Hereditary urolithiasis at a young age on the example of a clinical case
- Authors: Styazhkina S.N.1, Sannikov P.G.1,2, Kuklin D.N.2, Gushchin S.G.1, Galieva R.Z.1, Khaidarova G.R.1
-
Affiliations:
- Izhevsk State Medical Academy
- First Republican Clinical Hospital
- Issue: Vol 41, No 2 (2024)
- Pages: 123-129
- Section: Clinical case
- Submitted: 14.11.2023
- Published: 23.05.2024
- URL: https://permmedjournal.ru/PMJ/article/view/623311
- DOI: https://doi.org/10.17816/pmj412123-129
- ID: 623311
Cite item
Abstract
To study the clinical features and course of urolithiasis in a young female patient, to suggest the cause of the simultaneous sudden formation of kidney stones in the patient and her mother within a year.
Main provisions: urolithiasis (KSD) is one of the most common diseases of the urinary tract. The relevance of effective treatment of this problem arises from the steady increase in the number of patients around the world, especially in Russia. According to many researchers, this trend is due to the increase in life expectancy, changes in lifestyle and nutrition, as well as changes in the composition of water and climate conditions. Approximately two thirds of patients, develop the disease at the age from 30 to 60. Characteristic features of urolithiasis are repeated recurrence and a high incidence of complex forms, which complicates the treatment of such patients significantly.
Diagnostic algorithm and treatment of urolithiasis are demonstrated in this article on the example of a medical history of a young patient with rapidly progressing urolithiasis.
A similar disease with the same symptoms of urolithiasis was revealed in the patient’s parent a week later, which suggests a hereditary predisposition factor or manifestation of urolithiasis being dependent on the hard drinking water.
The simultaneous sudden formation of kidney stones within a year in a patient at a young age and her mother emphasizes the hereditary nature of the disease. Probably, the peculiarities of national cuisine or the individual preferences of patients played a significant role in the development of the pathology. The composition of drinking water is extremely important. The patient is from the Republic of Bashkortostan, where water hardness is 7.8–8.0, which does not meet the standard.
Full Text
Introduction
Urinary tract stones have been part of the human condition for thousands of years – they were found even in Egyptian mummies [1]. In modern society, kidney stone disease, also known as urolithiasis, has become a particularly relevant issue. The incidence of this condition is quite high – 5–10 % of the population. The working-age group is particularly at risk for the disease [2].
Despite significant progress in the diagnosis and treatment of urolithiasis (KSD), this pathology still occupies a leading position among diseases of the urinary system according to statistics. Over the past ten years, the incidence of KSD has been steadily increasing among the adult population in all regions of the Russian Federation [3]. Factors contributing to nephrolithiasis development include hereditary predisposition, living in hot, dry climates, a sedentary lifestyle, as well as disorders of the urinary tract such as hydronephrosis, impaired renal circulation, nephroptosis, renal polycystosis, and other conditions leading to urodynamic problems. The presence of a urinary tract infection, side effects of drug therapy, excessive consumption of oxalogenic products, table salt, sugar, insufficient intake of liquid and consumption of hard drinking water can also become a trigger for this disease. In recent years, numerous data have been accumulated on the role of nutritional factors in the etiology of nephrolithiasis, such as diet and food quality. Thus, increased consumption of animal protein can lead to high excretion of calcium, oxalates and urates, and a decrease in the level of citrate in urine [4]. Environmental degradation also contributes to the rise in the incidence of urolithiasis.
The objective of the study was to investigate the features of the clinical manifestations and the course of KSD in a young patient, to suggest the cause of simultaneous sudden formation of kidney stones during the year in the patient and her mother.
Materials and methods
The following studies were conducted as part of a complex examination:
- Laboratory studies:
- complete urinalysis;
- blood analysis (general blood test, biochemical examination, coagulation tests);
- Instrumental studies:
- ultrasound examination of the kidneys, bladder, and parathyroid glands;
- spiral computed tomography of the kidneys and upper urinary tract with intravenous bolus contrast.
Clinical Case
The patient's medical history from 2023 was studied, as well as her complaints, anamnesis and results of general examination, laboratory and instrumental studies.
Patient G., 21 years old, first child, born from the third pregnancy. Pregnancy was accompanied by toxicosis. The labour was urgent, lasted 9 hours and 50 minutes. During the delivery, the umbilical cord was wrapped around the girl’s neck. The amniotic fluid was cloudy and in small quantities. The birth weight was 3,600 grams, height – 52 cm, head circumference – 34 cm, chest circumference – 33 cm. The Apgar score was 5–7. The maximum weight loss was 220 g. The weight on discharge was 3,400 g.
On September 20th, 2023, she was admitted to the urology department of the First Republican Clinical Hospital in Izhevsk with complaints of severe aching pain in the left iliac region.
Development and course of the disease. The patient considers herself ill since June 2023, when a single microlith of the left kidney was detected during an ultrasound examination. The patient did not complain until September of the same year. On September 8th, 2023, intense pain suddenly appeared in the left iliac region, radiating along the ureter. The patient associates the occurrence of pain with the possible movement of the stone of the left kidney. On September 10th, 2023, she consulted a urologist at one of the paid clinics in Izhevsk. She was diagnosed with urolithiasis with a stone in the lower third of the left ureter. The patient was treated on an outpatient basis.
On the night of September 20th, 2023, her condition deteriorated sharply. She experienced intense aching pain in the left iliac region, up to loss of consciousness, nausea and vomiting, as well as vesical tenesmus. She did not call an ambulance. On the morning of September 20th, she went to the First Republican Hospital of Izhevsk on her own.
Upon objective examination, the condition was satisfactory. The skin and visible mucous membranes were physiologically colored. Peripheral lymph nodes were not enlarged, nor was the thyroid gland. There was no swelling. The lumbar region was symmetrical without deformation. Skin in the lumbar area was physiologically colored, temperature was normal, hydration was moderate, elasticity and turgor were normal. No swelling or redness was present. Palpation of kidneys (standing, lying in a supine position, right and left sides) showed that they are not palpable, but there is a positive concussion sign on the left side.
Laboratory studies. Complete urinalysis dated September 20th, 2023: color – brown, transparency – cloudy, density – 1,020 g/l, protein – 3 g/l, urobilinogen – 3.2 mmol/l, epithelial cells – 0–1 in the field of view, leukocytes – 0–1 in the field of view, fresh red blood cells in large quantities, bacteria in small quantities, mucus in a small amount.
In the general blood test dated September 20th, 2023, leukocytosis (11.25·109/l) is noticeable.
Biochemical blood test dated September 21st, 2023: uric acid – 330.9 mmol/l, urea – 6.7 mmol/L, creatinine – 78 mmol/L, potassium – 3.90 mmol/L, sodium – 144.00 mmol/L, chlorine – 106.00 mmol/L.
Coagulogram dated September 21st, 2023: Quick-type PT – 94,000 %, prothrombotic time – 14,100 s, INR – 1,110, fibrinogen – 3,270 g/l, APTT – 29,200 s.
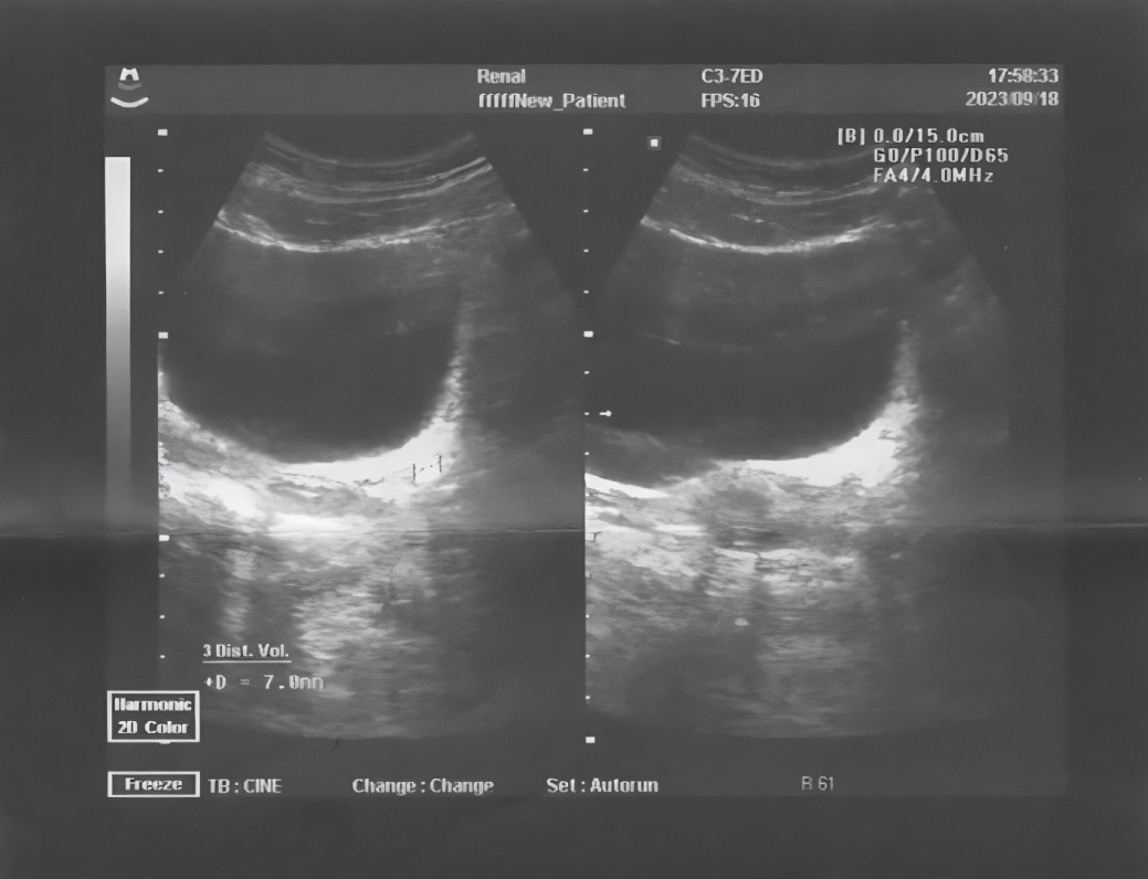
Instrumental studies. Ultrasound examination of the kidneys and bladder dated September 20th, 2023 (Figs. 1 and 2):
- Right kidney: size 10.2 ´ 4.2 cm, location is normal, contours are smooth, pelvicalyceal system (PCS) is not expanded, ratio of PCS to parenchyma is normal. Additional signs: a microlith in the upper calyx – 4 ´ 3 mm; a microlith in the lower calyx – 3.5 ´ 3 mm with shadowing. Area of adrenal glands without specific features.
- Left kidney: size 10.5 ´ 4.6 cm, normal location, smooth contours, PCS expanded and deformed (pelvis – 1.6 cm, calyx – 0.8 cm), ratio of PCS to parenchyma is normal. Additional signs: a microlith in the upper calyx, triangular shape, 4.2 ´ 2.0 mm with shadowing; a microlith in the lower calyx – 2.5 ´ 3 mm with shadowing. The lower third of ureter on the left expanded to 0.4 cm with the presence of internal structures in the form of a hyperechoic formation sized 7.0 ´ 4 mm with shadowing at 2.2 cm from the ureteral orifice. Discharge from the orifice on the left is slowed and weakened.
Fig. 1. Patient G. Ultrasound of the kidneys from September 20th, 2023. The presented images show microliths in the upper and lower calyces of the right and left kidney
Fig. 2. Patient G. Ultrasound of the bladder from September 20th, 2023. Hyperechoic formation in the lower third of the ureter on the left
Conclusion: Ultrasound-signs of concretion in the lower third of the ureter on the left, concretions of both kidneys, urostasis on the left.
It should be noted that several microliths had already been detected in the patient compared to the data of June, 2023. This indicated a rapid progression of urolithiasis.
CT scan of the kidneys and upper urinary tract with intravenous bolus contrast dated September 22nd, 2023, reveals: concretion of the pelvicalyceal system of the right kidney; microliths of the pelvicalyceal system of both kidneys; partially streamlined concretion of the lower third of the left ureter; additional upper polar renal arteries on both sides; a simple cyst of the right kidney; scarring of the parenchyma of the left kidney.
Ultrasound examination of the thyroid and parathyroid glands on September 27th, 2023 did not reveal ultrasound signs of echopathology.
The following medication was administered in the hospital (22nd–26th of September, 2023): tamsulosin – 0.4; drotaverine – 2.0 (IV); 0.9 % NaCl – 500 ml (IV); ketorol – 2.0 (IM).
Surgical treatment: September 22nd, 25th and 27th, 2023 – remote lithotripsy of a stone of the lower third of the left ureter.
During the patient's stay in the hospital, transurethral contact lithotripsy was planned, but due to an improvement in the patient's condition (ultrasound revealed a 3.5 mm stone fragment in the lower third of the ureter, 1 cm from the ureteral orifice; the urostasis had been reduced), the operation was cancelled. The patient was discharged from the hospital with recommendations to follow.
A similar disease was detected in the patient’s mother, who was admitted to the First Republican Clinical Hospital of Izhevsk with symptoms of renal colic a week after her daughter's admission to the hospital. She had not complained before. An ultrasound examination of the kidneys, adrenal glands and bladder was performed. Conclusion: ultrasound signs of calyceal pyelectasis of kidneys on the right with a microlith in the lower third of the ureter, concretion of the right kidney, perinephric effusion on the right.
Results and discussion
A possible cause of the formation of kidney stones in the patient is a hereditary predisposition factor, since the patient's mother had concretions in her right kidney and ureter a week after her daughter's hospitalization. Metabolic disorders, changes in the water-salt and chemical composition of the blood in patient G. were not detected. An anomaly was found: additional upper polar renal arteries on both sides, however the effect of renal abnormality on the development of KSD is unlikely. The quality and chemical composition of drinking water are of great importance. The patient lives in the Republic of Bashkortostan, where the water hardness is 7.8–8.0, which does not meet the normative indicators1.
Diet therapy is very important in the treatment of recurrent urolithiasis. To achieve positive results, the patient was recommended to optimize her fluid intake, exclude products containing substances that contribute to the formation of stones, and diversify her diet. Such significant dietary changes should play a positive role in the treatment of this disease in the patient and allow to regulate the functioning of the urinary system in order to avoid relapses [5].
Conclusion
Thus, the development of urolithiasis is influenced by many factors. The urologist prescribes treatment and chooses gentle methods of treatment based on the individual characteristics of the patient. In this particular situation, the treatment was carried out in accordance with the clinical case of a particular patient and her medical history.
Remote lithotripsy and symptomatic treatment (antispasmodic and anti-inflammatory therapy) were performed. The method of remote lithotripsy is widely used by urologists, as it is effective, and practically always gives positive results [6]. The patient was recommended litholytic therapy based on a shift in the pH of urine in the opposite direction to that in which a specific type of concretions is formed. A possible reason for the simultaneous sudden formation of kidney stones during the year in the patient and her mother is a hereditary predisposition and characteristics of water hardness in their place of residence, as well as the peculiarities of national cuisine.
1 Water hardness in the regions. Reference data, available at: https://aquaformula.ru/жесткость-воды-в-регионах-справочные/
About the authors
S. N. Styazhkina
Izhevsk State Medical Academy
Email: sstazkina064@gmail.com
ORCID iD: 0000-0001-5787-8269
MD, PhD, Professor of the Department of Faculty Surgery
Russian Federation, IzhevskP. G. Sannikov
Izhevsk State Medical Academy; First Republican Clinical Hospital
Email: pgsannikov@mail.ru
ORCID iD: 0009-0007-8435-1121
Candidate of Medical Sciences, Associate Professor of the Department of Faculty Surgery
Russian Federation, Izhevsk; IzhevskD. N. Kuklin
First Republican Clinical Hospital
Email: sstazkina064@gmail.com
ORCID iD: 0000-0003-1583-7922
urologist
Russian Federation, IzhevskS. G. Gushchin
Izhevsk State Medical Academy
Email: Doctorgushin83@yandex.ru
ORCID iD: 0009-0000-4763-7197
postgraduate student of the Department of Faculty Surgery, Urologist, Andrologist
Russian Federation, IzhevskR. Z. Galieva
Izhevsk State Medical Academy
Email: galiyeva.2002@bk.ru
ORCID iD: 0009-0003-6718-9645
4th year student of the Pediatric Faculty
Russian Federation, IzhevskG. R. Khaidarova
Izhevsk State Medical Academy
Author for correspondence.
Email: Gulnaz_khaydarova_00@mail.ru
ORCID iD: 0009-0009-4988-8833
4th year student of the Pediatric Faculty
Russian Federation, IzhevskReferences
- Nojaba L, Guzman N. Nephrolithiasis. 2023 Aug 8. In: StatPearls [Internet]. Treasure Island (FL): StatPearls Publishing 2023; Jan. PMID: 32644653
- .Левковский С.Н. Мочекаменная болезнь: прогнозирование течения и метафилактика. СПб.: Береста 2010; 120 / Levkovskiy S.N. Urolithiasis: prognosis of the course and metaphylaxis. St. Petersburg: Beresta 2010; 120 (in Russian).
- Каприн А.Д., Аполихин О.И., Сивков А.В., Анохин Н.В., Гаджиев Н.К., Малхасян В.А., Акопян Г.Н., Просянников М.Ю. Заболеваемость мочекаменной болезнью в Российской Федерации с 2005 по 2020 г. Экспериментальная и клиническая урология 2022; 15 (2): 10–17 / Kaprin A.D., Apolikhin O.I., Sivkov A.V., Anokhin N.V., Gadzhiev N.K., Malkhasyan V.A., Akopyan G.N., Prosyannikov M.Yu. The incidence of urolithiasis in the Russian Federation from 2005 to 2020. Experimental and Clinical Urology 2022; 15 (2): 10–17 (in Russian).
- Rotily M., Léonetti F., Iovanna C., Berthezene P., Dupuy P., Vazi A., Berland Y. Effects of low animal protein or high-fiber diets on urine composition in calcium nephrolithiasis. Kidney Int. 2000; 57 (3): 1115–23. doi: 10.1046/j.1523-1755.2000.00939.x. PMID: 10720964.
- Бережной А.Г., Сачивко К.В., Дунаевская С.С. Современные принципы консервативного лечения мочекаменной болезни. Современные проблемы науки и образования 2020; 6 / Berezhnoy A.G., Sachivko K.V., Dunaevskaya S.S. Modern principles of conservative treatment of urolithiasis. Modern problems of science and education 2020; 6 (in Russian).
- Стяжкина С.Н., Черненкова М.Л., Гюльахмедова Э.М., Габбасова Г.Р., Медведь М.С., Назаров В.В. Актуальные проблемы осложнений мочекаменной болезни. Успехи современного естествознания 2015; 4: 68–69 / Styazhkina S.N., Chernenkova M.L., Gyul'akhmedova E.M., Gabbasova G.R., Medved' M.S., Nazarov V.V. Current problems of complications of urolithiasis. Advances in modern natural science 2015; 4: 68–69 (in Russian).
Supplementary files




