Rare combination of liver alveococcus with right lung and cerebral echinococcus
- Authors: Barykov V.N.1
-
Affiliations:
- South-Ural State Medical University
- Issue: Vol 35, No 4 (2018)
- Pages: 83-87
- Section: Articles
- Submitted: 11.10.2018
- Published: 15.12.2018
- URL: https://permmedjournal.ru/PMJ/article/view/10334
- DOI: https://doi.org/10.17816/pmj35483-87
- ID: 10334
Cite item
Full Text
Abstract
The paper presents the observation regarding successful combined (surgical and medicamentous) treatment of patients with multiple parasitic damage: liver alveococcosis and pulmonary and cerebral echinococcosis. Surgical treatment, combined with albendasole, permits to reach clinical improvement even in case of multiorgan parasitic damage.
Keywords
Full Text
Введение
Одной из актуальных проблем медицинской паразитологии является лечение альвеококкоза и эхинококкоза – опасных гельминтозов из группы тениозов [1, 3, 4, 8]. После заражения у промежуточного хозяина, в том числе у человека, онкосферы (яйца паразита) в желудочно-кишечном тракте всасываются и с током крови заносятся в печень, где чаще всего и оседают, как в первом «фильтре». Но они могут попасть в малый круг кровообращения и задержаться в легких, как во втором «фильтре». А если проходят через легкие, то рассеиваются с током крови по всему организму [2, 10]. Мы располагаем редким наблюдением сочетания альвеококка печени с эхинококком правого легкого и головного мозга.
Материалы и методы исследования
Больная К., 1982 г.р., поступила в Челябинскую областную клиническую больницу в феврале 2005 г. с клиникой механической желтухи. При обследовании был установлен диагноз: альвеококкоз печени. Первым этапом лечения была чрескожная чреспеченочная холангиостомия. Вторым этапом – лапаротомия, при которой найдено тотальное поражение правой доли печени и мелкие отсевы паразита в левой доле со значительным узлом во II сегменте, что в настоящее время является показанием к трансплантации [5, 6, 9]. Выполнена паллиативная операция – гемигепатэктомия справа и сегментэктомия слева (II сегмент). В связи с центральным расположением основного узла альвеококка и его врастанием и в «портальные» и «кавальные ворота» и нижнюю полую вену оставлен неудалимый фрагмент паразита на срезе левой доли и на полой вене, который девитализирован электроножом. Учитывая длительность и тяжесть вмешательства, наличие холангита и сопутствующую кровопотерю, операция закончена наружным дренированием левого долевого протока. Третий этап – реконструктивная операция через месяц – гепатикоеюноанастомоз на петле по Ру на сменном транспеченочном дренаже (СТД). Послеоперационное течение благоприятное, при выписке проведен курс лечения противопаразитарным препаратом «Альбендазол». В июле 2005 г. при рентгеноскопическом обследовании грудной клетки у пациентки выявлена бессимптомная круглая тень более 5 см в нижней доле правого легкого, подозрительная на эхинококк. Была оперирована, выполнена нижняя лобэктомия справа, диагноз подтвержден, послеоперационное течение без особенностей. Макроскопически в печени операционная находка соответствует альвеококку, в легком – эхинококковой кисте, гистологическое исследование препаратов не представлено в связи со списанием историй болезни.
В июле 2006 г. при очередной госпитализации для смены транспеченочного дренажа у пациентки отмечен экзофтальм слева, неустойчивая походка, головокружение. Учитывая анамнез, заподозрено паразитарное поражение головного мозга, на компьютерной томографии подтвержден диагноз: эхинококк левого полушария головного мозга теменно-затылочной области размером 7×8 см. Паразитарный очаг, располагавшийся в левом полушарии, прорастал в глубинные структуры мозга, поэтому был признан на нейрохирургическом консилиуме неоперабельным. После лечения альбендазолом в течение года отмечена положительная клиническая динамика: исчезновение экзофтальма, уменьшение интенсивности головных болей, уменьшение в размерах очага в головном мозге. Пациентка продолжала лечение альбендазолом в течение 6 лет с 2006 г. по три курса в год. С 2013 г. по настоящее время получает курсовое лечение альбендазолом один раз в год, что соответствует рекомендациям [7]. С 2006 г. и по настоящее время пациентке определена инвалидность II группы.
Результаты и их обсуждение
В настоящее время при личном осмотре 08.02.2018 состояние пациентки расценено как удовлетворительное. При контрольном исследовании на обзорной рентгенографии грудной клетки в двух проекциях от апреля 2017 г.: «...легочные поля чистые, усилен рисунок корня правого легкого ... Заключение: патологических изменений не выявлено». При контрольном исследовании от мая 2016 г. на компьютерной томографии брюшной полости отмечено, что « ...после правосторонней расширенной гемигепатэктомии ... между задним краем левой и хвостатой долей сохраняется округлое, частично петрифицированное образование с четкими
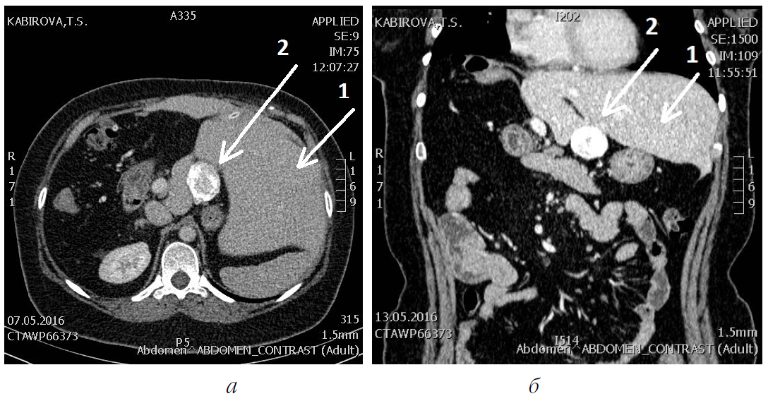
контурами, не накапливающее контрастное вещество, размерами 20×11×17 мм – остаточный альвеококк? В задних отделах правого купола диафрагмы сохраняется тканый участок с наличием петрификатов – остаточный альвеококк? В воротах печени определяется линейная гиперденсивная структура – дренаж. Заключение: состояние после правосторонней расширенной гемигепатэктомии по поводу альвеококка, ... СКТ-признаки викарного увеличения левой доли печени» (рис. 1).
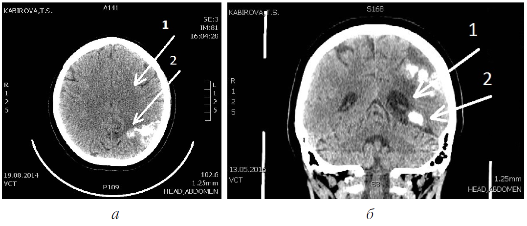
При контрольном исследовании головного мозга на компьютерной томографии от августа 2014 г. отмечено: «...в левом полушарии головного мозга имеются ... множественные участки повышенной плотности неправильной формы с наличием петрификатов ... Заключение: патологические изменения в виде эхинококковых кист ...» (рис. 2).
Рис. 1. Компьютерная томография брюшной полости пациентки К.: а – в аксиальной проекции; б – во фронтальной проекции; 1 – викарно увеличенная левая доля печени; 2 – петрифицированный остаточный узел альвеококка
Рис. 2. Компьютерная томография головного мозга пациентки К.: а – в аксиальной проекции; б – во фронтальной проекции; 1 – левое полушарие головного мозга; 2 – множественные петрификаты в эхинококковых узлах
Выводы
Настоящее наблюдение демонстрирует редкую мультиорганную локализацию двух паразитов у пациентки молодого возраста, а также пример эффективного паллиативного хирургического лечения поражения печени, радикального хирургического лечения поражения легкого и медикаментозного антипаразитарного лечения неудалимого паразита из головного мозга, что подтверждается клиническим успехом в течение 13 лет.
About the authors
V. N. Barykov
South-Ural State Medical University
Author for correspondence.
Email: barykov50@mail.ru
доктор медицинских наук, профессор, заведующий кафедрой госпитальной хирургии
Russian Federation, 64, Vorovskogo street, Chelyabinsk, 454092References
- Альперович Б.И. Радикальные и условно-радикальные операции при альвеококкозе печени. Анналы хирургической гепатологии 1996; 1 (1): 24-29.
- Андрияничева Е.Н., Пустовитова Т.С., Веселова Т.Н. Случай изолированного эхинококкоза сердца (клиническое наблюдение). Медицинская визуализация 2004; 4: 104.
- Ершов К.Г., Тетерин Г.В. Хирургическая тактика при альвеококкозе печени. Материалы правления Ассоциации гепатопанкреатобилиарных хирургов стран СНГ. Новосибирск 2017; 12-13.
- Журавлев В.А. Альвеококкоз печени. Анналы хирургической гепатологии 1997; 2: 9-14.
- Рыхтик П.И., Забавина Н.И., Киселев Н.М., Загайнов В.Е. Лучевая диагностика и хирургическое лечение альвеококкоза печени в специализированном гепатологическом центре. Материалы правления Ассоциации гепатопанкреатобилиарных хирургов стран СНГ. Новосибирск 2017; 21-22.
- Хубутия М.Ш., Новрузбеков М.С., Луцик К.Н., Гуляев В.А., Олисов О.Д., Ахметшин Р.Б., Магомедов К.М., Салиенко А.А., Куштаров И.М., Казымов Б.И. Вовлечение нижней полой вены при альвеококкозе печени: выбор - трансплантация печени или экстракорпоральная резекция с аутотрансплантацией печени? Материалы правления Ассоциации гепатопанкреатобилиарных хирургов стран СНГ. Новосибирск 2017; 27-28.
- Чжао А.В., Икрамов Р.З. Хирургическое лечение эхинококкоза печени. Consilium medicum. Хирургия 2016; 2: 15-17.
- Detry O., Meurisse N., Delwaide J., Giot J.B., Leonard P., Losson B., Hayette M.P., Bietard N., Meunier P., Honore P. Hepatic alveolar echinococcosis. Acta Chir Belg 2018; 13: 1-2.
- Patkowski W., Kotulski M., Remiszewski P., Grat M., Zieniewicz K., Kobriyn K., Najniger B., Ziarkiewicz-Wroblewska B., Krawczyk M. Alveococcosis of the liver - strategy of surgical treatment with special focus on liver transplantation. Transpl infect Dis 2016; 18 (5): 661-666.
- Wadhawa V., Shah J., Doshi C., Romani J., Lakhia K., Rathod D., Tavar R., Kothari J. Surgical overview of cardiac echinococcosis: a rare entity. Interact Cardiovasc Thorac Surg 2018; 7: DOI.10. 1093.
Supplementary files





