Значение дисплазии соединительной ткани в происхождении артериомезентериальной компрессии двенадцатиперстной кишки
- Авторы: Репин М.В.1, Патлусова Е.С.2
-
Учреждения:
- Пермский государственный медицинский университет им. академика. Е.А. Вагнера
- Краевая детская клиническая больница
- Выпуск: Том 35, № 1 (2018)
- Страницы: 38-46
- Раздел: Статьи
- Статья получена: 15.04.2018
- Статья опубликована: 15.02.2018
- URL: https://permmedjournal.ru/PMJ/article/view/8668
- DOI: https://doi.org/10.17816/pmj35138-46
- ID: 8668
Цитировать
Полный текст
Аннотация
Цель. Изучить морфологические изменения двенадцатиперстной кишки при ее артериомезентериальной компрессии и оценить их взаимосвязь с дисплазией соединительной ткани.
Материалы и методы. У 70 больных (средний возраст 29,3 ± 2,6 г.) с артериомезентериальной компрессией двенадцатиперстной кишки проведено морфологическое исследование ее стенки и выполнен корреляционный анализ с гистологическими изменениями в биоптатах кожи.
Результаты. Установлена достоверная корреляция морфометрических показателей стромально-железистых изменений слизистой оболочки двенадцатиперстной кишки с признаками деструкции и дезорганизации соединительной ткани в гистологических препаратах кожи.
Выводы. Артериомезентериальная компрессия двенадцатиперстной кишки – заболевание, обусловленное конституцией пациентов. Его течение определяется особенностями дисплазии соединительной ткани. Морфологические изменения в стенке двенадцатиперстной кишки свидетельствуют об атрофии, степень выраженности которой соответствует стадии заболевания и является достоверным критерием при выборе рациональной лечебной тактики.
Полный текст
ВВЕДЕНИЕ
В 1842 г. Carl Freiherr von Rokitansky описал компрессию двенадцатиперстной кишки верхней брыжеечной артерией, но ее механизм до конца не ясен, и остается открытым вопрос, почему не у всех людей имеется артериомезентериальная компрессия (АМК)? [1, 4, 17]. Е.К. Strong, анализируя теоретические концепции механизма развития данного типа обструкции с точки зрения различного взаимоотношения брыжейки тонкой кишки и двенадцатиперстной кишки у четвероногих и человека, говорил: «Очевидно, что эволюция остановилась бы, не доходя до двуногого человека, если бы само по себе прямохождение приводило к окклюзии двенадцатиперстной кишки. Существуют множественные анатомо-механические факторы, влияющие на этот теоретический тип обструкции» [18]. Большинство авторов в качестве предрасполагающих факторов рассматривают уменьшение объема забрюшинной клетчатки в результате истощения, длительного постельного режима при тяжелых заболеваниях и травмах, при стремительной потере массы тела вследствие психогенной анорексии и рвоты [9, 10, 20]. Однако противоречие состоит в том, что именно сосудистая компрессия двенадцатиперстной кишки провоцирует боли и рвоту, заставляя больных избегать приема пищи из-за страха приступа [12].
Механизм развития дуоденальной непроходимости казался вполне очевидным, и B. Robinson в 1900 г. предложил методику выведения двенадцатиперстной кишки из-под компрессии и формирования дуоденоеюноанастомоза впереди брыжеечных сосудов [16]. Дуоденоеюностомия в разных модификациях до настоящего времени является наиболее частой операцией, выполняемой после неэффективности консервативного лечения, однако поиск новых методик продолжается. В последние годы предложена деротация двенадцатиперстной кишки, операция кругового дренажа и даже транспозиция самой верхней брыжеечной артерии [11, 15, 19]. Но такое разнообразие операций, направленных на улучшение эвакуаторной функции двенадцатиперстной кишки, свидетельствует о неудовлетворенности хирургов их результатами. Вероятно, причины неэффективности операций связаны не с техническими приемами, а с особенностями течения сочетанной патологии. Многие авторы у 80 % больных отмечают астенический тип телосложения и признаки висцероптоза, связывая это с быстрым ростом в период юношеского развития и даже с генетической предрасположенностью к данному заболеванию [6, 10, 14].
Проведенные нами исследования у больных с артериомезентериальной компрессией двенадцатиперстной кишки подтвердили преобладание у них астенического типа телосложения по сравнению с контрольной группой, а также наличие внешних и висцеральных маркеров дисплазии соединительной ткани (ДСТ) [8]. Диагностическая значимость фенотипических признаков ДСТ различна, поскольку, в отличие от синдромных форм, множество маркеров, объединяемых в «недифференцированные соединительнотканные дисплазии», «малые формы ДСТ», «MASS-фенотип», являются более распространенными в популяции и чаще рассматриваются исследователями с «кардиологических» позиций [2, 3, 5, 7]. В то же время практические наблюдения свидетельствуют о наличии у таких больных других поражений соединительной ткани: со стороны желудочно-кишечного тракта, мочевыделительной, нервной систем [3, 13]. Роль ДСТ при нарушениях моторно-эвакуаторной функции желудочно-кишечного тракта освещена недостаточно.
Цель исследования – изучить морфологические изменения двенадцатиперстной кишки при АМК и оценить их взаимосвязь с дисплазией соединительной ткани.
МАТЕРИАЛЫ И МЕТОДЫ ИССЛЕДОВАНИЯ
Проведено морфологическое исследование стенки двенадцатиперстной кишки у 70 больных, оперированных по поводу хронической дуоденальной непроходимости, обусловленной АМК двенадцатиперстной кишки. Диагноз поставлен на основании оценки клинических проявлений, результатов эзофагогастродуоденоскопии, рентгеноскопии желудка и двенадцатиперстной кишки, ультразвукового исследования органов брюшной полости с определением величины угла отхождения верхней брыжеечной артерии от аорты. По результатам обследования была установлена стадия хронической дуоденальной непроходимости: у 20 – компенсации, 37 – субкомпенсации и у 13 – декомпенсации. Средний возраст больных – 29,3 ± 2,6 г.
Для оценки взаимосвязи морфологических изменений двенадцатиперстной кишки и ДСТ проведен корреляционный анализ с гистологическими исследованиями биоптатов кожи и апоневроза, взятых из края лапаротомной раны у 16 пациентов.
Ткань стенки двенадцатиперстной кишки забирали при наложении дуоденоеюноанастомоза. Биоптаты фиксировали в 10%-ном растворе нейтрального формалина, проводили по спиртамп восходящей крепости и заливали в парафиновые блоки. Срезы кожи толщиной 5 микрометров (мкм) окрашивали гематоксилином и эозином, по ван Гизону, по Вейгерту на эластические волокна. Ретикулиновые волокна определяли импрегнацией 10%-ным раствором азотнокислого серебра по Футу. Для оценки состояния коллагеновых волокон применяли реакцию с 0,05%-ным раствором коллагеназы. Также применяли гистохимические окраски: толуидиновым синим, альциановым синим и реактив Шиффа. Морфологические исследования препаратов проводили с использованием компьютерной системы анализа изображений, в которую входили: световой микроскоп Leica DM LB с различными степенями увеличения (окуляр ×10, объективы ×4, ×10, ×40), цифровая видеокамера JVC-TK-C 1-380, совместимый персональный компьютер Vision Master Pro 411 с программным обеспечением.
Полученную информацию анализировали с помощью компьютерных программ (Statistica for Windows 6). Для выявления достоверной разницы в группах применяли методы непараметрической статистики. Взаимосвязь признаков определяли многофакторным корреляционным анализом, вычисляли коэффициенты корреляции (r). Различия значений и корреляционные связи считали достоверными при p < 0,05.
РЕЗУЛЬТАТЫ И ИХ ОБСУЖДЕНИЕ
В месте забора материала для гистологического исследования, в нижнегоризонтальном отделе двенадцатиперстной кишки, справа от мезентериальных сосудов отмечали наиболее выраженные макроскопические изменения: стенка в этой области дилатирована, атонична, визуально истончена, иногда покрыта сетью инъецированных сосудов, за счет чего выглядела воспаленной.
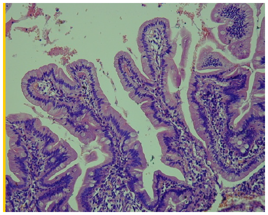
Гистоархитектоника слоев стенки двенадцатиперстной кишки была относительно сохранена. Отмечались уменьшение высоты ворсин и сглаженность рельефа слизистой оболочки. Покровный эпителий выглядел уплощенным, ядра клеток с базальным расположением, надъядерная часть с участками просветления, местами вакуолизирована. В апикальных отделах ворсинок отмечено уменьшение числа бокаловидных клеток, в базальных отделах ворсинок их число увеличивалось. На одну ворсину приходилось две, три крипты (рис. 1).
Структура желез слизистой оболочки сохранена, эпителий несколько уплощен, просветы желез местами расширены (слабо- или умеренновыраженные атрофические изменения специализированной железистой ткани). В глубоких слоях, вблизи мышечной пластинки слизистой оболочки, вокруг желез располагались тонкие коллагеновые волокна и мелкие группы фибробластов, тонкостенные капилляры с расширенными просветами.
На фоне отека, полнокровия и явлений плазматического пропитывания в строме слизистой оболочки, подслизистого слоя, особенно периваскулярно, с большим постоянством определялись мелкоочаговые лимфомакрофагальные инфильтраты.
Рис. 1. Увеличение объема надъядерной части энтероцитов, очаговая вакуолизация цитоплазмы. Окраска гематоксилином и эозином × 40
В ряде случаев в слизистой оболочке двенадцатиперстной кишки отмечалось формирование лимфоидных фолликулов с четкой клеточной структурой, местами со слабовыраженной макрофагальной реакцией в центральных отделах (рис. 2).
Рис. 2. Стенка двенадцатиперстной кишки. Лимфоидный фолликул в толще слизистой оболочки. Окраска гематоксилином и эозином ×4
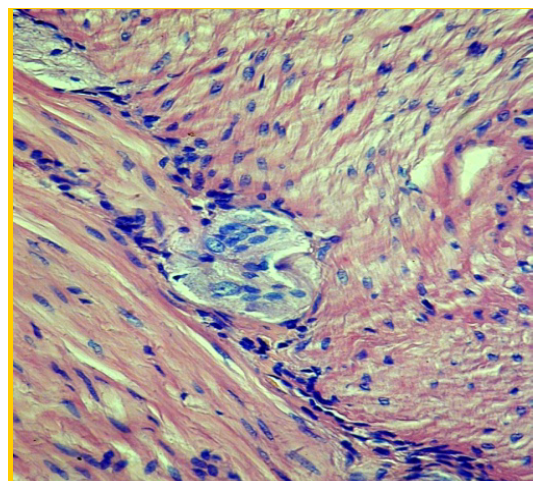
Мышечный слой кишечной стенки был выражен неодинаково в разных срезах, мышечные клетки имели разную толщину, с признаками гипертрофии или атрофии. Но преобладали случаи утолщения мышечного слоя. Отмечены дистрофические изменения мышечных волокон. Изменения межмышечных нервных ганглиев характеризовались уменьшением их в объеме за счет субатрофических процессов, полнокровия периганглионарных зон на фоне умеренного отека (рис. 3).
Рис. 3. Мышечный слой стенки двенадцатиперстной кишки. Уменьшение объема, дистрофические изменения межмышечного нервного ганглия. Окраска гематоксилином и эозином ×10
Данные морфологические признаки свойственны синдрому мальабсорбции, что наряду с дистрофическими изменениями и уменьшением объема межмышечных нервных ганглиев способствует нарушению тонуса и моторики двенадцатиперстной кишки, а в итоге является причиной снижения питания и астенизации больных.
Микроскопические исследования соединительной ткани при наличии у больных клинических признаков ДСТ показали морфологические особенности кожи и апоневроза [15]. Заслуживают внимания морфологические процессы в коллагеновых волокнах кожи, которые выражались дезорганизацией и деструкцией (гомогенизация, фрагментация, пикринофилия, положительное действие коллагеназы на коллагеновые волокна, преобладание тонких коллагеновых волокон и другие). Наиболее выраженные изменения обнаружены в дерме по сравнению с эпидермисом. При этом в сосочковом слое дермы преобладали тонкие коллагеновые волокна, которые отличались нестойкостью и непрочностью. Подобные изменения наблюдались со стороны эластических волокон, в которых определялась неравномерная толщина, фрагментация и беспорядочное расположение.
В стенке сосудов, преимущественно мелкого калибра, отмечались очаговая десквамация эндотелия, утолщение стенок за счет отека, плазматического пропитывания и разволокнения. Отек распространяется за пределы сосудистых стенок, вокруг сосудов с большим постоянством определяется лимфогистиоцитарная инфильтрация с примесью макрофагов, инфильтраты часто имели очаговый характер вплоть до формирования лимфоидных фолликулов.
Увеличение количества кислых гликозаминогликанов наблюдали лишь в поверхностных отделах сосочкового слоя дермы, в остальных слоях их содержание было снижено. Отмечено повышенное содержание тучных клеток, которые находились в состоянии дегрануляции. В организме больных при этом повышается уровень гепарина и гистамина, ответственных за иммунную регуляцию, а также происходят дезинтеграция коллагеновых волокон, уменьшение толщины кожи и толстых коллагеновых волокон как следствие нарушения метаболизма коллагена [5].
Сосочковый слой дермы выглядел истонченным и сглаженным. Отмечали очаговую гидропическую дистрофию эпителия на уровне шиповатого слоя, его очаговое истончение и разрыхленность базальной мембраны.
В наших наблюдениях, особенно в случаях декомпенсированной стадии АМК, когда имели место стойкая эктазия и атония двенадцатиперстной кишки, гистологические изменения ауэрбахова сплетения были наиболее выражены по сравнению с таковыми в стадии компенсации и субкомпенсации заболевания. Наши результаты совпадают с данными авторов, наблюдавших дистрофические процессы в нервных ганглиях и мышечных волокнах двенадцатиперстной кишки при хронической дуоденальной непроходимости [1, 4]. Однако мы считаем, что изменения в эпителии двенадцатиперстной кишки, в мышечном слое, нервных ганглиях – это результат не только воспалительного процесса, но и вторичных изменений соединительной ткани, связанных с нарушением ее трофической функции вследствие нестойкости, неполноценности коллагеновых и эластических волокон. Уменьшение количества фибробластов, васкулиты, повышение сосудистой проницаемости, периваскулярная лимфогистиоцитарная инфильтрация, увеличение количества тучных клеток с дегрануляцией и неравномерным распределением кислых гликозаминогликанов сопровождались проявлениями дуоденита в виде углубления крипт, изменения формы и высоты ворсин.
Для количественной оценки степени выявленных гистологических изменений двенадцатиперстной кишки применен морфометрический метод. По результатам исследования ряда параметров на основании кластерного анализа больные разделены на 3 группы (таблица).
Показатели морфометрического исследования стенки двенадцатиперстной кишки у больных АМК
Показатели строения слизистой оболочки двенадцатиперстной кишки | I группа (n = 18) | II группа (n = 32) | III группа (n = 20) |
Толщина слизистой оболочки, мкм | 640,8 ± 26,3 | 529,2 ± 19,4 | 476,5 ± 17,0 |
Высота ворсин слизистой оболочки, мкм | 611,2 ± 25,9 | 472,3 ± 22,4 | 409,8 ± 18,5 |
Лимфоциты, число клеток | 45,7 ± 2,1 | 34,5 ± 1,8 | 37,8 ± 2,0 |
Плазмоциты, число клеток | 22,2 ± 1,0 | 15,0 ± 0,9 | 17,6 ± 1,2 |
Эозинофилы, число клеток | 7,7 ± 0,7 | 5,7 ± 0,5 | 6,6 ± 0,8 |
Фибробласты, число клеток | 5,4 ± 0,7 | 2,5 ± 0,3 | 3,3 ± 0,3 |
Объем стромы, % | 69,8 ± 0,8 | 62,5 ± 0,7 | 69,8 ± 0,8 |
Объем желёз, % | 29,2 ± 1,0 | 34,4 ± 0,7 | 28,6 ± 0,8 |
Митозы, число на железу | 3,4 ± 0,2 | 3,2 ± 0,2 | 3,4 ± 0,2 |
В 1-ю группу вошли больные с максимальными значениями толщины слизистой оболочки, высоты кишечных ворсин при максимальных показателях лимфоидной и плазматической инфильтрации. Отмечено увеличение количества фибробластов, динамика изменения которых имела обратную зависимость от количества лимфоцитов (r = –0,53; р < 0,05) и была прямо пропорциональна числу плазмоцитов. На фоне расширения и полнокровия сосудов, явлений отека установлено увеличение объема стромы и уменьшение объема желез. Митотическая активность эпителиальных клеток была обратно пропорциональна объему стромы (r = –0,54; р < 0,05). Эти показатели соответствовали стадии компенсации АМК двенадцатиперстной кишки, установленной согласно клиническим данным.
Во 2-й группе наблюдалось достоверное истончение слизистой оболочки и уменьшение высоты ворсинок. Объем лимфоплазмоцитарных инфильтратов уменьшался, степень выраженности склеропластических процессов снижалась, происходила относительная стабилизация циркуляторных нарушений. В этой группе отмечено уменьшение объема стромы и максимальное значение объема железистого компонента.
В 3-ю группу вошли больные с минимальными показателями толщины слизистой и высоты ворсинок при более высоких показателях клеточной инфильтрации по сравнению с показателями у больных 2-й группы (р < 0,005). Наряду с этим в данной группе установлены максимальные значения объема стромы при минимальных показателях объема желез. В этой группе клинически у 13 больных была установлена стадия декомпенсации АМК, у 5 – субкомпенсации и у 2 – компенсации. У большинства больных признаки атрофии слизистой оболочки двенадцатиперстной кишки свойственны стадии декомпенсации. Причем отмечено, что во всех группах при истончении слизистой оболочки происходит статистически значимое увеличение количества фибробластов (r = 0,49; р = 0,044). Данное явление закономерно, поскольку на смену выраженным нарушениям кровообращения острого характера в виде полнокровия сосудов, отека стромы сначала приходят клеточные реакции, а затем склеропластические процессы с деформацией структурных единиц слизистой оболочки при формировании выраженного склероза.
У больных 1-й и 2-й групп установлена прямая зависимость между толщиной слизистой оболочки, высотой ворсин и степенью лимфоплазмоцитарной инфильтрации (r = 0,47; р < 0,05). Некоторое повышение клеточной инфильтрации у больных 3-й группы свидетельствует о напряженности иммунных реакций в стадии декомпенсации. В этой группе наблюдалась обратная зависимость между основными параметрами слизистой оболочки и числом клеточных элементов: лимфоцитов, плазмоцитов, эозинофилов и фибробластов.
У больных 1-й и 3-й групп в слизистой оболочке преобладал объем стромы. В 1-й груп пе это связываем с нарушениями кровообращения, выраженным отеком, значительной клеточной инфильтрацией, а у больных 3-й группы увеличение объема стромы происходит за счет склеропластических процессов, с последующим уменьшением объема желез вследствие их атрофии.
Таким образом, установлена прямая связь между атрофическими процессами слизистой оболочки двенадцатиперстной кишки и тяжестью клинических проявлений дуоденостаза. В стадии компенсации и субкомпенсации атрофические изменения сопровождаются воспалительной реакцией, а в стадии декомпенсации преобладают склеротические изменения, занимающие больший объем стромы и приводящие к атрофии железистого аппарата. С учетом того что определение стадии АМК по клиническим признакам во многом связано с субъективными оценками, морфологический метод является наиболее точным для выявления степени тяжести патологических изменений и их взаимосвязи с общими нарушениями, определяющими тяжесть заболевания.
Для оценки степени корреляции морфологических изменений в коже и в двенадцатиперстной кишке мы распределили гистологические признаки ДСТ кожи на 5 категорий, отражающих основные патоморфологические изменения соединительной ткани, выраженные в баллах: 1) дезорганизация коллагеновых волокон (пикринофилия, различная толщина коллагеновых волокон, снижение количества фибробластов); 2) деструкция (реакция с коллагеназой, фрагментация эластических волокон, фрагментация коллагеновых волокон, истончение эластических волокон); 3) дисциркуляторные изменения (васкулиты, лимфогистиоцитарная инфильтрация, повышенная проницаемость сосудов, состояние лаброцитов); 4) метаболические нарушения (снижение уровня кислых гликозаминогликанов, ШИК-реакция); 5) состояние эпителия (истончение, гидропическая дистрофия эпителия, разрыхление и утолщение базальной мембраны, сглаженность сосочкового слоя).
Сопоставление изменений соединительной ткани кожи с морфометрическими показателями слизистой оболочки двенадцатиперстной кишки показало достоверную корреляцию признаков деструкции и дезорганизации соединительной ткани со стромально-железистыми изменениями кишки – при увеличении степени альтерации соединительной ткани происходило уменьшение объема стромы (r = –0,71; p = 0,007). Эта закономерность отражала динамику морфометрических изменений слизистой оболочки двенадцатиперстной кишки в соответствии с клинической стадией субкомпенсации АМК (2-я группа). Уменьшение объема стромы обусловлено снижением склеропластических процессов, количества фибробластов и клеточной инфильтрации.
Дезорганизация соединительной ткани и изменения в строме слизистой оболочки отражались на состоянии железистого аппарата, что выражалось в увеличении объема желез слизистой двенадцатиперстной кишки (r = 0,76; p = 0,005) с одновременным уменьшением их «деятельной» структуры.
ВЫВОДЫ
Таким образом, гистологические изменения в двенадцатиперстной кишке напоминают изменения, происходящие в коже, что свидетельствует о нарушении процесса фибриллогенеза, связанного со снижением биосинтетической активности всех компонентов экстрацеллюлярного матрикса соединительной ткани. Проявлением этого процесса является нестойкость, неполноценность коллагеновых и эластических волокон, ослабление сосудисто-стромального компонента соединительной ткани. Эти изменения, в комплексе с другими патологическими процессами, характеризуют тяжесть заболевания, которое имеет системный характер. С этих позиций можно считать, что нарушения сократительной способности желудка и кишечника в целом обусловлены нарушением функции соединительной ткани, а определенные анатомо-топографические взаимоотношения органов гастродуоденальной зоны создают условия для присоединения механического компонента непроходимости двенадцатиперстной кишки. В силу конституциональных особенностей, при которых нарушается структурообразующая функция соединительной ткани, уменьшен угол отхождения верхней брыжеечной артерии от аорты, двенадцатиперстная кишка, теряя тонус, провисает на брыжеечных сосудах, что усугубляет моторно-эвакуаторные нарушения и в итоге формирует симптомокомплекс дуоденостаза. Поэтому при выборе операции, направленной на коррекцию дуоденальной проходимости, следует учитывать не только степень нарушения моторно-эвакуаторной функции двенадцатиперстной кишки, но и коморбидность, которая сопровождает дисплазию соединительной ткани и снижает эффективность операций.
Об авторах
Максим Васильевич Репин
Пермский государственный медицинский университет им. академика. Е.А. Вагнера
Автор, ответственный за переписку.
Email: max_repin@inbox.ru
доктор медицинских наук, профессор кафедры хирургии факультета дополнительного профессионального образования
Россия, 614000, г. Пермь, ул. Петропавловская, 26Елена Сергеевна Патлусова
Краевая детская клиническая больница
Email: max_repin@inbox.ru
кандидат медицинских наук, заведующая патолого-анатомическим отделением
Россия, 614066, г. Пермь, ул. Баумана, 22Список литературы
- Благитко Е.М. Хроническая дуоденальная непроходимость и способы ее коррекции. Новосибирск: Наука 1993; 224.
- Земцовский Э.В. Соединительнотканные дисплазии сердца. СПб.: Политекс 1998; 96.
- Кадурина Т.И., Горбунова В.Н. Дисплазия соединительной ткани. СПб.: Элби-СПб 2009; 701.
- Касумьян С.А., Алибегов Р.А. Функциональные и органические нарушения проходимости двенадцатиперстной кишки. Смоленск 1997; 136.
- Мартынов А.И., Степура О.Б., Шехтер А.Б., Мельник О.О., Пак Л.С., Ушакова Т.И. Новые подходы к лечению больных с идиопатическим пролабированием митрального клапана. Терапевтический архив 2000; (9): 67–70.
- Нестеренко Ю.А., Ступин В.А., Федоров А.В., Богданов А.Е. Хроническая дуоденальная непроходимость. М.: Медицина 1990; 240.
- Нечаева Г.И., Яковлев В.М., Конев В.П. и др. Дисплазия соединительной ткани: основные клинические синдромы формулировка диагноза, лечение. Лечащий врач 2008; 2: 2–7.
- Репин В.Н., Усольцева Л.В., Репин М.В. Артериомезентериальная компрессия двенадцатиперстной кишки как патология, ассоциированная с дисплазией соединительной ткани. Пермский медицинский журнал 2005; 22 (1): 37–42.
- Cohen L.B., Field S.P., Sachar D.B. The superior mesenteric artery syndrome. The disease that isn’t, or is it? J Clin Gastroenterol 1985; 7: 113–116.
- Geer D.A. Superior mesenteric artery syndrome. Milit Med 1990; 155: 321–323.
- Ha C.D., Alvear D.T., Leber D.C. Duodenal derotation as an effective treatment of superior mesenteric artery syndrome: a thirty-three year experience. Am Surg 2008; 74: 644–653.
- Kornmehl P., Weizman Z., Liss Z. et al. Superior mesenteric artery syndrome presenting as an anorexia nervosa-like illness. Health Care 1988; 9: 340–343.
- Mosca M., Tani C., Vagnani S., Carli L., Bombardieri S. The diagnosis and classification of undifferentiated connective tissue diseases. J Autoimmun. 2014; 48–49: 50–52. doi: 10.1016/j.jaut.2014.01.019.
- Ortiz C., Cleveland R.H., Blickman J.G. Familial superior mesenteric artery syndrome. Pediatr Radiol 1990; 20: 588–589.
- Pourhassan S., Grotemeyer D., Fürst G., Rudolph J., Sandmann W. Infrarenal transposition of the superior mesenteric artery: a new approach in the surgical therapy for Wilkie syndrome. J Vasc Surg 2008; 47: 201–204.
- Robinson B. Dilatation of stomach from pressure of the superior mesenteric artery vein and nerves on the tranverse segment of duodenum. Cincinnati Lancet Clin 1900; 8: 577–586.
- Rokitansky C. Handbuch der patholo gischen Anatomie. Ed. 1. Wien, Braunmüller & Seidel 1842; 3: 187.
- Strong E.K. Mechanics of arteriomesenteric duodenal obstruction and direct surgical attack upon etiology. Annals of Surgery 1958; 148 (5): 725–730.
- Yang W., Zhang X. Assessment of duodenal circular drainage in treatment of superior mesenteric artery syndrome. World J Gastroenterol 2008; 14: 303–306.
- Zeranska M., Тomaszewicz-Libudzic C., Jagielska G., Komender J. Surgical complications occurring during hospitalization of patients with anorexia nervosa-literature review and a discussion of three cases. Psychiatr Pol 2002; 36. (4): 579–589.
Дополнительные файлы






