Experimental studies of effectiveness of a new mineral complex for regeneration of epithelial tissues and skin
- Authors: Mishlanov V.Y.1, Chereshnev V.А.2, Vdovina G.P.1, Burlutskaya А.А.1, Zuev А.L.3,4, Koshurnikova E.P.1, Emelkina V.V.1, Samartsev V.А.1, Gavrilov V.А.1
-
Affiliations:
- E.A. Vagner Perm State Medical University
- Institute of Immunology and Physiology, Ural Branch of RAS
- Perm National Research Polytechnic University
- Institute of Continuous Media Mechanics of Perm Federal Research Center of Ural Branch of RAS
- Issue: Vol 40, No 6 (2023)
- Pages: 148-157
- Section: Biology and experimental medicine
- Submitted: 22.01.2024
- Accepted: 22.01.2024
- Published: 20.12.2023
- URL: https://permmedjournal.ru/PMJ/article/view/625875
- DOI: https://doi.org/10.17816/pmj406148-157
- ID: 625875
Cite item
Full Text
Abstract
Objective. To study the regenerative activity of a mineral complex containing ions of cerium, manganese, zinc and silver in model experiments of the planar skin wounds and acute bronchitis in laboratory animals for the development of new techniques of surgical and pulmonological diseases treatment.
Materials and methods. An experimental study of the regenerative activity of a mineral complex containing ions of cerium, manganese, zinc and silver was carried out on models of the planar skin wounds and acute bronchitis in rats.
Results. The results of histological examination of tissues showed the advantage of the mineral complex over the control groups of animals. The anti-inflammatory and regenerative activity of the mineral complex was established in a model of acute bronchitis and regenerative activity in a model of a planar skin wound.
Conclusions. The effectiveness of the mineral complex depended on the concentration of cerium ions and was manifested at a dose of 0.003 μg/kg of animal weight.
Keywords
Full Text
Введение
Повреждение эпителия слизистой дыхательных путей и альвеолярного аппарата является критической составной частью многих респираторных заболеваний, включая вирусные повреждения. Механизмы повреждения эпителиальных клеток разнообразны, например, воспалительное повреждение в случае нейтрофильного повреждения, действие белковых агрессивных факторов эозинофилов при аллергических заболеваниях, прямое вирусное повреждение и другие [1]. Применяемые сегодня средства сохранения и восстановления эпителиоцитов представлены противовоспалительными агентами (ингаляционные и системные глюкокортикоиды) [2], позитивное действие других препаратов, включая антиоксиданты, не подтверждается методами доказательной медицины.
Недавно опубликованы результаты экспериментов на культуре эпителиальных клеток бронхов о регенераторной активности соединений редкоземельного металла церия (группа лантаноидов) и возможности его повреждения в результате действия наночастиц [3]. Аналогично известно, что церий обладает протективным эффектом в отношении эпителия желудочно-кишечного тракта [4], восстанавливает регенерацию фибробластов кожи [5; 6]. Эти данные побудили проведение исследований, направленных на создание ингаляционной формы препарата, стимулирующего регенерацию респираторного эпителия у больных коронавирусной инфекцией и другими острыми респираторными заболеваниями.
Цель исследования – изучение регенераторной активности минерального комплекса, содержащего ионы церия, марганца, цинка и серебра, в модельных экспериментах плоскостной кожной раны и острого бронхита у лабораторных животных с целью разработки новых способов лечения хирургических и пульмонологических заболеваний.
Материалы и методы исследования
Исследование выполнено в соответствии с общепринятыми этическими нормами обращения с животными, на основе стандартных операционных процедур университета, которые соответствуют правилам, принятым Европейской конвенцией по защите позвоночных животных, используемых для исследовательских и иных научных целей (Страсбург, 1986). Исследование зарегистрировано в Министерстве здравоохранения Российской Федерации № 123062200020-2, выполнялось на базе вивария ЦНИЛ ФГБОУ ВО ПГМУ им. академика Е.А. Вагнера Минздрава России.
Исследуемый минеральный комплекс содержал раствор ионов церия (0,35–0,50 мкг/л), марганца (10–20 мкг/л), цинка (5–7 мкг/л) и серебра (0,15–0,20 мкг/л) в 0,9 % растворе NaCl. Раствор стерильный, предназначен для ингаляций. Для исследования в модели плоскостной кожной раны применяли стерильный минеральный комплекс, содержащий раствор ионов церия (0,5–1,0 мкг/л), марганца (10–20 мкг/л), цинка (5–7 мкг/л) и серебра (0,15–0,20 мкг/л) в дистиллированной воде.
Модель плоскостной кожной раны [7]: в области лопаток примерно в 1 см от основания черепа полностью выстригали шерсть, маркером отмечали площадь в 1 см2 и острыми хирургическими ножницами вырезали кожный лоскут с сохранением подкожной жировой клетчатки и подлежащих мышечных слоёв. Сразу после нанесения раны во всех группах животных обрабатывали 0,05 % раствором хлоргексидина для уменьшения риска бактериальной контаминации раны.
В качестве биологической тест-системы в эксперименте были использованы белые крысы, самцы и самки. В рамках сравнительного исследования сформировано три группы животных по шесть особей в каждой (3 самца и 3 самки, всего 18 животных).
- Опытная, белые крысы (3 самца и 3 самки), получавшие аппликации марлевой повязки, смоченной раствором испытуемого минерального комплекса (1 мл препарата на одну повязку), фиксированной лейкопластырем на 20 мин, один раз в день на протяжении 5 дней, включая день формирования модели плоскостной кожной раны.
- Контрольная 1, белые крысы (3 самца и 3 самки), получавшие аппликации марлевой повязки, смоченной 0,9 % раствором хлорида натрия (1 мл препарата на одну повязку), фиксированной лейкопластырем на 20 мин, один раз в день на протяжении 5 дней, включая день формирования модели плоскостной кожной раны.
- Контрольная 2, белые крысы (3 самца и 3 самки), не получавшие лечение после формирования модели плоскостной кожной раны.
Продолжительность исследования составила шесть дней. В первый день всем животным формировали модель плоскостной кожной раны, обрабатывали раствором хлоргексидина, затем животным опытной и 1-й контрольной группы выполняли аппликации (испытуемый минеральный комплекс в опытной группе и 0,9 % раствор хлорида натрия – в контрольной) ежедневно длительностью 20 мин. Измерение размеров раны, оценку состояния животных, включая оценку суточного потребления животными корма и воды, подробный ежедневный осмотр животных, в том числе осмотр в клетке, осмотр на руках, на открытой площадке выполняли ежедневно, согласно регламенту стандартных операционных процедур. Эвтаназия всех животных осуществлялась на 6-й день эксперимента путем их помещения в камеру, содержащую пары этилового эфира для наркоза. Кожные лоскуты с подкожной клетчаткой исследовались гистологически с окраской препаратов гематоксилином и эозином.
Модель острого бронхита: в качестве биологической тест-системы в эксперименте были использованы белые инбредные крысы, самцы и самки. В рамках сравнительного исследования путем рандомизации сформировано четыре группы животных по шесть особей в каждой (3 самца и 3 самки, всего 24 животных).
- Опытная группа 1: получала ингаляции 1 % раствора формалина с целью формирования модели острого бронхита, затем ингаляции испытуемого минерального комплекса (доза церия 0,00025 мкг/кг) в течение 7 дней один раз в сутки, начиная со второго дня эксперимента (эвтаназия на 9-й день эксперимента).
- Опытная группа 2: получала ингаляции 1 % раствора формалина с целью формирования модели острого бронхита, затем ингаляции испытуемого минерального комплекса (доза церия 0,003 мкг/кг) в течение 5 дней один раз в сутки (эвтаназия на 6-й день эксперимента).
- Контрольная группа получала ингаляции физиологического раствора хлорида натрия в течение 7 дней, эвтаназия выполнена на 9-й день эксперимента.
- Группа «чистого контроля» получала ингаляции 1 % раствора формалина с целью формирования модели острого бронхита, затем находилась под наблюдением до момента эвтаназии. Эвтаназия выполнена на 9-й день эксперимента.
Формирование модели острого бронхита выполняли по методике, описанной А.Е. Кательниковой и соавт. [8], путем однократной ингаляции 2 мл 1 % раствора формалина на одно животное в течение 15 мин.
Клиническое наблюдение за животными осуществляли с целью оценки общего состояния в клетке, поведения на руках согласно плану-графику эксперимента. Взвешивание и эвтаназию животных проводили натощак. При этом доступ к воде не ограничивали.
Контрольные наблюдения до начала исследования и в процессе эксперимента включали: взвешивание животных, оценку суточного потребления животными корма и воды, подробный ежедневный осмотр животных, в том числе осмотр в клетке, осмотр на руках, на открытой площадке. После исследования животные были подвергнуты плановой эвтаназии путем их помещения в камеру, содержащую пары этилового эфира для наркоза. Для оценки эффективности препарата проводили макроскопический осмотр состояния лёгких и грудной полости с последующим извлечением лёгких и забором их на гистологическое исследование. Для дополнительной оценки состояния лёгких рассчитывали массовые коэффициенты по формуле [9]:
Статистическая обработка данных: для всех количественных данных было вычислено групповое среднее арифметическое (M) и доверительный интервал с вероятностью 95 % (m). Статистический анализ проводился с использованием программы Statistica ver. 6.0. Достоверность отличий между группами данных оценивалась попарным сравнением средних с применением t-критерия Стьюдента. Различия считались достоверными при р < 0,05 [10; 11].
Результаты и их обсуждение
Модель плоскостной кожной раны. Оценка динамики заживления раны и площади раневой поверхности представлена в таблице и на рис. 1.
Динамика изменения площади раневой поверхности в мм, M ± m
Параметр | 2-е сутки | 3-е сутки | 4-е сутки | 5-е сутки | 6-е сутки |
Минеральный комплекс | 149,6 ± 21,13 | 110,6 ± 12,08 | 99,4 ± 4,41* | 84,6 ± 13,7* | 76,0 ± 13,76 |
Контроль (группа 1) | 148,2 ± 20,91 | 116,2 ± 14,89 | 114,1 ± 14,85 | 102,6 ± 11,55 | 85,9 ± 11,37 |
Контроль (группа 2) | 133,4 ± 17,46 | 118,4 ± 14,92 | 117,4 ± 15,72 | 105,0 ± 10,86 | 87,6 ± 9,41 |
П р и м е ч а н и е: * – p < 0,05.
Рис. 1. Динамика кожной раны в опытной и контрольной группе, не получавшей лечение
Согласно полученным данным и на основании оценки клинической картины (локального статуса) выявлено, что, местное применение испытуемого минерального комплекса сопровождалось заметным ускорением заживления плоской кожной раны по сравнению с показателями контрольной группы. В течение всего периода наблюдений раны у животных опытной группы оставались чистыми, без признаков присоединения бактериальной инфекции, гноя, кровотечений, отслоений струпа и плазмореи. В группе контроля 2 (без аппликаций 0,9 % раствора хлорида натрия) у одного животного наблюдалось образование струпа, его отслоение к 6-м дню наблюдения и плазморея, еще у 2 отмечено длительное формирование кровянистых корочек, плазмореи.
Результаты гистологического исследования. Применение испытуемого минерального комплекса на раневую поверхность вызывает развитие грануляционной ткани, которая гистологически отличается от контроля следующими показателями:
- Размеры струпа на поверхности увеличены, увеличено по сравнению с контролем количество жидкости и ее инфильтрация лейкоцитами.
- Размеры грануляционной ткани меньше, слои определяются менее четко.
- Лейкоцитарная инфильтрация грануляционной ткани, по сравнению с контрольными данными, снижена.
- В нижней части грануляционной ткани определяется более зрелая соединительная ткань.
- В стенке кровеносных сосудов в сосудистом слое грануляционной ткани и ниже наблюдается формирование оболочек, эндотелий сосудов активный.
- Отмечается наличие в клеточном и нижележащем слое грануляционной ткани зрелых клеток соединительной ткани, имеющих фенотип миофибробластов, характеризующихся более активной продукцией межклеточного вещества и способностью к сокращению размеров регенерата, и фиброцитов.
- Более активной является регенерация эпителия в области краев раны: в контроле либо еще нет эпителизации, либо она наблюдается с одной стороны раны, при действии минерального комплекса у 4 животных регенерация наблюдается с обеих сторон раны на срезе, у одного – с одной стороны. В одном из 3 образцов эпителизация почти полностью закрывает поверхность регенерата.
Более активным является процесс новообразования мышечных волокон: в контрольной группе наблюдается образование только многоядерных симпластов, при действии испытуемого минерального комплекса видны уже новообразованные волокна в центре регенерата.
Результаты сравнительного исследования иллюстрированы рис. 2.
Модель острого бронхита. Результаты проведенного исследования не выявили изменений или различий между опытными и контрольными группами в суточном потреблении животными корма и воды, результатах подробного ежедневного осмотра животных, в том числе путем осмотра в клетке, на руках, на открытой площадке. При вскрытии крыс в конце эксперимента видимых морфологических изменений внутренних органов при макроскопическом анализе ни в одной из экспериментальных групп не установлено. Внешний вид всех органов, их взаиморасположение, характеристики срезов и внутренних поверхностей (для полых органов) в группах экспериментальных животных не отличались от контрольной группы животных.
Результаты гистологического исследования. В группе «чистого контроля» (группа 4), получавшей ингаляции только 1 % раствора формалина, гистологическое исследование органов дыхания установило признаки токсического действия формалина с развитием бронхита в виде нарушения кровообращения, выраженного поражения эпителия и гиперплазии лимфоидной ткани в стенке бронхов.
Наблюдается увеличение количества бокаловидных клеток в составе эпителия и усиление слизеобразования за счет повышения их функциональной активности. В просвете бронхов определяется слизь с десквамированным эпителием. В слизистой оболочке бронхов среднего калибра отмечается расширение и полнокровие кровеносных сосудов. В этих бронхах встречаются участки десквамации групп эпителиальных клеток и целого эпителиального пласта. В просвете располагаются крупные конгломераты, состоящие из десквамированного эпителия и слизи, создающие картину обструкции бронха. В терминальных бронхиолах наблюдается увеличение высоты эпителиальных клеток и усиление их секреции. В стенке бронхов среднего и мелкого калибра определяется массивная диффузная лимфоидная инфильтрация, лимфоциты часто формируют крупные фолликулы.
Рис. 2. Сравнительные данные гистологической картины в опытной и контрольной группах: а – контрольные данные. Грануляционная ткань. Лейкоцитарная инфильтрация. Окраска гематоксилином и эозином. Ув. х 400; б – испытуемый минеральный комплекс. Грануляционная ткань. Клеточный слой с фибробластами. Окраска гематоксилином и эозином. Ув. х 400
Лимфоциты располагаются в слизистой и подслизистой оболочках, инфильтрируют эпителий. Мышечная пластинка бронхов неравномерно утолщена. Плевра имеет обычное строение.
В группе крыс, получавшей ингаляции испытуемого минерального комплекса (группа 2), с увеличением дозы препарата по отношению к «расчетной терапевтической» в 12 раз выявлены гистологические признаки уменьшения токсического действия формалина в виде снижения интенсивности лимфоидной инфильтрации оболочек бронхов и периваскулярной соединительной ткани, отсутствия процессов десквамации эпителиальных пластов в слизистой оболочке и восстановления эпителия в большей части бронхов. Сохраняются признаки повышенной активности бокаловидных клеток, но она снижена по сравнению с действием формалина. Сосуды легких неравномерно расширены и полнокровны. Вокруг сосудов имеется очаговая инфильтрация лимфоцитами, уменьшенная по сравнению с изменениями под действием формалина в группе «чистого контроля».
Участки частичного спадения альвеол чередуются с участками их расширения. Просвет альвеол свободен. Межальвеолярные перегородки обычного строения. В стенке некоторых альвеол определяется пролиферация альвеолоцитов 2-го типа. В просвете единичных альвеол определяются макрофаги.
Просвет большей части бронхов не расширен. Стенка бронхов среднего калибра характеризуется снижением интенсивности лимфоидной инфильтрации от слабой до умеренной, нет массивной инфильтрации, как при действии формалина. Лимфоидная инфильтрация в этих бронхах, в отличие от действия формалина, наблюдается в подслизистой, в то же время слизистая оболочка свободна от лимфоцитов, мышечная пластинка неравномерно утолщена. В слизистой оболочке бронхов мелкого калибра и терминальных бронхиолах лимфоциты либо отсутствуют, либо формируют небольшие очаговые скопления. У части животных лимфоидная инфильтрация отсутствует как вокруг сосудов, так и в стенке бронхов. Эпителий бронхов характеризуется признаками восстановления. В просвете единичных бронхов сохраняется небольшое количество слизи с десквамированным эпителием, конгломераты крупного размера отсутствуют. В части бронхов сохраняется повышенное слизеобразование. Отсутствуют признаки десквамации пластов эпителия. В терминальных бронхиолах сохраняются признаки увеличения функциональной активности эпителия. Плевра имеет обычное строение.
В гистологических препаратах легких животных группы 1, получавших испытуемый минеральный комплекс в низкой дозе, сохраняется венозное полнокровие. Наблюдается периваскулярный отек и диффузная инфильтрация лимфоцитами с примесью эозинофилов.
В легочной паренхиме наряду с обычными определяются участки эмфизематозного расширения просвета альвеол и дистелектазы. Межальвеолярные перегородки не утолщены. В 2 из 3 препаратах наблюдается стаз крови в сосудах микроциркуляторного русла, в утолщенных межальвеолярных перегородках содержатся ярко окрашенные эритроциты, а в просвете альвеол находится отечная жидкость.
В стенке бронхов наблюдается выраженная пролиферация эпителия с образованием сосочков. Увеличивается количество слизистых клеток. В просвете имеется десквамированный эпителий и слизь. Стенка бронхов утолщена в результате отека и диффузно инфильтрирована лимфоцитами со значительной примесью эозинофилов. Наблюдается частичная отслойка слизистой оболочки части бронхов. Мышечная пластинка неравномерно утолщена. Часть терминальных бронхиол имеет строение, соответствующее контрольным данным. В стенке бронхов располагаются крупные лимфоидные фолликулы. В единичном препарате в просвете среднего бронха содержится значительное
количество лейкоцитов, а стенка этого бронха плотно инфильтрирована лимфоцитами. В легочной ткани другого животного выявляются гемосидерофаги вокруг кровеносных сосудов. Плевра имеет обычное строение.
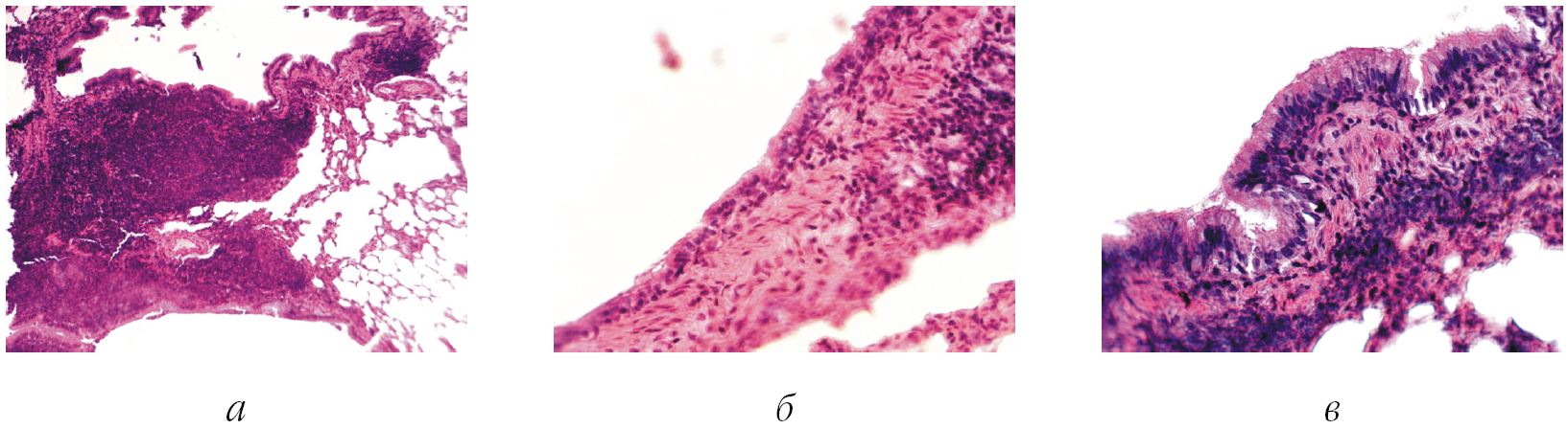
Результаты исследований в модели острого бронхита иллюстрирует рис. 3.
Рис. 3. Сравнительные результаты гистологического исследования в группе, получавшей испытуемый минеральный комплекс, и контрольных наблюдениях: а – структура стенки среднего калибра бронха после ингаляции 1% раствора формалина. Окраска гематоксилином и эозином. Ув. х 400; б – структура стенки среднего калибра бронха после ингаляции препарата церия в дозе 0,003 мкг/кг. Окраска гематоксилином и эозином. Ув. х 400; в – структура стенки среднего калибра бронха после ингаляции 0,9% раствора NaCl. Окраска гематоксилином и эозином. Ув. х 400
Результаты гистологического исследования подтвердили противовоспалительную и регенераторную эффективность испытуемого минерального комплекса в модели плоскостной кожной раны и модели острого бронхита в дозе 0,003 мкг/кг. Применение нового минерального препарата сопровождалось ускорением заживления кожной раны за счет пролиферации фибробластов и признаками нормализации слизистой оболочки дыхательных путей, восстановлением структуры реснитчатого эпителия, значительным ограничением воспалительной инфильтрации клеточными элементами, повреждений базальной мембраны. Вместе с тем отмечены минимальные пределы эффективной дозы концентрации ионов церия, необходимые для достижения результата. Применение минерального комплекса, содержащего ионы церия в концентрации 0,00025 мкг/кг массы животного, не подтвердило существенных различий с контрольными данными.
Ранее положительные результаты заживления кожных ран описаны под влиянием препарата фламмацериума, содержащего 1 % раствор сульфодиазина серебра и нитрат церия (производство Sinclair Pharma; Solvay Pharmaceuticals, Menarini A). Препарат зарегистрирован в 45 странах и активно используется в практике лечения раневых повреждений [12]. Между тем в отношении применения наночастиц церия ведется активная дискуссия. Предполагается, что наночастицы захватываются альвеоцитами 2-го типа и могут индуцировать воспаление с последующим формированием фиброза легочной ткани [13–15]. Однако в нашем исследовании использовался ионный препарат, что позволило избежать реакции альвеоцитов и повреждения клеточных структур легких.
Выводы
Таким образом, экспериментальные данные подтверждают регенераторную активность ионизированного церия (III), в комбинации с ионами марганца, цинка и серебра.
Финансирование. Исследование выполнено при поддержке гранта РФФИ_р_НОЦ_ Пермский край № 20-415-596008.
Конфликт интересов. Авторы заявляют об отсутствии конфликта интересов.
Вклад авторов равноценен.
About the authors
V. Yu. Mishlanov
E.A. Vagner Perm State Medical University
Author for correspondence.
Email: permmed@hotmail.com
MD, PhD, Professor, Correspondent Member of RAS, Head of the Department of Propaedeutics of Internal Diseases №1
Russian Federation, PermV. А. Chereshnev
Institute of Immunology and Physiology, Ural Branch of RAS
Email: permmed@hotmail.com
MD, PhD, Professor, Academician of RAS, Chief Researcher
Russian Federation, PermG. P. Vdovina
E.A. Vagner Perm State Medical University
Email: permmed@hotmail.com
PhD, Professor, Head of the Department of Pharmacology
Russian Federation, PermА. А. Burlutskaya
E.A. Vagner Perm State Medical University
Email: permmed@hotmail.com
researcher, Department of Pre-clinical Studies, Central Research Laboratory
Russian Federation, PermА. L. Zuev
Perm National Research Polytechnic University; Institute of Continuous Media Mechanics of Perm Federal Research Center of Ural Branch of RAS
Email: permmed@hotmail.com
Doctor of Physical and Mathematical Sciences, Associate Professor, Professor of the Department of Applied Physics, Senior Researcher
Russian Federation, Perm; PermE. P. Koshurnikova
E.A. Vagner Perm State Medical University
Email: permmed@hotmail.com
Candidate of Medical Sciences, Associate Professor, Department of Propaedeutics of Internal Diseases №1
Russian Federation, PermV. V. Emelkina
E.A. Vagner Perm State Medical University
Email: permmed@hotmail.com
Assistant, Department of Propaedeutics of Internal Diseases №1
Russian Federation, PermV. А. Samartsev
E.A. Vagner Perm State Medical University
Email: permmed@hotmail.com
MD, PhD, Professor, Head of the Department of General Surgery
Russian Federation, PermV. А. Gavrilov
E.A. Vagner Perm State Medical University
Email: permmed@hotmail.com
Candidate of Medical Sciences, Associate Professor, Department of General Surgery
Russian Federation, PermReferences
- Gao W., Li L., Wang Y., Zhang S., Adcock I.M., Barnes P.J., Huang M. and Yao X. Bronchial epithelial cells in COPD. Respirology 2015; 20: 722–729. doi: 10.1111/resp.12542.
- Janahi I.A., Rehman A., Baloch N.U.-A. Corticosteroids and Their Use in Respiratory Disorders. InTech 2018. doi: 10.5772/intechopen.72147.
- Tsai Sh.-M., Duran-Robles E., Goshia T., Mesina M., Garcia C., Young J., Sibal A., Chiu M.-H., Chin W.-Ch. CeO2 nanoparticles attenuate airway mucus secretion induced by TiO2 nanoparticles. Science of The Total Environment 2018; 631–632: 262–269.
- Colon J., Hsieh N., Ferguson A., Kupelian P., Seal S., Jenkins D.W., Baker C.H. Cerium oxide nanoparticles protect gastrointestinal epithelium from radiation-induced damage by reduction of reactive oxygen species and upregulation of superoxide dismutase 2. Nanomedicine. 2010; 6 (5): 698–705. doi: 10.1016/j.nano.2010.01.010. Epub 2010 Feb 18. PMID: 20172051.
- Ramenzoni L.L., Weber F.E., Attin T., Schmidlin P.R. Cerium Chloride Application Promotes Wound Healing and Cell Proliferation in Human Foreskin Fibroblasts. Materials 2017; 10: 573. doi: 10.3390/ma10060573.
- Vasin V.I. Mechanisms and evaluation of the effectiveness of healing of acute skin wounds using external and invasive drugs. Author's abstract. dis. … cand. med. sc. Moscow 2021.
- Buzlama A.V. and others. Preclinical studies of drugs: textbook by Ed. A.A. Svistunova. Moscow: GEOTAR-Media 2017; 384 (in Russian).
- Katelnikova A.E., Kryshen K.L., Makarova M.N., Makarov V.G., Vorobyova V.V., Pozharitskaya O.N., Shikov A.N. Study of the specific pharmacological activity of a complex of glycosylated polypeptides isolated from sea urchins of the species Strongylocentrotus droebachiensis in a model of acute bronchitis induced by formaldehyde in rats. Biopharmaceutical Journal 2016; 8; 6: 56–63 (in Russian).
- Problems of the norm in toxicology. Ed. prof. THEM. Trachtenberg. Moscow: Medicine 1991; 203 (in Russian).
- Brozdova T.V. Fundamentals of statistical analysis and data processing using Microsoft Excel, tutorial. Minsk: GIUST BSU 2011; 40 (in Russian).
- Glanz S. Medical and biological statistics. Translation from English Yu.A. Danilova. Moscow: Praktika 1998; 459 (in Russian).
- Garner J.P., Heppell P.S. The use of Flammacerium in British Burns Units. Burns. 2005, 31; 3: 379–82. doi: 10.1016/j.burns.2004.12.001.
- Schwotzer D., Niehof M., Schaudien D. et al. Cerium oxide and barium sulfate nanoparticle inhalation affects gene expression in alveolar epithelial cells type II. J Nanobiotechnol 2018; 16: 16. doi: 10.1186/s12951-018-0343-4.
- Ma Y., Li P., Zhao L., Liu J., Yu J., Huang Y., Zhu Y., Li Z., Zhao R., Hua S., Zhu Y., Zhang Z. Size-Dependent Cytotoxicity and Reactive Oxygen Species of Cerium Oxide Nanoparticles in Human Retinal Pigment Epithelia Cells. Int J Nanomedicine 2021; 16: 5333–5341. doi: 10.2147/IJN.S305676.
- Al Rashaideh T., Metwali N., Perry S.S., Adamcakova-Dodd A., Thorne P.S. Cerium Oxide Enhances the Toxicity of Zinc Oxide Nanoparticles in Human Lung Epithelial Cell Cultures. Toxics. 2022; 10 (9): 522. doi: 10.3390/toxics10090522.
Supplementary files



