Effective treatment of septic shock using oXiris-therapy in a patient with diffuse fecal peritonitis and severe comorbid background
- Authors: Kotelnikova L.P.1,2, Vereshchagin A.V.2, Sadilov M.V.2
-
Affiliations:
- E.A. Vagner Perm State Medical University
- Perm Rgional Clinical Hospital
- Issue: Vol 40, No 5 (2023)
- Pages: 133-141
- Section: Clinical case
- Submitted: 18.12.2023
- Accepted: 18.12.2023
- Published: 18.10.2023
- URL: https://permmedjournal.ru/PMJ/article/view/624802
- DOI: https://doi.org/10.17816/pmj405133-141
- ID: 624802
Cite item
Full Text
Abstract
To assess the efficiency of using the methods of extracorporeal detoxification in the complex treatment of sepsis and septic shock so as to eliminate endotoxin, cytokines as well as to replace the function of organs. The article presents a successful experience of using two sessions of hemofiltration with an oXiris set for extrarenal indications in a patient with diffuse fecal peritonitis and severe comorbid background after surgery. The complex of therapeutic measures, dynamics of clinical and laboratory data before and after both sessions of oXiris therapy is presented. Positive effect of hemofiltration on the patient's condition using the oXiris set was noted 48–72 hours after the start of the procedure and 72 hours after its completion. The use of two sessions of oXiris therapy in the treatment of septic shock in a patient with diffuse fecal peritonitis and severe comorbid background allowed stabilizing hemodynamics 48–72 hours after the start of treatment; a significant improvement of a patient’s condition occurred 72 hours after the end of the second procedure.
Full Text
Введение
Несмотря на возможности современной медицины, летальность при септическом шоке на фоне абдоминального сепсиса в результате перитонита, ишемии кишечника, панкреатита остается высокой и составляет более 40 % [1–3]. Вторичный разлитой перитонит остается наиболее распространенной формой абдоминальной хирургической инфекции, а абдоминальный сепсис (АС) – самая тяжелая форма течения инфекций брюшной полости, являющаяся системным жизнеугрожающим синдромом. Успех лечения во многом зависит от ранней диагностики, эффективной своевременной санации источника перитонита, адекватной антибактериальной терапии и интенсивного послеоперационного лечения [1; 4]. Многие клиницисты в комплексном лечении сепсиса и септического шока используют методы экстракорпоральной детоксикации [5–7]. Применяют селективную адсорбцию липополисахаридов, плазмофильтрацию, заместительную почечную терапию. Четких рекомендаций по их выбору, срокам и продолжительности применения пока нет. При определении показаний к экстракорпоральной детоксикации учитывают клинические данные, а также тяжесть эндотоксемии по результатам лабораторных исследований [5–7]. В 2019 г. была предложена концепция последовательной экстракорпоральной терапии при сепсисе (Sequential Extracorporeal Therapy in Sepsis), согласно которой на основании мониторинга активности эндотоксина (ЕАА), тяжести состояния пациента, посевов крови на бактериальную флору рекомендована незамедлительная селективная сорбция липополисахаридов (LPS-сорбция) с последующей заместительной почечной терапии. Согласно результатам, полученным De Rosa и соавт., эта стратегия была наиболее эффективна при повышении ЕАА более 0,6, лактата более 2 ммоль/л у пациентов с количеством баллов по шкале SOFA более 10 или при уровне ЕАА менее 0,6, но с наличием бактериемии [8]. Гемофильтр oXiris (Baxter, США) позволяет проводить заместительную почечную терапию, а его покрытие полиэтиленимином адсорбирует эндотоксины и цитокины из кровотока. В ряде исследований уже показана его эффективность применения в лечении пациентов септическим шоком с выраженной почечной недостаточностью [9–11]. Некоторые клиницисты использовали этот метод в лечении сепсиса и септического шока без почечной недостаточности [12; 13]. В то же время окончательных выводов о широком использовании этого типа мембран в лечении септического шока, пока не сделано.
Цель исследования – продемонстрировать результаты успешного лечения септического шока с применением по внепочечным показаниям oXiris-терапии у больного с разлитым каловым перитонитом и тяжелым коморбидным фоном.
Клинический случай
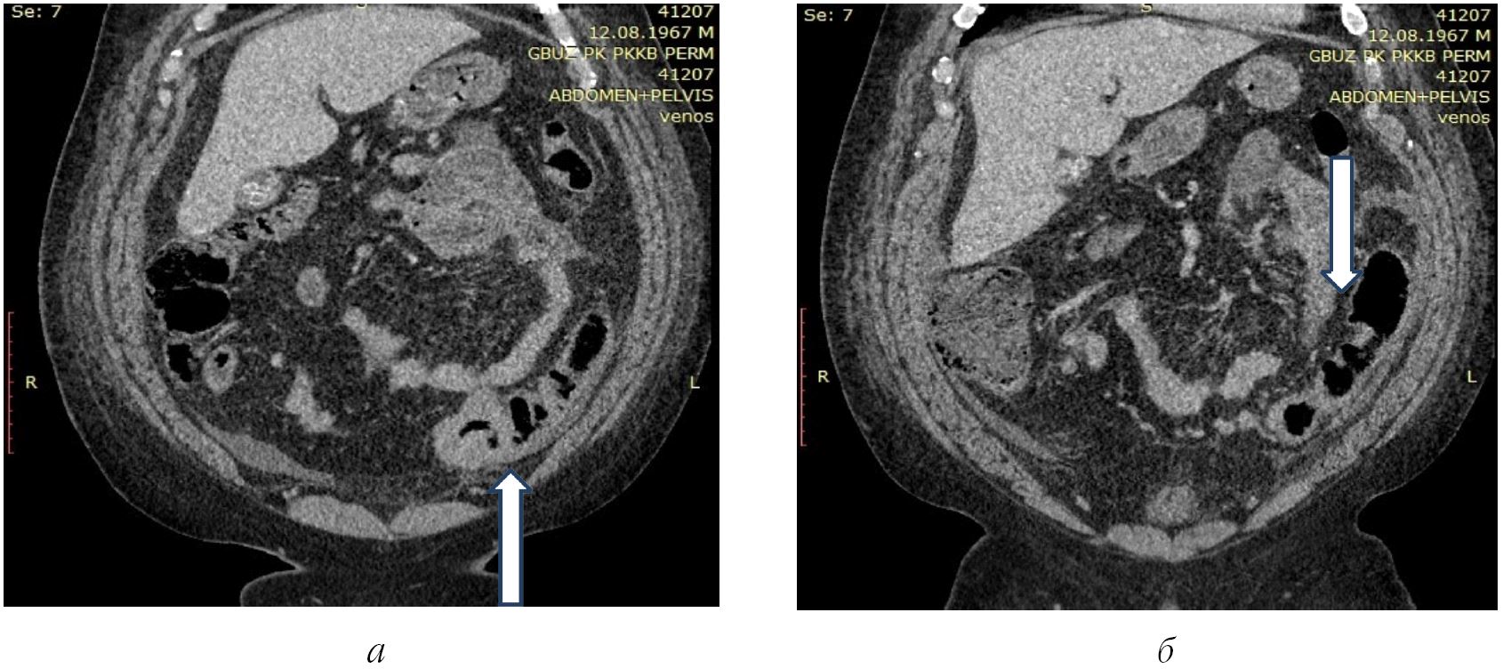
Пациент К., 54 года, поступил в экстренном порядке 13.11.2021 в приемное отделение Пермской краевой клинической больницы с жалобами на постоянную ноющую боль в обеих подвздошных областях, тошноту, одышку. Заболел остро за 3 ч до поступления. При осмотре состояние средней тяжести. Пациент с морбидным ожирением, рост – 175 см, вес – 148 кг, индекс массы тела 48,9. В сознании, адекватен. Температура тела нормальная. Частота дыхательных движений – 22 в мин, частота сердечных сокращений – 84 в мин, артериальное давление (АД) – 150/90 мм рт. ст., SpO2 – 98 %. Живот значительно увеличен в размерах за счет избыточной подкожно-жировой клетчатки. Перистальтика выслушивается. Симптом Щеткина – Блюмберга положительный в обеих подвздошных областях. Per rectum: сфинктер тоничен, ампула прямой кишки заполнена оформлены каловыми массами физиологической окраски. На глубине 7 см патологических образований не найдено. В общем анализе крови лейкоцитов 11,05·109, палочек – 17 %, миелоциты – 1 %, глюкоза – 9,5 ммоль/л, креатинин – 77 ммоль/л, мочевина – 3,5 ммоль/л, общий билирубин – 25 ммоль/л, билирубин прямой – 12 ммоль/л, СРП – 102. Выполнен обзорный снимок живота, на котором газа в свободной брюшной полости не обнаружено. При УЗИ органов брюшной полости под диафрагмой и в тазу жидкости не найдено. Исследование было затруднено из-за повышенной массы тела. При КТ с болюсным усилением под диафрагмой, по фланкам с обеих сторон, а также между петель тонкой кишки обнаружено умеренное количество свободной жидкости. Определяется неравномерное утолщение стенки сигмовидной кишки на протяжении 10 см без обструкции, единичные дивертикулы восходящей кишки диаметром до 1 см без убедительных признаков перифокального воспаления (рисунок).
Рис. Пациент К.: а, б – КТ брюшной полости с болюсным усилением, венозная фаза; а – неравномерное утолщение стенки сигмовидной кишки на протяжении 10 см без нарушения проходимости; б – единичные дивертикулы нисходящей кишки без признаков перфорации
Диагноз – дивертикулярная болезнь левой половины толстой кишки. Перфорация дивертикула? Перитонит.
Пациент доставлен в операционную, где была выполнена лапароскопия, при которой в брюшной полости обнаружен гнойный выпот. Произведена конверсия. В брюшной полости большое количество мутного выпота с неприятным запахом. Взят материал для посева на бактериальную флору. В проксимальной трети сигмовидной кишки обнаружена плотная опухоль с эндофитным ростом 5´2 см, прорастающая серозную оболочку. На передней стенке опухоли имелось перфоративное отверстие 3 мм, из которого поступало каловое содержимое. Выполнена обструктивная гемиколэктомия слева. Брюшная полость санирована, дренирована 4 трубчатыми дренажами. Диагноз после операции – злокачественная опухоль сигмовидной кишки Т3,Nx,M0, осложненная перфорацией и разлитым каловым перитонитом. Во время операции в связи с гипотензией начато введение норадреналина в дозе 0,45 мк/кг/мин.
После операции пациент на ИВЛ переведен в ОРиТ. SOFA – 8 баллов: сердечно-сосудистая – 4 и дыхательная система – 3, печеночная недостаточность – 1 балл. Гемодинамика поддерживалась введением адреналина в дозе 0,45 мкг/кг/мин, индекс оксигенации – 98. Прокальцитонин (ПКТ) – 1,92 нг/мл, пресепсин – 316 пг/мл, лактат – 1,9 ммоль/л. Активность эндотоксина (ЕАА) составила 0,34, Response – 0,99. Назначена антибактериальная терапия – меронем, линезалид, флюконазол. Пациент уложен в прон-позицию. Через 24 ч после оперативного вмешательства состояние отмечено увеличение индекса оксигенации до 162. Доза симпатомиметиков не изменилась. Суточный диурез составил 1200 мл, мочевина – 96,6 ммоль/л, креатинин – 5,2 мкмоль/л, глюкоза крови – 10,2 ммоль/л, гликогемоглобин А1с – 8 %. Осмотрен эндокринологом, диагностирован впервые выявленный сахарный диабет 2-го типа. У пациента отмечались выраженные периферические отеки на нижних и верхних конечностях при сохраненном диурезе и нормальных показателях креатинина, мочевины. Отмечено повышение ЕАА, уровня ПКТ, пресепсина, лактата (таблица). Пациент находился без сознания, реагировал на болевые раздражители. SOFA – 11 баллов: сердечно-сосудистая – 4, дыхательная – 4, нервная система – 3.
Клинические и лабораторные показатели до и после гемосорбций с применением мембраны oXiris
Показатель | До гемосорбции № 1 | Через 24 ч после | До гемосорбции № 2 | Через 24 ч после гемосорбции № 2 |
Общие баллы по шкале SOFA | 11 | 3 | 8 | 4 |
Температура тела, °С | 37,8 | 37,7 | 37,5 | 36,5 |
Суточный диурез, мл | 2400 | 2200 | 1800 | 2500 |
Индекс оксигенации | 162 | 308 | 102 | 255 |
Доза норадреналина, мг/кг/мин | 0,45 | 0 | 0,06 | 0 |
Лактат, ммоль/л | 2,6 | 1,4 | 2,6 | 1,3 |
Эритроциты, 10 12/л | 4,15 | 4,12 | 3,56 | 3,95 |
Тромбоциты, 10 9/л | 255 | 236 | 272 | 259 |
Лейкоциты, 10 9/л | 11,05 | 6,51 | 10,92 | 18 |
Доля палочкоядерных нейтрофилов, % | 17 | 3 | 6 | 8 |
Доля миелоцитов, % | 1 | 0 | 2 | 0 |
Глюкоза крови, ммоль/л | 12,2 | 10,4 | 8,7 | 7,8 |
Мочевина, ммоль/л | 2,8 | 5,6 | 5,1 | 5,1 |
Креатинин, мкмоль/л | 74,4 | 66,6 | 71,4 | 69,8 |
Общий билирубин, ммоль/л | 17 | 11,7 | 16,2 | 19,9 |
СРП, мг/л | 141,6 | 115 | 122 | 96 |
ПКТ, нг/мл | 2,31 | 0,52 | 1,91 | 0,14 |
Пресепсин, пг/мл | 2418 | 1566 | 1611 | 590 |
ЕАА, усл. ед. | 0,77 | 0,46 | 0,51 | 0,3 |
Response | 0,99 | 0,98 | 0,98 | 0,97 |
15.11.2021 наложена трахеостома и начата длительная заместительная почечная терапия CVVHDF в режиме постдилюции с сетом oXiris (Baxter, США) через 32 ч после оперативного вмешательства. Сосудистый доступ был осуществлен двухпросветным катетером 12 Fr, способ подключения – веновенозный через перфузионный аппарат Primaflex (фирма Baxter, США). Использовано массообменное устройство – гемофильтр с мембраной oXiris. Скорость перфузии составила 180 мл/мин, поток замещения – 200 мл/ч, объем замещения – 22 мл/кг/ч. Учитывая отсутствие у пациента печеночной недостаточности, региональную антикоагуляцию проводили цитратно-кальциевой смесью. Продолжительность сеанса составила 72 ч. Во время процедуры проведено дополнительное обследование. Эхокардиография от 16.11.2021: полости сердца расширены, гипертрофия левого желудочка, гипокинез передней стенки и базальных отделов. Фракция выброса составила 37 %, обнаружены плотные бляшки на створках аортального клапана. Рентгенография легких от 14, 16, 17 ноября 2021 г.: гиповентиляция легких в нижних отделах с обеих сторон с признаками небольшого количества жидкости в плевральных полостях. Проводилась неоднократно санационная фибробронхоскопия. Бактериальные посевы крови, мочи, эндотрахеального аспирата от 15.11.2021 оказались стерильными. Из экссудата брюшной полости высеяны E.coli, Enterobacter cloacae, Enterococcus faecalis 1·103.
После окончания процедуры 17.11.2021 гемодинамика стабильная без вазопрессорной поддержки. Индекс оксигенации увеличился почти в два раза, а уровень лактата нормализовался (см. таблицу). Появилась перистальтика, отходили газы и стул по колостоме. SOFA составила 3 балла за счет дыхательной недостаточности (1) и неврологического дефицита (2). ПКТ нормализовался, активность эндотоксина снизилась на 40 % при нормальном Response – 0,98 (см. таблицу).
В течение последующих двух дней состояние оставалось стабильно тяжелым без положительной динамики. Активность ЕАА и уровень лактата начали снова увеличиваться при нормальном содержании ПКТ, креатинина, мочевины, калия. У пациента имелись выраженные отеки на нижних конечностях, брюшной стенке. Снова возникла необходимость в назначении норадреналина в дозе 0,06 мг/кг/мин. При рентгеноскопии легких обнаружена двусторонняя гипостатическая пневмония. Произведена фибробронхоскопия, был диагностирован двусторонний диффузный эндобронхит 1–2-й степени активности. УЗИ от 19.11.2021: гепатомегалия, стеатоз печени, в полости желчного пузыря множественные мелкие конкременты, свободной и осумкованной жидкости в брюшной полости нет. SOFA составила 8 балла за счет дыхательной (3), сердечно-сосудистой недостаточности (3) и неврологического дефицита (2).
Через двое суток, 20.11.21, инициирован повторный сеанс длительной заместительной почечной терапии в режиме CVVHDF oXiris со скоростью перфузии 180 мл/мин и объемом замещения 21 мл/кг/ч. Продолжительность гемофильтрации составила 48 ч. После процедуры пациент в сознании с когнитивными нарушениями, выполняет простые команды, гемодинамика стабильная без вазопрессорной поддержки, индекс оксигенации увеличился в 2,5 раза, снизился уровень пресепсина и активность ЕАА, нормализовалось содержание ПКТ. SOFA составила 4 балла за счет дыхательной недостаточности (2) и неврологического дефицита (2).
Рентгеноскопия легких от 22.11.2021: гиповентиляция легких в нижних отделах с обеих сторон, сохраняется небольшое количество жидкости в плевральных полостях. Бактериальные посевы крови и мочи 23.11.2021 стерильны. Из эндотрахеального аспирата высеяна Klebsiella pneumonia.
С 25.11.2021 спонтанное дыхание через трахеостому, в сознании, выполняет простые команды. Периферических отеков нет. ПКТ, пресепсин в пределах референсных значения. Произведена смена антибиотиков – макситам, тигацил, полимиксин, флюканазол. Нормализовалась температура тела, газы отходят, стул ежедневно через колостому. С 29.11.2021 спонтанное дыхание через трахеостому. 02.12.2021 деканюлирован. Через три дня пациент переведен в профильное хирургическое отделение. При гистологическом исследовании удаленного препарата диагностировано злокачественное новообразование сигмовидной кишки, инвазивная аденокарцинома (HG) G3; pT3N2b (16+/2–), pL1, pV1, Pn1, R0. Выписан 10.12.021 в удовлетворительном состоянии с диагнозом: злокачественное новообразование сигмовидной кишки, инвазивная аденокарцинома (HG) G3; pT3N2b. Перфорация опухоли сигмовидной кишки, разлитой каловый перитонит, абдоминальный сепсис, септический шок. СВОН, ОРДС. Гипостатическая двусторонняя пневмония. Сопутствующие заболевания – морбидное ожирение, сахарный диабет 2-го типа (впервые выявленный), гипертоническая болезнь 3-й ст., 3-й ст., риск 4, калькулезный холецистит.
Результаты и их обсуждение
На представленном клиническом примере показана эффективность применение oXiris-терапии по внепочечным показаниям в лечении септического шока у больного с разлитым каловым перитонитом и тяжелым коморбидным фоном (морбидное ожирение, сахарный диабет 2-го типа, впервые выявленный, гипертоническая болезнь). Гемофильтр в сете oXiris состоит из трех различных слоев, что позволяет проводить заместительную почечную терапию, неселективно удалять из кровотока эндотоксины и цитокины. Кроме того, мембрана при изготовлении покрыта гепарином 4500 UI/m2, в результате чего она обладает местными антикоагулянтными свойствами, что дает возможность снизить дозу гепарина для системного применения у пациентов с высоким риском кровотечения [8; 10]. Последние годы oXiris-терапию с успехом применяют в лечении септического шока с развитием почечной недостаточности, причем некоторые врачи отмечают хороший результат лечения при абдоминальном сепсисе [11; 13; 14]. Клинические исследования показали, что применение oXiris-терапии увеличивает АД, снижает дозы вазопрессоров, уменьшает недостаточность функций органов, снижает активность эндотоксина, содержание цитокинов и ПКТ [9; 13–15]. В некоторых случаях сет oXiris был с успехом использован в лечении септического шока у пациентов без почечной недостаточности [12–15]. Учитывая эти результаты, была использована oXiris-терапия у пациента с септическим шоком в результате разлитого калового перитонита и с тяжелым коморбидным фоном. Особенность случая заключалась в наличии выраженного ожирения, что вызывало трудности с ИВЛ, а также с уходом. Показанием к применению oXiris-терапии через 32 ч после операции послужили утяжеление полиорганной недостаточности по шкале SOFA до 11 баллов, ЕАА – 0,77. Показания к oXiris-терапии пока четко не определены, хотя большинство исследований применяют ее при ЕАА более 0,6, гиперлактатемии более 2 ммоль и более 10 баллов по шкале SOFA [5–8; 10].
Показанием к проведению повторной процедуры послужило ухудшение состояния пациента с увеличением баллов по шкале SOFA до 8, а также тенденция к увеличению активности ЕАА. Через 24 ч после проведения повторной гемофильтрации с сетом oXiris отмечено снижение баллов по шкале SOFA в два раза, нормализация уровня ПКТ, пресепсина, активности ЕАА. Через трое суток пациент перешел на спонтанное дыхание, восстановилось адекватное поведение, нормализовалась перистальтика. V. Schwindenhammer и соавт. (2019) в своем исследовании отметили, что улучшение состояния пациентов после проведения oXiris-терапии возникает не сразу, в среднем через 25 ч [13]. T. Wei и соавт. (2020) в описании клинического случая лечения с применением oXiris-терапии пациента с септическим шоком в результате абдоминального сепсиса также отмечают улучшением состояния через 80 ч после процедуры [14].
Выводы
Применение двух сеансов oXiris-терапии в лечении септического шока у пациента с разлитым каловым перитонитом и тяжелым коморбидным фоном позволило стабилизировать гемодинамику через 48–72 ч от начала лечения, а значительное улучшение состояния возникло спустя 72 ч после окончания второй процедуры.
Финансирование. Исследование не имело спонсорской поддержки.
Конфликт интересов. Авторы заявляют об отсутствии конфликта интересов.
Вклад авторов равноценен.
About the authors
L. P. Kotelnikova
E.A. Vagner Perm State Medical University; Perm Rgional Clinical Hospital
Email: veralex.80@mail.ru
ORCID iD: 0000-0002-8602-1405
MD, PhD, Professor, Head of the Department of Surgery with Course of Cardiovascular Surgery and Invasive Cardiology, surgeon
Russian Federation, Perm; PermA. V. Vereshchagin
Perm Rgional Clinical Hospital
Author for correspondence.
Email: veralex.80@mail.ru
ORCID iD: 0000-0002-1163-2316
Resuscitator
Russian Federation, PermM. V. Sadilov
Perm Rgional Clinical Hospital
Email: veralex.80@mail.ru
ORCID iD: 0000-0003-1507-5454
Surgeon
Russian Federation, PermReferences
- Chernov V.N., Mareyev D.V. Treatment of abdominal sepsis. Khirurgia (Mosk) 2010; 8: 44–47 (in Russian).
- Khatsko V.V., Potapov V.V., Zenin O.K. Etiology, pathogenesis and diagnosis of sepsis (a review of literature). University proceeding. Volga region 2017; 43 (3): 139–150. doi: 10.21685/2072-3032-2017-3-15 (in Russian).
- Aliev S.A., Aliev E.S. Abdominal sepsis: the state of the problem, integral system for assessing the severity of sepsis and criteria for predicting the result. Vestnik khirurgii 2018; 177 (5): 108–112. doi: 10.24884/0042-4625-2018-177-5-108-112 (in Russian).
- Savel’ev V.S., Gel’fand B.R., Filimonov M.I., Podachin P.V., Sergeeva N.A. Criteria for the selection of effective surgical treatment of widespread peritonitis. Annaly khirurgii 2013; 2: 48–54 (in Russian).
- Kim T.G., Magomedov M.A., Protsenko D.N., Zakharov M.V., Marukhov A.V., Chubchenko N.V. The current state of renal replacement therapy in the treatment of sepsis. Messenger of Anesthesiology and Resuscitation 2021; 4 (18): 80–89. doi: 10.21292/2078-5658-2021-18-4-80-89 (in Russian).
- Polushin Y.S., Dreval R.O., Zabotina A.N. Clinical and economic assessment of the therapy of acute kidney injury in sepsis with continuous combined methods of renal replacement therapy. Messenger of Anesthesiology and Resuscitation 2021; 18 (5): 7–20. doi: 10.21292/2078-5658-2021-18-5-7-20 (in Russian).
- Schwindenhammer V., Girardot T., Chaulier K. et al. oXiris use in septic chock: experience of two French centers. Blood Purification 2019; 21: 1–7. doi: 10.1159/000499510.
- De Rosa S., Villa G., Ronco C. The golden hour of polymyxin B hemoperfution in endotoxic shock: the basis for sequential extracorporal therapy in sepsis. Artif Organs 2020; 44 (2): 184–186. doi: 10.1111/aor.13550.
- Turani F., Barchetta R., Falco M. et al. Continuous renal replacement therapy with the adsorbing filter oXiris in septic patients: a case series. Blood Purification 2019; 47 (3): 1–5. doi: 10.1159/000499589.
- Monard C., Rimmele T., Ronco C. Extra-corporeal blood purification therapies for sepsis. Blood Purification 2019; 47 (3): 2–15. doi: 10.1159/000499520.
- Turani F., Belli A., Martini S., Cotticelli V.C., Mounajergi F., Barchetta R. Oxiris membrane decreases endotoxin during RRT in septic patients with basal EAA 0,6. Crit Care 2016; 20 (2): 196.
- Tengattini M., Prato F., Colageao U., Pissaia C. Hemodynamic monitoring during continuous renal replacement therapy (CRRT) with oXiris filter in septic shock patients. Intensibe Care Medicine Replacement 2018; 6 (12): 301.
- Schwindenhammer V., Girardot T., Chaulier K., Gregoire A., Monard C., Huriaux L., Illinger J., Leray V., Uberti T., Crozon-Clauzel J., Rimmele T. oXiris use in septic shock: experience on two French centres. Blood Purification 2019; 47 (3): 29–35. doi: 10.1159/000499510.
- Wei T., Chen Z., Li P., Tang X., Marshall M., Zhang L., Fu P. Early use of endotoxin absorption by oXiris in abdominal septic shock. Medicine (Baltimore) 2020; 99 (28): e19632. doi: 10.1097/00000000000119632
- Karkar A., Ronco C. Prescription of CRRT: a pathway to optimize therapy. Annals of Intensive Care 2020; 10: 32–42. doi: 10.1186/s13613-020-0648-y
Supplementary files


