Clinical case of stage combined treatment of a patient with infected pancreonecrosis and its early and late complications
- Authors: Samartsev V.A.1,2, Domrachev A.A.1,2, Gavrilov V.A.1,2, Sosnin D.Y.1, Stepanov R.A.1,2, Parshakov A.A.1,2, Kobeleva A.S.1
-
Affiliations:
- E.A. Vagner Perm State Medical University
- City Clinical Hospital No. 4
- Issue: Vol 41, No 3 (2024)
- Pages: 143-152
- Section: Clinical case
- Submitted: 04.03.2024
- Published: 19.07.2024
- URL: https://permmedjournal.ru/PMJ/article/view/628724
- DOI: https://doi.org/10.17816/pmj413143-152
- ID: 628724
Cite item
Abstract
Acute pancreatitis is the 3rd most common abdominal pathology after acute appendicitis and acute cholecystitis occurring in 10 to 25 % of patients. The lethality in acute pancreatitis, according to different data, varies from 15 to 25 %. We presented the results of minimally invasive stage combined endovideosurgical and X-ray vascular treatment of the patient with infected subtotal mixed pancreonecrosis complicated by pseudocyst formation of pancreatic tail, recurrent arrosive hemorrhage, formation of external gastric and incomplete external pancreatic fistula in the late postoperative period.
Full Text
Introduction
Among abdominal surgical emergencies, acute pancreatitis accounts for 10 to 25 % of the total number of patients with surgical pathology of the abdominal organs and ranks third, second only to acute appendicitis and acute cholecystitis [1]. In recent years, lethality from acute pancreatitis in the Russian Federation has ranged from 15 to 25 % [2–4].
Acute pancreatitis is a polyetiological disease. The most common cause of pancreatitis is alcoholic-alimentary, accounting for up to 55 % of cases, followed by acute biliary pancreatitis, which accounts for up to 35 % [5]. Post-manipulation pancreatitis deserves attention due to the increasing number of minimally invasive surgical and endoscopic methods for treating pathologies of the pancreaticobiliary system. According to various authors, acute pancreatitis after a diagnostic study develops in 3.5–8.6 % of cases, and after therapeutic manipulations on the major duodenal papilla in 4.5–9.6 % of observations [6].
Due to the general trend towards an increase in the number of patients with acute pancreatitis, there is a constant increase in destructive forms of the disease, which account for up to 20–44 % [7].
Pancreonecrosis is an aseptic demarcation type inflammation based on necrobiosis of pancreatocytes and enzymatic autoaggression, followed by subcapsular breakthrough of pancreatic secretions, necrosis and dystrophy of the gland, further spread of pancreatogenic aggression to surrounding tissues [8]. Lethality from aseptic pancreatic necrosis over the past 30 years ranges from 15 to 20 %, and from 30 to 39 % if infection occurs [9]. On the one hand, constantly improving methods of prevention, diagnosis and treatment of acute pancreatitis, and on the other hand, an increase in cases of severe course of the disease contribute to an increase in the number of patients with late post-necrotic complications [7]. According to the literature, external pancreatic fistulas (EPF), cicatricial strictures of the main pancreatic duct and pancreatic pseudocysts occur in 9.5–87 %, 47–50 % and 5–10 %, respectively; less frequently, calculi of the pancreatic ductal system are formed – 18 % [10; 11]. About 20 % of patients with chronic post-necrotic pancreatitis die from its complications within the first 10 years and more than 50 % after 20 years [12].
Thus, despite a large number of studies, constantly improving methods of diagnosis and treatment of acute necrotizing pancreatitis, it is not possible to significantly reduce lethality rates in the early and late postoperative period, prevent the development of complications in the long-term period, or improve the quality of life.
The analysis of the clinical case of stage combined treatment of a patient, based on the surgical department of State Autonomous Healthcare Institution of Perm Krai City Clinical Hospital No. 4, Perm, with infected pancreonecrosis, pseudocyst formation of pancreatic tail, complicated by recurrent arrosive hemorrhage, formation of external gastric and incomplete external pancreatic fistula in the late postoperative period.
Clinical case
Patient F., 45-year-old, was admitted to the emergency room of the State Autonomous Healthcare Institution of Perm Krai «City Clinical Hospital No. 4» (CHB No. 4) in Perm with complaints of acute, intense pain (according to the visual analogue scale (VAS) is 7–8 points) in the epigastric region and left hypochondrium, anuria. It was known from the anamnesis that the patient had been consuming alcohol up to 1 liter per day for six days. He considered himself sick for three days before going to the emergency room, when abdominal pain began to bother him. The patient independently took antispasmodics without effect. Against the background of increasing pain syndrome, he called an ambulance and was taken to the emergency room of City Clinical Hospital No. 4.
On admission the condition was severe, due to pain syndrome, endotoxicosis, multiple organ dysfunction syndrome (MODS). The skin was pale. Skin turgor was reduced. Body temperature was 37.6 °C. Peripheral lymph nodes weren’t palpable. The patient was breathing spontaneously. Lung breathing was harsh, conducted in all departments. There were no rales. The patient had respiratory rate of 23 per minute. Pulse was 90 per minute, rhythmic, he had blood pressure of 90/60 mmHg. The patient had anuria. Local status: the abdomen was swollen, didn’t participate in the act of breathing. There were no postoperative scars, hernial defects, infiltrates on the anterior abdominal wall upon examination. Upon superficial palpation, the abdomen was tense, painful in all sections. Peritoneal symptoms were positive. In the lumbar region there was no infiltration, bulging, or other pathological changes. Auscultatively, peristalsis was heard, weakened. There had been no stool. Gases were released. Per rectum: the sphincter was toned, there were traces of brown-colored feces without pathological impurities in the ampoule. The patient underwent a standard set of diagnostic tests and procedures in the emergency room according to the current national clinical guidelines of the Russian Society of Surgeons «Acute Pancreatitis» (2020). According to the complete blood test, leukocytosis was noted (23.9·109/L). In the biochemical blood analysis there was an increase in AST up to 95.7 U/L; ALT up to 49.6 U/L, blood amylase up to 614.5 U/L; alkaline phosphatase up to 146.6 U/L, urea up to 12.1 mmol/L; total bilirubin up to 32.8 μmol/L; indirect bilirubin up to 23.5 μmol/L; direct bilirubin up to 9.3 μmol/L. A urine test was not performed due to anuria. On an overview X-ray of the abdominal cavity in direct projection, no free gas under the diaphragm was detected, There was gas and fecal matter in the large intestine, moderate aerocolia was presented, horizontal levels were not determined, structures of the abdominal cavity were leveled.
According to the abdominal ultrasound, there were signs of limited accumulations of anechoic content in the left flank and left hypochondrium (Fig. 1).
Fig. 1. Ultrasound signs of the presence of limited accumulations of anechoic content: a – in the left flank region; b – in the left hypochondrium
Based on the patient's complaints, medical history, objective examination results, and laboratory and instrumental studies, a diagnosis of severe acute pancreatitis complicated by widespread enzymatic peritonitis and multiple organ dysfunction syndrome (MODS) with predominant hepatic and renal failure (qSOFA score of 2) was made. The concomitant disease was an exacerbation of chronic gastroduodenitis. It was decided that emergency surgical intervention was necessary due to vital indications. The patient underwent diagnostic and therapeutic laparoscopy, omentobursostomy, lavage and drainage of the abdominal cavity, blockade of the round ligament of the liver and the root of the mesentery with a solution of 0.5 % novocaine (60 ml).
After surgery the patient was diagnosed with severe acute pancreatitis (Atlanta, 2012) complicated by mixed subtotal pancreatic necrosis, dense parapancreatic infiltrate, widespread enzymatic serous-hemorrhagic peritonitis, multiple organ dysfunction syndrome (MODS) with predominant hepatic and renal failure (qSOFA score of 2)). toxic hepatitis. The concomitant disease was an exacerbation of chronic gastroduodenitis.
In the postoperative period, in the intensive care unit (ICU), infusion, anti-inflammatory, antibacterial, and symptomatic therapy were performed, as well as dynamic observation. On the second day of the postoperative period, against the background of resolution of anuria, marked amylasuria (up to 1740.3 U/L) and amylasemia (up to 144.5 U/L) were noted, as well as a decrease in hemoglobin levels to 81 g/L and red blood cells to 2.5·1012/L.
Up to 500 ml of serous-hemorrhagic discharge was obtained from the abdominal cavity through the tubular drains. Considering the increasing anemia, it was decided to perform a diagnostic relaparoscopy in order to identify the source of hemorrhage and determine further treatment tactics.
During relaparoscopy, no signs of ongoing intra-abdominal hemorrhage were found. There was up to 200 ml of serous hemorrhagic exudate in the abdominal cavity. The abdominal exudate was evacuated, the abdominal cavity was drained and dried.
Within the first day after relaparoscopy against the background of complex symptomatic therapy and blood transfusion, there was a negative trend in the complete blood test. Hemoglobin (HGB) decreased to 71 g/L; hematocrit (НСТ) to 21.2 %; red blood cells (RBC) to 2.25·1012/L. There was hemorrhagic discharge up to 150 ml from the drains in the abdominal cavity.
Based on the clinical picture of ongoing intra-abdominal hemorrhage, it was decided to perform surgical treatment, specifically an upper midline laparotomy and revision of the abdominal cavity. Intraoperatively, up to 500 ml of fresh blood and clots were found in the abdominal cavity. The contents were taken for bacteriological examination. During the revision of the omental bursa, a blood clot was found in the area of the tail of the pancreas with a volume of up to 400 ml. Massive diffuse hemorrhage developed when it was removed from the tail of the pancreas. The hemorrhage was stopped using irrigation with the local hemostatic drug «Hemoblock». The abdominal cavity was sanitized and redrained.
The patient was treated in the intensive care unit (ICU) for 9 days, where laboratory and instrumental parameters were monitored, symptomatic therapy was performed, including infusion, antispasmodic, analgesic, antibacterial, hemostatic, and blood transfusion therapy. Intra-abdominal pressure was monitored using the Iberti–Kron method. On the first day after surgery, intra-abdominal hypertension (IAH) corresponded to grade II (19 mmHg). To prevent postoperative intestinal paresis, a saline enteral solution (SES) was administered through a gastric tube. By the third day after the operation, a significant reduction in IAH was achieved (13 mmHg). According to the results of microbiological testing for aerobic and facultative anaerobic microorganisms, the following were detected: Escherichia coli 105 CFU/g; Klebsiella pneumoniae 105 CFU/g; Corynebacterium xerosis 105 CFU/g. Specific complex antibacterial therapy was prescribed: linezolid 0.2 % – 300 ml, once a day + cefotaxime 1.0 twice a day intramuscularly.
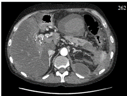
On the 10th day of the postoperative period, according to CT scans of the abdominal cavity, there was a picture of acute pancreatitis with pronounced infiltrative changes in the parapancreatic tissue. A pseudocyst of the tail of the pancreas was formed (Fig. 2).
Fig. 2. CT scan of acute pancreatitis with infiltrative changes in the parapancreatic tissue. Pseudocyst of the tail of the pancreas (indicated by arrows)
In the postoperative period, there was a positive trend in the patient's condition and normalization of laboratory parameters. On the 28th day after surgery there was a decrease in blood amylase to 24.8 U/L and urea to 1.5 mmol/L; increase in CRP level up to 125 mg/L; slight increase in hemoglobin (HGB) up to 86 g/L, hematocrit (НСТ) up to 26.6 %, red blood cells (RBC) up to 3.1·1012/L; increased ESR up to 67 mm/h. All other indicators were within normal limits.
On the 30th day after surgery, there was a deterioration in the patient's condition. According to the complete blood test, hemoglobin levels decreased to 63 g/L, hematocrit to 17.9 %, red blood cells to 2.18·1012/L. To exclude repeated arrosive hemorrhage from the pancreas parenchyma, angiography was performed. The study revealed an aberrant branch of the celiac trunk that departed 0.3 cm above the left renal artery and hypervascularization in the spleen gate projection (in the area of the pancreatic tail pseudocyst). The hemorrhage was stopped by
X-ray endovascular embolization of the aberrant artery lumen using a Merit Maestro 2.4F microcatheter and ASAHI Fielder conductor with PVA particles (45–150 microns – Boston Scientific) (Fig. 3).
Fig. 3. X-ray endovascular embolization of the aberrant artery lumen: a – pathological branch of the splenic artery feeding the area of the formed pseudocyst; b – embolization of the artery with PVA particles
On the 34th day, an abscess of the omental bursa formed. The patient underwent relaparotomy, omentobursostomy, drainage of the omental bursa, redraining of the abdominal cavity. An abscess was found in the omental bursa, opened, about 100 ml of thick creamy pus with old blood clots was obtained. Purulent discharge was taken for bacteriological examination. The abdominal cavity was sanitized and drained with tubular and glove drains.
In the postoperative period, symptomatic therapy, monitoring of laboratory parameters, and dressing of postoperative wounds were performed.
According to the results of microbiological testing for aerobic and facultative anaerobic microorganisms, Enterococcus faecalis 104 CFU/ml was detected. Ciprofloxacin was additionally prescribed at a dosage of 500 mg twice a day.
On the 42nd day after surgery, gastric contents were noted through the drainage tube installed in the omental bursa. Diagnostic fibrogastroscopy was performed. Necrosis of the stomach wall with perforation and a 10 mm drainage tube inside were detected in the subcardial region, upper third of the body of the stomach, along the greater curvature; the free edge of the tube was directed towards the bottom of the stomach. A microirrigator was installed in the duodenum to prevent food from entering through the perforation hole in the stomach wall and enteral feeding was started. Then all tubular drains from the omental bursa and the stomach cavity were removed, only glove drains remained.
For the next 15 days, the patient continued conservative therapy with constant monitoring of laboratory parameters, daily dressing of postoperative wounds, and flushing of the omentobursostomy. Laboratory test results showed a tendency towards normalization.
On the 57th day after surgery, the gastric fistula closed. According to the results of X-ray examination of the stomach with a water-soluble contrast agent, no extra contours of the contrast substance were detected. The contrast entered the duodenum in small portions (Fig. 4).
Fig. 4. X-ray of the stomach and duodenum with a water-soluble contrast agent
By the 63rd day after the operation, the pain syndrome was stopped. The pancreatic fistula closed during conservative treatment. There was no negative trend in laboratory or instrumental parameters.
Postoperative wounds healed by primary/secondary intention, without signs of inflammation. The patient was discharged for outpatient treatment at the local clinic. Recommendations were given on treatment, including therapy, diet, and care of postoperative wounds.
The final clinical diagnosis was severe acute alcoholic pancreatitis complicated by mixed subtotal pancreonecrosis, dense parapancreatic infiltrate, widespread enzymatic serous-hemorrhagic peritonitis, multiple organ dysfunction syndrome (MODS) with predominant hepatic and renal failure (qSOFA score of 2), toxic hepatitis. The first operation involved diagnostic and therapeutic laparoscopy, omentobursostomy, sanitation, drainage of the abdominal cavity, blockade of the circular ligament of the liver and the root of the mesentery with a solution of 0.5 % novocaine in amount of 60 ml, postoperative sluggish peritonitis. The second operation was a relaparoscopy with revision of the abdominal cavity, sanitation, and redraining of the abdominal cavity, addressing arrosive diffuse hemorrhage from the pancreatic parenchyma tissue into the abdominal cavity, and hemoperitoneum. The third operation was an upper midline laparotomy, abdominal cavity revision, stopping the hemorrhage from the pancreatic tissue, sanitation, and redraining of the abdominal cavity, due to arrosive hemorrhage from an aberrant branch of the celiac trunk. The fourth operation involved stopping the hemorrhage from the aberrant artery of the celiac trunk by X-ray endovascular embolization, addressing a pancreatic pseudocyst in the tail, and arrosive hemorrhage into the pseudocyst cavity in the pancreatic tail that had already occurred, as well as an abscess of the omental bursa. The fifth operation included a relaparotomy, opening and drainage of the abscess of the omental bursa, and omentobursostomy, resulting in a closed external gastric incomplete pancreatic fistula and severe posthemorrhagic anemia. The concomitant disease was an exacerbation of chronic gastroduodenitis.
The given clinical observation presents a case of treating a patient with infected subtotal pancreonecrosis complicated by massive arrosive hemorrhage from the tail of the pancreas in the early postoperative period, hemorrhage into the cavity of the formed pseudocyst of the pancreatic tail, abscess of the omental bursa, formation of an external gastric, incomplete pancreatic fistula in the late postoperative period..
Conclusions
It is particularly important to use the full range of modern diagnostic and treatment technologies in order to achieve positive results in the treatment of patients with pancreatic necrosis. These technologies allow for reliable stratification of perioperative risks of complications, as well as prompt selection of the optimal and individualized extent of surgical intervention. The stage implementation of minimally invasive surgical interventions using a combination of surgical approaches is key to successful treatment for this group of patients.
About the authors
V. A. Samartsev
E.A. Vagner Perm State Medical University; City Clinical Hospital No. 4
Author for correspondence.
Email: samarcev-v@mail.ru
DSc (Medicine), Professor, Head of the Department of General Surgery, Deputy Chief Physician for Surgery
Russian Federation, Perm; PermA. A. Domrachev
E.A. Vagner Perm State Medical University; City Clinical Hospital No. 4
Email: samarcev-v@mail.ru
Postgraduate Student, Assistant of the Department of General Surgery, Surgeon
Russian Federation, Perm; PermV. A. Gavrilov
E.A. Vagner Perm State Medical University; City Clinical Hospital No. 4
Email: samarcev-v@mail.ru
PhD (Medicine), Associate Professor, Associate Professor of the Department of General Surgery, Surgeon
Russian Federation, Perm; PermD. Yu. Sosnin
E.A. Vagner Perm State Medical University
Email: samarcev-v@mail.ru
DSc (Medicine), Professor of the Department of Faculty Therapy № 2, Occupational Pathology and Clinical Laboratory Diagnostics
Russian Federation, PermR. A. Stepanov
E.A. Vagner Perm State Medical University; City Clinical Hospital No. 4
Email: samarcev-v@mail.ru
PhD (Medicine), Associate Professor of the Department of Surgery, Head of the Surgical Department
Russian Federation, Perm; PermA. A. Parshakov
E.A. Vagner Perm State Medical University; City Clinical Hospital No. 4
Email: samarcev-v@mail.ru
PhD (Medicine), Associate Professor of the Department of General Surgery, Surgeon
Russian Federation, Perm; PermA. S. Kobeleva
E.A. Vagner Perm State Medical University
Email: samarcev-v@mail.ru
3rd-year Student
Russian Federation, PermReferences
- Куликов Д.В., Корольков А.Ю., Морозов В.П., Ваганов А.А. Нерешенные вопросы лечения острого деструктивного панкреатита. Вестник экспериментальной и клинической хирургии 2019; 12 (2): 134–140 / Kulikov D.V., Korolkov A.Y., Morozov V.P., Vaganov A.A. Unresolved issues of treatment of acute destructive pancreatitis. Bulletin of experimental and clinical surgery 2019; 12 (2): 134–140 (in Russian).
- Чынгышева Ж.А., Ниязов Б.С., Расул Н., Адылбаева В.А., Динлосан О.Р., Абдуллаев Ж.С. Современный взгляд на диагностику и лечение острой кишечной непроходимости у геронтологических больных (обзор литературы). Бюллетень науки и практики 2022; 8 (7): 261–292 / Chyngysheva J.A., Niyazov B.S., Rasul N., Adylbaeva V.A., Dinlosan O.R., Abdullaev J.S. Modern view on the diagnosis and treatment of acute intestinal obstruction in gerontological patients (literature review). Bulletin of Science and Practice 2022; 8 (7): 261–292 (in Russian).
- Жукембаева А.М., Капарова К.М., Серкбаев Е.А., Торетаев Е.Н., Айтжанов Д.М. Особенности дисфункции кишечника после операций на органах брюшной полости. Евразийское Научное Объединение 2021; 2–3: 146–148 / Zhukembaeva A.M., Kaparova K.M., Serkbaev E.A., Toretaev E.N., Aitzhanov D.M. Features of intestinal dysfunction after operations on abdominal cavity organs. Eurasian Scientific Association 2021; 2–3: 146–148 (in Russian).
- Михайличенко В.Ю., Трофимов П.С., Самарин С.А. Алгоритм диагностики и лечения ранней спаечной послеоперационной непроходимости. Таврический медико-биологический вестник 2018; 21 (2): 57–64 / Mikhailichenko V.Yu, Trofimov P.S., Samarin S.A. Algorithm of diagnostics and treatment of early adhesion postoperative obstruc-tion. A. Algorithm of diagnostics and treatment of early adhesion postoperative obstruction. Tavricheskiy medico-biological bulletin 2018; 21 (2): 57–64 (in Russian).
- Меньшикова И.Л. Профилактика острого панкреатита при эндоскопических эндобилиарных вмешательствах. Вестник Кыргызско-Российского Славянского университета 2013; 13 (6): 162–165 / Menshikova, I.L. Preven-tion of acute pancreatitis during endoscopic endobiliary interventions. Bulletin of the Kyrgyz-Russian Slavic University 2013; 13 (6): 162–165 (in Russian).
- Дронов А.И., Ковальская И.А., Горлач А.И. Постнекротические осложнения острого панкреатита и их хирургическая коррекция. Хирургия. Восточная Европа 2015; 2 (14): 90–95 / Dronov A.I., Kovalskaya I.A., Gorlach A.I. Postnecrotic complications of acute pancreatitis and their surgical correction. Surgery. Eastern Europe 2015; 2 (14): 90–95 (in Russian).
- Мальцева Л.А., Мищенко Е.А., Кутовой А.Б., Мосенцев Н.Ф., Лисничая В.Н., Казимирова Н.А. Энтеральная толерантность у критических пациентов (обзор литературы). Медицина неотложных состояний 2020; 16 (1): 36–44 / Maltseva L.A., Mishchenko E.A., Kutovoy A.B., Mosentsev N.F., Lisnichaya V.N., Kazimirova N.A. Enteral tolerance in critical patients (literature review). Emergency Medicine 2020; 16 (1): 36–44 (in Russian).
- Багненко С.Ф., Гольцов В.Р., Савелло В.Е., Вашетко Р.В. Классификация острого панкреатита: современное состояние проблемы. Вестник хирургии имени И.И. Грекова 2015; 174 (5): 86–92 / Bagnenko S.F., Goltsov V.R., Savello V.E., Vachetko R.V. Classification of acute pancreatitis: current state of the problem. Bulletin of Surgery named after I.I. Grekov 2015; 174 (5): 86–92 (in Russian).
- Степан Е.В., Рогаль М.Л., Озова З.М., Иванов П.А. Наружные панкреатические свищи – диагностика и лечение. Вестник хирургической гастроэнтерологии 2017; 1: 3–9 / Stepan Е.V., Rogal M.L., Ozova Z.M., Ivanov P.A. External pancreatic fistulas – diagnosis and treatment. Bulletin of surgical gastroenterology 2017; 1: 3–9 (in Russian).
- Будзинский С.А., Шаповальянц С.Г., Федоров Е.Д. Эндоскопическое ретроградное панкреатическое стентирование при хроническом панкреатите – возможности, ограничения, осложнения. Экспериментальная и клиническая гастроэнтерология 2014; 3 (103): 72–80 / Budzinsky S.A., Shapovalyants S.G., Fedorov E.D. Endoscopic retrograde pancreatic stenting in chronic pancreatitis – possibilities, limitations, complications. Experimental and clinical gastroenterology 2014; 3 (103): 72–80 (in Russian).
- Натальский А.А., Тарасенко С.В., Зайцев О.В., Песков О.Д., Богомолов А.Ю., Кадыкова О.А., Баконина И.В. Хронический панкреатит как мультидисплинарная медико-социальная проблема. ЭиКГ 2017; 6 (142) / Natal A.A., Tarasenko S.V., Zaitsev O.V., Peskov O.D., Bogomolov A.Y., Kadykova O.A., Bakonina I.V. Chronic pancreatitis as a multidisciplinary medical and social problem. EiCG 2017; 6 (142) (in Russian).
- Самарцев В.А., Гаврилов В.А., Подтаев С.Ю. Диагностика и коррекция нарушений микроциркуляции и эндотелиальной дисфункции в комплексной терапии острого панкреатита антиоксидантными препаратами. Пермский медицинский журнал 2022; 39 (3): 63–72 / Samartsev V.A., Gavrilov V.A., Podtaev S.Y. Diagnostics and correction of microcirculation disorders and endothelial dysfunction in complex therapy of acute pancreatitis with antioxidant drugs. Perm Medical Journal 2022; 39 (3): 63–72 (in Russian).
Supplementary files



