Effect of comorbid pathology on the outcome of gastric cancer with Krukenberg metastases in a patient of reproductive age: clinical case
- Authors: Shevlyukova T.P.1, Chernaya V.A.2, Keln A.A.3,2, Shvedsky M.S.3, Shageeva M.R.3
-
Affiliations:
- Многопрофильный клинический медицинский центр «Медицинский город»
- Medical Center "Medical City"
- Tyumen State Medical University
- Issue: Vol 39, No 6 (2022)
- Pages: 118-124
- Section: Clinical case
- Submitted: 06.01.2023
- Accepted: 06.01.2023
- Published: 06.01.2023
- URL: https://permmedjournal.ru/PMJ/article/view/121052
- DOI: https://doi.org/10.17816/pmj396118-124
- ID: 121052
Cite item
Full Text
Abstract
Objective. To determine the features of the influence of comorbid pathology on the outcome of metastatic gastric cancer in a patient of reproductive age.
Materials and methods. A prospective analysis of a clinical case was carried out on the basis of the Department of Antitumor Drug Therapy № 1 of the Medical Center "Medical City", Tyumen.
Results. The patient’s case, taking into account the data of instrumental examinations, objective examination, general condition of 40 % on the Karnofsky Scale, ECOG-3 (Eastern Cooperative Oncology Group), diagnosis, morphology and complications, was diagnosed as incurable; special methods of antitumor treatment were not indicated. In the current clinical situation, there was used the post-syndrome therapy, prolongation of antiretroviral therapy, examination for searching an infectious agent in the liquor and blood.
Conclusions. Treatment of stage IV gastric cancer is aimed at prolonging the patient's life and improving its quality, stabilizing the disease; its goal is to achieve the same result in terms of quality of life and overall survival as in HIV-negative patients.
Full Text
Введение
Рак желудка (РЖ) является одной из ведущих причин смерти от злокачественных новообразований в мире [1]. Ежегодно в РФ регистрируют около 36 тыс. новых случаев РЖ и более 34 тыс. больных умирает от этого заболевания. Мужчины заболевают в 1,3 раза чаще (4-е место в структуре онкологической заболеваемости – 9,4 %) женщин (5-е место – 6,2 %). Стандартизованные показатели заболеваемости РЖ в мире в зависимости от пола составляют среди мужчин 22 случая, среди женщин 10 случаев на 100 тыс. человек в год. Пик заболеваемости приходится на возраст старше 50 лет. Выявляемость РЖ в запущенных стадиях остается высокой (IV стадия) – 40,4 %.
Установлено, что злокачественные новообразования (ЗНО) являются причиной смерти у 33 % пациентов [2], а ВИЧ-инфицированные лица имеют более высокий риск заболеть и умереть от ЗНО [3]. Причины развития ЗНО многообразны и включают общее увеличение продолжительности жизни, потерю иммунного ответа на онкогенные инфекции из-за связанных с ВИЧ-инфекцией иммуносупрессией и сопутствующими парентеральными инфекциями – гепатитами В и С. По данным исследования [3], частота выявления HBsAg у больных солидными ЗНО приблизительно в 3 раза превышала аналогичный показатель у здорового населения [4]. В настоящее время ожидаемая продолжительность жизни ВИЧ-инфицированных пациентов на фоне своевременно начатой комбинированной антиретровирусной терапии (АРТ) приближается к общепопуляционным показателям. Однако более 40 % этих пациентов не знают своего ВИЧ-статуса, что приводит к позднему началу АРТ и высокой летальности [1].
Исследование аутопсии больных с синдромом приобретенного иммунного дефицита (СПИД) выявило в 79 % случаев патологию желудочно-кишечного тракта (ЖКТ) [4]. Степень иммуносупрессии оказывает глубокое негативное влияние на частоту и исход ЗНО, независимо от того, имеется ли ассоциация опухолевого процесса с ВИЧ-инфекцией или нет [5]. Данный факт был продемонстрирован в большом метаанализе, где сравнивалось более 440 тыс. ВИЧ-позитивных лиц с пациентами, перенесшими трансплантацию органов [6]. В обеих группах отмечена высокая заболеваемость ЗНО, особенно РЖ и раком печени, в связи с развитием иммунодефицита [7]. К тому же РЖ имеет распространенную форму болезни из-за факторов риска, таких как курение табака, злоупотребление алкоголем [8].
Больные РЖ и ВИЧ имеют неблагоприятный прогноз, главным образом из-за поздней диагностики, агрессивного течения и ограниченных терапевтических возможностей из-за ВИЧ-инфекции [9]. Поскольку существует значительная этиологическая гетерогенность для этого вида ЗНО, необходимо оценивать риск прогрессирования в соответствии с конкретными гистологическими или анатомическими подтипами РЖ. Это характеризуется тем, что некоторые виды плоскоклеточного РЖ чаще диагностируются у ВИЧ-инфицированных, по сравнению с аденокарциномами. Стандартные виды терапии РЖ являются единственным вариантом лечения ВИЧ-инфицированных пациентов.
Самой частой локализацией отдаленных метастазов при РЖ являются брюшина и большой сальник. Метастатическое поражение брюшной полости при РЖ составляет 55–60 % [10]. Перитонеальная диссеминация является самым распространенным и клинически важным проявлением, что приводит плохому прогнозу [11]. При РЖ у 70 % пациентов имеются метастазы Крукенберга перстневидно-клеточной аденокарциномы, что составляет 2 % от всех случаев рака яичников. По данным исследования [12], пациенты с поражением брюшины, асцитом, повышенным уровнем карциноэмбрионального антигена (CEA) представляют собой прогностически неблагоприятную группу. Оценка таких факторов может быть учтена в прогнозе стратификации риска. Метастатические формы РЖ предопределяют неблагоприятный прогноз, а уровень выживаемости больных метастатическим РЖ не превышает в среднем 3–4 месяца, при метастазе Крукенберга – 1,5 года [13]. Паллиативная хирургия должна быть рассмотрена для всех пациентов с симптоматическим заболеванием после тщательной оценки соотношения риска и пользы [13].
Материалы и методы исследования
Проведен анализ клинического случая пациентки, поступившей на лечение в отделение противоопухолевой лекарственной терапии № 1 ГАУЗ ТО МКМЦ «Медицинский город» г. Тюмень.
Клинический случай
Пациентка Г., 44 года, обратилась на прием ГАУЗ ТО «МКМЦ “Медицинский город”», с жалобами на постоянные боли в верхних отделах живота в течение двух месяцев, предшествующие приему пищи. По нумерологической оценочной шкале (НОШ) – 3–5 баллов, а также слабость, тошноту, потерю веса на 5 кг за 1,5 месяца. Обезболивающие препараты принимала ситуационно, использовала нестероидные противовоспалительные средства (НПВС), спазмолитики – с недостаточным эффектом.
Из анамнеза жизни: стаж курения – 20 лет, поверхностный гастрит, язва желудка, дуоденит (получала рабепразол и ребамипид). Впервые выявленная ВИЧ-инфекция, в связи с чем сразу начала получать антиретровирусную терапию – гептавир 150 мг, 2 таблетки, тивикай 50 мг, одна таблетка. Гинекологический анамнез представлен одной беременностью с родоразрешением путем кесарева сечения. Менструальный цикл нерегулярный.
При обследовании на амбулаторном этапе проведена эзофагогастродуоденоскопия (ЭГДС). Выявлена язва свода желудка до 3 см в диаметре, глубиной до 5–7 мм, дно покрыто фибрином, сосудистый рисунок отсутствует. Во время исследования выполнена биопсия. При гистологическом исследовании диагностирована низкодифференцированая тубулярная аденокарцинома желудка с изъязвлением по поверхности высокой степени дифференцировки.
По данным ультразвукового исследования (УЗИ) органов брюшной полости – диффузное изменение поджелудочной железы с кальцинатами. УЗИ шейных лимфоузлов – гиперплазия слева. По лабораторным данным биомаркеров: РЭА – 6,51 нг/мл (нормальные значения от 0 до 5), АФП – 1,9 нг/мл (нормальные значения от 0 до 7,2), СА19-9 – 178 нг/мл (нормальные значения от 0 до 34).
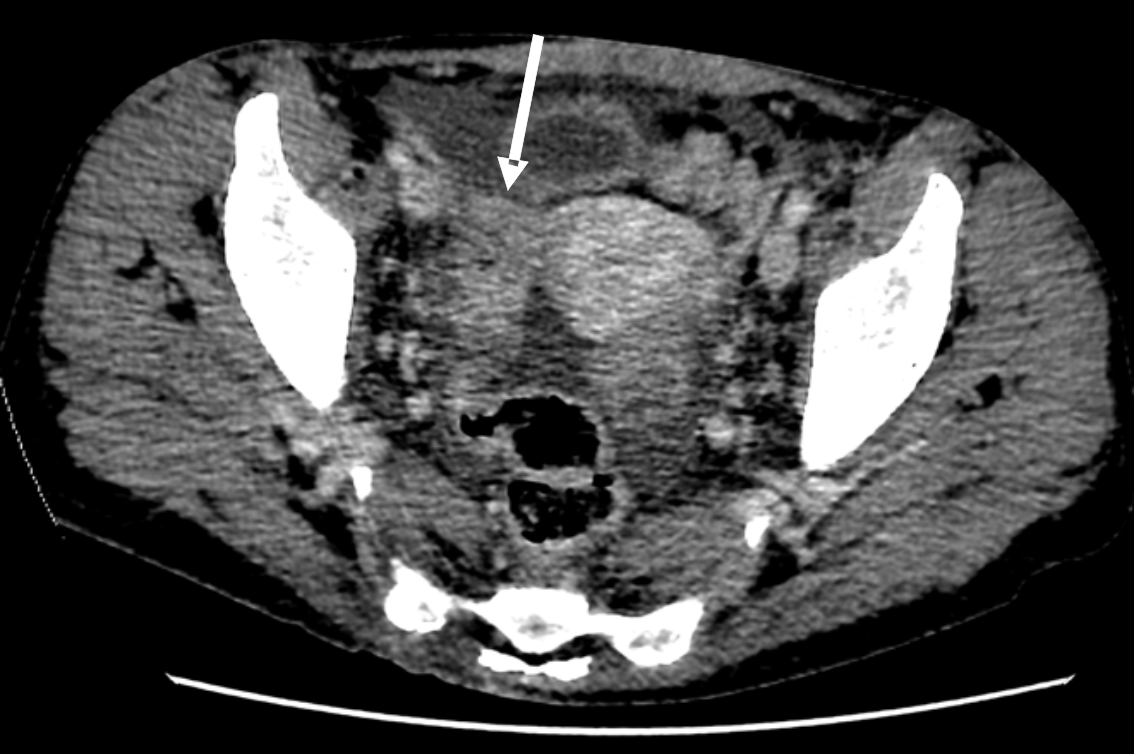
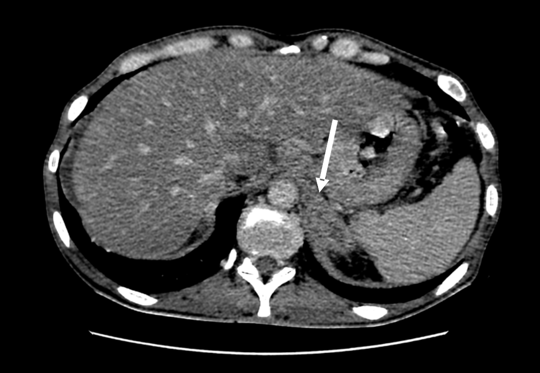
По данным компьютерной томографии (КТ) органов грудной клетки выявлены увеличенные до 16 мм лимфатические узлы метастатического характера. На КТ органов брюшной полости обнаружены образования по малой кривизне желудка (стенка неравномерно утолщена) и множественные вторично измененные лимфоузлы (парагастрально, в забрюшинном пространстве и брюшной полости), а также образование левого надпочечника до 36 мм по короткой оси (рис. 1), вторичного характера, в малом тазу определяется жидкость, метастаз в яичники (рис. 2), асцит, лимфаденопатия, жировой гепатоз. При выполнении магнитно-резонансной томографии (МРТ) выявлена картина единичных очагов сосудистого генеза белого вещества больших полушарий головного мозга, структурная неоднородность гипофиза в левых отделах.
Риc. 1. КТ органов брюшной полости. Метастаз в левый надпочечник (указан стрелкой)
Рис. 2. КТ органов полости малого таза. Опухоль Крукенберга справа (указан стрелкой)
При объективном осмотре состояние тяжелое, обусловленное распространенностью опухоли желудка и осложненное синдромом эндогенной интоксикации, нутритивной недостаточностью, водно-электролитными нарушениями, ненапряженным асцитом, ВИЧ-инфекцией, гепатоспленомегалией (4–5 см ниже реберного края, край плотный). Неврологическая картина соответствовала параличу Белла, невропатии лицевого нерва справа, выраженному парезу лицевой мускулатуры, что является проявлением герпес-инфекции, ассоциированной с ВИЧ-инфекцией. Выраженный неврологический дефицит и психические расстройства обусловлены ВИЧ-ассоциированной энцефалопатией и высокой вирусной нагрузкой (340 коп/мл). Имеется вторичная инфекция в виде кандидоза полости рта и пищевода. В связи с некорректным уровнем CD4 (Cluster of Differentiation 4), которое не соответствует степени тяжести состояния и не коррелируется с распространенным кандидозом пищевода, было решено провести повторный забор крови на ВИЧ-инфекцию.
В связи с тяжестью заболевания пациентка была направлена в отделение противоопухолевой лекарственной терапии № 1 для оказания паллиативной помощи с диагнозом: рак желудка неуточненной локализации, хронический болевой синдром (ХБС) 2-й степени, метастазы в регионарные лимфоузлы, лимфоузлы средостения, левый надпочечник, яичники, канцероматоз брюшной полости и малого таза, асцит, сТхNхM1, 4-я стадия, клиническая группа 4. Гистологический тип – аденокарцинома без дальнейших уточнений (БДУ) (М8140/3). Синдром эндогенной интоксикации, водно-электролитные нарушения. Болезнь, вызванная ВИЧ с проявлениями кандидоза, в стадии вторичных проявлений 4В, стадия прогрессирования. Кандидоз пищевода, паралич Белла. Невропатия лицевого нерва. Выраженный паралич лицевой мускулатуры справа. Нейросенсорная потеря слуха неуточненная (тугоухость).
В первый день нахождения в отделении сохранялась тяжесть состояния, повышение температуры тела, в связи с чем было решено выполнить ПЦР тест на SARS-CoV-2, который в дальнейшем показал отрицательный результат. На момент пребывания в стационаре большую часть суток проводила в постели из-за слабости и болей с локализацией в верхних отделах живота, передвигалась с посторонней помощью, заторможена, периодически ажитирована, разговаривала сама с собой, дезориентирована в месте и пространстве, критика к тяжести заболевания отсутствовала.
По результатам врачебного консилиума, учитывая данные инструментальных обследований, объективного осмотра, общего состояния по шкале Карновского 40 %, ECOG-3 (Eastern Cooperative Oncology Group), диагноза, морфологии и осложнений, – случай признан инкурабельным, специальные методы противоопухолевого лечения не показаны. В сложившейся клинической ситуации выполнялась посиндромная терапия (дексаметазон, цитофлавин, церебролизин, мильгама, флукорус, гепаретта, фриостерин, омал, парацетамол, метоклопрамид, хлоргексидин), в том числе адекватное обезболивание (кетопрофен, трамадол), продолжение антиретровирусной терапии (гептавир, тивикай), дообследование на предмет поиска инфекционного агента в ликворе и крови. В связи с тяжестью состояния была переведена в отделение реанимации и интенсивной терапии (ОРИТ). После выписки из стационара скончалась от осложнений ВИЧ-инфекции со стороны центральной нервной системы.
Выводы
Учитывая тяжесть заболевания, первоочередной задачей у пациентов с распространёнными формами рака желудка и значимой коморбидной патологией является симптоматическая терапия неврологического дефицита и антиретровирусная терапия заболевания с паллиативной целью. В связи с этим необходим мультидисциплинарный подход совместно специалистов по онкологии, инфекционным заболеваниям, гепатологов, гастроэнтерологов и неврологов, что имеет решающее значение для обеспечения оптимальной тактики ведения пациентов с таким диагнозом. На сегодняшний день приоритет лечения пациентов с IV стадией рака желудка заключается в продлении и улучшении качества жизни, стабилизации злокачественного процесса.
Финансирование. Исследование не имело спонсорской поддержки.
Конфликт интересов. Авторы заявляют об отсутствии конфликта интересов.
Вклад авторов равноценен.
About the authors
T. P. Shevlyukova
Многопрофильный клинический медицинский центр «Медицинский город»
Author for correspondence.
Email: tata21.01@mail.ru
ORCID iD: 0000-0002-7019-6630
MD, PhD, Professor, Department of Obstetrics and Gynecology of the Institute of Motherhood and Childhood
Russian Federation, ТюменьV. A. Chernaya
Medical Center "Medical City"
Email: tata21.01@mail.ru
ORCID iD: 0000-0003-0741-7282
Oncologist
Russian Federation, TyumenA. A. Keln
Tyumen State Medical University; Medical Center "Medical City"
Email: tata21.01@mail.ru
ORCID iD: 0000-0002-5071-0604
Candidate of Medical Sciences, Associate Professor, Department of Oncology, Radiology and Radiotherapy of the Institute of Clinical Medicine
Russian Federation, Tyumen; TyumenM. S. Shvedsky
Tyumen State Medical University
Email: tata21.01@mail.ru
ORCID iD: 0000-0002-8854-2773
sixth-year student of the Institute of Clinical Medicine
Russian Federation, TyumenM. R. Shageeva
Tyumen State Medical University
Email: tata21.01@mail.ru
ORCID iD: 0000-0003-4191-2359
sixth-year student of the Institute of Clinical Medicine
Russian Federation, TyumenReferences
- Kit O.I., Samoylenko N.S., Franzyants E.M. Stomach cancer: modern directions of fundamental research. Modern Problems of Science and education 2019; 4: 136 (in Russian).
- Ehren K., Hertenstein C., Kümmerle T. Causes of death in HIV-infected patients from the Cologne-Bonn-Cohort. Infection 2014; 42: 135–140.
- Rohner E., Wyss N., Heg Z. HIV and human herpesvirus 8 co-infection across the globe: systematic review and meta-analysis. Int J Cancer 2016; 138: 45–54.
- Gorbunova V.A., Giyasbeyli S.R., Dadasheva A.E., Mammadov M.K. The frequency of detection of HBsAg in patients with breast, lung and stomach cancer. The World of Viral Hepatitis 2004; 1: 10–11 (in Russian).
- Gotti D., Raffetti E., Albini L. Survival in HIV-infected patients after a cancer diagnosis in the cART era: Results of an Italian Multicenter Study. PLoS One 2014; 9: 124–132.
- Coghill A.E., Shiels M.S., Suneja G., Engels E.A. Elevated cancer-specific mortality among HIV-infected patients in the United States. J Clin Oncol 2015; 33: 2376–2383.
- Podymova A.S., Rassokhin V.V. HIV and oncology. HIV infection and immunosuppression 2017; 2: 100–103 (in Russian).
- Nekrasova A.V. Malignant neoplasms in HIV-infected patients. Malignant tumors 2016; 4: 20 (in Russian).
- Bulatova I.A., Shevlyukova T.P., Shchekotova A.P., Krivtsov A.V. The presence of CAT genetic markers indicates an accelerated rate of progression of liver fibrosis in patients with chronic hepatitis. Experimental and Clinical Gastroenterology 2021; 189: 39–43 (in Russian).
- Bulatova I.A., Shevlyukova T.P., Shchekotova A.P., Krivtsov A.V. Genetic profile of patients with chronic hepatitis C. Pathological Physiology and Experimental Therapy 2022; 66: 35–43 (in Russian).
- Tajibov S.N., Polikarpova S.B., Kochoyan T.M., Kolerev A.S., Kerimov R.A., Berishvili A.I. Metastases of gastric cancer in the ovaries. Survival and prognostic factors. Tumors of the female reproductive system 2016; 4: 57–62 (in Russian).
- Zykova T.A. Some medical and statistical indicators of the prevalence of HIV infection among cancer patients. Malignant tumors 2017; 1: 170 (in Russian).
- Semashko O.G. HIV infection and the risk of developing malignant tumors. New Science: Strategies and Vectors of Development 2016; 3: 58 (in Russian).
Supplementary files



