Этапное лечение больного с огнестрельным ранением голени из ружья с дефектом кости и мягких тканей в условиях остеомиелита
- Авторы: Белокрылов Н.М.1,2, Белокрылов А.Н.2, Антонов Д.В.1,2, Щепалов А.В.2
-
Учреждения:
- Пермский государственный медицинский университет им. академика Е.А. Вагнера Минздрава России
- Краевая детская клиническая больница
- Выпуск: Том 36, № 6 (2019)
- Страницы: 95-101
- Раздел: Случай из практики
- Статья получена: 30.01.2020
- Статья одобрена: 30.01.2020
- Статья опубликована: 30.01.2020
- URL: https://permmedjournal.ru/PMJ/article/view/19254
- DOI: https://doi.org/10.17816/pmj36695-101
- ID: 19254
Цитировать
Полный текст
Аннотация
Рассмотрен случай тяжелого огнестрельного ранения голени у подростка 16 лет в результате выстрела из ружья с небольшого расстояния. У пострадавшего выявлены оскольчатый перелом большеберцовой кости, повреждение передней большеберцовой артерии, дефект мягких тканей в области ранения. При поступлении проведены хирургическая обработка раны и фиксация отломков в карбоновом стержневом аппарате наружной чрескостной фиксации. У больного развился остеомиелит. Через 10 дней выполнен реостеосинтез. Проведен первый этап билокального остеосинтеза правой голени, удалены некротизированные мягкие ткани и костные отломки, детрит, купирован начальный гнойный процесс. В возникший в процессе хирургической обработки дефект кости величиной до 5 см начата дистракция дистального фрагмента большеберцовой кости, полученного в результате ее кортикотомии в нижней трети. Через 28 дней выполнены открытое сопоставление отломков большеберцовой кости в верхней трети и перемонтаж аппарата Илизарова. Место стыка отломков закрыто несвободным кожным лоскутом на ножке размерами 4 ´ 6 см, ложе трансплантата закрыто полнослойным кожным лоскутом по Парину. Дальнейшая консолидация отломков достигнута одновременно с созреванием костного регенерата. Общий срок фиксации в аппарате Илизарова 8 месяцев. Восстановлена целостность кости и мягких тканей, достигнута полноценная функция нижней конечности и смежных суставов. Аппарат Илизарова незаменим в многоэтапном лечении огнестрельных переломов и допускает динамическую коррекцию в изменяющихся условиях, позволяет сохранить конечность и ее функциональные возможности.
Полный текст
ВВЕДЕНИЕ
Актуальность лечения огнестрельных повреждений не теряет своего значения [1, 4, 5, 9, 11, 14]. Подобные раны приводят к образованию дефектов костной ткани, кожи, мышечно-сухожильных и фасциальных образований, что усложняет задачи восстановления целостности поврежденных конечностей [5, 7, 8, 10]. Нередко это приводит к ампутации конечности, развитию остеомиелита, отдаленных осложнений в виде несращения переломов и образования ложных суставов и длительно не заживающих ран [8, 9, 11, 14]. При купировании инфекции некоторые авторы применяют замещение дефектов кости с помощью свободных кровоснабжаемых костных аутотрансплантатов, остеосинтез интрамедуллярными стержнями, что неприменимо в условиях остеомиелита, инфицирования раны [3, 13]. Большинство авторов описывает повреждение длинных костей бедра и плеча, где мышечное костное покрытие более массивное, чем на голени, и представляет собой лучшую защиту кости по периферии [2, 5, 15, 16]. В лечении голени приходится учитывать обстоятельства такой анатомической особенности, о чем сообщают многие исследователи [7–9, 11]. При лечении огнестрельных переломов признанным методом является использование аппаратов наружной чрескостной фиксации. Наиболее распространенным и полифункциональным является аппарат Г.В. Илизарова, который можно использовать не только для временной фиксации, но и для восстановления целости обширных дефектов кости и мягких тканей в динамике при различных клинических ситуациях [2, 4, 6, 8, 9, 12]. В доступной литературе мы не встретили подробных описаний лечения огнестрельных ружейных ран в детском возрасте в условиях тяжелого остеомиелита, а также вариантов замещения дефектов проксимального отдела большеберцовой кости за счет дистального фрагмента голени. В широкой практике свежие переломы часто лечат не в центральных клиниках, и вопрос о восстановлении целостности конечности не ставится из-за ранних тяжелых осложнений. В краевом отделении детской травматологии и ортопедии лечились дети с взрывными и огнестрельными переломами. Эти случаи среди лиц в детском возрасте, к счастью, единичные. Но каждое из таких несчастий требует нетривиального подхода, многоэтапного лечения с применением аппарата академика Г.А. Илизарова, который становится незаменим в динамическом решении лечебных задач. Один из таких примеров мы хотели бы представить вашему вниманию.
Цель сообщения – подробно обосновать и продемонстрировать особенности этапов билокального остеомиелита при огнестрельном ранении голени. Задачи: обосновать необходимость закрытия полнослойным кожным лоскутом на ножке места контакта отломков для успешного сращения, описать детали техники билокального остеосинтеза в условиях остеомиелита, показать возможность замещения большеберцовой кости за счет большого дистального фрагмента при тракции в проксимальном направлении.
МАТЕРИАЛЫ И МЕТОДЫ ИССЛЕДОВАНИЯ
В обследовании больного применяли клинико-рентгенологические методы, ультрасонографию, интраоперационную визуализацию с помощью электронно-оптического преобразователя.
Больной В., 16 лет. Переведен из лечебного учреждения по месту жительства через 10 дней после травмы. Получил огнестрельное ранение из ружья с расстояния около 1,5 м. В момент травмы сидел, высоко закинув правую согнутую в коленном суставе ногу на левый коленный сустав. Это привело к ранению правой голени в верхней трети с продолжающимся ударом пули о внутреннюю часть левого бедра в области надмыщелка, далее потерявшая кинетическую энергию пуля ушла кверху по внутренней части бедренной кости вверх почти до ягодичной складки. Выполнена первичная обработка раны с первичной фиксацией перелома в карбоновом стержневом аппарате. При ревизии раны выявлено повреждение передней большеберцовой артерии (рис. 1). В стационаре по месту жительства проведена экономная первичная хирургическая обработка раны. Визуально при поступлении определяемые размеры повреждения кожи были внешне небольшими. Однако через 12 дней после перевода в краевую детскую больницу размеры дефекта с некрозом кожи и подлежащих тканей достигли 4 ´ 5 см. После снятия швов с раны выявлены множественные свободные отломки без адаптации, канал дистального отломка загрязнен некротическими тканями. Между отломками – участок дефекта. Выявлены очаги некроза мягких тканей, сгустки крови, участки размозжения тканей, детрит как следствие дистрофических процессов от ранения. При ревизии оказалось, что передняя большеберцовая артерия повреждена на протяжении с образованием большого дефекта. Все свободные отломки, некротизированные участки тканей и гнойное отделяемое удалены. Сформировался свищевой ход, уходящий в икроножную мышцу. Жизнеспособность ушибленных участков кости с явлениями некроза, отсутствием кровоснабжения расценена как сомнительная для хорошей адаптации и сращения, велика угроза дальнейшего развития остеомиелита.
Рис. 1. Рентгенограммы больного В., 16 лет, при поступлении. Оскольчатый перелом большеберцовой кости в верхней трети, загрязнение огнестрельной раны. Отломки зафиксированы в стержневом карбоновом аппарате
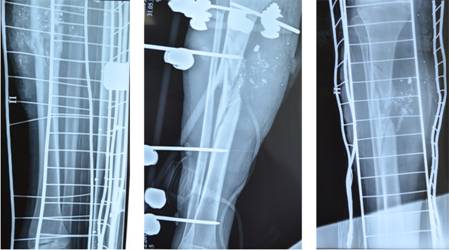
Решено создать костный дефект в пределах жизнеспособных тканей с целью последующего замещения. С помощью осциллирующей пилы отломки адаптированы по форме за счет косопоперечного опила. Образовался острый дефект размерами около 5 см длиной. Часть пристеночного отломка большеберцовой кости на надкостнице оставлена с латеральной стороны, через проксимальный отдел дистального отломка проведены четыре спицы-вожжи, одна из них – спица Киршнера, загнутая крючком с фиксацией за край компактной кости, остальные с напаем. Для лучшей адаптации и возможного ограниченного применения следующего этапа перемонтажа спицы-вожжи проведены одновременно через дистальный отломок, дефект и проксимальный отломок для обеспечения восстановления соосности в процессе дистракции кости в дефект. Проведена кортикотомия дистального отломка в метадиафизарной дистальной области на удлинение. Для проведения кортикотомии использован следующий прием: временно установлено кольцо с поперечно проведенной спицей в нижней трети большеберцовой кости, после состоявшейся кортикотомии спица и кольцо удалены, проксимальный и дистальный сегменты окончательно соединены тремя телескопическими стержнями. Концы выведенных над кожей спиц-вожжей закреплены в тракционных устройствах. Стопа находилась в эквинусном положении без возможности активной тыльной флексии, поэтому дополнительно фиксирована в аппарате. Трубчатый дренаж – в основном по заднему краю раны и части свищевого хода. Вторым доступом длиной 4 см в положении на животе под контролем электронно-оптического преобразователя в верхней трети по задней поверхности левого бедра удален свинцовый пулевой фрагмент в виде скрученной пластины неправильной конической формы длиной около 1 см, максимальный размер поперечника 0,7 см. Начата дистракция с целью замещения дефекта большеберцовой кости (рис. 2).
Рис. 2. Рентгенограммы после первого этапа замещения дефекта кости и в процессе дальнейшей дистрации отломка большеберцовой кости с помощью спиц-вожжей
Рис. 3. Созревание регенерата в нижней трети большеберцовой кости, в верхней трети – консолидация отломков (а). Вид ноги в аппарате в процессе фиксации (б)
Через 28 дней проведен второй этап билокального остеосинтеза. Демонтирована подсистема на стопе. Одновременно с хирургической обработкой правой голени проведен перемонтаж аппарата Г.А. Илизарова. В процессе обработки раны удалены участки сухого некроза. Для закрытия места стыка отломков при открытом их сопоставлении проведена ротационная комбинированная пластика правой голени, чтобы обеспечить возможность полноценной консолидации. Использован несвободный ротационный лоскут размерами 4 ´ 6 см с дистальным основанием, само же ложе образовавшегося дефекта кожи замещено свободным лоскутом по Парину, взятым по внутренней поверхности этого же бедра. При ревизии раны выявлено, что раневой канал уходил на задневнутреннюю поверхность голени в толщу медиальной головки икроножной мышцы с образованием большой полости, распространяющейся дистально. Некротизированные и лизированные ткани удалены. Сопоставленные отломки большеберцовой кости фиксированы спицами, проведенными в поперечном направлении и закрепленными в кольцах аппарата Илизарова в режиме легкой компрессии. Процесс консолидации отломков в месте огнестрельного дефекта кости совпал по времени со сроками созревания костного регенерата в нижней трети большеберцовой кости (рис. 3).
Общий срок фиксации в аппарате составил 8 месяцев. Достигнуты полная консолидация отломков большеберцовой кости и хорошая функция нижней конечности. Восстановлена тыльная флексия стопы, амплитуда движений в голеностопном и коленном суставах сохранена (рис. 4).
Рис. 4. Результаты лечения. Консолидация и формирование полноценной костной ткани на месте формирования костного регенерата, функция смежных суставов сохранена
ВЫВОДЫ
Таким образом, при огнестрельном переломе аппараты для внеочаговой чрескостной фиксации являются методом выбора. Билокальный многоэтапный остеосинтез оптимально можно выполнить путем применения аппарата Г.А. Илизарова, что допускает контроль ситуации в динамике лечения. Вопрос сохранения конечности может быть положительно решен именно с помощью данной методики, что актуально при значительных дефектах кости и мягких тканей, в особо сложных условиях, при огнестрельном остеомиелите, критическом кровоснабжении конечности. Замещение дефекта кости проходит стандартно при перемещении дистального фрагмента большеберцовой кости в проксимальном направлении после кортикотомии, место стыка при открытом сопоставлении отломков требует закрытия полнослойным кожным лоскутом для обеспечения полноценной консолидации. При правильном использовании метода билокального остеосинтеза на протяжении большеберцовой кости есть возможность практически полного восстановления функции смежных суставов даже в условиях огнестрельного остеомиелита.
Об авторах
Николай Михайлович Белокрылов
Пермский государственный медицинский университет им. академика Е.А. Вагнера Минздрава России; Краевая детская клиническая больница
Автор, ответственный за переписку.
Email: belokrylov1958@mail.ru
доктор медицинских наук, член A.S.A.M.I., доцент кафедры детской хирургии Пермского государственного медицинского университета им. академика Е.А. Вагнера, профессор кафедры спортивных дисциплин и адаптивной физической культуры ПГГПУ, главный внештатный детский травматолог-ортопед министерства здравоохранения Пермского края, врач высшей категории, заведующий отделением детской травматологии и ортопедии ГБУЗ ПК «Краевая детская клиническая больница»
Россия, г. ПермьАлексей Николаевич Белокрылов
Краевая детская клиническая больница
Email: leksab@mail.ru
кандидат медицинских наук, врач высшей категории, ординатор отделения травматологии и ортопедии
Россия, г. ПермьДмитрий Валерьевич Антонов
Пермский государственный медицинский университет им. академика Е.А. Вагнера Минздрава России; Краевая детская клиническая больница
Email: leksab@mail.ru
доктор медицинских наук, доцент кафедры детской хирургии
Россия, г. ПермьАлексей Васильевич Щепалов
Краевая детская клиническая больница
Email: leksab@mail.ru
врач травматолог-ортопед краевой поликлиники «КДКБ», врач-реабилитолог
Россия, г. ПермьСписок литературы
- Беслекоев У.С., Федосеев М.М., Анипченко А.Н. Восстановление дефектов длинных костей конечностей после огнестрельных остеомиелитов. Военно-медицинский журнал 2005; 6: 19–21.
- Девятова Т.А., Розова Л.B. Лечение методом чрескостного остеосинтеза больных с пострезекционными дефектами диафиза бедренной кости, осложненными хроническим посттравматическим остеомиелитом. Гений ортопедии 2000; 2: 22–24.
- Ефименко H.A., Рыбаков С.М., Грицюк A.A., Нелин Н.И. Пластика дефектов длинных трубчатых костей свободными кровоснабжаемыми костными аутотрансплантатами. Военно-медицинский журнал 2001; 12: 22–26.
- Ефименко H.A., Шаповалов В.М., Дудаев А.К. Оптимизация специализированного хирургического лечения раненых с огнестрельными переломами длинных костей конечностей. Военно-медицинский журнал 2004; 1: 37–41.
- Кавалерский Г.М. Особенности лечения открытых переломов голени с тяжелой травмой мягких тканей. Медицинская помощь 2006; 2: 23–26.
- Лечение открытых переломов костей конечности методом чрескостного остеосинтеза по Илизарову: клинические рекомендации. Курган: АТОР 2013; 28.
- Неверов В.А., Курбанов С.Х. Особенности хирургической тактики при изолированных огнестрельных ранениях голени в условиях мирного времени. Вестник хирургии 1998; 3: 38–40.
- Николенко В.К., Бабич М.И., Гри- цюк A.A. Лечение огнестрельных дефектов костей нижних конечностей. Вестник травматологии и ортопедии 2007; 2: 64–70.
- Ревской А.К., Люфинг A.A., Николенко В.К. Огнестрельные ранения конечностей. М.: Медицина 2007; 272.
- Хрупкин В.И., Зубрицкий В.Ф., Ивашкин А.Н., Артемьев A.A., Фоминых Е.М. Дерматопластика раневых дефектов. М.: ГЭОТАР-Медиа 2009; 192.
- Хрупкин В.И., Самохвалов И.М. Огнестрельные ранения как проблема современной хирургии повреждений. Вестник хирургии 1997; 5: 92–98.
- Шаповалов В.М., Хоминец B.B. Особенности применения внешнего и последовательного остеосинтеза у раненых с огнестрельными переломами длинных костей конечностей. Травматология и ортопедия России 2010; 1: 7–13.
- Cannada L.K., Jones T.R., Guerrero-Bejarano M. Retrograde intramedullary nailing of femoral diaphyseal fractures caused by low-velocity gunshots. Orthopedics 2009; 32 (3): 162.
- Dougherty P.J., Vaidya R., Silverton C.D. Joint and long-bone gunshot injuries. The Journal of Bone and Joint Surgery 2009; 91: 980997.
- Johnson E.C., Strauss E. Recent advances in the treatment of gunshot fractures of the humeral shaft. Clinical Orthopaedics and Related Research 2003; 408: 126–132.
- Kobbe P., Frink M., Oberbeck R. Treatment of a shotgun fracture of the humerus. Unfallchirurgie 2008; 111 (4): 256–259.
Дополнительные файлы







