Modification of liver reparative regeneration in laboratory animals after partial hepatectomy
- Authors: Maksimova A.Y.1, Valamina I.E.1, Polushina L.G.1, Tsvirenko S.V.1, Bazarnyi V.V.1
-
Affiliations:
- Ural State Medical University
- Issue: Vol 39, No 1 (2022)
- Pages: 124-132
- Section: Biology and experimental medicine
- Submitted: 02.03.2022
- Accepted: 02.03.2022
- Published: 15.01.2022
- URL: https://permmedjournal.ru/PMJ/article/view/104310
- DOI: https://doi.org/10.17816/pmj391124-132
- ID: 104310
Cite item
Full Text
Abstract
Objective. To investigate the effect of cytoflavin on the adaptive liver growth after partial hepatectomy (PH).
Materials and methods. An experimental study was conducted on 60 male white mice aged 7–8 months, weighing 24–31 g. All animals were divided into three groups: group 1 – intact mice; group 2 – operated control mice, who received saline NaCl instead of the drug; group 3 – the main group of animals, who underwent partial hepatectomy, after which they received сytoflavin. Partial hepatectomy was performed by Claudia Mitchell and Holger Willenbring technique (2008). The preparation cytoflavin (Russia) was injected intraperitoneally at a dose of 0.014 ml /10 g of body weight for 7 days once daily. Morphological and morphometric studies of hepatobiopsy specimens were conducted. Statistical analysis was carried out using the methods of nonparametric statistics.
Results. It was found that 3 days after PH, in the liver of animals of the main group, the number of dystrophically altered hepatocytes decreased by 25 times, the mitotic index increased against the background of the preserved radial-beam structure. There was an increase in the size of the cytoplasm and nucleus by 1.5 times relative to the intact group (p <0.05), that is associated with adaptive hypertrophy. At the same time, on the 3rd day, in the control group the number of dystrophically altered cells was several times higher than in the intact animals and was accompanied by an increase in the cytoplasm of hepatocytes as a result of vacuolar degeneration after PH.
Conclusions: The use of cytoflavin leads to an increase in the mitotic activity of the partially resected liver, while the level of binuclear cells decreases. The manifestations of hepatocyte dystrophy also decrease. Comparison of the dynamics of the morphometric parameters of hepatocytes in animals of the control group and those who received cytoflavin after PH suggests that the studied drug stimulates the recovery processes in the liver during induced regeneration.
Keywords
Full Text
Введение
Стимуляция восстановительных процессов в печени после повреждения по-прежнему остается актуальной и трудно решаемой задачей современной гепатологии [1–3]. Ранее коллективом кафедры патологической физиологии Уральского государственного медицинского университета были изучены морфофункциональные аспекты регенерации печени после частичной гепатэктомии (ЧГ). В частности, было установлено, что адаптивный рост печени после ЧГ, осуществляемый только за счет имеющихся ресурсов в системе, имеет две пролиферативные волны, которые заканчиваются к первым 72 ч после операции. Однако иногда метаболического потенциала бывает недостаточно для (спонтанной) адаптации и полного восстановления структуры, функций органа по причине обширного и/или длительного повреждения печени [4–6]. В связи с этим большую популярность набирают исследования, связанные с поиском способов коррекции, стимуляции адаптивного роста печени после повреждения на модели регенерирующей печени с использованием различных фармакологических препаратов [7]. Ранее такие препараты были объединены в группу гепатопротекторных средств, призванных повышать устойчивость печени к патологическим воздействиям. Более точное описание предложил академик РАМН, профессор В.Т. Ивашкин: «Гепатопротекторы – это фармакотерапевтическая группа разнородных лекарственных средств, которые препятствуют разрушению клеточных мембран и стимулируют регенерацию гепатоцитов» [8]. Из-за разнообразия данной группы, которое обусловлено отсутствием однонаправленного механизма действия, общего сырья и/или активного компонента, не существует единой классификации. По типу сырья и/или активного компонента гепатопротекторы были подразделены: на препараты растительного происхождения, животного происхождения, содержащие эссенциальные фосфолипиды, аминокислоты или их производные, витамины-антиоксиданты и витаминоподобные соединения, препараты разных групп. Наиболее часто используемой является классификация, основанная на механизме действия на печень: антиоксиданты, средства, осуществляющие репарацию мембран гепатоцитов, и стимуляторы регенерации паренхимы печени [9].
При выборе препарата для стимуляции регенерации печени полагали, что он должен обеспечить оптимизацию пластических и энергетических процессов, кровоснабжение органа. Одним из средств с известными антигипоксантными и антиоксидантными свойствами является янтарная кислота. Поэтому гепатопротекторные свойства сукцината в последние годы активно изучаются [10, 11]. Известным отечественным препаратом, содержащим янтарную кислоту, является цитофлавин. В его состав также входят инозин, никотинамид и рибофлавин, участвующие в цикле трикарбоновых кислот, что может обеспечить применение препарата как средства метаболической терапии в условиях индуцированной регенерации органа.
Цель исследования – оценка влияния цитофлавина на адаптивный рост печени после частичной гепатэктомии.
Материалы и методы исследования
Экспериментальное исследование было проведено на 60 самцах белых мышей в возрасте 7–8 месяцев и массой 24–31 г. Выполнение исследований было одобрено локальным этическим комитетом ФГБОУ ВО «Уральский государственный медицинский университет» Минздрава России, протокол № 4 от 19.04.2019. Все животные с помощью метода рандомизации были разделены на три группы наблюдения: 1-я – интактные мыши (n = 20); 2-я – контрольные мыши, оперированные, вместо препарата получали физиологический раствор NaCl (n = 20); 3-я – основная группа животных, которым была выполнена частичная гепатэктомия, после чего они получали препарат цитофлавин (n = 20).
Частичную гепатэктомию выполняли по методике Claudia Mitchell и Holger Willenbring (2014) [12]. Препарат цитофлавин (Россия) вводили внутрибрюшинно в дозе 0,014 мл на 10 г массы тела в течение 7 сут ежедневно однократно. Первое введение производили в конце операции до послойного ушивания брюшины. При выборе режима дозирования руководствовались общепринятыми экспериментальными подходами, изложенными в литературе [13]. Животных выводили из опыта путем передозировки эфирным наркозом на 3-и и 7-е сут.
Для оценки восстановительных процессов в печени проводили морфологическое исследование гепатобиоптатов, полученных на 3-и и 7-е сут. Биоптаты печени 4×4×5 мм и фиксировали 10%-ным раствором формалина в течение 24 ч. Обработка материала и приготовление парафиновых блоков осуществлялись на гистопроцессоре MICROM EC 350-2 (Thermo Fisher Scientific, USA) по методике, рекомендованной производителем.
Приготовление срезов осуществлялось путем резки блока при помощи специального устройства ротационного микротома LEICA RM 2245 (Leica Biosystems Nussloch GmbH, Germany), который позволил получить серийные срезы толщиной 4 мкм, пригодные для окрашивания и микроскопии. Окрашивание срезов происходило в два этапа: предварительная обработка и собственно окраска. На первом этапе проводили депарафинирование срезов, помещенных на предметное стекло, с помощью ксилола и спирта, далее следовала промывка проточной водой. После срезы окрашивали гематоксилином и эозином, просветляли, заключая в прозрачную среду, накрывали покровным стеклом и высушивали в термостате 48 ч. Далее готовые гистологические микропрепараты изучали при увеличении 100, 200 и 400 раз. Для морфометрического исследования использовали компьютерную программу анализа изображений (Phenix Phmias 3.0). При морфометрии оценивали следующие показатели: митотический индекс (‰) (МИ), количество двуядерных клеток на 1000 гепатоцитов (‰), количество дистрофически измененных клеток на 1000 гепатоцитов (‰), площадь ядра (мкм2), площадь цитоплазмы (мкм2) и ядерно-цитоплазматическое соотношение (ЯИЦ).
Установлено, что выборки не подчиняются закону нормального распределения, поэтому для статистического анализа использовали непараметрические критерии: медиана (Ме) и 25-й, 75-й квартили (Q1; Q3). Для выявления различий количественных признаков на двух независимых выборках использовали непараметрический двусторонний критерий Манна – Уитни. Для выявления различий в двух зависимых выборках применяли критерий Уилкоксона. Обработку результатов проводили с использованием компьютерной статистической программы Statistica, версия 10.0 (Dell (StatSoft), USA).
Результаты и их обсуждение
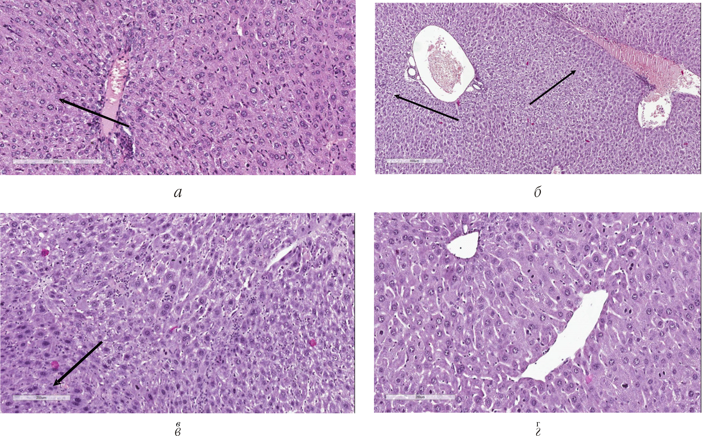
Морфология регенерации печени после ЧГ ранее уже была описана другими авторами [2–5], и полученные нами данные им не противоречили. Гистологическое исследование срезов ткани печени животных интактной группы позволило выявить следующее: выраженное балочно-радиальное строение долек печени, гепатоциты полигональной формы, с эозинофильной цитоплазмой, ядра округлые, средних размеров, хроматин нежно-зернистый. Портальные тракты не расширены, встречались единичные лимфоциты. Кроме того, в некоторых портальных трактах обнаруживались небольшие группы скопления эозинофилов (рисунок, а). В то же время в контрольной группе (оперированных и нелеченых животных) на 3-и сутки после ЧГ в ткани печени отмечались выраженные дисциркуляторные нарушения. В частности, в портальных трактах был резко увеличен просвет печеночной вены, в центральной вене также обнаруживалось расширение просветов и полнокровие. Кроме того, отмечалось расширение синусоидов, в них встречались единичные лимфоциты (рисунок, б). Имела место дискомплексация печеночных балок. Во всех отделах печеночных долек гепатоциты были в состоянии вакуольной дистрофии, встречались очаговые некрозы.
Рис. Печень: а – интактная группа. Балочное строение сохранено, гепатоциты полигональной формы. Печеночная вена в портальном тракте (стрелка). Окраска гематоксилином и эозином. Ув.×200; б – частичная гепатэктомия – 3-и сут. Резкое полнокровие печеночной вены в портальном тракте и центральной вене (стрелка). Окраска гематоксилином и эозином. Ув.×400; в – частичная гепатэктомия – 7-е сут. Гепатоциты с крупными гиперхромными ядрами, встречаются фигуры митозов (стрелка). В синусоидах мононуклеарная инфильтрация. Окраска гематоксилином и эозином. Ув.×200; г – частичная гепатэктомия и цитофлавин – 3-и сут. Просветы сосудов расширены, без выраженного полнокровия. Балочно-радиарное строение сохранено. Окраска гематоксилином и эозином. Ув×200
Морфологическое исследование печени на 7-е сут после ЧГ показало, что в синусоидах в большом количестве определялись мононуклеары и в небольшом количестве присутствовали сегментоядерные нейтрофилы. Гепатоциты были часто увеличены в размерах, с крупными гиперхромными ядрами, определялись фигуры митозов, двуядерные гепатоциты (рисунок, в). Вместе с тем при гистологическом исследовании ткани печени животных основной группы была отмечена большая сохранность архитектоники органа. На 3-и сут сохранялось балочно-радиарное строение, при этом просветы сосудов были расширены, без выраженного полнокровия. Дистрофические изменения обнаружены только в гепатоцитах центральных зон. В большом количестве определялись митозы (рисунок, г). К 7-м сут дистрофических изменений практически нет, морфологическое состояние печени близко к таковой в контрольной группе.
Для объективной оценки адаптивного роста использовали количественные показатели: МИ, количество двуядерных и дистрофически измененных клеток на 1000 гепатоцитов на 3-и и 7-е сут, площадь ядра, цитоплазмы и ядерно-цитоплазматическое соотношение (ядерно-цитоплазматический индекс – ЯЦИ) (таблица).
Морфометрические показатели печени лабораторных животных контрольной и основной групп после частичной гепатэктомии на 3-и и 7-е сут
Показатель | Интактная группа | Контрольная группа | Основная группа | ||
ЧГ, 3-и сут | ЧГ, 7-е сут | ЧГ+Ц, 3-и сут | ЧГ+Ц, 7-е сут | ||
Митотический индекс, ‰ | 0,01 (0; 0,1) | 0,15 (0; 0,16); р1 = 0,12 | 0,13 (0; 0,14); р3 = 0,21 | 2,92* (0; 5,0); р2 = 0,01 | 0,21 (0; 1,0); р4 = 0,34 |
Двуядерные клетки на 1000 гепатоцитов, ‰ | 15,0 (11,7; 16,2) | 5,5 (4,0; 12,0); р1 = 0,01 | 10,0 (7,7; 10,5); р3 = 0,1 | 11,0 (7,7; 12,5); р2 = 0,01 | 5,0 (3,7; 7,0); р4 = 0,02 |
Дистрофически измененные клетки на 1000 гепатоцитов, ‰ | 0,2 (0; 0,4) | 77,0 (65,0; 91,3); р1 = 0,02 | 5,0 (0,3; 6,2); р3 = 0,06 | 3,0* (1,3; 3,2); р2 = 0,13 | 2,0 (0,5; 5,9); р4 = 0,13 |
Площадь цитоплазмы гепатоцита, мкм2 | 8,2 (8,1; 9,8) | 13,6 (12,2; 16,1); р1 = 0,01 | 12,8 (10,5; 17,8); р3 = 0,01 | 12,5 (9,8; 15,9); р2 = 0,01 | 11,9 (7,8; 16,9); р4 = 0,01 |
Площадь ядра гепатоцита, мкм2 | 7,3 (6,6; 8,2) | 6,7 (6,2; 7,5); р1 = 0,3 | 9,0 (8,2; 10,3); р3 = 0,01 | 11,2* (9,8; 11,8); р2 = 0,01 | 10,9** (9,6; 11,3); р4 = 0,01 |
Ядерно-цитоплазматическое отношение | 0,9 (0,6; 1,1) | 0,3 (0,2; 0,3); р1 = 0,01 | 1,2 (0,8; 1,5); р3 = 0,07 | 0,8 * (0,6; 1,2); р2 = 0,06 | 0,9 (0,5; 1,3); р4 = 0,2 |
Примечание:
р1 – достоверность различий между интактной и контрольной группами на 3-и сут;
р2 – достоверность различий между интактной и основной группами на 3-и сут;
р3 – достоверность различий между интактной и контрольной группами на 7-е сут;
р4 – достоверность различий между интактной и основной группами на 7-е сут;
* достоверность различий между контрольной и основной группами на 3-и сут;
** достоверность различий между контрольной и основной группами на 7-е сут.
В контрольной группе животных, не получавших препарат, была выявлена тенденция к увеличению митотической активности на 3-и сут, которая сохранялась до 7-го дня. Вместе с тем наблюдалось достоверное уменьшение двуядерных клеток в 2,7 раза относительно такового у интактных животных. Количество дистрофически измененных клеток составило 77 %, что в разы больше, чем в группе неоперированных и нелеченых животных. При этом площадь цитоплазмы гепатоцитов была в 1,5 раза больше относительно интактной группы. Изменение размера, вероятно, обусловлено адаптивной реакцией клеток, а именно дистрофическими изменениями (гидропическая-вакуольная дистрофия), которые возникают в результате прогрессирующего энергодефицита после ЧГ. Однако более корректной характеристикой изменения размеров клетки является ЯЦИ, который был в три раза меньше относительно соответствующих данных животных интактной группы. К 7-м сут в контрольной группе наблюдали тенденцию к повышению количества двуядерных гепатоцитов, сопровождавшуюся снижением дистрофически измененных клеток в 15,4 раза относительно 3-х сут.
В основной группе животных (ЧГ + цитофлавин) при анализе морфометрической характеристики было установлено, что активация процессов восстановления ткани печени отмечается уже на 3-и сут после операции. Достоверные различия между контрольной и основной группами были выявлены по показателям: митотический индекс, дистрофически измененные клетки, ЯЦИ. Значение МИ было больше у мышей, получавших цитофлавин после операции, по сравнению с показателями мышей после ЧГ и данных интактной группы (p < 0,05), что свидетельствует об активации клеточного деления. Количество дистрофически измененных гепатоцитов было меньше в 25 раз относительно данных контрольной группы. Установлено увеличение размера цитоплазмы и ядра в 1,5 раза относительно соответствующих данных интактной группы, что связано с адаптивной гипертрофией. Вместе с тем ЯЦИ был близок к значению неоперированных и нелеченых животных и в 2,6 раза превышал ЯЦИ контрольной группы. На 7-е сут в основной группе прослеживалась положительная динамика к уменьшению количества двуядерных клеток в три раза и к снижению митотической активности относительно данных интактной группы.
Обсуждая полученные результаты, установлено, что при применении цитофлавина уже на 3-и сут наблюдается восстановление ткани печени в ответ на повреждение. Данная картина обусловлена как активной клеточной регенерацией, которая подтверждается значительным увеличением МИ, по сравнению с показателями группы ЧГ, так и гипертрофией клеток, которая находит свое отражение в высоких значениях площади цитоплазмы и ядра на фоне сохранности архитектоники органа. Активная клеточная регенерация, скорее всего, обусловлена как прямым действием сукцината на стимуляцию пролиферации самих гепатоцитов, так и звездчатых клеток, относящихся к их потенциальным предшественникам и продуцирующих целый комплекс ростовых факторов [10, 11].
Выводы
- Цитофлавин оптимизирует течение восстановительных процессов в печени в условиях индуцированной регенерации за счет гипертрофии и клеточного деления.
- Вероятным механизмом этого является активация пролиферативной активности гепатоцитов и их энергетического обмена.
Финансирование. Исследование осуществлено в рамках государственного задания на НИР «Разработка технологии использования сочетанной трансплантации мультипотентных мезенхимальных стромальных клеток и звездчатых клеток печени для активации регенерации печени в условиях ее повреждения».
Конфликт интересов. Авторы заявляют об отсутствии конфликта интересов.
About the authors
A. Yu. Maksimova
Ural State Medical University
Email: vlad-bazarny@yandex.ru
junior researcher, Central Scientific Research Laboratory
Russian Federation, EkaterinburgI. E. Valamina
Ural State Medical University
Email: vlad-bazarny@yandex.ru
Candidate of Medical Sciences, Associate Professor, Department of Pathological Anatomy and Forensic Medicine
Russian Federation, EkaterinburgL. G. Polushina
Ural State Medical University
Email: vlad-bazarny@yandex.ru
Candidate of Medical Sciences, senior researcher, Central Scientific Research Laboratory
Russian Federation, EkaterinburgS. V. Tsvirenko
Ural State Medical University
Email: vlad-bazarny@yandex.ru
MD, PhD, Professor, Head of Department of Clinical Laboratory Diagnostics and Bacteriology
Russian Federation, EkaterinburgV. V. Bazarnyi
Ural State Medical University
Author for correspondence.
Email: vlad-bazarny@yandex.ru
MD, PhD, Professor, head researcher, Central Scientific Research Laboratory
Russian Federation, EkaterinburgReferences
- Forbes S.J., Newsome P.N. Liver regeneration – mechanisms and models to clinical application. Nat Rev Gastroenterol Hepatol 2016; 13 (8): 473-485.
- Gilgenkrantz H., Collin de l'Hortet A. Understanding Liver Regeneration: From Mechanisms to Regenerative Medicine. Am J Pathol 2018; 188 (6): 1316-1327.
- Michalopoulos G.K., Bhushan B. Liver regeneration: biological and pathological mechanisms and implications. Nat Rev Gastroenterol Hepatol 2021; 18 (1): 40-55.
- Bazarnyi V.V., Maklakova I.Y., Grebnev D.Y., Uгsupova V.C., Petrunina E.M. On the issue of cellular regulation of liver regeneration. Vestnik Ural'skoj medicinskoj akademicheskoj nauki 2019; 16 (3): 357-364 (in Russian)
- Maklakova I.Y., Cvirenko S.V., Bazarnyi V.V., Grebnev D.Y. Effect of combined transplantation of multipotent mesenchymal stromal cells and hepatic stellate cells on the morphofunctional state of the liver after administration of CCL4. Patologicheskaya fiziologiya i eksperimental'naya terapiya 2021; 65 (3): 48-55 (in Russian)
- Blinkova N.B., Sazonov S.V., Leont'ev S.L. Poliploidiya gepatocitov v regeneracii pecheni pri hronicheskom gepatite u pacientov iz raznyh vozrastnyh grupp. Ekaterinburg 2017; 115 (in Russian).
- De la Riva G.A., López Mendoza F.J., Agüero-Chapin G. Known Hepatoprotectors Act as Antioxidants and Immune Stimulators in Stressed Mice: Perspectives in Animal Health Care. Curr Pharm Des 2018; 24 (40): 4825-4837.
- Ivashkin V.T. Racional'naya farmakoterapiya zabolevanij organov pishchevareniya: rukovodstvo dlya praktikuyushchih vrachej. Moscow: Literra 2003; 552 (in Russian).
- Okovityj S.V. Kombinirovannoe primenenie gepatoprotektorov. Lechashchij vrach 2020; 8: 38-43 (in Russian).
- Cheng K.K., Wang G.Y., Zeng J., Zhang J.A. Improved succinate production by metabolic engineering. Biomed Res Int 2013; 2013: 538790.
- Cho E.H. Succinate as a Regulator of Hepatic Stellate Cells in Liver Fibrosis. Front Endocrinol (Lausanne) 2018; 21 (9): 455.
- Mitchell C., Willenbring H. A reproducible and well-tolerated method for 2/3 partial hepatectomy in mice. Nat Protoc 2008; 3 (7): 1167-1170.
- Bazhenova E.D., Sokolova D.L., Teplyj D.L. Vliyanie citoflavina na processy apoptoza nejronov kory golovnogo mozga u myshej na modeli fiziologicheskogo i patologicheskogo stareniya. Arhiv patologii 2019; 81 (4): 59-65 (in Russian).
Supplementary files




