Complicated clinical variants of mucoperiodontal lesions: desquamative gingivitis
- Authors: Gileva O.S.1, Libik T.V.1
-
Affiliations:
- E.A. Vagner Perm State Medical University
- Issue: Vol 40, No 1 (2023)
- Pages: 41-52
- Section: Original studies
- Submitted: 16.03.2023
- Accepted: 16.03.2023
- Published: 16.03.2023
- URL: https://permmedjournal.ru/PMJ/article/view/321402
- DOI: https://doi.org/10.17816/pmj40141-52
- ID: 321402
Cite item
Full Text
Abstract
Objective. To study the frequency, clinical and topographic features, risk factors for development, quality of primary diagnosis and treatment of desquamative gingivitis in patients with chronic pathology of the oral mucosa.
Materials and methods. A cohort cross-sectional clinical study with elements of sociological analysis of patients (n = 314; 99 males and 215 females aged 18 to 62 years), who visited the medical advisory center for oral mucosal diseases (OMD) was conducted. According to the results of clinical and laboratory studies, the diagnosis of the main oral mucosal disease was formulated, and patients with desquamative gingivitis were isolated into a separate group. Hygienic (OHI-S) and periodontal (PMA, BoP, PBI, CPITN) indices were evaluated, and impact of oral pathology on the patient’s quality of life using OHIP-49-RU index was assessed for objectification of periodontal status.
Results. High (17.8 %) incidence of desquamative gingivitis was found in patients with chronic oral mucosal diseases of predominantly autoimmune origin (lichen planus, pemphigus vulgaris, erythema multiforme, psoriasis). Desquamative gingivitis develops significantly more often (60.7 %) in women and affects the vestibular surfaces of the anterior-upper dentogingival segment, manifests clinically apparent edema, pain, hemorrhagic and sensory-paresthetic symptoms, which limit the functionality of the patient (chewing, speech, oral hygiene, social communication and professional realization), that significantly reduces the key parameters of patient’s quality of life.
Conclusions. The main reasons for chronization of desquamative gingivitis and low effectiveness of its treatment are the following: low level of polyclinic diagnostics, problems of differential diagnosis, the predominant use of irrational, pathogenetically unjustified means and methods of treatment, as well as the lack of interdisciplinary approaches to the planning of complex therapy.
Full Text
Введение
Диагностика и лечение мукопародонтальных поражений (МПП) полости рта (сочетанных поражений слизистой оболочки рта и десен) составляют проблемное поле современной стоматологии. Особый клинический вариант МПП – десквамативный гингивит (ДГ), относится к числу наиболее клинически манифестных, протекающих с интенсивным болевым, парестетическим и геморрагическим симптомами форм хронического гингивита (К05.1; К05.13), резистентного к стандартной противовоспалительной и антибактериальной терапии, проблемного в плане в дифференциальной диагностики, оказывающего негативное влияние на качество жизни (КЖ) стоматологического пациента [1–3].
В отличие от банального катарального воспаления десны, вызываемого микроорганизмами зубного налета, истинный ДГ этиологически не связан с микробной биопленкой, а обусловлен действием ряда общих и местных факторов риска. И, хотя этиология ДГ окончательно не выяснена, принято считать, что первично десквамативный процесс развивается в тканях десны чаще у пациентов с аутоиммунными кожно-слизистыми дерматозами (красный плоский лишай (КПЛ), вульгарная пузырчатка (ВП), пемфигоид, системная красная волчанка, псориаз, IgA-линейный дерматит и др.), может проявляться как контактная аллергическая реакция слизистой оболочки рта (СОР) на различные стоматологические материалы (пломбы из композитов или амальгамы; зубные протезы из кобальто-хромового сплава, акрилатов), средства гигиены полости рта (зубные пасты, ополаскиватели, жевательные резинки), содержащие корицу или перечную мяту, а также высокие (1,5–2,0 %) концентрации лаурилсульфата натрия, проявляющего раздражающее, десквамирующее действие на СОР и десну. Лекарственно-обусловленный генез ДГ связывают с приемом препаратов барбитуратов, НПВС, антибактериальных, противоэпилептических препаратов, бета-адреноблокаторов, ингибиторов АПФ, иммунодепрессантов, противоопухолевых средств [1; 4–7]. Особая форма ДГ – FGB (foreign bogy gingivitis) – гингивит может проявиться после проведения нерациональной «агрессивной» профессиональной гигиены полости рта (ГПР) с использованием высокоабразивных, в том числе полировочных материалов. ДГ рассматривают и как частый клинический симптом новой коронавирусной инфекции COVID-19 [8], а также диагностируют у больных саркоидозом, болезнью Крона, лейкемией [9].
Мультифакториальный генез, сложности диагностики и дифференциальной диагностики, низкая эффективность лечения, хронический, часто непрерывно рецидивирующий прогредиентный характер течения ДГ актуализируют теоретическую ценность и практическую значимость междисциплинарных исследований этого направления. Неслучайно, в последние годы проблема ранней диагностики и оптимального лечения ДГ объединяет профессиональные интересы врачей-стоматологов, дерматовенерологов, эндокринологов и иммунологов [1; 10].
Цель исследования – изучить частоту, клинико-топографические особенности, факторы риска развития, качество первичной диагностики и лечения десквамативного гингивита у пациентов с хронической патологией слизистой оболочки рта.
Материалы и методы исследования
Клинические исследования проведены на базе кафедры терапевтической стоматологии и пропедевтики стоматологических заболеваний (зав. кафедрой – д-р мед. наук, профессор О.С. Гилева) и стоматологической поликлиники клинического многопрофильного медицинского центра ПГМУ им. академика Е.А. Вагнера (главный врач – А.А. Хлебников). В исследовании на основе добровольного информированного согласия приняли участие 314 пациентов (99 мужчин и 215 женщин в возрасте от 18 до 62 лет), обратившихся за стоматологической помощью в лечебно-консультативный Центр по заболеваниям СОР (далее – Центр) в период с 2016 по 2021 г. Когортное поперечное клиническое исследование с элементами социологического анализа одобрено решением ЛЭК ПГМУ в рамках проводимых диссертационных работ по проблематике заболеваний СОР и пародонта.
Диагноз основного заболевания СОР формулировали по результатам клинико-лабораторных исследований, в соответствии с рекомендациями ВОЗ [11]. Для систематизации ДГ использовали международную стоматологическую классификацию болезней МКБ-10 для стоматологии и челюстно-лицевой хирургии (код К05.13 – десквамативный гингивит), выделяя, соответственно классификации I. Glickman [12], три степени (легкую, среднетяжелую и тяжелую) тяжести ДГ. Для легкой степени тяжести ДГ характерно наличие эритематозных пятен на фоне слегка отечной маргинальной/альвеолярной десны в области передневерхних зубодесневых сегментов. Фокусы гиперемии локализуются преимущественно на вестибулярных поверхностях десны и межзубных сосочках, тогда как язычные поверхности в процесс практически не вовлекаются. Жалобы на боль не характерны. Для средней степени тяжести ДГ типичны жалобы на боль и жжение в области десен, усиливающиеся при приеме пищи и чистке зубов. Пациентов беспокоит необычный вид слизистой десен, ее отечность (положительный симптом «ямки» при пальпации и зондировании). Эпителий десны фрагментарно десквамирован, легко отслаивается при легком надавливании, имитируя положительный симптом Никольского. При тяжелой – ДГ протекает с жалобами на сильную (спонтанную и индуцированную) боль в участках десневых поражений – пузырей, язв, зон десквамации, а также на затрудненный разговор, прием пищи и ГПР, раздражительность, повышенную возбудимость, расстройства сна, плаксивость и т.д. Появлению язв, пузырей, пятен на десне, как правило, предшествуют зуд и жжение. При пальпации слизистая десны отторгается с обнажением кровоточащего, резко болезненного участка; нередко при этом образуются небольшие (2–3 мм), легко вскрывающиеся с образованием язв пузыри. Эта форма ДГ требует особой дифференциации с многочисленными формами буллезных поражений СОР.
Клинико-топографические особенности ДГ определяли, исходя из преимущественной локализации зон десквамирования/эрозирования десны в 6 зубодесневых секстантах – 2 передних (верхний/нижний, в зоне улыбки) и 4 боковых (верхний правый/левый и нижний правый/левый). При вовлеченности в процесс десны в области 3 секстантов и более определяли генерализованную форму ДГ. Для дифференциальной диагностики ДГ и любой из форм хронического гингивита, ассоциированного с микробной биопленкой, проводили экспресс-тест на толерантность к традиционной антимикробной терапии [13].
При оценке пародонтологического статуса у пациентов с патологией СОР анализировали жалобы со стороны полости рта (на кровоточивость, боль, зуд, чувство напряжения, стянутости СОР, дискомфорта в области десен, изменение цвета, формы, рельефа поверхности десны, неприятный запах изо рта), выясняли их связь с приемом пищи, приемом медикаментов, использованием конкретных средств ГПР. Выясняли наличие общих жалоб (недомогание, субфебрильная температура, раздражительность, нарушения сна, беспокойство, канцерофобия и др.). Уточняли длительность и характер течения заболевания, эффективность назначаемого ранее по поводу заболевания СОР/ДГ стоматологического лечения, сопутствующих и перенесенных заболеваний, тщательно анализировали лекарственный анамнез, средства ГПР. Обращали внимание на глубину преддверия, уровень прикрепления уздечек губ, характер прикуса, дефекты зубных рядов, состояние и материал пломб и зубных протезов, их расположение в проекции элементов поражения. По показаниям проводили кожные контактные аллергопробы для выявления повышенной чувствительности к кобальту, хрому, никелю и другим материалам, входящим в сплавы. Оценивали цвет, контуры, рельеф, плотность, наличие патологических элементов (пятен, эрозий, язв, везикул, пузырей, участков десквамаций) на слизистой десны, а также их число, форму, характер группировки; наличие/отсутствие симптома Никольского, симптома «ямки» и др. Для оптимальной визуализации пораженных зон СОР и десны использовали возможности наведенной флюоресценции с помощью интраоральной камеры SoproLIFE (Light-Induced Fluorescence Evaluator), Acteon imaging (рис. 1).
Рис. 1. Внутриротовое обследование с помощью интраоральной камеры SoproLIFE (Acteon imaging). В диагностическом режиме световой флюоресценции голубым цветом четко контурируются линейные участки десквамации маргинальной части десны
Индексную оценку состояния пародонта проводили традиционно, по пародонтальным (PMA, PBI, BoP, CPITN) и гигиеническим (OHI-S) индексам и в сравнительном аспекте – у пациентов с подтвержденным диагнозом ДГ (основная группа, ОГ) и пациентов со среднетяжелым генерализованным катаральным гингивитом, ассоциированным с микробной биопленкой (группа сравнения – ГС).
Для оценки КЖ пациентов использована валидированная русскоязычная версия опросника «Профиль влияния стоматологического здоровья» OHIP-49-RU и авторская методика расчетов (рацпредложение № 2435 от 22.02.2008) [14].
Результаты обработаны методами вариационной статистики с расчетом t-критерия Стьюдента и показателя φ по Фишеру.
Результаты и их обсуждение
По данным специализированного лечебно-консультативного приема больных с патологией СОР, клинические проявления ДГ были выявлены у 56 (17,8 %) пациентов в возрасте от 22 до 58 лет, достоверно (p < 0,001) чаще (34; 60,7 %) у лиц женского пола. У большинства пациентов с проявлениями ДГ жалобы сводились к боли, жжению в области десен различной степени выраженности, сильному покраснению и повышенной, в том числе спонтанной, кровоточивости десен, затрудненному приему пищи, невозможности использования привычных средств ГПР, а также к связанным с этими проблемами нарушениями общего состояния (раздражительность, нарушение сна, депрессия). Практически каждый третий пациент (28,6 %) ссылался на возникающие в связи с поражением десневого комплекса трудности выполнения отдельных профессиональных задач (преподаватели, переводчики и др.). Большая часть пациентов (78,6 %) указывали на длительное транзиторно-ремиттирующее течение ДГ, при котором усиление или исчезновение симптомов ДГ было чаще обусловлено приемом различных пищевых продуктов, лекарственных препаратов, использованием отдельных средств ГПР.
Практически у всех пациентов ДГ характеризовался хроническим течением, причем 35,7 % регулярно обращались по поводу болезненного состояния десен к терапевту-стоматологу или пародонтологу, однако эффективность пародонтологического лечения (традиционная обезболивающая, антимикробная, эпителизирующая терапия) была низкой, продолжительность ремиссии не превышала 32,5 ± 4,2 дня. Ни у одного из пациентов с проявлениями ДГ на фоне хронической патологии СОР аутоиммунного генеза (КПЛ, пузырчатка и др.) не проводилась патогенетическая терапия с использованием высокоактивных топических стероидов или ингибиторов кальциневрина. Почти 2/3 обследованных пациентов обратились на прием с обострением ДГ после проведения санации полости рта, профессиональной гигиены, на начальных этапах зубного, в том числе имплантационного, протезирования, во время ортодонтического лечения. Все обратившиеся на лечебно-консультативный прием пациенты с проявлениями ДГ были направлены врачами-стоматологами стоматологических поликлиник, однако ни в одном из направлений не был сформулирован развернутый диагноз ДГ с указанием основных (местных и системных) факторов риска и плана проведенного лечения. Только у 19 (33,9 %) пациентов был правильно сформулирован диагноз основной клинической формы патологии СОР, включающей симптомы ДГ. По результатам анализа направлений на консультацию лишь в единичных случаях (4; 7,2 %) пациенты с проявлениями ДГ на фоне хронической патологии СОР получали направление на консультацию и лечение (по показаниям) к дерматовенерологам, иммунологам, ревматологам, инфекционистам.
У пациентов с выявленными симптомами ДГ было проведено комплексное стоматологическое обследование по ВОЗ с углубленной клинической оценкой состояния СОР, анализом данных дополнительных лабораторных, в том числе морфологических исследований, а также заключений врачей-дерматовенерологов. Установлено, что достоверно (p < 0,001) чаще (26; 46,6 % от общего числа пациентов с ДГ) десквамативный процесс манифестировал на десне у пациентов с красным плоским лишаем (L43.8), причем как моносимптом (в отсутствии любых кожно-слизистых элементов поражения) – у 15,4 %, как единственный симптом при наличии кожных поражений и слизистых иных локализаций – в 19,2 % случаев, и как часть симптомокомплекса оральных проявлений КПЛ – в 65,4 %. Наиболее часто ДГ проявлялся при эрозивно-язвенной, буллезной и экссудативно-гиперемической форме КПЛ СОР. У пациентов с типичной и гиперкератотической формой КПЛ СОР десквамативный гингивит не наблюдали.
Подавляющее большинство (17; 65,4 %) пациентов с проявлениями ДГ на фоне КПЛ жаловались на сильную боль, жжение, сухость и чувство обожженной десны, неприятный запах изо рта, создающие серьезные проблемы при приеме пищи, разговоре, активной коммуникации с окружающими. Часть пациентов беспокоил необычный ярко-красный «лакированный» вид слизистой десен в зоне улыбки, сопряженный с симптомом канцерофобии. При объективном обследовании на вестибулярной поверхности десны в области передних (верхних и нижних) секстантов обнаруживали множественные мелкие или крупные участки десквамации эпителия, имеющие ярко-красную окраску на фоне разлитого отека и маргинальной эритемы. Клинические симптомы соответствовали среднетяжелой степени тяжести ДГ (рис. 2). Типичные проявления тяжелого ДГ – с интенсивным спонтанным и индуцированным болевым, сенсорно-парестетическим и геморрагическим симптомами, образованием на вестибулярной поверхности десны в зоне передних зубодесневых секстантов обширных кровоточащих сливных эрозий, пузырных элементов, требующих проведения теста(ов) Никольского. Легкие стадии ДГ и его генерализованные формы с эрозированием вестибулярной десны 3 секстантов и более у больных с КПЛ СОР не наблюдали. Симптом Никольского у этих больных был отрицательным, аллергоанамнез, как правило, не отягощен, однако у 4 пациентов (3 женщины и один мужчина), предъявляющих жалобы со стороны слизистой половых органов, по результатам проведенного гинекологического и урологического обследования были выявлены эрозивные поражения слизистых половых органов в виде десквамативного вагинита и уретрита неинфекционной природы. Наличие специфической инфекции мочеполовых органов у 3 пациенток по результатам лабораторной диагностики было исключено, и, по показаниям лечащего гинеколога, было проведено гистологическое исследование, по результатам которого в строме, суббазально выявляли диффузные, преимущественно лимфоплазмоцитарные инфильтраты – типичный гистологический симптом КПЛ. Для подтверждения диагноза вульво-вагинально-гингивального синдрома врачом-стоматологом была проведена биопсия десны (вне прямой зоны поражения), результаты которой подтвердили диагноз этого синдрома как проявления КПЛ слизистой половых органов и СОР: в эпителии десны выявляли гипер- и паракератоз, акантоз, геморрагии; фокальное расслоение базальной мембраны, явления очаговой баллонирующей дегенерации; субэпителиально – отек и диффузную лимфоплазмоцитарную инфильтрацию, с участками проникновения инфильтратов в нижние слои базальной мембраны.
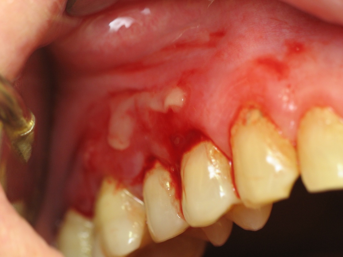
Рис. 2. Больной К., 33 года. Диагноз: десквамативный гингивит средней степени тяжести как моносимптом у пациента с КПЛ СОР
Типичные симптомы ДГ выявляли у пациентов с диагнозом вульгарной пузырчатки (ВП; L10), подтвержденным клинически и цитологически по факту обнаружения акантолитических клеток Тцанка в мазках-отпечатках с элементов поражения. На долю этих клинических вариантов МПП в общей структуре гингивита приходилось 23,2 % (13 пациентов). Жалобы со стороны полости рта у этих пациентов сводились к сильной боли, жжению и покраснению десен, повышенному слюноотделению, затрудненному приему пищи и проблемам ГПР. Объективно на десне, преимущественно в области переднего и боковых (правого/левого) зубочелюстных сегментов, выявляли множественные эрозии линейной или полигональной формы, легко кровоточащие, чаще покрытые некротическим налетом (рис. 3). Эрозированные участки десны обнаруживали на всех топографических зонах десны: маргинальной, папиллярной, прикрепленной и т.д. В 76,9 % случаев эрозивный процесс был генерализованным, распространялся на области 3–4 десневых секстантов. У всех пациентов был выявлен положительный симптом Никольского. У одного из больных отмечены пузырные элементы на коже спины, он состоял на учете в КОД по поводу ВП. C учетом классификации ДГ по Glickman, у больных вульгарной пузырчаткой практически в равной мере выявляли случаи средне- и тяжелого десквамативного процесса (6; 46,2 % и 7; 53,8 % соответственно).
Рис. 3. Больной С., 42 года. Диагноз: изолированное поражение десны в форме десквамативного гингивита (разлитая эритема, эрозии, геморрагические пузыри на слизистой вестибулярной поверхности десны верхне-бокового/правого сегмента) при вульгарной пузырчатке
У 7 пациентов (12,5 %) с диагнозом генерализованный ДГ II–III ст. после всестороннего клинико-лабораторного обследования был поставлен диагноз многоформной экссудативной эритемы (МЭЭ; L51). На момент обследования пациенты жаловались на сильные боли в области десен и губ, затрудненный прием пищи, невозможность проведения ГПР, плохой сон и раздражительность, субфебрильную температуру. При осмотре выявлялась разлитая гиперемия вестибулярной поверхности десен и губ, при стоматоскопии на слизистой оболочке десны – множественные поверхностные, резко болезненные и кровоточащие поверхностные эрозии, покрытые белесоватым налетом и геморрагическими корочками. Из анамнеза выяснили, что 4 пациента лечились у стоматолога по поводу МЭЭ, начало которой проявлялось сходными десневыми симптомами. Даже по завершению лечебных курсов по поводу МЭЭ состояние десны полностью не восстанавливалось, симптомы хронического ДГ c ремиттирующим течением сохранялись. Пациентам проведено комплексное обследование (терапевт, иммунолог, дерматовенеролог), лечение сопутствующих заболеваний и патологии СОР. Пациенты поставлены на диспансерный учет в Центр по заболеваниям СОР.
У 6 пациентов с симптомами генерализованного ДГ по результатам углубленного клинического и гистологического исследования был поставлен диагноз: плазмоклеточный гингивит аллергического генеза (К05.08, К05.18). Клинически эта форма ДГ манифистировала острым болевым симптомом («обожженные десны»), кровоточивостью десен, разлитой гиперемией, отеком и эрозированием десны с четкой демаркацией областей поражения. Клинические симптомы ДГ преимущественно соответствовали II–III ст. поражения. Появление ощущения «обожженной» десны все пациенты четко связывали с началом использования новых для них продуктов ГПР, содержащих корицу и перечную мяту. После обследования пациентов в аллергоцентре был подтвержден аллергический генез ДГ, а в качестве аллергенов были идентифицированы активные ингредиенты протестированных продуктов ГПР. При гистологическом исследовании в слизистой десны субэпителиально определялись типичные диффузные плазмоклеточные инфильтраты. На основании результатов гистологического исследования был поставлен развернутый окончательный диагноз. После устранения провоцирующих факторов, проведения общей десенсибилизирующей и местной противовоспалительной терапии, подбора оптимальных средств ГПР состояние пародонта у всех больных было стабилизировано к 10–15-му дню, пациенты поставлены на учет к врачу-пародонтологу.
У 4 (7,2 %) пациентов, страдающих псориазом (L40) и симптомами ДГ, выявляли жалобы на изменение цвета (покраснение) десны в передневерхнем сегменте, объективно на вестибулярной поверхности десны определяли дискретные эритематозные пятна. Механическое раздражение (зондирование, пальпация) участков поражения было безболезненным, не сопровождалось болевым или иными симптомами, десквамацией, эрозированием или образованием пузырей. При внешнем осмотре пациентов (чаще в локтевой области, на волосистой части головы, ушах и задней поверхности шеи) были обнаружены типичные гиперкератотические себорейные участки, напоминающие псориатические поражения. Пациенты были направлены на консультацию и лечение в краевой кожно-венерологический диспансер. По итогам комплексного общеклинического, дерматологического и лабораторного обследования у пациентов была выявлена кожно-слизистая форма псориаза, назначено общее лечение, врачом-стоматологом Центра проведена рациональная санация полости рта и лечение ДГ. Больной поставлен на диспансерный учет к врачу-пародонтологу.
Представилось целесообразным пародонтологический и гигиенический статус пациентов с ОГ (с проявлениями ДГ, чаще на фоне хронической патологии СОР) сравнить с аналогичными показателями пациентов с ГС (с генерализованным катаральным гингивитом среднетяжелого течения, ассоциированным с банальной зубной бляшкой) (таблица).
Показатели гигиенических и пародонтологических индексов у пациентов основной и группы сравнения (M ± m)
Оценочный индекс | Показатели у пациентов с ДГ (ОГ) | Показатели у пациентов с ГС | Достоверность различий p |
OHI-S | 3,47 ± 0,0,28 | 2,06 ± 0,19 | <0,001 |
PMA | 67,34 ± 6,18 | 38,60 ± 6,40 | <0,001 |
PBI | 3,11 ± 0,17 | 1,04 ± 0,27 | <0,001 |
BoP | 69,81 ± 8,32 | 10,60 ± 3,00 | <0,001 |
CPITN | 2,84 ± 0,13 | 2,00 ± 0,18 | - |
У пациентов с проявлениями ДГ были выявлены достоверно (p < 0,001) более высокие показатели по упрощенному индексу гигиены Грина – Вермилльона OHI-S, чем у пациентов с банальным гингивитом (3,47 ± 0,0,28 против 2,06 ± 0,19). Столь высокие показатели индекса объективизировали очень плохой уровень ГПР, что, очевидно, было связано с выраженным отечно-болевым симптомом и ограничениями в проведении адекватных гигиенических мероприятий самими пациентами. Папиллярно-маргинально-альвеолярный индекс гингивита (PMA) у пациентов с ДГ составил 67,34 ± 6,18 %, объективизируя среднюю и тяжелую степени тяжести гингивита и был достоверно (p < 0,001) более высок в сравнении с таковым у пациентов с гингивитом микробного происхождения (38,6 ± 6,4 %). Выраженные явления кровоточивости у больных с ДГ были объективизированы по индексам кровоточивости. Показатели индекса кровоточивости сосочков PBI у больных с ДГ были в 2,5–3 раза выше таковых, чем в группе пациентов с ГС (3,11 ± 0,17 против 1,04 ± 0,27; p < 0,001). Воспалительный процесс по индексу кровоточивости десны при зондировании (BoP) у больных с ДГ носил достоверно (p < 0,001) более генерализованный характер (69,81 ± 8,32 % против 10,6 ± 3,0 %). Индекс нуждаемости в лечении болезней пародонта CPITN также показал достоверные отличия (p < 0,01) между пациентами с ОГ и ГС (соответственно 2,84 ± 0,13 и 2,0 ± 0,18), что указывало на более высокую нуждаемость в оказании различных видов пародонтологической помощи именно у пациентов с ДГ.
При оценке стоматологических показателей КЖ по индексу OHIP-49-RU у пациентов с ДГ на фоне выраженного отечно-болевого и геморрагического симптомов в полости рта ведущее место (I–III ранговые значения) логично заняли шкалы опросника «Физический дискомфорт», «Ограничение функций» и «Физические расстройства» (соответственно 28,7 ± 2,2 – ↓ на 79,7 %; 27,8 ± 2,4 – ↓ на 77,2 % и 27,6 ± 3,1 – ↓ на 76,7 %). Явления боли и дискомфорта сказывались и на психологических составляющих КЖ, объективизированных шкалами «Психологический дискомфорт» (14,1 ± 2,3; ↓ на 70,5 %) и «Психологические расстройства» (15,8 ± 2,1 при p < 0,05) (IV–V ранговые значения), что было связано с низкой эффективностью проводимого ранее пародонтологического лечения, поздней постановкой диагноза, возникновением фобических симптомов (канцерофобии), невозможностью проведения адекватной ГПР, возникновением упорного галитоза. Последние места в снижении КЖ заняли шкалы «Социальная дезадаптация» (11,3 ± 2,7; ↓ на 56,5 %) и «Ущерб» (10,5 ± 2,5; ↓ на 43,8 %).
Выводы
Таким образом, результаты углубленных клинико-лабораторных исследований указывают на высокую (17,8 %) частоту ДГ у пациентов с хроническими заболеваниями СОР, преимущественно аутоиммунного генеза (КПЛ, ВП, МЭЭ, псориаз). Достоверно чаще (60,7 %) ДГ развивается у женщин, поражает вестибулярные поверхности слизистой десны передневерхнего зубодесневого сегмента, отличается манифестным клиническим течением с выраженным отечно-болевым, геморрагическим и сенсорно-парестетическим симптомами, ограничивающими функциональные возможности пациента (жевание, речеобразование, очищение полости рта, социальное коммуницирование и реализация отдельных видов профессиональной деятельности), что достоверно снижает ключевые параметры КЖ стоматологического пациента. Низкий уровень поликлинической диагностики, проблемы дифференциальной диагностики, преимущественное назначение нерациональных, патогенетически необоснованных средств и методов лечения ДГ у пациентов с хроническими заболеваниями СОР, отсутствие междисциплинарных подходов к планированию комплексной терапии составляют основную причину хронизации процесса, низкой эффективности традиционного лечения.
Финансирование. Исследование не имело спонсорской поддержки.
Конфликт интересов. Авторы заявляют об отсутствии конфликта интересов.
Вклад авторов равноценен.
About the authors
O. S. Gileva
E.A. Vagner Perm State Medical University
Author for correspondence.
Email: o.s.gileva@yandex.ru
MD, PhD, Professor, Head of the Department of Therapeutic Dentistry and Propedeutics of Dental Diseases
Russian Federation, PermT. V. Libik
E.A. Vagner Perm State Medical University
Email: o.s.gileva@yandex.ru
Candidate of Medical Sciences, Associate Professor, Associate Professor of the Department of Therapeutic Dentistry and Propedeutics of Dental Diseases
Russian Federation, PermReferences
- Shaqman M., Hamdan A., Karadsheh O., Sawair F., Hassona Y. Desquamative gingivitis: a challenging diagnosis for clinicians. Br. Dent. J. 2020; 229 (1): 26–30. doi: 10.1038/s41415-020-1848-4
- Gileva O.S., Koshkin S.V., Libik T.V., Gorodilova E.A., Khalyavina I.N. Periodontal aspects of oral mucosal diseases: lichen planus. Periodontology 2017; 22 (3 (84)): 9–14 (in Russian).
- Vaillant L., Chauchaix-Barthès S., Hüttenberger B., Arbielle B., Machet M., Jan V., Goga D., Lorette G. Le syndrome "gingivite érosive chronique": étude rétrospective de 33 cas [Chronic desquamative gingivitis syndrome: retrospective analysis of 33 cases]. Ann Dermatol Venereol. 2000; 127 (4): 381–387.
- Libik T.V., Gileva O.S., Kuklina E.A., Kuklin N.S., Rogozhnikov A.G. Mucoperiodontal lesions: improvement of prosthodontic treatment considering the initial indicators of patients’ oral health. Dentistry 2021; 100 (6–2): 22–28. doi: 10.17116/stomat 202110006222 (in Russian).
- Holmstrup P., Plemons J., Meyle J. Non-plaque-induced gingival diseases. J. Clin. Periodontol. 2018; 45 (20): S28–S43. doi: 10.1111/jcpe.12938
- Maderal A.D., Lee Salisbury P. 3rd, Jorizzo J.L. Desquamative gingivitis: Diagnosis and treatment. J. Am. Acad. Dermatol. 2018; 78 (5): 851–861. doi: 10.1016/j.jaad.2017.04.1140. PMID: 29678379
- Cabras M., Gambino A., Broccoletti R., Arduino P.G. Desquamative gingivitis: a systematic review of possible treatments. J. Biol. Regul. Homeost. Agents. 2019; 33 (2): 637–642.
- Gileva O.S., Libik T.V., Gibudallina N.V., Sivak E.Yu., Gavrilenko M.S., Beleva N.S., Zadorina I.I. Key dental problems of COVID-19 pandemic period: monitoring of oral health in patients with chronic oral mucosal diseases. Dentistry. 2021; 100 (6–2): 8–15. doi: 10.17116/stomat20211000628 (in Russian).
- Karagoz G., Bektas-Kayhan K., Unur M. Desquamative gingivitis: A review. J. Istanb. Univ. Fac. Dent. 2016; 50 (2): 54–60. doi: 10.17096/jiufd.57228
- Mathew M., Nayak V.S., Ramaiah S.K., Sethuraman S. Desquamative gingivitis: a definite indicator for mucocutaneous disorders. BMJ Case Rep. 2022; 15 (1): e247857. doi: 10.1136/bcr-2021-247857
- Kramer I.R., Pinborg J.J., Bezroukov V., Infirri J.S. Guide to epidemiology and diagnosis of oral mucosal diseases and conditions, World Health Organization. Community Dent. Oral Epidemiol. 1980; 8 (1): 1–26.
- Glickman I., Smulow J.B. Histopathology and histochemistry of chronic desquamative gingivitis. Oral Surg. Oral Med. Oral Pathol. 1966; 21 (3): 325–332.
- Guiglia R., Di Liberto C., Pizzo G., Picone L., Lo Muzio L., Gallo P.D., Campisi G., D'Angelo M. A combined treatment regimen for desquamative gingivitis in patients with oral lichen planus. J. Oral Pathol. Med. 2007; 36 (2): 110–6. doi: 10.1111/j.1600-0714.2007.00478.x. PMID: 17238974.
- Nazukin E.D., Yakov A.Yu., Gorodilova E.A., Gileva O.S., Libik T.V. Comparative evaluation of various treatment methods efficacy in patients with partial and complete defects of dentition according to oral indicators of quality of life (“Oral Health Impact Profile”, OHIP-49-RU). Dentistry for everyone 2015; 2: 14–18 (in Russian).
Supplementary files





