The diagnostic value of some biomarkers in the assessment of endothelial dysfunction in chronic liver diseases: literature review
- Authors: Bulatova I.A.1, Shevlyukova T.P.2, Shchekotova A.P.1, Smirnova E.N.1, Paducheva S.V.1, Shchekotova I.V.3, Bessonova N.S.2
-
Affiliations:
- Ye.A. Vagner Perm State Medical University
- Tyumen State Medical University
- Contract research organization LLC "Synergy"
- Issue: Vol 42, No 2 (2025)
- Pages: 5-19
- Section: Review of literature
- Submitted: 22.05.2025
- Accepted: 22.05.2025
- Published: 27.05.2025
- URL: https://permmedjournal.ru/PMJ/article/view/680142
- DOI: https://doi.org/10.17816/pmj4225-19
- ID: 680142
Cite item
Full Text
Abstract
Endothelial dysfunction (ED) is a key pathogenetic mechanism of many diseases, including chronic liver diseases (CLD). One of the informative and effective ways to assess the presence and severity of ED in CLD is to identify laboratory biomarkers in the blood, which can be used for the assessment of the degree of liver damage and prognosis of the disease. The issues of the physiological role of the endothelium, its functional characteristics and structural and functional features of the endothelium of hepatic hemocapillaries are highlighted in this review, the factors synthesized by the endothelium are presented, ED is characterized and the importance of some biomarkers in the estimation of ED in CLD is described.
For a more effective assessment of ED in CLD and correct selection of endothelium protective therapy, a comprehensive approach using laboratory and instrumental methods, or the use of several biomarkers reflecting different functions of the endothelium, are necessary.
Full Text
Введение
Актуальной задачей современной гепатологии является изучение патогенетических механизмов, лежащих в основе хронических заболеваний печени (ХЗП). При этом значительная роль отводится эндотелиальной дисфункции (ЭД), которая сегодня рассматривается как одно из ранних проявлений многих заболеваний и как универсальный патогенетический механизм. Эндотелиоциты, выстилающие сосуды, расположены между циркулирующей кровью и тканями, достаточно уязвимы для действия свободных радикалов, продуктов метаболизма, патогенных факторов и лекарственных препаратов, вызывающих повреждение и дисфункцию эндотелия с нарушением выработки биологических веществ [1]. Для определения функциональной активности эндотелия сегодня имеется много методов лабораторной и инструментальной оценки. Особый интерес представляет определение в жидкостях и тканях факторов, синтезируемых эндотелием [1; 2].
Цель исследования – характеристика физиологической роли эндотелия и рассмотрение диагностической значимости некоторых биомаркеров, ассоциированных с ЭД при ХЗП.
Физиологическая роль эндотелия
Эндотелий – это система клеток с площадью приблизительно 350 м2, участвующих в жизненно важных функциях, выделяет огромное количество БАВ, регулирует тонус сосудов, васкулогенез и ангиогенез, перфузию и микроциркуляцию, гемостаз и воспалительные реакции [3]. Важно отметить, что между эндотелиальными клетками (ЭК) в разных частях сосудистой системы существуют заметные фенотипические различия, так что клетки из разных мест у одного и того же человека не только экспрессируют разные поверхностные антигены и рецепторы, но и могут по-разному реагировать на один и тот же стимул.
Выделяют пять специализированных форм эндотелиоцитов: соматический, фенестрированный, синусоидного типа, решетчатый, высокий эндотелий посткапиллярных венул [1]. Формирование фенотипа эндотелия, помимо генетического фактора, определяется влиянием гемодинамических факторов, микроокружения, взаимодействия с другими клетками, размерами, структурой, биохимической организацией и функциями органа [4; 5]. ЭК реагируют на широкий спектр медиаторов, включая цитокины, факторы роста, молекулы адгезии, вазоактивные вещества и хемокины, которые воздействуют на множество различных клеток. Эндотелий является барьером, препятствующим свободному проникновению молекул и клеток из крови в подлежащий интерстиций и клетки. Нормально функционирующий эндотелий способствует поддержанию баланса между процессами вазодилатации и вазоконстрикции, анти- и протромбоза, ингибиторами и стимуляторами роста, про- и противовоспалительными факторами, анти- и прооксидантами (рис. 1).
Факторы, регулирующие вазомоторную функцию | |
ВАЗОКОНСТРИКТОРЫ | ВАЗОДИЛАТАТОРЫ |
Эндотелин-1 (ET-1), тромбоксан А2, | Оксид азота (NO), простациклин (PGI2), |
Факторы, регулирующие гемостатическую функцию | |
ПРОТРОМБОГЕННЫЕ | АНТИТРОМБОГЕННЫЕ |
Фактор Виллебранда (vWF),
| NO, PGI2, простагландин Е2, |
Факторы, регулирующие ангиогенную функцию | |
СТИМУЛЯТОРЫ | ИНГИБИТОРЫ |
Фактор роста сосудистого эндотелия (VEGF), | Оксид азота (NO), простациклин (PGI2), |
Факторы, регулирующие адгезионную функцию и воспаление | |
СТИМУЛЯТОРЫ ПРОВОСПАЛИТЕЛЬНЫЕ | ИНГИБИТОРЫ ПРОТИВОВОСПАЛИТЕЛЬНЫЕ |
Адгезивные молекулы суперсемейства иммуноглобулинов (ICAM-1 (Intercellular adhesion molecule, CD54a), ICAM-2 (CD102), РЕCAM-1 (Рlatelet/endothelial cell adhesion molecule, CD31), VCAM-1 (Vascular cellular adhesion molecule, CD106)), селектины (E-селектин, P-селектин), белок хемотаксиса моноцитов (monocite chemoattractant protein-1 – МСР-1), колониестимулирующий фактор макрофагов (macrophage colony-stimulating factor, MCSF), гранулоцитарно-макрофагальный колониестимулирующий фактор (colony stimulating factor 2 (granulocyte-macrophage, GM-CSF), фактор некроза опухоли (tissue necrosis factor, TNF), С-реактивный белок (c-reactive protein, CRP), тромбоцитарный фактор роста (platelet-derived growth factor, PDGF), интерлейкины-1, 6, 8, 12 | Трансформирующий фактор роста фактор торможения миграции макрофагов антагонист рецептора IL-1
|
Рис. 1. Факторы, синтезируемые в эндотелии [1; 3; 6]
Суммарно функции эндотелия можно обозначить как следующие: синтез вазоактивных факторов, антикоагуляционные свойства, ферментативная активность, участие в реакциях иммунитета, ангиогенез [7]. По содержанию вышеперечисленных БАВ в крови можно проводить оценку функциональной активности эндотелия в норме и при патологических процессах.
Особенности эндотелия печеночных гемокапилляров
Паренхима печени имеет огромное число гемокапилляров, поэтому кровоток в печеночных дольках осуществляется медленно, что способствует хорошему обмену веществ между кровью и клетками печени. От состояния синусоидов во многом зависит интенсивность гематотканевого обмена и морфология гепатоцитов1.
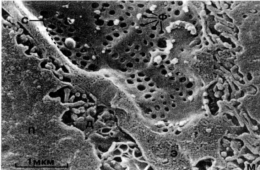
Синусоидальные ЭК печени стратегически расположены на границе раздела крови и печеночной паренхимы, являются высокоспециализированными клетками, характеризуются наличием межклеточных пор, называемых фенестрами, диаметром 0,1 мкм и образуют ситовидные пластинки, которые служат биологическим ступенчатым барьером между синусоидальной кровью и плазмой, заполняющей пространство Диссе (рис. 2). В физиологических условиях ЭК являются хранителями гомеостаза печени, проявляют противовоспалительные и антифиброгенные свойства, предотвращая активацию клеток Купфера и звездчатых клеток печени и регулируя внутрипеченочное сосудистое сопротивление и портальное давление [8; 9]. Печеночный синусоид имеет двойное кровоснабжение, получая кровоток из воротной вены (70 %) и печеночной артерии (30 %) [10; 11]. В печени, как и в других сосудистых руслах, эндотелиальные клетки могут вырабатывать сосудорасширяющие средства в ответ на повышенное напряжение сдвига для снижения кровяного давления [10].
Рис. 2. Эндотелий печеночных синусоидов [13]
ЭК являются основным источником оксида азота (NO) в нормальной печени, который генерируется eNOS, активируемым напряжением сдвига, индуцируют подавление регуляции молекул сосудосуживающих средств, включая ET-1, и участвуют в регуляции сосудистого давления в печени [14]. Другие молекулы, высвобождаемые ЭК, регулирующие кровоток, включают вазодилататор CO и метаболиты циклооксигеназного пути (тромбоксан A2, простациклин), которые паракринно воздействуют на гепатоциты в пространстве Диссе, вызывая падение кровяного давления [15]. В 2000 г. Limmer et al. обнаружено, что синусоидальные ЭК печени обладают иммуномодулирующей функцией [16].
На структурно-функциональную характеристику эндотелия печеночных гемокапилляров могут оказывать влияние гендерный и возрастной факторы. На основе многоуровневой вычислительной модели метаболизма печени было установлено, что печень женщин и мужчин метаболически различна, что может влиять на течение и исходы заболевания [17]. С возрастом в печеночных гемокапиллярах снижается интенсивность кровотока и процессов метаболизма, а также повышается секреция факторов, вызывающих воспаление. Клетки Купффера прикреплены к эндотелию, активируются при инфекциях и травмах. Звездчатые клетки печени располагаются в субэндотелиальном пространстве Диссе, участвуют в регуляции кровотока, поэтому могут влиять на развитие портальной гипертензии, сокращаются при воздействии EТ-12.
Характеристика и типы эндотелиальной дисфункции
Основными факторами, влияющими на функциональную активность эндотелия, являются газовый состав крови, гемодинамика (давление и скорость сдвига), гормоны, медиаторы, цитокины, липопротеины и эндотоксины. Выделяют две стадии активации ЭК: активация 1-го типа и 11-го типа [1]:
- активация 1 типа (быстрая) – сокращение ЭК, увеличение межэндотелиальных щелей, экспрессия Р-селектина, выброс фактора Виллебранда и тканевого активатора плазминогена в плазму;
- активация 11 типа (медленная) – ЭК экспрессируют на своей поверхности Е-селектин, синтезируют цитокины, моноцитарный хемотаксический белок 1 (МСР 1), а также фактор активации тромбоцитов (PAF).
Считается, что в норме устранение стимулов активации ЭК (например, удаление эндотоксинов бактерий и вирусов, понижение холестерина, устранение продуктов обмена этанола и др.) cпособствует постепенному восстановлению эндотелия. Однако при длительной стимуляции ЭК происходят различные изменения (морфологические, биохимические и др.), приводящие к структурным и функциональным перестройкам, а далее к необратимому повреждению ЭК [18]. Таким образом, хроническая активация эндотелия может приводить к формированию «порочного круга» и развитию ЭД, которая описывается с точки зрения патофизиологии как «триада»:
С современных позиций ЭД – это многогранный процесс, ключевыми механизмами которого являются: нарушение целостности сосудистой стенки, нарушение соотношения анти- и прокоагулянтов с формированием протромботического фенотипа, активация выработки цитокинов и молекул адгезии, пролиферация сосудов, что приводит к ремоделированию сосудистой стенки [19–22].
Однако проявления и выраженность ЭД, характеризующиеся нарушением образования эндотелиальных факторов при различных заболеваниях, отличаются, что связано с гетерогенностью эндотелия и зависит от структуры, биохимической организации и функции органа. Поэтому при всей «универсальности» этого патогенетического механизма существуют индивидуальные проявления, обусловленные нозологией, что будет проявляться по-разному выраженными нарушениями продукции и изменениями концентрациями БАВ. Исходя из основных функций эндотелия, выделяют четыре основных типа ЭД [1]: вазомоторную, гемостатическую, ангиогенную и адгезионную.
Хроническое повреждение печени приводит к глубокой дедифференцировке ЭК, характеризующейся потерей фенестрации и развитием базальной мембраны, что препятствуют нормальному метаболизму липопротеинов и обмену кислорода, приводя к развитию апоптоза. Снижение биосинтеза NO вместе с усилением его поглощения приводит к активации звездчатых клеток печени и отложению внеклеточного матрикса, а гиперпродукция вазоконстрикторов и провоспалительных цитокинов усугубляет сужение печеночных синусоидов. Эти патологические изменения приводят к микрососудистой дисфункции, фиброзу и в конечном счете к развитию портальной гипертензии и цирроза [23–27]. Прогрессирующий фиброз печени при вирусном гепатите С также способствует развитию атеросклероза, вызывая ЭД независимо от общих факторов сердечно-сосудистого риска [28]. При этом прогрессирование эндотелийзависимой дисфункции эндотелия сочетается с прогрессированием фиброза печени при хроническом гепатите С [29].
Дисфункция синусоидальных ЭК также вовлечена в прогрессирование неалкогольной жировой болезни печени (НАЖБП) через многочисленные механизмы, включая регуляцию воспалительного процесса, активацию звездчатых клеток печени, повышенное сосудистое сопротивление и нарушение микроциркуляции. Печень выделяет воспалительные молекулы, которые считаются проатерогенными и могут способствовать дисфункции эндотелия сосудов, приводящей к атеросклерозу и сердечно-сосудистым заболеваниям [30]. Капилляризация синусоидальных ЭК происходит на самой ранней стадии НАЖБП. Фенотипические изменения ЭК способствуют развитию стеатоза печени, предотвращая высвобождение липопротеинов очень низкой плотности из гепатоцитов в печеночный синусоид, что приводит к увеличению накопления общего холестерина и триглицеридов в печени, а также к выработке липидов de novo в печени, которые способствуют гиперлипидемии и ранним патологическим изменениям [31; 32].
Значение некоторых биомаркеров в оценке ЭД при ХЗП
При ХЗП перспективным методом оценки наличия и выраженности ЭД является лабораторная оценка содержания в крови БАВ, образующихся в эндотелии [33]. В научных исследованиях и отчасти в клинической практике применяются такие биомаркеры ЭД, как стабильные метаболиты оксида азота (NO), эндотелин-1 (ЕТ-1), фактор роста сосудистого эндотелия (VEGF), фактор Виллебранда (vWF), белок хемотаксиса моноцитов (МСР-1), определение уровня про- и противовоспалительных интерлейкинов и фактор некроза опухоли альфа (TNF-α), подсчет количества циркулирующих ЭТ. Новые биомаркеры (синдеканы, эндоглин, эндокае) в перспективе также могут найти клиническое применение в оценке ЭД при различных заболеваниях.
NO представляет собой мощную сигнальную молекулу, обладающую сосудорасширяющими и противовоспалительными свойствами. Эта молекула продуцируется под действием NO-синтаз и играет ключевую роль в поддержании гомеостаза сосудов. При ЭД происходит снижение способности к выработке NO или чувствительности сосудистой стенки к нему и, как следствие, к повышению тонуса сосудов.
В результате этого процесса нарушается баланс между вазодилатацией и вазоконстрикцией, что может привести к различным патологическим состояниям. Стенки кровеносных сосудов становятся более жесткими и менее эластичными, что увеличивает риск тромбообразования и воспалительных реакций [34]. Нестабильность этой молекулы ограничивает применение данного биомаркера в клинической практике, так как требует дополнительных методов стабилизации, что приводит к усложнению технологии и удорожанию исследования. Большее применение получили методики оценки уровня стабильных метаболитов NO. Определение оксида азота в крови предложено для дифференциации гепатита и цирроза печени3. На экспериментальных моделях стеатоза было доказано, что NO принимает участие в модуляции микроциркуляторной перфузии и оксигенации печени [35]. В клинических исследованиях было отмечено значимое увеличение содержания метаболитов NO у пациентов с неалкогольным стеатогепатитом [36].
ЕТ-1 является мощным вазоконстриктором, который вырабатывается ЭК, воздействует на гладкомышечные клетки, активируя рецептор, связанный с G-белком, и участвует в регуляции различных метаболических процессов. Эндотелин имеет три изоформы пептидов: ET-1, ET-2 и ET-3, которые содержат участки для экспрессии и связывания рецепторов ET (A) и ET (B). ЭК вырабатывают больше ЕТ в ответ на окислительный стресс, гипоксию, механическое повреждение сосудов, присутствие окисленных липопротеинов низкой плотности и провоспалительных цитокинов, что приводит к сужению сосудов и активации процессов фиброзирования. После открытия ЕТ-1 как мощного сосудосуживающего вещества возник большой интерес к его роли в функционировании сосудов при заболеваниях печени [37; 38]. Стоит отметить, что определение ЕТ в крови связано с некоторыми особенностями преаналитики и аналитики, что пока ограничивает его широкое применение.
vWF синтезируется ЭК и является чувствительным маркером повреждения эндотелия. По данным последних исследований динамическая оценка его уровня в плазме крови позволяет прогнозировать смертность госпитализированных пациентов с вирусной инфекцией [39]. При ХЗП наблюдается повышение активности vWF, более значимое при фиброзе [40]. Определение функциональной активности vWF в плазме крови предложено для дифференциации гепатита и цирроза печени [41]. При хроническом гепатите С дефицит NO сопровождается повышением концентраций ЕТ-1 и активности vWF в крови, высокий уровень которого связан с разрушением синусоидального эндотелия и дисфункцией сосудисто-тромбоцитарного гемостаза [42]. В других, более ранних исследованиях было показано, что на дисфункцию эндотелия при циррозе печени может указывать повышенный уровень NO и vWF, коррелирующего с тяжестью заболевания [43].
VEGF является гликопротеином, имеет пять изоформ, отличающихся биологической активностью. Более активна в плане роста кровеносных сосудов изоформа VEGFА. Этот фактор является важнейшим регулятором ангиогенеза, проницаемости сосудов, а также взаимодействуя с рецепторами VEGFR1 и VEGFR2, экспрессирующимися во многих тканях, регулирует рост, выживание и метаболизм клеток [44; 45]. VEGF необходим для стабильного физиологического ангиогенеза, однако при ряде заболеваний становится ключевым фактором патологического ангиогенеза и ЭД [46]. Течение стеатоза и вирусного фиброза печени характеризуется развитием ЭД, ассоциированными с гиперпродукцией VEGF, более выраженным при фиброзе и коррелирующим со скоростью его развития [47; 48]. VEGF также играет немаловажную роль в патогенезе стеатоза печени и дислипидемии у пациентов с метаболическим синдромом [49]. Причем его выработка значимо возрастает при выраженном ожирении [50; 51]. VEGF вместе с другими биометрическими и лабораторными показателями входит в формулу расчета для диагностики стеатоза печени, чувствительность и специфичность которого составляет 95,2 и 97,0 % соответственно [52].
Еще одним методом определения состояния эндотелия является подсчет количества циркулирующих ЭК и оценка их морфологии. Показано, что степень эндотелиального повреждения коррелирует с увеличением количества циркулирующих ЭК в периферическом кровообращении, которые отражают репарационный потенциал [1]. При патологии печени вирусного генеза и неалкогольной жировой болезни печени регистрировалось увеличение количества этих маркеров, что свидетельствует о повреждении эндотелия [851]. Для оценки количества циркулирующих ЭК используют методику J. Hladovec в модификации Н.Н. Петрищева, а также метод проточной цитометрии, позволяющий оценить количество клеток-предшественников ЭК [1]. Таким образом, количественная и качественная оценка зрелых циркулирующих ЭК и клеток-предшественников эндотелиоцитов может рассматриваться как специфический маркер ЭД, а также характеризовать активность репаративных процессов в эндотелии.
В последние годы появился еще целый ряд биомаркеров, позволяющих оценить функции эндотелия. Среди них факторы, характеризующие барьерную функцию эндотелия, его адгезивную способность и проницаемость. Например, молекулы клеточной адгезии (селектины Е и Р), межклеточные и сосудистые молекулы адгезии ICAM-1 и VCAM-1, которые экспрессируются под влиянием провоспалительных цитокинов и модифицированных липопротеинов, характеризуя не только ЭД, но и активность воспалительной реакции [53]. Также одними из новых маркеров ЭД являются эндокан, эндоглин и семейство синдеканов, характеризующих воспалительные процессы, связанные с эндотелием [45; 54].
Для неинвазивной оценки функционального состояния эндотелия также есть ряд инструментальных методов, позволяющих оценить эластичность и тонус сосудов, микроциркуляторные нарушения – фотоплетизмография, лазерная доплеровская флоуметрия, регистрация колебаний кожной температуры при локальном нагреве с расчетом индекс тепловой вазодиляции [54–56]. В частности, у пациенток со стеатозом печени на фоне метаболического менопаузального синдрома регистрировалось снижение индекса тепловой вазодиляции, прогрессирующей по мере увеличения выраженности ожирения [57]. По мнению ряда исследователей, комбинация лабораторных и инструментальных методов дает большую информативность при определении функционального состояния эндотелия [54; 58].
Выводы
Представленный в данном обзоре анализ данных, в том числе с результатами собственных исследований, показывает диагностическое значение и практические возможности использования ряда биомаркеров для оценки наличия и тяжести ЭД при ХЗП. Однако стоит учитывать, что не все факторы являются строго специфичными для эндотелия и могут повышаться при коморбидной патологии. Также существуют определенные сложности в постановке тестов и трактовке результатов для части биомаркеров, кроме того, следует отметить высокую стоимость некоторых реагентов. Поэтому для более эффективной оценки ЭД при ХЗП и корректного подбора эндотелиопротективной терапии необходим комплексный подход с использованием лабораторных и инструментальных методов или применение нескольких биомаркеров, отражающих различные функции эндотелия.
1 Булатова И.А. Функциональное состояние эндотелия и его диагностическая значимость при оценке тяжести хронических диффузных заболеваний печени. Автореферат диссертации на соискание ученой степени кандидата медицинских наук. Уральская государственная медицинская академия. Екатеринбург, 2009, available at: http://elib.usma.ru/bitstream/usma/751/1/ USMU_Thesis_2009_006.pdf.
2 Булатова И.А. Функциональное состояние эндотелия и его диагностическая значимость при оценке тяжести хронических диффузных заболеваний печени. Автореферат диссертации на соискание ученой степени кандидата медицинских наук. Уральская государственная медицинская академия. Екатеринбург, 2009, available at: http://elib.usma.ru/bitstream/usma/751/1/ USMU_Thesis_2009_006.pdf.
3 Щёкотов В.В., Щёкотова А.П., Булатова И.А., Мугатаров И.Н. Способ дифференциальной диагностики хронического вирусного гепатита и цирроза печени. Патент на изобретение RU 2383021 C1, 27.02.2010. Заявка № 2008147941/15 от 04.12.2008.
About the authors
I. A. Bulatova
Ye.A. Vagner Perm State Medical University
Author for correspondence.
Email: bula.1977@mail.ru
ORCID iD: 0000-0002-7802-4796
DSc (Medicine), Head of the Department of Normal Physiology, Professor of the Department of Faculty Therapy № 1
Russian Federation, PermT. P. Shevlyukova
Tyumen State Medical University
Email: bula.1977@mail.ru
ORCID iD: 0000-0002-7019-6630
DSc (Medicine), Professor of the Department of Obstetrics and Gynecology of the Institute of Maternity and Childhood
Russian Federation, TyumenA. P. Shchekotova
Ye.A. Vagner Perm State Medical University
Email: bula.1977@mail.ru
ORCID iD: 0000-0003-0298-2928
DSc (Medicine), Professor of the Department of Faculty Therapy № 2, Occupational Pathology and Clinical Laboratory Diagnostics
Russian Federation, PermE. N. Smirnova
Ye.A. Vagner Perm State Medical University
Email: bula.1977@mail.ru
ORCID iD: 0000-0003-2727-5226
DSc (Medicine), Head of the Department of Endocrinology and Clinical Pharmacology
Russian Federation, PermS. V. Paducheva
Ye.A. Vagner Perm State Medical University
Email: bula.1977@mail.ru
ORCID iD: 0000-0001-8255-088X
PhD (Medicine), Lecturer of Medical and Pharmaceutical College
Russian Federation, PermI. V. Shchekotova
Contract research organization LLC "Synergy"
Email: bula.1977@mail.ru
Head of the Customer Service Department
Russian Federation, MoscowN. S. Bessonova
Tyumen State Medical University
Email: bula.1977@mail.ru
ORCID iD: 0009-0008-3821-7252
PhD (Biology), Associate Professor of the Department of Chemistry and Pharmacognosy
Russian Federation, TyumenReferences
- Васина Л.В., Петрищев Н.Н., Власов Т.Д. Эндотелиальная дисфункция и ее основные маркеры. Регионарное кровообращение и микроциркуляция 2017; 16 (1): 4–15. / Vasina L.V., Petrishchev N.N., Vlasov T.D. Markers of endothelial dysfunction. Regional blood circulation and microcirculation 2017; 16 (1): 4–15 (in Russian).
- Шабров А.В., Галенко А.С., Успенский Ю.П., Лосева К.А. Методы диагностики эндотелиальной дисфункции. Бюллетень сибирской медицины 2021; 20 (2): 202–9. doi: 10.20538/1682-0363-2021-2-202-209 / Shabrov A.V., Galenko A.S., Uspensky Yu.P., Loseva K.A. Methods for diagnosing endothelial dysfunction. Bulletin of Siberian Medicine 2021; 20 (2): 202–9. doi: 10.20538/1682-0363-2021-2-202-209 (in Russian).
- Стрельникова Е.А., Трушкина П.Ю., Суров И.Ю., Короткова Н.В., Мжаванадзе Н.Д., Деев Р.В. Эндотелий in vivo и in vitro. Часть 1: гистогенез, структура, цитофизиология и ключевые маркеры. Наука молодых (Eruditio Juvenium) 2019; 7 (3): 450–465. doi: 10.23888/HMJ201973450-465 / Strelnikova E.A., Trushkina P.Ju., Surov I.Ju., Korotkova N.V., Mzhavanadze N.D., Deev R.V. Endothelium in vivo and in vitro. Part 1: histogenesis, structure, cytophysiology and key markers. Science of the young (Eruditio Juvenium) 2019; 7 (3): 450–465. doi: 10.23888/HMJ201973450-465 (in Russian).
- De Leve L.D., Maretti-Mira A.C. Liver Sinusoidal Endothelial Cell: An Update. Semin Liver Dis. 2017; 37 (4): 377–387. doi: 10.1055/s-0037-1617455
- Aird W.C. Phenotypic heterogeneity of the endothelium: I. Structure, function, and mechanisms. Circ Res. 2007; 100 (2): 158–73. doi: 10.1161/01.RES.0000255691.76142.4a
- Gao Y. Endothelium-derived factors. Biology of Vascular Smooth Muscle: Vasoconstriction and Dilatation. Singapore 2017. doi: 10.1007/978-981-10-4810-4
- Дорофиенко Н.Н. Роль сосудистого эндотелия в организме и универсальные механизмы изменения его активности (обзор литературы). Бюллетень физиологии и патологии дыхания 2018; (68): 107–116. doi: 10.12737/article_5b1a0351210298.18315210 / Dorofienko N.N. The role of vascular endothelium in the body and universal mechanisms of changing its activity (review). Bulletin Physiology and Pathology of Respiration 2018; (68): 107–116. doi: 10.12737/article_5b1a0351210298.18315210 (in Russian).
- Hammoutene A., Rautou P.E. Role of liver sinusoidal endothelial cells in non-alcoholic fatty liver disease. J Hepatol. 2019; 70 (6): 1278–1291. doi: 10.1016/j.jhep.2019.02.012
- Velliou R.I., Legaki A.I., Nikolakopoulou P., Vlachogiannis N.I., Chatzigeorgiou A. Liver endothelial cells in NAFLD and transition to NASH and HCC. Cell Mol Life Sci. 2023; 5; 80 (11): 314. doi: 10.1007/s00018-023-04966-7
- Gracia-Sancho J., Caparrós E., Fernández-Iglesias A., Francés R. Role of liver sinusoidal endothelial cells in liver diseases. Nat Rev Gastroenterol Hepatol. 2021; 18 (6): 411–431. doi: 10.1038/s41575-020-00411-3
- He Q., He W., Dong, H. Guo Yu., Yuan G., Shi X., Wang D., Lu F. Role of liver sinusoidal endothelial cell in metabolic dysfunction-associated fatty liver disease. Cell Commun Signal. 2024; 22: 346. doi: 10.1186/s12964-024-01720-9
- Gracia-Sancho J., Russo L., García-Calderó H., García-Pagán J.C., García-Cardeña G., Bosch J. Endothelial expression of transcription factor kruppel-like factor 2 and its vasoprotective target genes in the normal and cirrhotic rat liver. Gut. 2011; 60 (4): 517–24. doi: 10.1136/gut.2010.220913
- Шерлок Ш., Дули Дж. Заболевания печени и желчных путей. Практическое руководство. Пер. с англ. Под ред. З.Г. Апросиной, Н.А. Мухина. М.: ГЭОТАР-МЕД 2002; 864. / Sherlok Sh., Duli J. Diseases of the liver and biliary tract. Practical guide. Eds. Z.G. Aprosinoj, N.A. Muhina. Moscow: GEOTAR-MED 2002; 864 (in Russian).
- Parmar K.M., Larman H.B., Dai G., Zhang Y., Wang E.T., Moorthy S.N., Kratz J.R., Lin Z., Jain M.K,. Gimbrone M., García-Cardeñaeditors G. Integration of flow-dependent endothelial phenotypes by Kruppel-like factor 2. J Clin Invest. 2006; 116 (1): 49–58. doi: 10.1172/JCI24787
- Fernandez M. Molecular pathophysiology of portal hypertension. Hepatology 2015; 61 (4): 1406–15. doi: 10.1002/hep.27343
- Limmer A., Ohl J., Kurts C., Ljunggren H.G., Reiss Y., Groettrup M., Momburg F., Arnold B., Knolle P.A. Efficient presentation of exogenous antigen by liver endothelial cellsto CD8+T cells resultsin antigenspecific T-cell tolerance. Nat Med. 2000; 6 (12): 1348–54. doi: 10.1038/82161
- Tanja C.T., Žiga U., Miha M., Miha M., Damjana R. LiverSex computational model: sexual aspects of liver metabolism and abnormalities. Front Physiol. 2018; 12: 9: 360. doi: 10.3389/fphys.2018.00360
- Endemann D.H., Schiffrin E.L. Endothelial dysfunction. J. Am. Soc. Nephrol. 2004; 15 (8): 1983–92. doi: 10.1097/01.ASN.0000132474.50966.DA
- Medina-Leyte D.J., Zepeda-García O., Domínguez-Pérez M., González-Garrido A., Villarreal-Molina T., Jacobo-Albavera L. Endothelial dysfunction, inflammation and coronary artery disease: Potential biomarkers and promising therapeutical approaches. International journal of molecular sciences 2021; 22 (8): 3850. doi: 10.3390/ijms22083850
- Xu S., Ilyas I., Little P.J., Li H., Kamato D., Zheng X., Luo S., Li Z., Liu P., Han J., Harding I.C., Ebong E.E., Cameron S.J., Stewart A.G., Weng J. Endothelial dysfunction in atherosclerotic cardiovascular diseases and beyond: From mechanism to pharmacotherapies. Pharmacol Reviews 2021; 73 (3): 924–967. doi: 10.1124/pharmrev.120.000096
- Balta S. Endothelial dysfunction and inflammatory markers of vascular disease. Current Vascular Pharmacology 2021; 19 (3): 243–249. doi: 10.2174/1570161118666200421142542
- Alexander Y., Osto E., Schmidt-Trucksäss A. et al. Endothelial function in cardiovascular medicine: a consensus paper of the European Society of Cardiology Working Groups on Atherosclerosis and Vascular Biology, Aorta and Peripheral Vascular Diseases, Coronary Pathophysiology and Microcirculation, and Thrombosis. Cardiovasc Res. 2021; 117 (1): 29–42. doi: 10.1093/cvr/cvaa085
- Соловьева Ю.А., Пожидаева В.И., Сорокина А.В. Роль эндотелия в формировании фиброза печени. Вестник Северо-Восточного федерального университета имени М.К. Аммосова. Серия: Медицинские науки. Medical Sciences 2022; (4): 107–116. doi: 10.25587/SVFU.2022.29.4.011 / Soloveva Yu.A., Pozhidaeva V.I., Sorokina A.V. The role of endothelium in the formation of liver fibrosis. Vestnik of North-Eastern Federal University. Medical Sciences 2022; (4): 107–116. doi: 10.25587/SVFU.2022.29.4.011 (in Russian).
- Li P., Zhou J., Li W., Wu H., Hu J., Ding Q., Lü S., Pan J., Zhang C., Li N., Long M. Characterizing liver sinusoidal endothelial cell fenestrae on soft substrates upon AFM imaging and deep learning. Biochim Biophys Acta Gen Subj. 2020; 1864 (12): 129702. doi: 10.1016/j.bbagen.2020.129702
- Maretti-Mira A.C., Wang X., Wang L., DeLeve L.D. Incomplete differentiation of engrafted bone marrow endothelial progenitor cells initiates hepatic fibrosis in the rat. Hepatology 2019; 69 (3): 1259–72. doi: 10.1002/hep.30227
- de Haan W., Dheedene W., Apelt K. et al. Endothelial Zeb2 preserves the hepatic angioarchitecture and protects against liver fibrosis. Cardiovasc Res. 2022; 118 (5): 1262–75. doi: 10.1093/cvr/cvab148
- Булатова И.А., Гальбрайх Р.Б., Щёкотова А.П., Макарова Н.Л. Роль дисфункции эндотелия в патогенезе хронического гепатита С. Мир вирусных гепатитов 2008; 3: 2. / Bulatova I.A., Gal'brajh R.B., Shekotova A.P., Makarova N.L. The role of endothelial dysfunction in the pathogenesis of chronic hepatitis C. The world of viral hepatitis 2008; 3: 2 (in Russian).
- Barone M., Viggiani M.T., Amoruso A., Schiraldi S., Zito A., Devito F., Cortese F., Gesualdo M., Brunetti N., Di Leo A., Scicchitano P., Ciccone M.M. Endothelial dysfunction correlates with liver fibrosis in chronic HCV infection. Gastroenterol Res Pract. 2015: 682174. doi: 10.1155/2015/682174
- Riabokon IuIu. The role of endothelial dysfunction in progression of liver fibrosis and manifestation of сryoglobulinemia syndrome in patients with chronic hepatitis C. Georgian Med News. 2013; (220–221): 34–8. (Russian) PMID: 24013148.
- Nasiri-Ansari N., Androutsakos T., Flessa C.M., Kyrou I., Siasos G., Randeva H.S., Kassi E., Papavassiliou A.G. Endothelial cell dysfunction and nonalcoholic fatty liver disease (NAFLD): A concise review. Cells. 2022; 12; 11 (16): 2511. doi: 10.3390/cells11162511
- Hammoutene A., Rautou P.E. Role of liver sinusoidal endothelial cells in nonalcoholic fatty liver disease. J Hepatol. 2019; 70 (6): 1278–91. doi: 10.1016/j.jhep.2019.02.012
- Kawashita E., Ozaki T., Ishihara K., Kashiwada C., Akiba S. Endothelial group IVA phospholipase A (2) promotes hepatic fibrosis with sinusoidal capillarization in the early stage of non-alcoholic steatohepatitis in mice. Life Sci. 2022; 294: 120355. doi: 10.1016/j.lfs.2022.120355
- Щёкотова А.П., Щёкотов В.В., Булатова И.А., Ройтман А.П. Диагностическая эффективность лабораторных тестов определения функционального состояния эндотелия у больных с хроническими диффузными заболеваниями печени. Клиническая лабораторная диагностика 2009; 10: 24./ Shekotova A.P., Shekotov V.V., Bulatova I.A., Rojtman A.P. Diagnostic efficiency of laboratory tests for determining the functional state of the endothelium in patients with chronic diffuse liver diseases. Clinical laboratory diagnostics 2009; 10: 24 (in Russian).
- Cyr A.R., Huckaby L.V., Shiva S.S., Zuckerbraun B.S. nitric oxide and endothelial dysfunction. Crit Care Clin. 2020; 36 (2): 307–321. doi: 10.1016/j.ccc.2019.12.009
- Bugianesi E., Gastaldelli A., Vanni E., Gambino R., Cassader M., Baldi S., Ponti V., Pagano G., Ferrannini E., Rizzetto M. Insulin resistance in nondiabetic patients with non-alcoholic fatty liver disease: sites and mechanisms. Diabetologia 2005; 48 (4): 634–42. doi: 10.1007/s00125-005-1682-x
- Нилова Т.В., Звенигородская Т.В., Черкашова Е.А. Диагностическое значение оксида азота и эндотоксина при неалкогольной жировой болезни печени. Экспериментальная и клиническая гастроэнтерология 2010; 7: 38–42. / Nilova T.V., Zvenigorodskaja T.V., Cherkashova E.A. Diagnostic value of nitric oxide and endotoxin in non-alcoholic fatty liver disease. Experimental and clinical gastroenterology 2010; 7: 38–42 (in Russian).
- Naveed L., Muhammad B.B., Hira S., Rameshy K., Anila A. Endothelin an inflammatory marker and its association with PCOS. PJMHS. 2020; 14 (4): 902–905.
- Davenport A.P., Hyndman K.A., Dhaun N., Southan C., Kohan D.E., Pollock J.S., Webb D.J., Maguire J.J. Endothelin. Pharmacological Review 2016; 68 (2): 357–418. doi: 10.1124/pr.115.011833
- Zhang Q., Bignotti A., Yada N., Ye Z., Liu S., Han Z., Zheng X.L. Dynamic assessment of plasma von Willebrand factor and ADAMTS13 predicts mortality in hospitalized patients with SARS-CoV-2 infection. J Clin Med. 2023; 12 (22): 7174. doi: 10.3390/jcm12227174
- Булатова И.А., Шевлюкова Т.П., Гуляева И.Л., Соболь А.А., Падучева С.В. Показатели системы гемостаза и маркеры повреждения эндотелия у пациентов со стеатозом и фиброзом печени. Медицинский совет 2023; 17 (8): 106–112. doi: 10.21518/ms2022-039 / Bulatova I.A., Shevlyukova T.P., Gulyaeva I.L., Sobol A.A., Paducheva S.V. Indicators of the hemostasis and markers of endothelial damage in patients with steatosis and liver fibrosis. Meditsinskiy Sovet 2023; 17 (8): 106–112. doi: 10.21518/ms2022-039 (in Russian).
- Щёкотова А.П., Булатова И.А., Мугатаров И.Н. Фактор Виллебранда – возможный тест дифференциальной диагностики хронического гепатита и цирроза печени. Международный журнал прикладных и фундаментальных исследований 2012; 3: 41–43. / Shekotova A.P., Bulatova I.A., Mugatarov I.N. Von Willebrand factor – a possible test for differential diagnosis of chronic hepatitis and liver cirrhosis. International Journal of Applied and Fundamental Research 2012; 3: 41–43 (in Russian).
- Грушко И.П., Романова Е.Б., Твердохлебова Т.И. Роль эндотелиальной дисфункции в патогенезе хронического гепатита С и методы ее коррекции. Эпидемиология и инфекционные болезни 2020; 10 (2): 56–61. doi: 10.18565/epidem.2020.10.2.56-61/ Grushko I.P., Romanova E.B., Tverdohlebova T.I. The role of endothelial dysfunction in the pathogenesis of chronic hepatitis C and methods of its correction. Epidemiology and infectious diseases 2020; 10 (2): 56–61. doi: 10.18565/epidem.2020.10.2.56-61 (in Russian).
- Sembiring J., Ginting S., Nababan A., Zain L.H., Tarigan P. Nitric oxide and von Willebrand factor levels as markers of endothelial dysfunction in liver cirrhosis. Indonesian Journal of Gastroenterology, Hepatology, and Digestive Endoscopy 2002; 3 (3): 69–75. doi: 10.24871/33200269-75
- Немашкалова Е.Л., Шевелёва М.П., Дерюшева Е.И. Фактор роста эндотелия сосудов (VEGF-A165): ассоциация с заболеваниями, моделирование структуры и сравнение с экспериментальными данными. Математическая биология и биоинформатика: доклады международной конференции. Под ред. В.Д. Лахно. Пущино: ИМПБ РАН 2022; 9: е38. doi: 10.17537/icmbb22.2 / Nemashkalova E.L., Sheveljova M.P., Derjusheva E.I. Vascular endothelial growth factor (VEGF-A165): association with diseases, structure modeling and comparison with experimental data. Mathematical Biology and Bioinformatics: Proceedings of the International Conference. Ed. V.D. Lahno. Pushhino: IMPB RAN 2022; 9: e38. doi: 10.17537/icmbb22.2 (in Russian).
- Степанова Т.В., Иванов А.Н., Терешкина Н.Е., Попыхова Э.Б., Лагутина Д.Д. Маркеры эндотелиальной дисфункции: патогенетическая роль и диагностическое значение (обзор литературы). Клиническая лабораторная диагностика 2019; 64 (1): 34–41. doi: 10.18821/0869-2084-2019-64-34-41 / Stepanova T.V., Ivanov A.N., Tereshkina N.E., Popyhova E.B., Lagutina D.D. Markers of endothelial dysfunction: pathogenetic role and diagnostic value (literature review). Clinical laboratory diagnostics 2019; 64 (1): 34–41. doi: 10.18821/0869-2084-2019-64-34-41 (in Russian).
- Щёкотова А.П., Булатова И.А. Роль васкулоэндотелиального фактора роста и его гена в патогенезе гепатобилиарной патологии. Пермский медицинский журнал 2020; 37 (4): 36–45. doi: 10.17816/pmj37436-45 / Shekotova A.P., Bulatova I.A. Role of vasculoendothelial growth factor and its gene in pathogenesis of hepatobiliary pathology. Perm Medical Journal 2020; 37 (4): 36–45. doi: 10.17816/pmj37436-45 (in Russian).
- Булатова И.А., Мифтахова А.М., Гуляева И.Л. Выраженность воспалительного синдрома и эндотелиальной дисфункции при стеатозе и фиброзе печени. Пермский медицинский журнал 2021; 38 (4): 54–61. doi: 10.17816/pmj38454-61 / Bulatova I.A., Miftahova A.M., Gulyaeva I.L. Severity of inflammatory syndrome and endothelial dysfunction in steatosis and liver fibrosis. Perm Medical Journal 2021; 38 (4): 54–61. doi: 10.17816/pmj38454-61 (in Russian).
- Щёкотова А.П., Булатова И.А., Щёкотов В.В., Титов В.Н. Лабораторная оценка динамики прогрессирования фиброза печени при хроническом гепатите. Клиническая лабораторная диагностика 2016; 61 (10): 686–689. doi: 10.18821/0869-2084-2016-61-10-686-689 / Shekotova A.P., Bulatova I.A., Shekotov V.V., Titov V.N. Laboratory assessment of the dynamics of liver fibrosis progression in chronic hepatitis. Clinical laboratory diagnostics 2016; 61 (10): 686–689. doi: 10.18821/0869-2084-2016-61-10-686-689 (in Russian).
- Гуляева И.Л., Булатова И.А., Пестренин Л.Д. Роль васкулоэндотелиального фактора роста в патогенезе стеатоза печени и дислипидемии. Патологическая физиология и экспериментальная терапия 2020; 64 (4): 31–36. doi: 10.25557/0031-2991.2020.04.31-36 / Gulyaeva I.L., Bulatova I.A., Pestrenin L.D. The role of vascular endothelial growth factor in the pathogenesis of liver steatosis and dyslipidemia. Pathological physiology and experimental therapy 2020; 64 (4): 31–36. doi: 10.25557/0031-2991.2020.04.31-36 (in Russian).
- Булатова И.А., Шевлюкова Т.П., Гуляева И.Л., Соболь А.А., Падучева С.В. Особенности течения неалкогольного стеатоза печени у женщин репродуктивного возраста и в менопаузе. Медицинский совет 2022; (15): 62–69. doi: 10.21518/2079-701X-2022-16-15-62-69 / Bulatova I.A., Shevlyukova T.P., Sobol A.A., Gulyaeva I.L. Clinical and laboratory features of the course of non-alcoholic liver steatosis in women in the early postmenopausal period living on the territory of an industrial megapolis. Experimental and Clinical Gastroenterology 2022; (15): 62–69. doi: 10.21518/2079-701X-2022-16-15-62-69 (in Russian).
- Булатова И.А., Шевлюкова Т.П., Соболь А.А., Гуляева И.Л. Клинико-лабораторные особенности течения неалкогольного стеатоза печени у женщин в раннем периоде постменопаузы, проживающих на территории промышленного мегаполиса. Экспериментальная и клиническая гастроэнтерология 2023; (6): 53–60. doi: 10.31146/1682-8658-ecg-214-6-53-60 / Bulatova I.A., Shevlyukova T.P., Sobol A.A., Gulyaeva I.L. Clinical and laboratory features of the course of non-alcoholic liver steatosis in women in the early postmenopausal period living on the territory of an industrial megapolis. Experimental and Clinical Gastroenterology 2023; (6): 53–60. doi: 10.31146/1682-8658-ecg-214-6-53-60 (in Russian).
- Булатова И.А., Мифтахова А.М., Гуляева И.Л. Способ диагностики неалкогольного стеатоза печени. Медицинский алфавит 2021; 1 (30): 53–56. doi: 10.33667/2078-5631-2021-30-53-56 / Bulatova I.A., Miftakhova A.M., Gulyaeva I.L. Method for diagnosing non-alcoholic liver steatosis. Medical alphabet 2021; 1 (30): 53–56. doi: 10.33667/2078-5631-2021-30-53-56 (in Russian).
- Захарьян Е.А., Агеева Е.С., Шрамко Ю.И., Малый К.Д., Гуртовая А.К., Ибрагимова Р.Э. Современные представления о диагностической роли биомаркеров эндотелиальной дисфункции и возможностях ее коррекции. Комплексные проблемы сердечно-сосудистых заболеваний 2022; 11 (4S): 194–207. doi: 10.17802/2306-1278-2022-11-4S-194-207 / Zakharyan E.A., Ageeva E.S., Shramko Yu.I., Malyi K.D., Gurtovaya A.K., Ibragimova R.E. A modern view on the diagnostic role of endothelial dysfunction biomarkers and the possibilities of its correction. Complex Issues of Cardiovascular Diseases 2022; 11 (4S): 194–207. doi: 10.17802/2306-1278-2022-11-4S-194-207 (in Russian).
- Тимофеев Ю.С., Михайлова М.А., Джиоева О.Н., Драпкина О.М. Значение биологических маркеров в оценке эндотелиальной дисфункции. Кардиоваскулярная терапия и профилактика 2024; 23 (9): 4061. doi: 10.15829/1728-8800-2024-4061 / Timofeev Yu.S., Mikhailova M.A., Dzhioeva O.N., Drapkina O.M. Importance of biological markers in the assessment of endothelial dysfunction. Cardiovascular Therapy and Prevention 2024; 23 (9): 4061. doi: 10.15829/1728-8800-2024-4061 (in Russian).
- Абулдинова О.А., Приходько О.Б., Войцеховский В.В., Гоборов Н.Д. Оценка контурного анализа фотоплетизмограммы у здоровых лиц молодого возраста. Бюллетень физиологии и патологии дыхания 2020; (76): 41–45. doi: 10.36604/1998-5029-2020-76-41-45/ Abuldinova O.A., Prikhodko O.B., Voytsekhovskiy V.V., Goborov N.D. Assessment of the contour analysis of the photoplethysmogram in healthy individuals of young age. Bulletin Physiology and Pathology of Respiration 2020; (76): 41–45. doi: 10.36604/1998-5029-2020-76-41-45 (in Russian).
- Куликов Д.А., Глазков А.А., Ковалева Ю.А., Балашова Н.В., Куликов А.В. Перспективы использования лазерной допплеровской флоуметрии в оценке кожной микроциркуляции крови при сахарном диабете. Сахарный диабет 2017; 20 (4): 279–285. doi: 10.14341/DM8014 / Kulikov D.A., Glazkov A.A., Kovaleva Yu.A., Balashova N.V., Kulikov A.V. Prospects of Laser Doppler flowmetry application in assessment of skin microcirculation in diabetes. Diabetes mellitus 2017; 20 (4): 279–285. doi: 10.14341/DM8014 (in Russian).
- Булатова И.А., Шевлюкова Т.П., Гуляева И.Л., Соболь А.А., Хасанова В.В. Функциональное состояние печени и эндотелия у пациенток с менопаузальным метаболическим синдромом. Гинекология 2024; 26 (2): 185–190. doi: 10.26442/20795696.2024.2.202757 / Bulatova I.A., Shevlyukova T.P., Gulyaeva I.L., Sobol A.A., Khasanova V.V. Functional state of the liver and endothelium in patients with menopausal metabolic syndrome. Gynecology 2024; 26 (2): 185–190. doi: 10.26442/20795696.2024.2.202757 (in Russian).
- Метельская В.А. Атеросклероз: мультимаркерные диагностические панели. Российский кардиологический журнал 2018; (8): 65–73. doi: 10.15829/1560-4071-2018-8-65-73 / Metelskaya V.A. Atherosclerosis: Multimarker diagnostic panels. Russian Journal of Cardiology 2018; (8): 65–73. doi: 10.15829/1560-4071-2018-8-65-73 (in Russian).
Supplementary files



