Clinical and pathomorphological “masks” of adrenocortical cancer. Difficulties of differential diagnostics by the example of own clinical observa-tions
- Authors: Yashina D.P.1, Afanasyeva Z.A.1,2, Mazitova F.M.2, Sabirov A.G.2, Zhavoronkov A.E.1,2
-
Affiliations:
- Kazan State Medical Academy
- Professor M.Z. Sigal Republican Clinical Oncological Dispensary
- Issue: Vol 40, No 5 (2023)
- Pages: 147-157
- Section: Clinical case
- Submitted: 18.12.2023
- Accepted: 18.12.2023
- Published: 18.10.2023
- URL: https://permmedjournal.ru/PMJ/article/view/624804
- DOI: https://doi.org/10.17816/pmj405147-157
- ID: 624804
Cite item
Full Text
Abstract
Difficulties in the differential diagnostics of adrenocortical cancer (ACC) are due to its heterogeneous clinical and biological behavior, which is based on a complex histogenesis and molecular genetic landscape of adrenocortical cells. In this connection, the “postulate” in the diagnosis and treatment of ACC should be a multidisciplinary approach in centers with experience in adrenal surgery and pathomorphology. The presented own clinical observations of patients with ACC diagnosed during a multiple revision of histological slides and repeated immunohistochemistry including recurrent tumor, illustrates the complexity of differential diagnosis and shows the need for further study of the subcellular mechanisms of adrenocortical oncogenesis underlying its clinical picture, morphology, and expression of valuable specific markers.
Full Text
Введение
Адренокортикальный рак (АКР) – редкая злокачественная эндокринная опухоль с агрессивным биологическим поведением, морфологическим субстратом которой служат адренокортикальные клетки коры надпочечника. Заболевание ввиду своей редкости входит в группу орфанных, что затрудняет его эпидемиологическую оценку. Регистр пациентов с адренокортикальной карциномой в мире и Российской Федерации отсутствует. По данным базы Surveillance, Epidemiology, and End Results (SEER) АКР встречается в 0,5–2 случаях на 1 млн населения в год. Опухоль имеет бимодальный характер возрастного распределения с двумя пиками: у детей в возрасте 3–5 лет и у взрослых на пятой декаде жизни. Гендерное распределение идет с преобладанием в сторону женщин в сравнении с мужчинами, их соотношение составляет 2,0: 1,0–1,5. Прогноз при АКР весьма неблагоприятный, общая пятилетняя выживаемость варьируется в зависимости от стадии (от 15 до 60 %), с наихудшим показателем при метастатическом варианте (IV стадия) [1–3].
Дифференциальная диагностика
Диагностика АКР сложна и должна осуществляться мультидисциплинарной бригадой врачей в учреждении с опытом хирургии надпочечников, а также морфологических и иммуногистохимических исследований. Необходимо учитывать изначальное сложный гистогенез адренокортикальных клеток и строгое морфофункциональное строение коры надпочечников, а также многокаскадный зоноспецифичный стероидогенез [5]. В связи с чем клинические и биохимические проявления адренокортикальных карцином могут варьироваться. К первой группе клинических проявлений можно отнести специфическую клиническую симптоматику, обусловленную избыточной секрецией адренокортикальных гормонов (глюкокортикоидов, минералкортикоидов, половых стероидов). Как правило, пациенты с характерной эндокринной симптоматикой обращаются к врачам-эндокринологам или терапевтам, и далее в процессе обследования направляются в специализированные учреждения к онкологам-эндокринологам, имеющим опыт диагностики и лечения опухолей надпочечников. Во вторую группу клинических проявлений входят неспецифические клинические симптомы, обусловленные системным и локальным опухолевым влиянием на организм и соседние анатомические структуры (общая слабость, кахексия, повышение температуры тела до субфебрильных цифр, а иногда и фебрильных значений, болевой синдром). Диагностика такой клинической формы наиболее трудна, что приводит к поздней диагностике и несвоевременному лечению. Биохимическое исследование адренокортикальных гормонов и катехоламинов необходимо для оценки гормональных нарушений. Диагностическая ценность определена возможностью нивелировать гемодинамические и метаболические изменения, препятствуя нежелательным интраоперационным и послеоперационным осложнениям в виде надпочечниковой недостаточности. Обязательным является биохимическая оценка катехоламинов и их метаболитов, даже при отсутствии очевидной клинической картины феохромоцитомы. В последние годы в основном проводят исследования не конечных продуктов стероидогенеза, а их прометаболитов. Это направление называется метаболомикой. Диагностическая и прогностическая ценность метаболомики заключена в выявлении промежуточных продуктов стероидного синтеза, соответствующей морфологической зрелости адренокортикальной клетки. В принципе это логично, учитывая, что синтез стероидных гормонов – сложный процесс, включающий каскад реакций превращения молекулы холестерина в конечные продукты (кортизол, альдостерон и андрогены). Таким образом, при снижении морфологической зрелости адренокортикальной клетки в классическом биохимическом исследовании значения гормонов могут оставаться в норме, в то время как при исследовании прометаболитов можно выявить их изменения, что предполагает снижение зрелости клетки и определяет диагностическую ценность [5].
Патоморфологическое исследование АКР включает гистологическую и иммуногистохимическую оценки. На текущий момент выделяют несколько морфологических вариантов адренокортикального рака, имеющих свои особенности клеточной архитектоники и биологического поведения. Гистологический вариант адренокортикальной карциномы определяет его биологическое поведение (клиническую картину, степень злокачественного потенциала, агрессивность и прогноз). Согласно 4-му изданию патологической классификации ВОЗ от 2017 г. выделяют четыре гистологических варианта адренокортикальной карциномы: «типичный/обычный», онкоцитарный, миксоидный, саркомотоидный. Это значительно отличается от предыдущего варианта, где онкоцитарный, миксоидный, саркомотоидный варианты описывались как единичные случаи. Выделение их в самостоятельные варианты имеет определённую ценность, так как для каждого гистологического варианта характерны свои клинико-биологические особенности, влияющие на прогноз [6; 7]. Кроме того, их диагностика и определение прогностического потенциала принятыми многопараметрическими шкалами представляют трудности. Общепринятой шкалой оценки злокачественного потенциала клеток адренокортикальной карциномы является шкала Weiss. Однако учитывая гистоспецифичность некоторых адренокортикальных карцином с целью недопущения ошибок гистологического заключения, для них введены дополнительные шкалы оценки злокачественного потенциала. К примеру, применение системы Weiss для онкоцитарных вариантов АКР может неточно оценить злокачественность потенциала. Термин онкоцитома применим для опухолей, клетки которых имеют эозинофильную зернистую цитоплазму за счет большого наличия митохондрий, придающих им зернистость. В связи с чем для онкоцитом B. Lin, M. Bisceglia под руководством L. Wiess модифицировали первоначальные критерии для типичных/обычных АКР [6; 7].
К иммуногистохимическим маркерам, тканеспецифично экспрессируемым в АКР, относят мелан А, ингибин альфа, SF-1 и калретинин. Уровень иммунореактивного окрашивания на данные маркеры также может варьироваться в зависимости от гистологического варианта. Дополнительными маркерами для дифференциальной диагностики могут быть синаптофизин, цитокератины, хромогранин А, S100 и виментин. Интерпретация экспрессии маркеров в редких гистологических вариантах АКР сложно оценить, так как их иммунологический профиль мало изучен и проводится не всегда в полном объеме [6; 7].
Таким образом, несмотря на имеющиеся достижении в изучении молекулярно-генетических паттернов в опухолевых адренокортикальных клетках, формирующих морфологическую картину АКР, и улучшение понимания его клинико-биологического поведения, дифференциальная диагностика остается сложной задачей.
Материалы и методы исследования
Представлены четыре клинических наблюдения пациентов с АКР, которым первично по результатам компьютерной томографии (КТ) и гормонального обследования диагностированы аденомы надпочечников и проведено хирургическое лечение в объеме адреналэктомии. В последующем окончательный диагноз установлен после пересмотра гистологического материала и повторной ИГХ.
Собственные клинические наблюдения являются частью материала диссертационного исследования, целью которого было определение прогностических факторов адренокортикальной карциномы для построения модели индивидуального прогноза. База исследования – ГАУЗ «РКОД МЗ РТ им. проф. М.З. Сигала».
Клинический случай № 1
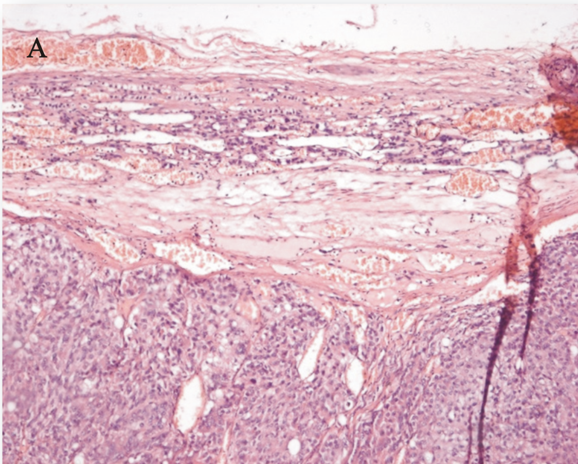
Пациентка К., 1958 года рождения (61 год), была направлена в ГАУЗ «РКОД МЗ РТ им. проф. М.З. Сигала» на консультацию к онкологу-эндокринологу в декабре 2019 г. с впервые выявленными по КТ органов брюшной полости (ОБП) и забрюшинного пространства с контрастированием двусторонних образований надпочечников. Считает себя больной в течении последних двух лет, когда впервые стала отмечать повышение артериального давления (АД) до 190/100 мм рт. ст., выраженную слабость. Наблюдалась у терапевта по месту жительства с диагнозом артериальной гипертензии 2-й степени, 2-й стадии, риск 2, хроническая сердечная недостаточность – 1. Консервативная антигипертензивная терапия не давала стойкого терапевтического эффекта. Улучшение общего состояния и снижение АД до 140/100 мм рт. ст. появилось после постоянного приема спиронолактона в дозе 50 мг. С целью дифференциальной диагностики первичной и эндокринной артериальной гипертензии было проведено лабораторное исследование в сыворотке крови уровня калия и натрия, альдостерона, кортизола, ДГЭА, КТ с контрастированием органов брюшной полости и забрюшинного пространства. По результатам обследования выявлена гипокалиемия (калий 2,37 ммоль/л при норме 3,5–5,1 ммоль/л). Уровень адренокортикальных гормонов оставался в пределах референсных значений. При КТ ОБП и забрюшинного пространства в проекции правого надпочечника обнаружено образование размером 22´22 мм, в проекции левого надпочечника – 4,7´6,4 мм. Определение наливной плотности опухолей не было проведено. При первичном осмотре онколога-эндокринолога был установлен диагноз «инциденталома надпочечников» и рекомендовано диспансерное наблюдение. В июне 2020 г. при повторном обращении к онкологу-эндокринологу вышеперечисленные жалобы сохранялись, на фоне приема 50 мг спиронолактона уровень калия достиг референсных значений (4,9 ммоль/л). Уровень альдостерона и ренина в сыворотке крови находился в пределах нормы, а значение альдостерон/ренинового соотношения (АРС) составило 17,0, что превышало допустимый уровень, но не достигало значений, характерных для первичного гиперальдостеронизма. Содержание метанефрина и норметонефрина в суточной моче было в пределах референсных значений. По данным КТ органов брюшной полости и забрюшинного пространства отмечен рост образования правого надпочечника до 25´24´24 мм, при контрастировании – умеренное накопление контрастного вещества. Больная была направлена на оперативное лечение с диагнозом альдостерома правого надпочечника. Оперативное вмешательство выполнено в объеме лапаротомической правосторонней адреналэктомии. Послеоперационный период протекал без осложнений, отмечалась стабилизация АД (128/75 мм рт. ст.) и уровень калия в сыворотке крови достиг нормальных значений. По данным морфологического исследования удаленного образования надпочечника диагностирована параганглиома, Ki67 – 10 %. Диагноз при выписке из стационара: параганглиома правого надпочечника, Tp1N0M0, I стадия, III клиническая группа. С учетом полного расхождения клинического и морфологического диагнозов препараты и блоки были направлены на консультацию в ГБУЗ МО МОНИКИ им. М.Ф. Владимирского. При осмотре через три месяца после адреналэктомии справа отмечались клинические признаки гипокортицизма, которые проявлялись выраженной слабостью, сильной головной болью по утрам, постоянной болью в поясничной области. С целью коррекции был назначен преднизолон в дозе 2,5 мг в день. Заключение по результатам пересмотра препаратов и блоков с дополнительным определением маркеров ИГХ – адренокортикальная карцинома, WIESS – 3 балла, Low grade (рис. 1). Диагноз был изменен на адренокортикальный рак правого надпочечника, T1N0M0, I стадия, III клиническая группа. При последующем плановом диспансерном осмотре выяснилось, что больная перенесла новую коронавирусную инфекцию COVID-19, жаловалась на постоянную головную боль в затылочной области, в анализах обнаружена тромбоцитопения, а показатели коагулограммы были в пределах допустимых значений на фоне приема антикоагулянтов. Пациентка принимает постоянно преднизолон в дозе 2,5 мг в целях коррекции послеоперационного гипокортицизма и постковидных осложнений. Показатели уровней адренокортикальных и адренокортикотропного гормонов были в пределах допустимых значений. При МРТ головного мозга очаговых образований не найдено. Больной рекомендовано последующее диспансерное наблюдение.
Рис. 1. Клиническое наблюдение № 1. Пациентка К. – адренокортикальный рак, при микроскопии визуализируется капсульная инвазия (окрашивание гематоксилином и эозином, Х100)
Клинический случай № 2
Пациент К., 1955 года рождения (63 года), находился на лечении в ГАУЗ «РКОД МЗ РТ им. проф. М.З. Сигала» с диагнозом адренокортикального рака левого надпочечника Tp3NxM0, 3-я стадия, 2-я клиническая группа, прогрессирование в виде рецидива в ложе удаленной опухоли, метастазы в парааортальные лимфатические узлы и восьмой сегмент правой доли печени. По решению консилиума находится на этапе химиотерапевтического лечения по схеме EDP-M. Из анамнеза известно, что в декабре 2018 г. оперирован по поводу инциденталомы левого надпочечника в общей хирургической сети. Гистологическое исследование № 4247 – параганглиома. После пересмотра гистологических стекол в Набережночелнинском филиале РКОД диагноз изменен на смешанную феохромоцитому. При повторном пересмотре гистологических препаратов в патоморфологическом отделении РКОД № 6344/2019 обнаружено, что опухолевые клетки равномерно позитивны на калретинин, мелан А (с фоном), негативны на S100 ингибин, хромогранин. Индекс Ki67 = 3–4 %. Заключение: гистотип и иммунофенотип аденомы надпочечника. Рекомендовано согласовать с клиникой.
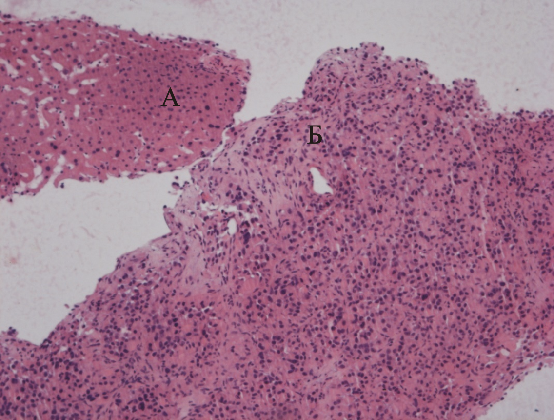
В январе 2023 г. в связи с выраженным дискомфортом и болевым синдромом (ВАШ 2–3 балла) в левой половине живота был направлен на КТ ОБП и органов забрюшинного пространства. Данные исследования от 31.01.2023: в 8-м сегменте правой доли печени визуализируется очаг размером 31´26 мм, пониженной неоднородной плотности с диффузным накоплением контрастного вещества в артериальную фазу и быстрым вымыванием в венозную и позднюю фазы. Нативная плотность 28 HU в артериальную фазу повышалась до 50 HU. В забрюшинной клетчатке, поддиафрагмальном пространстве слева, в проекции левого надпочечника визуализировалось крупное объемное образование 105´62´66 мм с неоднородной мягкотканой структурой, нативной плотностью 32–36 HU. В артериальную фазу имелись участки повышенного накопления до 65–68 HU. Определялась инвазия левой диафрагмальной ножки и в околопозвоночное пространство слева на участке до 26 мм. По нижнему контуру визуализировались вторично измененные лимфатические узлы диаметром 17–30 мм. Обнаружена инфильтрация перивазальной клетчатки левой почечной сосудистой ножки, инфильтрация вокруг чревного ствола, признаки вовлечения хвоста поджелудочной железы в опухолевый процесс. Левый купол диафрагмы асимметрично утолщен до 7–12 мм, контуры его нечеткие. Заключение: КТ-признаки (с учетом анамнестических данных) рецидивного объемного образования в зоне оперативного вмешательства по поводу феохромоцитомы. Распространенный инвазивный рост, метастазы в парааортальные л/у слева, в 8-й сегмент правой доли печени. Произведена чрескожная пункционная биопсия печени. При морфологическом исследовании препарата (№ 4976/1) высказано предположение о наличии гепатоцеллюлярного рака. Материала для проведения ИГХ недостаточно. Мелан А, синаптофизин – позитивная реакция, HER-PAR-1, ЦКР 7, ингибин – негативная. Заключение: метастаз рака коры надпочечников (рис. 2).
Рис. 2. Клиническое наблюдение № 2. Пациент К.: фрагмент ткани печени. Адренокортикальный рак: А – неизмененные гепатоциты; Б – участки измененных клеток, прослеживается диффузная архитектоника и ядерный полиморфизм (окрашивание гематоксилином и эозином, Х100)
Клинический случай № 3
У пациентки К., 1976 года рождения (40 лет), при прохождении диспансеризации в октябре 2016 г. выявлено образование левого надпочечника. Направлена для последующей диагностики и лечения в ГАУЗ «РКОД МЗ РТ им. проф. М.З. Сигала». После обследования было проведено хирургическое лечение 16.10.2016 в объеме лапаротомической комбинированной левосторонней адреналэктомии с резекцией диафрагмы. При срочном гистологическом исследовании диагностирована нейроэндокринная опухоль. Макроскопически опухоль была размерами 8´7 см, в капсуле, на разрезе видны гладкостенные полости с темно-вишневыми сгустками, прилежащая ткань была ярко-желтого цвета. По результатам планового гистологического исследования (№ 479928910) диагностирована светлоклеточная аденома левого надпочечника (рис. 3). Выписана под наблюдение онколога и эндокринолога по месту жительства.
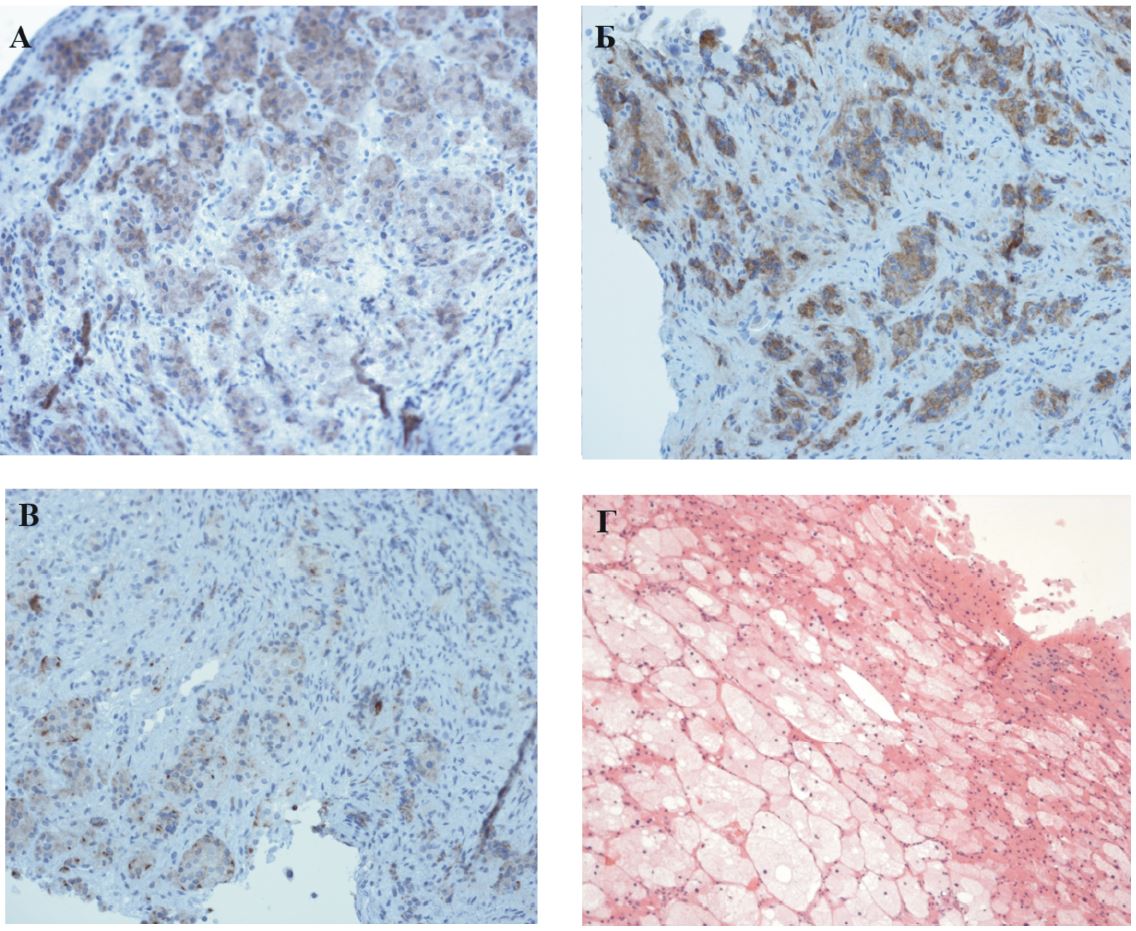
Через 5 лет, 14.12.2021, после адреналэктомии в левом легком обнаружены массивные фокусы до 50 мм и лимфаденопатия внутригрудных лимфатических узлов. При фибробронхоскопии от 22.12.2021 диагностирован центральный рак левого легкого со сдавлением левого главного бронха, трахеи (зоны бифуркации). Отмечена повышенная кровоточивость опухоли при выполнении биопсии. По данным гистологического исследования (№ 1090758056) биоптата от 29.12.2021 обнаружены фрагменты стенки бронха с участками мелкокруглоклеточной инфильтрации из атипичных клеток. Высказано предположение о наличии нейроэндокринной опухоли. ИГХ-исследование показало, что CD56 – позитивно равномерно, ЦКР № 7 – негативно, Ki67 = 15–16 %. В заключении морфологов отмечено, что материала недостаточно. Диагноз: нейроэндокринная опухоль, G2 (атипичный карциноид). Решением консилиума был установлен диагноз: центральный рак левого легкого cT4N3M0 3с стадия, 2-я клиническая группа, и назначено химиотерапевтическое лечение. Биохимическое исследование крови на хромогранин А = 112,35 (при норме – 100 мкг/л), нейронспецифическая енолаза (NSE) = 4,5 нг/мл (при норме 0–16,3 нг/мл). С января по сентябрь 2022 г. было проведено четыре курса 1-й линии химиотерапии (этопозид + карбоплатин), два курса 2-й линии химиотерапии (гемцитабин +оксалиплатин), два курса 3-й линии химиотерапии (капецитабин + темозоломид + ланреотид). Динамическая оценка онкомаркеров: максимальные значения хромогранина А = 190,28 (при норме 0–100 мкг/л), показатели NSE в пределах референсных значений. За период проведения лечения отмечены клинические проявления синдрома Кушинга и гирсутизма. Выбор схем линий химиотерапии связан с прогрессией заболевания по данным КТ ОГК с внутривенным контрастированием в виде появления новых метастатических очагов в легких и внутригрудных лимфатических узлах. В связи с отрицательной динамикой и появлением клинических симптомов, характерных для синдрома Иценко – Кушинга и гиперандрогении (повышение массы тела с формированием «жирового фартука», одутловатость лица, отеки нижних конечностей, рост волос на лице по типу бороды и усов, повышение артериального давления до 180/100 мм рт. ст., появлений стрий на коже живота, верхней трети плеч) консультирована врачом-онкоэндокринологом, д-р мед. наук, профессором З.А. Афанасьевой. Уровень АКТГ от октября 2022 г. составил 1 пг/мл (при норме 7,2–63,3 пг/мл). При пересмотре гистологических препаратов и повторном ИГХ-исследовании (№ 38150/1 от 18.10.2022) обнаружена экспрессия Мелана А, синаптофизина, очагово СК pan опухолевыми клетками. Заключение: метастазы адренокортикального рака (рис. 3).
Рис. 3. Клиническое наблюдение № 3. Пациентка К.: иммуногистохимия метастаза адренокортикального рака в легкие; А – иммунореактивное окрашивание на Мелан А; Б – иммунореактивное окрашивание на синаптофизин; В – очаговая иммунореактивность на СК pan; Г – светлоклеточная аденома (2016 г.). Увеличение: А, Б, В – Х 100; Г – Х 200
Учитывая анамнестические данные, клиническую картину и данные повторного ИГХ-исследования установлен диагноз адренокортикального рака левого надпочечника T2N0M0, 2-я стадия (2016). Прогрессирование в виде метастазов в легкие и внутригрудные лимфатические узлы (2021), 2-я клиническая группа. Решением консилиума рекомендовано проведение химиотерапевтического лечения в режиме монотерапии митотаном. С октября 2022 г. по март 2023 г. проведено 5 курсов с мониторингом уровня препарата в крови и коррекцией надпочечниковой недостаточности. На текущий момент митотан отменен в связи с развитием тяжелой надпочечниковой недостаточности, не поддающейся коррекции заместительной терапии гидрокортизоном.
Клинический случай № 4
Пациент С., 1956 года рождения (62 года), при обследовании у уролога по поводу болевого синдрома в левой поясничной области и острого простатита по данным УЗИ ОБП и забрюшинного пространства выявлено образование левого надпочечника. При МРТ ОБП и забрюшинного пространства выявлено два образования левого надпочечника размерами 8,6´6,8´8,0 см и 1,4´1,4 см с рентгенологическими признаками аденом. При исследование гормонального статуса признаков избыточной продукции стероидных гормонов не обнаружено. Проведено хирургическое лечение 07.11.2018 в объеме: видеолапароскопия, мини-лапаротомия, адреналэктомия слева. Макроскопически опухоль 10´10´8 см в капсуле, на разрезе серо-коричневая, мягкая, однородная. При гистологическом исследовании (№ 37976/2018 от 07.11.2018) установлено, что новообразование состоит из хромаффинных клеток мозгового вещества надпочечника. Опухолевые клетки крупного размера, полигональной формы, характеризуются ядерным плеоморфизмом. ИГХ показала, что опухолевые клетки экспрессируют виментин и хромогранин А, S100 и СК pan негативны. Шкала оценки злокачественности феохромоцитомы по системе PASS составила 7 баллов. Заключение: морфологическое строение опухоли соответствует феохромоцитоме с высоким потенциалом рецидивирования и метастазирования (рис. 4). Было рекомендовано динамическое наблюдение и мониторинг уровня продуктов распада катехоламинов.
Рис. 4. Клиническое наблюдение № 4. Пациент С.: иммуногистохимия и гистокартина (2018 г.) Иммуногистохимическое окрашивание на виментин (А) и хромогранин А (Б). Гистокартина (В). Увеличение: А – Х 200; Б, В – Х 100
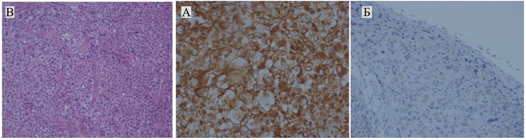
В декабре 2022 г. пациент обследован в связи с болевым синдромом в животе (ВАШ 4–5 баллов). При КТ ОБП и органов забрюшинного пространства выявлены признаки рецидива в ложе левого надпочечника, опухоль сигмовидной кишки (или метастаз) с прорастанием в петли тонкого кишечника, единичный метастаз в лимфатический узел брыжейки сигмовидной кишки. Пациент был оперирован. Протокол операции (26.01.2023): лапаротомия, удаление забрюшинной опухоли брюшной полости, левосторонняя гемиколэктомия с колостомией. При ревизии брюшной полости обнаружены множественные, разнокалиберные метастазы в брыжейку тонкой и толстой кишок, большой сальник. Макроскопически забрюшинное образование имело размеры 22´17´7 см, на разрезе ткань опухоли была мягкой, серо-розового цвета, слабо дольчатая, с массивными кровоизлияниями и некрозами. Во фрагменте большого сальника – метастатические узлы до 1 см в диаметре, в сигмовидной кишке – до 4 см. При гистологическом исследовании забрюшинная опухоль представлена полями крупных эозинофильных клеток с анапластическими ядрами, большим количеством патологических митозов, массивными некрозами. С учетом анамнестических данных диагностирован рецидив опухоли надпочечника. В брыжейке кишки и в сальнике метастазы аналогичной структуры. При ИГХ опухолевые клетки позитивны на калретинин, Мелан А, ингибин и С56, синаптофизин, негативны на хромогранин А и S100, GATA 3. Заключение: иммунофенотип онкоцитарного варианта адренокортикальной карциномы (рис. 5).
Рис. 5. Клиническое наблюдение № 4. Пациент С.: рецидив опухоли. Микроскопия: А (увеличение х20) – клетки с эозинофильной цитоплазмой с анапластическими ядрами, большим количеством патологических митозов, массивными некрозами. Иммуногистохимия: Б – GATA 3 – негатив; В – ингибин – позитив; Г – калретинин – позитив, хромогранин А – негатив; Д – мелан А – позитив, S100 – негатив; Е – синаптофизин – позитив. Увеличение: А – 100 Х; Б, Г, Д – Х 200; В, Е – Х 400
Выводы
Клинические наблюдения демонстрируют сложности в диагностике адренокортикального рака. Для улучшения критериев диагностики адренокортикальных опухолей и их дифференцирования необходимо дальнейшее изучение его субклеточных механизмов онкогенеза.
Финансирование. Исследование не имело спонсорской поддержки.
Конфликт интересов. Авторы заявляют об отсутствии конфликта интересов.
Вклад авторов равноценен.
About the authors
D. P. Yashina
Kazan State Medical Academy
Author for correspondence.
Email: darya.nikulina.94@list.ru
ORCID iD: 0000-0003-2746-8837
Postgraduate Student, Department of Oncology, Radiology and Palliative Medicine
Russian Federation, KazanZ. A. Afanasyeva
Kazan State Medical Academy; Professor M.Z. Sigal Republican Clinical Oncological Dispensary
Email: darya.nikulina.94@list.ru
ORCID iD: 0000-0002-6187-2983
MD, PhD, Professor of the Department of Oncology, Radiology and Palliative Medicine, Head of the Center for Diagnostics and Treatment of Patients with Thyroid and Other Endocrine Organs Tumors
Russian Federation, Kazan; KazanF. M. Mazitova
Professor M.Z. Sigal Republican Clinical Oncological Dispensary
Email: darya.nikulina.94@list.ru
Pathologist of the Pathologicoanatomic Department
Russian Federation, KazanA. G. Sabirov
Professor M.Z. Sigal Republican Clinical Oncological Dispensary
Email: darya.nikulina.94@list.ru
Candidate of Medical Sciences, pathologist, Head of the Pathologicoanatomic Department
Russian Federation, KazanA. E. Zhavoronkov
Kazan State Medical Academy; Professor M.Z. Sigal Republican Clinical Oncological Dispensary
Email: darya.nikulina.94@list.ru
Radiologist, Head of the PET Department, Assistant of the Department of Oncology, Radiology and Palliative Medicine
Russian Federation, Kazan; KazanReferences
- Chandrasekar T., Goldberg H., Klaassen Z. et al. The who, when, and why of primary adrenal malignancies: Insights into the epidemiology of a rare clinical entity. Cancer. 2019; 125: 1050–1059.
- Sharma E., Dahal S., Sharma P., Bhandari A., Gupta V. et al. The Characteristics and Trends in Adrenocortical Carcinoma: A United States Population Based Study. J. Clin. Med. Res. 2018; 10: 636–640.
- Lloyd R.W., Osamura R., Rosay J. et al. WHO Tumor Classification Editorial Board. Endocrine and neuroendocrine tumors. Fifth edition. Lyon: MAIR 2022.
- Tkachuk A.V., Beltsevich D.G., Porubayeva E.E., Urusova L.S. Morphological predictors of the efficacy of mitotane therapy in adrenocortical cancer. Probl Endokrinol (Mosk) 2023; 68 (6): 76–88.
- Pitsava G., Maria A.G., Faucz F.R. Disorders of the adrenal cortex: Genetic and molecular aspects. Front Endocrinol (Lausanne) 2022; 29 (13): 931389.
- Lam A.K. Adrenocortical Carcinoma: Updates of Clinical and Pathological Features after Renewed World Health Organisation Classification and Pathology Staging. Biomedicines. 2021; 9 (2): 175.
- Selivanova L.S., Abdulkhabirova F.M. etc. Oncocytic adrenocortical adrenal tumor. Pathology Archive 2015; 1: 55–59 (in Russian).
Supplementary files





