ1 (VCAM-1) и предотвращении адгезии и миграции лейкоцитов в паренхиму головного мозга [8].
Продолжена терапия высокоэффективным препаратом, обеспечивающим закрытие ГЭБ и уменьшение активности заболевания. Влияние препарата на долгосрочный прогноз заболевания, особенно при получении на ранней стадии, было показано в исследованиях [9].
Учитывая ремиссию на протяжении более календарного года, отсутствие отрицательной динамики на МРТ головного мозга, у пациента получен благоприятный ответ на терапию по шкале Rio [10].
В настоящий момент нет данных как о влиянии терапии моноклональным антителом натализумаб на восприимчивость пациента к новой коронавирусной инфекции, так и о необходимости сдвига сроков вакцинации, что существенно облегчает контроль за пациентом в рутинной практике [11].
Пациенту рекомендовано проведение МРТ головного мозга с контрастированием в сравнении с предыдущими снимками один раз в год для оценки эффективности и безопасности терапии. Необходима прицельная оценка лобных долей, субкортикальных очагов, диффузных очагов более 5 мм. Допустимо исследование по сокращенному протоколу (режим T2 ВИ ax, T2 FLAIR ax, DWI ax, T1 Gd).
После двух лет терапии, учитывая положительный JC-статус, дискутабелен перевод пациента на терапию альтернативными препаратом для лечения ВАРС.
Выводы
У пациентов с более агрессивной формой заболевания окно возможностей для успешного лечения может быть ́уже, чем у пациентов с менее агрессивным заболеванием. Своевременно поставленный диагноз обеспечивает возможность выбора оптимальной терапии ПИТРС. Активная тактика терапии ВАРС позволяет предотвратить дальнейшую инвалидизацию пациентов. Раннее выявление субъектов с агрессивным заболеванием имеет важное значение и для принятия терапевтических решений [5].
Финансирование. Исследование не имело спонсорской поддержки.
Конфликт интересов. Авторы заявляют об отсутствии конфликта интересов.
Вклад авторов равноценен.
About the authors
T. V. Baidina
E.A. Vagner Perm State Medical University
Author for correspondence.
Email: tatiana_baidina@mail.ru
ORCID iD: 0000-0002-5114-0463
MD, PhD, Professor, Department of Neurology and Medical Genetics
Russian Federation, PermT. N. Trushnikova
E.A. Vagner Perm State Medical University
Email: tatiana_baidina@mail.ru
ORCID iD: 0000-0001-9199-7392
Candidate of Medical Sciences, Associate Professor, Department of Neurology and Medical Genetics
Russian Federation, Perm; PermI. Yu. Danchenko
Perm Regional Clinical Hospital
Email: tatiana_baidina@mail.ru
ORCID iD: 0000-0002-3145-5409
neurologist
Russian Federation, PermReferences
- Rasseyannyj skleroz u vzroslyh i detej: Proekt klinicheskih rekomendacij. 2020, available at: https://mapcms.ru/upload/iblock/a0f/a0f94b14685f83883eb1b7e90bd8cd95.pdf (in Russian).
- Kasatkin D.S., Spirin N.N. Rasseyannyj skleroz v fokuse. Prikladnoe rukovodstvo. Moscow: Prakticheskaya medicina 2020 (in Russian).
- Díaz C., Zarco L.A., Rivera D.M. Highly active multiple sclerosis: An update. Mult Scler Relat Disord. 2019 May; 30: 215–224. DOI: 10.1016/ j.msard.2019.01.039. Epub 2019. PMID: 30822617.
- Arrambide G., Iacobaeus E., Amato M.P., Derfuss T., Vukusic S., Hemmer B., Brundin L., Tintore M. 2018 ECTRIMS Focused Workshop Group. Aggressive multiple sclerosis (2): Treatment. Mult Scler. 2020; 26 (9): 1352458520924595. doi: 10.1177/1352458520924595. Epub ahead of print. PMID: 32530366; PMCID: PMC7412878.
- Iacobaeus E., Arrambide G., Amato M.P., Derfuss T., Vukusic S., Hemmer B., Tintore M., Brundin L. 2018 ECTRIMS Focused Workshop Group. Aggressive multiple sclerosis (1): Towards a definition of the phenotype. Mult Scler. 2020; 26 (9): 1352458520925369. DOI: 10.1177/ 1352458520925369. Epub ahead of print. PMID: 32530385; PMCID: PMC7412876.
- Bowen J.D. Highly Aggressive Multiple Sclerosis. Continuum (Minneap Minn). 2019; 25 (3): 689–714. doi: 10.1212/CON.0000000000000731. PMID: 31162312.
- Davydovskaya M.V., Hachanova N.V., Evdoshenko E.P., Pronin I.N., Bojko A.N., Zaharova M.N., Alifirova V.M., Turova E.A., Malkova N.A., Siverceva S.A., Cukurova L.A., Skoromec A.A., Solodun I.YU. Rekomendacii po algoritmu vybora preparata i planu upravleniya riskami terapii Natalizumabom u pacientov s remittiruyushchim rasseyannym sklerozom. Moscow 2018 (in Russian).
- Khoy K., Mariotte D., Defer G., Petit G., Toutirais O., Le Mauff B. Natalizumab in Multiple Sclerosis Treatment: From Biological Effects to Immune Monitoring. Front Immunol. 2020; 11: 549842. doi: 10.3389/fimmu.2020.549842. PMID: 33072089; PMCID: PMC7541830.
- Khachanova N.V. Vysokoaktivnyĭ rasseiannyĭ skleroz – vozmozhnosti vybora terapii monoklonal'nymi antitelami. Zh Nevrol Psikhiatr Im S.S. Korsakova 2019; 119: 49–57. doi: 10.17116/jnevro20191191049. PMID: 3193498.
- Parks N.E., Flanagan E.P., Lucchinetti C.F., Wingerchuk D.M. NEDA treatment target? No evident disease activity as an actionable outcome in practice. J Neurol Sci. 2017; 383: 31–34. doi: 10.1016/j.jns.2017.10.015.
- Zheng C., Kar I., Chen C.K., Sau C., Woodson S., Serra A., Abboud H. Multiple Sclerosis Disease-Modifying Therapy and the COVID-19 Pandemic: Implications on the Risk of Infection and Future Vaccination. CNS Drugs. 2020; 34 (9): 879–896. doi: 10.1007/s40263-020-00756-y. PMID: 32780300; PMCID: PMC7417850.
Supplementary files



