A clinical case of manifestations of dysgenetic polycystosis of the parotid salivary glands
- Authors: Antakov G.I.1, Zotov D.A.1, Sultanova S.А.2, Rapekta S.I.1
 - 
							Affiliations: 
							
- Ye.A. Vagner Perm State Medical University
 - Academician E.A. Wagner Perm State Medical University
 
 - Issue: Vol 42, No 3 (2025)
 - Pages: 172-178
 - Section: Clinical case
 - Submitted: 28.02.2025
 - Published: 23.07.2025
 - URL: https://permmedjournal.ru/PMJ/article/view/675052
 - DOI: https://doi.org/10.17816/pmj423172-178
 - ID: 675052
 
Cite item
Full Text
Abstract
A clinical case of a patient treated for a rare disease of dysgenetic polycystosis of the parotid salivary glands was analyzed.
Patient S., a 46-year-old man, was treated in the department of maxillofacial surgery from 25.11.24 to 02.12.24. Over the past 5 years, he noted a painless enlargement of the parotid salivary glands, which was confirmed by the clinical examination. The diagnosis of polycystosis of parotid salivary gland was confirmed histologically. Recommendations on the treatment strategy for patients with dysgenetic polycystic disease are proposed.
Keywords
Full Text
Введение
Своеобразной и недостаточно изученной патологией слюнных желез является дисгенетическая поликистозная болезнь, являющаяся аномалией развития системы протоков. Отсутствует четкое понимание этиологии и патогенеза заболевания, клиническая картина во многом может быть схожа с другими поражениями слюнных желез, отсутствует единое мнение в тактике лечения. В зарубежной литературе описан только 21 случай заболевания дисгенетическим поликистозом [1]. В русскоязычных источниках сведения об этой нозологии отсутствуют. Описан редкий клинический случай проявления дисгенетического поликистоза околоушных слюнных желез у пациента, проходившего лечение в отделении челюстно-лицевой хирургии клинической стоматологической больницы ФГБОУ ВО «Пермский государственный медицинский университет имени академика Е.А. Вагнера» Министерства здравоохранения Российской Федерации.
Дисгенетический поликистоз впервые описан в 1962 г. [2]. Чаще всего патологический процесс возникает в околоушной слюнной железе, однако описаны единичные случаи поражения подчелюстных слюнных желез и малых слюнных желез языка [1; 3]. В 1981 г. была установлена причина поликистоза, связанная с аномалиями развития системы концевых протоков железы в эмбриональный период развития [4]. Эта нозология имеет наследственную природу [1]. Имеется предположение об аутосомно-доминантном типе наследования. Пусковым фактором появления клинических симптомов поликистоза могут быть гормональные изменения, в том числе беременность [5]. Клиническая картина дисгенетического поликистоза мало выражена. Характерно рецидивирующее безболезненное увеличение пораженных слюнных желез на фоне отсутствия значимой соматической патологии. Заболевание чаще всего проявляется в молодом возрасте, долго может быть незамеченным, лишь при инфицировании может появиться болевой синдром [5]. Для диагностики поликистоза околоушных слюнных желез E. Brown et al. были выделены следующие признаки: а) двустороннее увеличение околоушных слюнных желез, чаще у лиц женского пола; б) отсутствие аутоиммунных и других системных заболеваний; в) наличие характерных множественных участков пониженного сигнала в паренхиме желез на МРТ [5]. Дисгенетический поликистоз следует дифференцировать с опухолью Уортина, плеоморфной аденомой, мукоэпидермоидной карциномой и аденоидной кистозной карциномой [6]. Установленный диагноз подтверждает прижизненное патолого-анатомическое исследование биопсийного материала. Первое гистологическое описание поликистоза произведено в 1981 г. [6; 7]. Микроскопическая картина заболевания во многом напоминает поликистоз поджелудочной железы и почек [8]. Вся слюнная железа может быть заполнена кистами различных размеров с наличием между ними нормальных межбелковых перегородок, остаточных серозных ацинусов и выводных протоков. Архитектура слюнной железы остается неизменной. Кисты выстланы однослойным кубическим, плоским или цилиндрическим эпителием, с наличием эозинофильной цитоплазмы. Также клетки могут приобретать псевдопапиллярную форму с наличием большого количества окрашиваемого липида. Отмечается расширение протоков в оставшихся неповрежденными ацинусах [5; 9]. Сиалография в диагностике дисгенетического поликистоза не применяется, так как отсутствуют патогномоничные рентгенологические признаки заболевания. Кроме того, данный вид исследования может спровоцировать дальнейшее расширение и разрывы концевых протоков и кист с последующим развитием острых явлений воспаления [10]. Единой тактики лечения пациентов с дисгенетическим поликистозом слюнных желез не существует. Ряд авторов описывает успешный исход хирургического лечения в случае локализации патологического процесса поверхностно либо в одной из долей околоушной слюнной железы (лобэктомия) [4]. При односторонней локализации кист предложено проведение паротидэктомии [8]. В то же время большинство авторов придерживается консервативной тактики лечения, так как заболевание не относится к группе неопластических, имеет доброкачественный характер течения, а количество и размеры кистозных полостей чаще всего остаются неизменными. В этом случае предполагается динамическое наблюдение [5]. В настоящее время проблема изучения дисгенетического поликистоза сохраняет свою актуальность.
Цель исследования – анализ клинического случая лечения пациента с редким заболеванием – дисгенетическим поликистозом околоушных слюнных желез, проходившего лечение в отделении челюстно-лицевой хирургии клинической стоматологической больницы ФГБОУ ВО «Пермский государственный медицинский университет имени академика Е.А. Вагнера» Минздрава РФ.
Клинический случай
Пациент С., 46 лет, обратился в клиническую стоматологическую больницу ПГМУ с жалобами на безболезненное увеличение околоушных слюнных желез. По анамнестическим данным случаев заболевания слюнных желез ранее в семье не наблюдалось. Около пяти лет назад родственники пациента стали замечать изменения черт его лица, оно стало более округлым, нижняя треть лица стала шире, при этом сам пациент изменений форм лица не замечал. В 2021 г. на фоне ОРВИ появлялась отечность в околоушно-жевательной области слева. Болевой синдром в течение всего периода заболевания отсутствовал. Весной 2024 г. во время прохождения диспансеризации пациенту проведено УЗИ слюнных желез, где были обнаружены жидкостные образования в околоушных слюнных железах справа и слева. После проведения МРТ, цитологического исследования и осмотра онколога данных за неопластический процесс не обнаружено. Данные лабораторных анализов (общий анализ крови, общий анализ мочи, коагулограмма, биохимический анализ крови) – в пределах нормальных значений, при осмотре терапевтом – соматической патологии не выявлено. Госпитализирован в отделение челюстно-лицевой хирургии с целью проведения инцизионной биопсии и верификации диагноза. На момент госпитализации при внешнем осмотре общее состояние не страдало, клинических изменений со стороны систем органов организма не выявлено. Отмечалось симметричное увеличение мягких тканей в околоушно-жевательных областях и в верхнебоковых отделах шеи справа и слева (рис. 1).
Рис. 1. Внешний вид пациента С. при поступлении
Кожные покровы лица в цвете не изменены, инфильтрация тканей отсутствует. Околоушные слюнные железы справа и слева увеличены в размерах: слева до 6,0´8,0 см, и справа: до 7,0´6,0 см, визуально не контурируют, при пальпации эластической консистенции, безболезненные, с бугристой поверхностью. В задненижнем отделе околоушно-жевательной области слева определяется участок уплотнения, размером 2,0´2,0 см. Открывание рта не нарушено. Органы полости рта без анатомических и функциональных отклонений. Признаков нарушения саливации не выявлено. Проведена оценка результатов инструментального исследования. Заключение УЗИ от 24.06.2024: множественные жидкостные образования в проекции околоушных слюнных желез. Цитологическое исследование от 08.08.2024: бесструктурные массы, клеточных элементов не выявлено. МРТ от 23.07.2024: картина увеличения размеров околоушных слюнных желез 
с наличием множественных кистозных включений (рис. 2).
Рис. 2. Аксиальный срез МРТ пациента С. Околоушные железы справа и слева увеличены в объеме, в их структуре визуализируются множественные кистозные включения
На основании данных клинического и дополнительных методов обследования был установлен предварительный диагноз: 
К11.6 – дисгенетический поликистоз околоушных слюнных желез. 26.11.2024. проведено оперативное вмешательство: инцизионная биопсия околоушной слюнной железы слева. Область биопсии определена на основании наличия участка уплотнения в задненижнем отделе околоушно-жевательной области слева, а также с учетом наименьших рисков осложнений (травматизация ветвей лицевого нерва, формирование слюнных свищей) в нижнем полюсе околоушной железы. Под эндотрахеальным наркозом проведен разрез в проекции нижнего полюса околоушной слюнной железы длиной 3,5 см, окаймляющий угол нижней челюсти. Обнаружен нижний полюс околоушной слюнной железы в капсуле со множеством кистозных образований округлой формы, заполненных вязкой слюной (рис. 3).
Капсула рассечена, выделено кистозное образование с фрагментом окружающей паренхимы железы, размером 2´2´2 см, препарат направлен на прижизненное патолого-анатомическое исследование (рис. 4).
Рис. 3. Кистозное образование нижнего полюса околоушной слюнной железы
Рис. 4. Биопсийный материал – оболочка кистозного образования с содержимым и прилежащей паренхимой околоушной слюнной железы
Макроскопически препарат представлен кистой 3,0´2,5´2,2 см, на разрезе в просвете слизь, внутренняя поверхность сероватого цвета, гладкая.
Операционная рана послойно ушита с созданием дубликатуры околоушно-жевательной фасции с целью профилактики образования слюнного свища. В послеоперационном периоде пациенту проведен курс анти-бактериальной терапии (цефтриаксон 1,0 один раз день внутримышечно в течение 7 дней). Гнойно-воспалительных осложнений не наблюдалось, заживление раны первичным натяжением.
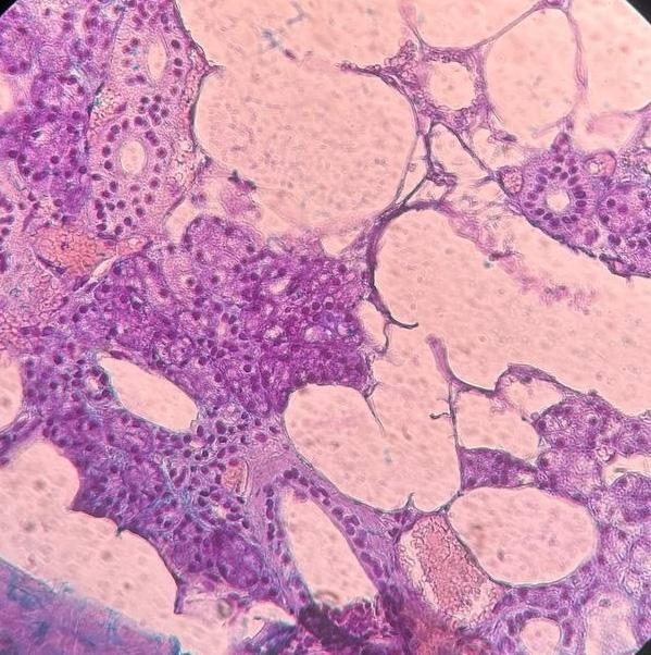
Рис. 5. Микроструктура биопсийного материала, окраска гематоксилином и эозином, объектив с 40-кратным увеличением
Результаты: получено заключение прижизненного патолого-анатомического исследования № 1116 от 29.11.2024 (рис. 5).
Микроскопическое описание препарата: стенки многокамерной кисты образованы соединительной тканью с сосудами, умеренно выраженной лимфоплазмоцитарной инфильтрацией, выстланы цилиндрическим эпителием, в прилежащих дольках железы умеренный фиброз, выраженный липоматоз, в строме очаговая лимфоидная инфильтрация. Патолого-анатомический диагноз: поликистоз слюнной железы.
Таким образом, предварительный диагноз был подтвержден гистологически. Учитывая отсутствие жалоб пациента С. и сохранения функции слюноотделения в полном объеме, двустороннее поражение всех отделов околоушных слюнных желез, исключение неопластической природы заболевания по данным биопсии, принято решение о консервативной тактике лечения. 
Рекомендовано диспансерное наблюдение у стоматолога-хирурга с МРТ-контролем в динамике один раз год. С целью минимизации рисков развития воспалительных процессов в околоушных слюнных железах предписано соблюдение лечебно-охранительного режима (придерживаться диеты с исключением продуктов, усиливающих саливацию, а также проводить мероприятия по укреплению иммунной системы).
На основании анализа клинического случая были разработаны следующие рекомендации, касающиеся тактики лечения дисгенетического поликистоза:
- В случае выявления данного заболевания объем хирургических вмешательств следует ограничить проведением инцизионной биопсии с целью верификации диагноза. Предпочтительно динамическое наблюдение, а также профилактика развития гнойно-воспалительных осложнений.
 - При наличии небольшого количества кист и при их достаточно больших размерах, позволяющих определить образования пальпаторно, возможно их иссечение с прилежащей паренхимой железы.
 - При проведении инцизионной биопсии оптимальной зоной для взятия материала является нижний полюс околоушной слюнной железы ввиду наиболее низких рисков травматизации ветвей лицевого нерва и формирования слюнных свищей в данной области.
 
Выводы
- Дисгенетический поликистоз околоушных слюнных желез – редкое и малоизученное заболевание, имеющиеся сведения об этиологии, патогенезе, клинической картине данной патологии разрозненны, а тактика лечения не приведена к единой концепции. В связи с этим требуется дальнейшее исследование нозологии с целью совершенствования дифференциальной диагностики, повышения качества лечения.
 - Клинический случай поликистоза околоушных слюнных желез, описанный нами, был подтвержден гистологически. Отсутствие функциональных нарушений и исключение неопластического процесса послужили основанием для выбора тактики консервативного лечения.
 - Исследование может быть полезным для челюстно-лицевых хирургов, а также для врачей стоматологических и терапевтических специальностей с целью более раннего выявления пациентов с данным заболеванием, определения рациональной тактики лечения и своевременной постановки на диспансерный учет.
 
About the authors
Gleb I. Antakov
Ye.A. Vagner Perm State Medical University
														Email: glebreanimator@inbox.ru
				                	ORCID iD: 0000-0002-4949-3294
				                																			                								
PhD (Medicine), Head of the Operating Unit of Clinical Dental Hospital, Maxillofacial Surgeon
Russian Federation, PermDanil A. Zotov
Ye.A. Vagner Perm State Medical University
							Author for correspondence.
							Email: dzotov.01@mail.ru
				                	ORCID iD: 0009-0007-7622-0762
				                																			                								
Resident of the Department of Surgical Dentistry and Maxillofacial Surgery
Russian Federation, PermSaida А. Sultanova
Academician E.A. Wagner Perm State Medical University
														Email: saidasultanova1991@yandex.ru
				                	ORCID iD: 0009-0009-4415-3694
				                																			                								
Head of the Department of Maxillofacial Surgery, Maxillofacial Surgeon
Russian Federation, PermSvetlana I. Rapekta
Ye.A. Vagner Perm State Medical University
														Email: rapsvi@mail.ru
				                	ORCID iD: 0009-0005-9643-8473
				                																			                								
PhD (Medicine), Associate Professor of the Department of Surgical Dentistry and Maxillofacial Surgery, Head of the Department of Surgical Dentistry and Maxillofacial Surgery
Russian Federation, PermReferences
- Bruett C.T., Freedman P.D., Reich R.F. Dysgenetic polycystic disease of the salivary glands: A case report of this rare entity occurring for the first time in the minor salivary glands of the tongue, and a review of the literature. Head Neck Pathol. 2024; 18 (1): 4. doi: 10.1007/s12105-023-01607-0
 - Mihalyka E.E. Congenital bilateral polycystic parotid glands. JAMA 1962; 181: 634–635. doi: 10.1001/jama.1962.03050330064019
 - Srikant N., Yellapurkar S., Boaz K., Baliga M., Manaktala N., Sharma A., Dorai S., Pai P. Dysgenetic polycystic disease of minor salivary gland: a rare case report and review of the literature. Case Rep Pathol 2017: 1–5. doi: 10.1155/2017/5279025
 - Smyth A.G., Ward Booth R.P., High A.S. Polycystic disease of the parotid glands-Two familial cases. Br J Oral Maxillofac Surg 1993; 31: 38–40. doi: 10.1016/0266-4356(93)90096-f
 - Brown E., August M., Pilch B.Z., Weber A. Polycystic disease of the parotid glands. AJNR Am J Neuroradiol 1995; 16: 1128–1131. PMID: 7639138; PMCID: PMC8337796.
 - Siefert G., Thomsen S., Donath K. Bilateral dysgenetic Polycystic Parotid glands-morphological analysis and differential diagnosis of a rare disease of the salivary glands. Virchows Arch [Pathol Anat] 1981; 390: 273–288. doi: 10.1007/BF00496559
 - Eley K.A., Golding S.J., Chapel H., Watt-Smith S.R. Polycystic parotid disease in a male child: report of a case and review of the literature. J Oral Maxillofac Surg. 2011; 69: 1375–1379. doi: 10.1016/j.joms.2010.05.018
 - KR Ashok Kumar, Jyothi Mahadesh, Suhas Setty. Dysgenetic polycystic disease of parotid gland-Report of a case and review of literature. Journal of Oral and Maxillofacial Pathology 2013; 7 (2): 248–252. doi: 10.4103/0973-029X.119744
 - Dobson C.M., Ellis H.A. Polycystic disease of the parotid glands-case report of a rare entity and review of the literature. Histopathology 1987; 11: 953–961. doi: 10.1111/j.1365-2559.1987.tb01901.x
 - Martin S Greenberg, Michael Glick, Jonathan A. Ship. From Salivary gland diseases. In Burket’s Oral Medicine. Eleventh edition. Edited by B.C. Decker. Ontario 2008; 196. doi: 10.12691/ijdsr-2-6-10
 
Supplementary files
				
			
					
						
									






