A case of diffuse hepatocellular carcinoma
- Authors: Voronova E.I.1, Friend G.G.1, Pastuchov A.D.1, Sosnin D.Y.1, Khovaeva Y.B.1, Kazachenko E.N.2, Moiseenko N.P.1
-
Affiliations:
- E.A. Vagner Perm State Medical University
- City Clinical Hospital No. 2 named after F.H. Gral
- Issue: Vol 41, No 4 (2024)
- Pages: 153-160
- Section: Clinical case
- Submitted: 28.05.2024
- Published: 03.10.2024
- URL: https://permmedjournal.ru/PMJ/article/view/632921
- DOI: https://doi.org/10.17816/pmj414153-160
- ID: 632921
Cite item
Full Text
Abstract
A clinical case of a diffuse form of hepatocellular carcinoma is described in the article. The results of laboratory and instrumental examination carried out in the hospital were analyzed. The results of examination using computer tomography, ultrasound diagnostics and laboratory tests, as well as the difficulties to differentiate a tumor from other diseases are presented.
Diagnosis of diffuse hepatocellular carcinoma is challenging in clinical practice due to the lack of specific clinical and biochemical signs, unconclusive imaging findings, and rapid progression. Without treatment, the life expectancy of patients is limited to eight months.
Full Text
Введение
По данным В.В. Бредер и соавт. [1], гепатоцеллюлярная карцинома (ГЦК) является наиболее распространённой злокачественной опухолью печени, причем в большинстве случаев рак печени развивается на фоне хронических вирусных гепатитов, цирроза печени (около 85 % случаев)1. Достаточно редко ГЦК поражает здоровую ткань печени.
В 2020 г. ГЦК занимала 6-е место в мире среди всех злокачественных опухолевых заболеваний, а смертность от нее удерживает 3-е место, что требует разработки мер ее профилактики, ранней диагностики и совершенствования методов лечения. В России ежегодно выявляется более 6000 пациентов с диагнозом ГЦК [2–4].
Опухоль может иметь три формы: узловую, массивную и диффузную, последняя чаще встречается на Западе [5–7]. Своевременная диагностика диффузного типа ГЦК представляет большие трудности в практике врача. Приводим клиническое наблюдение.
Клинический случай
Пациентка Х. была госпитализирована экстренно в гастроэнтерологическое отделение городской больницы с жалобами на слабость, боли в правом подреберье, одышку при умеренной физической нагрузке, изжогу, отрыжку воздухом, желтушность кожи и склер, увеличение живота, потерю аппетита и тошноту. Она страдала псориатическим полиартритом более 10 лет и длительно принимала метотрексат. За последние несколько месяцев стала отмечать увеличение болезненности в области правого подреберья, слабость, одышку, отеки голеней и стоп, увеличение живота; отрицала употребление алкоголя и не имела вирусных гепатитов в анамнезе.
При амбулаторном обследовании было выявлено незначительное повышение уровня трансаминаз (АЛТ и АСТ), а также гипербилирубинемия. Общий анализ крови показал лейкоцитоз с палочкоядерным сдвигом. Ультразвуковое исследование органов брюшной полости показало диффузные изменения в печени, выраженную гепатоспленомегалию и дилатацию селезеночной вены.
В связи с отсутствием эффекта от амбулаторного лечения и нарастанием симптомов пациентка была госпитализирована для верификации диагноза. Проведены дополнительные обследования для верификации диагноза и исключения хронического гепатита, поликистоза печени, абсцесса печени и злокачественного заболевания печени.
При поступлении состояние пациентки оценивалось как средней тяжести. Были отмечены желтушность кожи и слизистых, а также множественные телеангиоэктазии. При аускультации легких дыхание везикулярное, но ослаблено в нижних отделах справа. Пульс удовлетворительный, а артериальное давление в норме. Обнаружены признаки выпирающей печени и расширенной венозной сети на животе. При пальпации живота обнаружено увеличение печени, которая занимала всю брюшную полость до пупка, а селезенка пальпировалась с трудом.
Результаты лабораторно-инструментальных исследований, проведенных в стационаре, показали следующее: в общем анализе крови выявлена легкая нормохромная анемия, лейкоцитоз до 27 тысяч, без наличия палочкоядерного сдвига. В общем анализе мочи обнаружена протеинурия до 0,35 г/л и бактериурия, вызванная ростом E. coli. Биохимический анализ крови показал минимальный цитолиз, выраженный холестаз
(щелочная фосфатаза – 1202 ед/л, гамма-глютамилтранспептидаза – 1634 ед./л), гипербилирубинемию – до 101 мкмоль/л, преимущественно за счет прямого билирубина, а также повышение уровня С-реактивного белка до 299 мг/л. Маркеры вирусных гепатитов отрицательны. Протромбиновый индекс и фибриноген в пределах нормы. Уровень альфа-фетопротеина в норме (7,04 нг/мл), антитела к Echinococcus granulosus IgG – 0,08 КП. Посев крови на стерильность трехкратно – роста не выявлено.
У пациентки не отмечалось повышения уровня альфа-фетопротеина. В 20 % случаев при гепатоцеллюлярной карциноме уровень этого маркера значительно повышен (более 400 нг/мл), а почти в половине случаев не превышает 20 нг/мл. Уровень альфа-фетопротеина может также повышаться при других заболеваниях печени, в том числе при вирусных гепатитах, а также при некоторых других онкологических заболеваниях (герминогенные опухоли), а также при беременности [8; 9].
За время нахождения в стационаре отмечалось увеличение цитолиза (особенно за счет АСТ, превышающего 10 норм) и уровня билирубина до 151 мкмоль/л (преимущественно за счет непрямого, до 101 мкмоль/л). Высокие показатели щелочной фосфатазы и гамма-глютамилтранспептидазы сохранялись, при этом наблюдалось незначительное снижение уровня С-реактивного белка до 173 мг/л.
При проведении рентгенографии органов грудной клетки выявлено небольшое количество жидкости в латеральных синусах с обеих сторон. Ультразвуковое исследование органов брюшной полости показало увеличение печени (косой вертикальный размер – 255 мм), с неровными контурам и среднезернистой, однородной эхоструктурой. Обнаружены диффузные изменения поджелудочной железы и лимфоузлы ворот печени, асцит отсутствует. Фиброгастродуоденоскопия выявила признаки кандидозного эзофагита 1–2-й степени по Kodsi и эрозии антрального отдела желудка. Варикозное расширение вен не обнаружено. Для дифференциальной диагностики между циррозом печени и злокачественным новообразованием печени проведена мультиспиральная компьютерная томография органов брюшной полости, забрюшинного пространства и малого таза с контрастным усилением.
На сериях мультиспиральной компьютерной томографии печень расположена типично, увеличена в размерах: переднезадний размер до 8,9 см, косой каудальный размер – до 16,2 см для левой доли, а для правой доли – переднезадний размер – до 21,4 см и косой каудальный размер – до 25,0 см. Контуры четкие, неровные, а края закруглены. Структура паренхимы неоднородная из-за диффузного поражения гиподенсивными разнокалиберными очагами. Некоторые из них сливаются, образуя перегородки различной толщины. Большинство образований имеют четкие ровные контуры. В единичных образованиях отмечаются гиперденсивные включения. Накопление контрастного вещества в непораженной части паренхимы равномерное, но в гиподенсивных очагах контраст не накапливается. Протоки желчи и вены расширены нормально. Селезенка расположена и размерами соответствует норме. Воротные и селезеночные вены не расширены. В брюшной полости обнаружена свободная жидкость тонкой полоской парапеченочно по латеральной поверхности и в дугласовом пространстве.
Мультиспиральная компьютерная томография показывает увеличение печени с диффузным образованием кист, что, вероятно, соответствует поликистозу печени. Несколько из этих кист имеют осложнения, такие как кровоизлияния в стенки и контурное контрастирование. Также отмечается увеличение лимфоузлов в воротах печени, небольшое наличие жидкости в брюшной полости и плевральный выпот с обеих сторон грудной клетки (рис. 1).
Рис. 1. МСКТ-картина поражения печени
Несмотря на проводимую интенсивную терапию, отмечалось быстро прогрессирующее ухудшение состояния, приведшее к смерти больной.
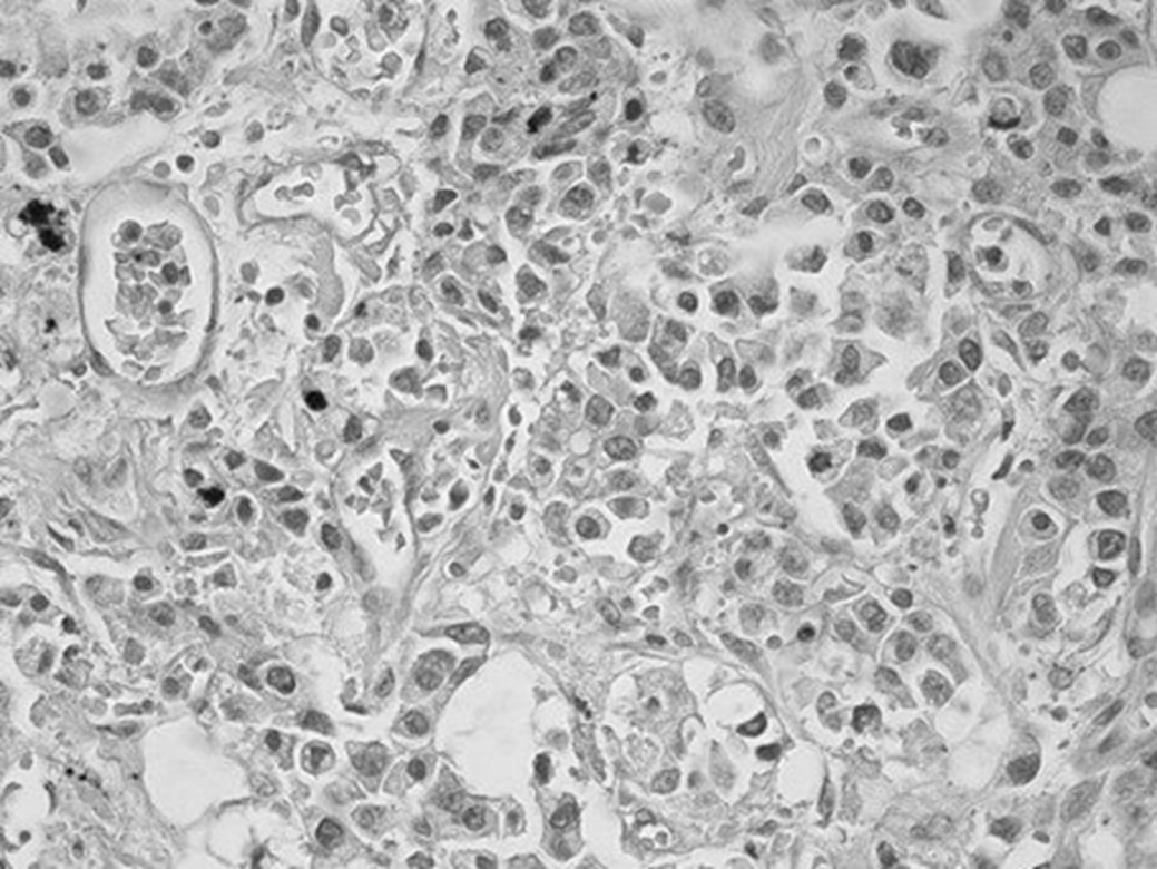
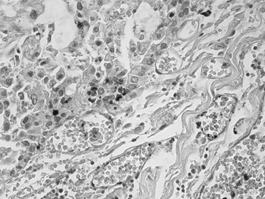
Ниже приводим результат посмертного гистологического исследования ткани печени: «Опухоль представлена полями крупных клеток, не формирующих упорядоченные трабекулярные структуры, с крупными ядрами. Во многих клетках – фигуры митоза, в том числе атипические. Ядра клеток характеризуются выраженным полиморфизмом, многие из них содержат крупные эозинофильные ядрышки. Наряду с атипией и высокой митотической активностью отмечается высокий ядерно-цитоплазматический коэффициент (соотношение площади ядра и цитоплазмы). Клетки располагаются как группами, так и изолированно, разделены узкими прослойками стромы (рис. 2). Опухолевая ткань с обильной васкуляризацией (рис. 3). Во многих сосудах встречаются опухолевые эмболы (рис. 4). Гистологическое заключение: низкодифференцированная гепатоцеллюлярная карцинома (G3), мультифокальный рост опухоли».
Рис. 2. Выраженный клеточный и ядерный полиморфизм, высокое ядерно-цитоплазматическое соотношение. Окраска гематоксилином и эозином, ув. 400
Рис. 3. Обилие полнокровных сосудов в прослойках соединительной ткани. Окраска гематоксилином и эозином, ув. 400
Рис. 4. Опухолевые эмболы в сосудах среди ткани опухоли. Окраска гематоксилином и эозином, ув. 400
Результаты и их обсуждение
Диагностика диффузной формы ГЦК с мультифокальным ростом представляет значительные сложности из-за отсутствия специфической клинической картины заболевания. Как правило, в начале развития опухоль протекает бессимптомно ввиду высокой компенсаторной реакции ткани печени. Известно, что даже при наличии крупных метастазов в печени клинико-лабораторные показатели могут почти не отличаться от нормальных, а болевой синдром долго отсутствует [8; 9]. Это приводит к тому, что пациенты не обращают внимания на слабые проявления диспепсии и не обращаются за медицинской помощью. С течением времени симптомы становятся более яркими и заметными: боли чаще всего возникают из-за прорастания опухоли в анатомические структуры, включая крупные сосуды, образования опухолевых тромбоэмболов и метастазов в органах. Основными жалобами на поздних этапах заболевания являются общая слабость, вялость, быстрая утомляемость, желтуха, увеличение объема живота, дискомфорт и боли в правом подреберье, а также повышение температуры тела и отёки нижних конечностей. ГЦК чаще всего обнаруживается на поздних стадиях. Спектр проявлений может быть обусловлен фоновыми заболеваниями печени, такими как хронический гепатит, цирроз, прием лекарственных препаратов, а также осложнениями опухолевого процесса. В данном случае у пациентки не было фоновых заболеваний печени.
Возможно, прием метотрексата в течение длительного времени выступил пусковым фактором развития и быстрого прогрессирования опухолевого процесса.
Диффузный опухолевый рост в печени затруднил УЗ-верификацию, МСКТ является более информативным методом инструментальной диагностики, однако очень важно строгое соблюдение методики контрастирования. В данном случае отсутствие КТ-верификации может быть связано с нарушением методики контрастирования. На сериях МСКТ отсутствуют ранняя и поздняя артериальная фазы, венозная фаза, что недопустимо при дифференциации злокачественных процессов паренхиматозных органов. Строгое соблюдение протокола контрастирования в подавляющем большинстве случаев облегчает визуализацию новообразования и дифференциальную диагностику доброкачественного и злокачественного поражения печени.
Выводы
Диффузная форма ГЦК представляет большие трудности для своевременной клинической диагностики из-за продолжительного бессимптомного периода, отсутствия специфических клинических и биохимических проявлений, а также не всегда очевидных признаков при проведении КТ-визуализации. Поздняя диагностика опухоли также обусловлена быстрым прогрессированием и низкими показателями продолжительности жизни пациентов [10–14].
1 Клинические рекомендации Рак печени. Ассоциация онкологов России, Междисциплинарное общество специалистов по опухолям печени, Общероссийская общественная организация «Российское общество клинической онкологии», Общероссийская общественная организация содействия развитию лучевой диагностики и терапии «Российское общество рентгенологов и радиологов». М. 2022 (опубл. 22.07.2022 МЗРФ).
About the authors
E. I. Voronova
E.A. Vagner Perm State Medical University
Author for correspondence.
Email: lizikvoronova@mail.ru
ORCID iD: 0000-0002-4156-9610
PhD (Medicine), Associate Professor of the Department of Internal Medicine and Family Medicine
Russian Federation, PermG. G. Friend
E.A. Vagner Perm State Medical University
Email: lizikvoronova@mail.ru
ORCID iD: 0000-0002-2861-4878
DSc (Medicine), Professor, Head of the Department of Pathologic Anatomy with a Section Course
Russian Federation, PermA. D. Pastuchov
E.A. Vagner Perm State Medical University
Email: lizikvoronova@mail.ru
PhD (Medicine), Associate Professor of the Department of Oncology, Radiodiagnosis and Radiotherapy with the Course of Radiology
Russian Federation, PermD. Yu. Sosnin
E.A. Vagner Perm State Medical University
Email: lizikvoronova@mail.ru
ORCID iD: 0000-0002-1232-8826
DSc (Medicine), Professor of the Department of Faculty Therapy № 2, Occupational Pathology and Clinical Laboratory Diagnostics
Russian Federation, PermYa. B. Khovaeva
E.A. Vagner Perm State Medical University
Email: lizikvoronova@mail.ru
ORCID iD: 0000-0003-1186-3867
DSc (Medicine), Professor, Head of the Department of Internal Medicine and Family Medicine
Russian Federation, PermE. N. Kazachenko
City Clinical Hospital No. 2 named after F.H. Gral
Email: lizikvoronova@mail.ru
ORCID iD: 0009-0000-7105-8224
PhD (Medicine), Head of the Department of Gastroenterology
Russian Federation, PermN. P. Moiseenko
E.A. Vagner Perm State Medical University
Email: lizikvoronova@mail.ru
ORCID iD: 0000-0002-9836-9548
PhD (Medicine), Associate Professor of the Department of Internal Medicine and Family Medicine
Russian Federation, PermReferences
- Бредер В.В., Балахнин П.В., Виршке Э.Р., Косырев В.Ю., Ледин Е.В., Петкау В.В. Практические рекомендации по лекарственному лечению больных гепатоцеллюлярным раком. Злокачественные опухоли: практические рекомендации RUSSCO #3s2. 2020; 10 / Breder V.V., Balahnin P.V., Virshke E.R., Kosyrev V.Yu., Ledin E.V., Petkau V.V. Prakticheskie rekomendacii po lekarstvennomu lecheniyu bol'nyh gepatocellyulyarnym rakom. Zlokachestvennye opuholi: prakticheskie rekomendacii RUSSCO #3s2. 2020; 10 (in Russian).
- Маев И.В., Андреев Д.Н., Кучерявый Ю.А., Дичева Д.Т. Гепатоцеллюлярная карцинома с позиций современной медицины: пособие для врачей. М. 2022 / Maev I.V., Andreev D.N., Kucheryavyj Yu.A., Dicheva D.T. Gepatocellyulyarnaya karcinoma s pozicij sovremennoj mediciny: posobie dlya vrachej. Moscow 2022 (in Russian).
- Демидов Д.А. Гепатоцеллюлярный рак уч. пособие; ФГБОУ ВО УГМУ Минздрава России. Екатеринбург: Издательство УГМУ 2018; 54 / Demidov D.A. Gepatocellyulyarnyj rak uch. posobie; FGBOU VO UGMU Minzdrava Rossii. Ekaterinburg: Izdatel'stvo UGMU 2018; 54 (in Russian).
- Геттуева А.А., Сторожаков Г.И., Лепков С.В., Эттингер О.А., Косюра С.Д. Влияние вирусного гепатита В и С на течение и прогноз гепатоцеллюлярной карциномы. Лечебное дело 2012; 2: 15–19 / Gettueva A.A., Storozhakov G.I., Lepkov S.V., Ettinger O.A., Kosyura S.D. Vliyanie virusnogo gepatita V i S na techenie i prognozgepatocellyulyarnoj karcinomy. Lechebnoe delo 2012; 2: 15–19 (in Russian).
- МакНелли П.Р. Секреты гастроэнтерологии: пер. с англ. М.: БИНОМ 2005 / MakNelliP.R. Sekretygastroenterologii: per. s angl. Moscow: BINOM 2005 (in Russian).
- Шерлок Ш., Дули Дж. Заболевания печени и желчных путей. Практическое руководство: пер. с англ. Под ред. З.Г. Апросиной, Н.А. Мухина. М.: ГЭОТАР-МЕД 2002 / Sherlok Sh., Duli Dzh. Zabolevaniya pecheni i zhelchnyh putej. Prakticheskoe rukovodstvo: per. s angl. pod red. Z.G. Aprosinoj, N.A. Muhina. Moscow: GEOTAR-MED 2002 (in Russian).
- Маев И.В., Дичева Д.Т., Жиляев Е.В., Березутская О.Е., Биткова Е.Н. Трудности диагностики гепатоцеллюлярной карциномы. Consilium Medicum 2010; 12 (8): 63–66 / Maev I.V., Dicheva D.T., Zhilyaev E.V., Berezutskaya O.E., Bitkova E.N. Trudnosti diagnostiki gepatotsellyulyarnoy kartsinomy. Consilium Medicum 2010; 12 (8): 63–66 (in Russian).
- Yano M., Kumada H., Kage M. et al. The long-term pathological evolution of chronic hepatitis C. Hepatology. 1996; 23: 1334–1340.
- Чернобровкина Т.Я., Янковская Я.Д. Гепатоцеллюлярный рак. Современные достижения в диагностике и лечении. Архивъ внутренней медицины 2016; 6 (1): 63–69. doi: 10.20514/2226-6704-2016-6-1-63-69 / Chernobrovkina T.Y., Yankovwskaya Y.D. Hepatocellularcarcinoma. Recentadvancesindiagnosisandtreatment. The Russian Archives of Internal Medicine 2016; 6 (1): 63–69. doi: 10.20514/2226-6704-2016-6-1-63-69 (in Russian).
- Комаров Ф.И., Гребнев А.Л. Руководство по гастроэнтерологии: в 3 т. Т. 2. Болезни печени и билиарной системы. М.: Медицина 1995 / Komarov F.I., Grebnev A.L. Rukovodstvo po gastroenterologii: v 3 t. T. 2. Bolezni pecheni i biliarnoj sistemy. Moscow: Medicina 1995 (in Russian).
- Гарин А.М., Базин И.С. Злокачественные опухоли пищеварительной системы. М. 2003 / Garin A.M., Bazin I.S. Zlokachestvennye opuholi pishchevaritel'noj sistemy. Moscow 2003 (in Russian).
- Колосов А.Е., Журавлёв В.А. Рак печени и прогноз для больных. СПб. 2002 / Kolosov A.E., Zhuravlyov V.A. Rak pecheni i prognoz dlya bol'nyh. Saint Petersburg 2002 (in Russian).
- Hamilton S.R., Aaltonen L.A. Tumours of the liver and intrahepatic bile ducts. Pathology and genetics of tumours of the digestive system: Word Health Organization classification of tumours. Lyon 2000.
- Бугаева Т.Т., Слепцова С.С., Тихонова Н.Н. Клинический случай гепатоцеллюлярной карциномы в исходе впервые выявленной хронической hdv-инфекции смикст-репликацией. Вестник северо-восточного федерального университета имени М.К. Аммосова. Серия: Медицинские науки 2018; 2 (11): 26–30 / Bugaeva T.T., Slepcova S.S., Tihonova N.N. Klinicheskij sluchaj gepatocellyulyarnoj karcinomy v iskhode vpervye vyyavlennoj hronicheskoj hdv-infekcii s mikst-replikaciej. Vestnik severo-vostochnogo federal'nogo universiteta imeni M.K. Ammosova. Seriya: Medicinskie nauki 2018; 2 (11): 26–30 (in Russian).
Supplementary files






