A clinical case of treatment of temporomandibular joints disease caused by occlusive disorders
- Authors: Sharov A.M.1, Oreshaka O.V.1, Ganisik A.V.1, Dementyeva E.A.1
-
Affiliations:
- Altai State Medical University
- Issue: Vol 41, No 5 (2024)
- Pages: 115-123
- Section: Clinical case
- Submitted: 09.08.2024
- Accepted: 26.08.2024
- Published: 13.11.2024
- URL: https://permmedjournal.ru/PMJ/article/view/635055
- DOI: https://doi.org/10.17816/pmj415115-123
- ID: 635055
Cite item
Abstract
A method of treatment,described in this clinicalcase, isaimedateliminatingdisorders of occlusalrelationships of the dentition, (PatentNo.2797641dated06/07/2023) contributing to the normalization of TMJ functioning.
At the first stage of treatment, a repositioning occlusal splint was used, applied to all teeth of the lower jaw, which was being corrected for six months. This stage was considered completed on the basis of the following criteria: absence of the patient`s complaints and smooth movements of the mandible without deviations and clicks on objective examination, as well as formation of symmetrical graphs of the TMJ condyles movement on axiographic examination, an optimal location of the TMJ condyles on sagittal projections of MSCT and positive changes in the bioelectric activity of the masticatory muscles, towards higher and more symmetrical values on both sides.
Further treatment was carried out by an orthodontist with a non-removable technique,using a brace system. Wearing of the occlusal splint continued until the braces system was put on the teeth of the lowerjaw. It was then replaced by composite liningsin the projection of the firstmolars of the upperjaw.
Dynamicmonitoring of thepatientforhalf ayearafter the end of the treatment indicated remission of TMJ disease.
Normalization of occlusal relationships of dentitions in intact dentitions and small defects through splint therapy followed by the use of a brace systemis a minimally invasive andeffectivemethod of treatment TMJ diseases.
Full Text
Introduction
According to domestic and foreign studies, temporomandibular joint (TMJ) diseases are a fairly common pathological condition in patients [1–3]. In turn, the World Health Organization notes that dysfunctional TMJ conditions are included in the triad of the most frequently occurring diseases in dental patients [4–6].
Violation of somatic homeostasis, neuromuscular dysfunctions, occlusal disorders are directly related to the state of the TMJ [7–9]. Modern diagnostic methods allow us to determine both the structural component of the disorder and the functional one; however, having a polyetiological nature, TMJ diseases often require an interdisciplinary approach to treatment [10–13].
According to modern data from domestic and foreign authors, there is a tendency towards an increase in the number of young people with TMJ pathology, including those with intact dental arches [14–16]. As a rule, this is due to the presence of orthodontic pathology or previously conducted irrational orthodontic treatment [17; 18].
The problem of treating patients with TMJ pathology with intact dental arches and minor defects requires a more detailed study and the introduction of new approaches to the rehabilitation of this category of patients.
Clinical Case
Patient M., 26 years old, came in April 2021 with the following complaints: constant painless clicking in the parotid-chewing area on the right when opening the mouth.
The patient's medical history is not complicated. He denies the presence of other somatic diseases.
Progression of the present disease: In February 2021, severe clicking in the right TMJ, which limited opening of the mouth, accompanied by pain, first appeared. After seven days of taking NSAIDs, the pain gradually subsided.
Palpation of the TMJ and masticatory muscles is painless. When opening the mouth, a deviation of the lower jaw is determined with a click at the beginning of opening the mouth in the area of the right and left TMJ, asynchronous movement of the condyles. The midline is shifted to the right by 5 mm.
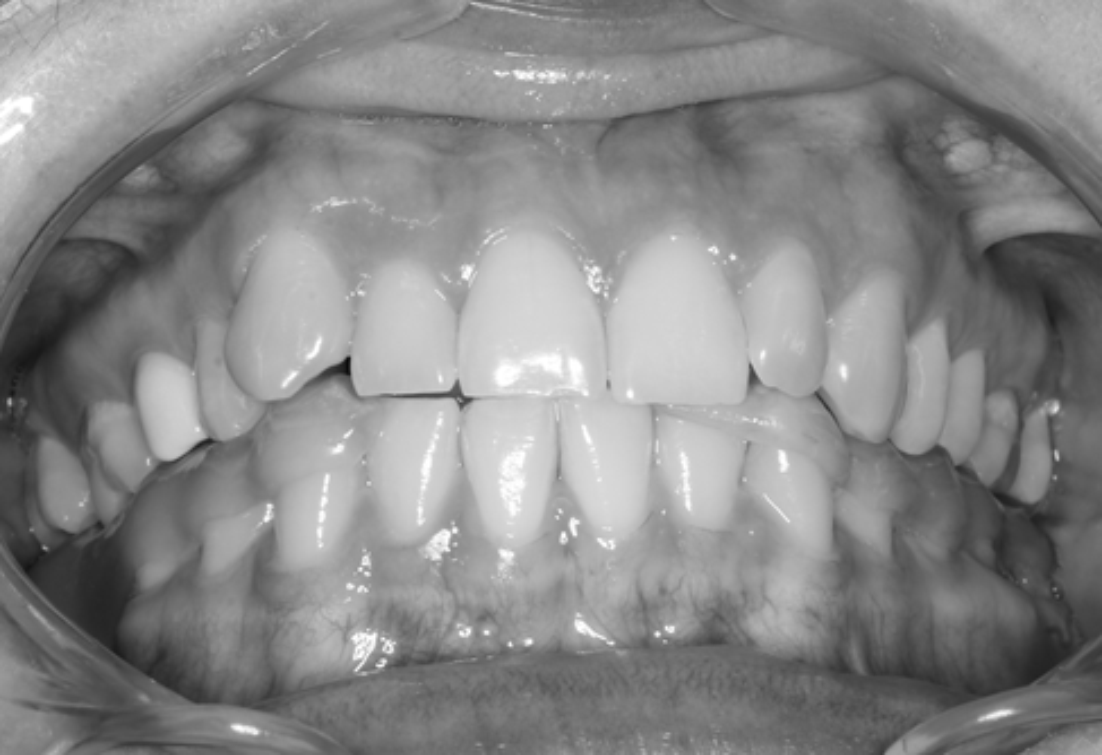
In the oral cavity: the mucosa is without visible pathological changes, the anterior teeth of the upper jaw overlap the same teeth of the lower jaw by 1/2 of their height, vestibular displacement 1.3, 2.2, crowded arrangement of the anterior teeth of both jaws.
The closure of the dental arches in the position of central occlusion is sharply hampered with a distal and rightward shift at the end of mouth closure.
The absence of 4.6, the presence of recurrent caries 2.6; artificial metal-ceramic crowns of satisfactory quality 1.5, 2.7 are determined (Fig. 1).
Fig. 1. Dental formula according to Viola of Patient M.
According to the electroneuromyography data, significant differences in the biopotentials of the masticatory muscles were found in the patient’s initial state, due to the predominance of muscle contraction on the left (Table 1).
Table 1. Results of electroneuromyography of masticatory muscles before treatment
Muscle localization | Average amplitude, µV | |
Right (dex) | Left (sin) | |
Central occlusion position | ||
Masticatory | 485 | 750 |
Temporal | 358 | 690 |
Muscles of the floor of the mouth | 135 | 288 |
The results of the axiography performed at the diagnostic stage indicated a dysfunctional state of the TMJ, which was characterized by the intersection of tracks during vertical movements of the lower jaw (Fig. 2).
Fig. 2. Axiography of movements of TMJ condyles during vertical movements of the lower jaw before treatment
Based on the results of the main and additional research methods, the following diagnosis was established: K07.61 – “clicking jaw” syndrome, forced distal-lateral occlusion, myodysfunctional syndrome, K07.31 – displacement of 1.3, 2.2, K07.30 – crowding of the anterior teeth, K08.1 – partial absence of teeth on the lower jaw, class III according to Kennedy, K02.1–2.6 recurrent dentin caries, class I according to Black.
Treatment: the initial stage was the sanitation of the oral cavity, according to the dental formula, then the production of an occlusal repositioning splint was performed (Fig. 3), for this purpose an analog impression was obtained from the lower jaw, according to which a plaster model was made, necessary for the stage of determining the most optimal position of the lower jaw in relation to the upper one using a wax template, according to which an occlusal splint was made from colorless plastic using hot polymerization (Belacril-E GO, Vladmiva, Russia) (see Fig. 3).
Fig. 3. The repositioning occlusal splint is located on the teeth of the lower jaw
Subsequently, periodic reline of the splint occlusal surface was performed for six months. To confirm the effectiveness of the occlusal reline stage, diagnostic measures were repeated, which were characterized by the absence of patient complaints, and during an objective examination, smooth movement of the lower jaw without deviations and clicks.
The graphic representation of the movements of the lower jaw, recorded using axiography, indicated a positive change in the trajectories of the movement of the condyles of the TMJ, which were characterized as symmetrical, harmoniously concave tracks (Fig. 4).
Fig. 4. Axiography of the TMJ during vertical movements of the lower jaw with an occlusal splint
The MSCT visualized the optimal and symmetrical position of the condyles in both TMJs (Fig. 5).
Fig. 5. MSCT of the TMJ (in the position: closed mouth) in the sagittal projection with an occlusal splint
The values of the biopotentials of the masticatory muscles by the end of splint therapy according to electroneuromyography data had minimal differences, which indicated their almost symmetrical contraction on the left and right halves of the face (Table 2).
Table 2. Results of electroneuromyography of masticatory muscles with occlusal splint
Muscle localization | Average amplitude, µV | |
Right (dex) | Left (sin) | |
Central occlusion position | ||
Masticatory | 785 | 780 |
Temporal | 688 | 695 |
Muscles of the floor of the mouth | 300 | 305 |
The results of the conducted studies allowed us to move on to orthodontic treatment, which consisted of the sequential application of the bracket system first to the teeth of the upper jaw; wearing of the occlusal splint continued at this stage (Fig. 6).
Fig. 6. Braces on the teeth of the upper jaw
After three months, the bracket system was fixed to the lower row of teeth (Fig. 7) and fixation of photocomposite overlays, which in this clinical case were located in the area of teeth 1.6, 2.6, wearing of the splint was completed at this stage (Fig. 8).
Fig. 7. The stage of applying the brace system to the teeth of the lower jaw
Fig. 8. Photocomposite onlays on the occlusal surfaces of the first molars of the upper jaw
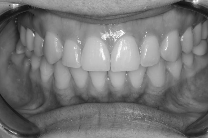
Completion of orthodontic treatment was accompanied by the removal of the bracket system with the installation of retainers on the oral surface of the anterior teeth of the upper and lower jaws, as well as prosthetics with an artificial crown on an implant in the area of the missing 4.6 (Fig. 9).
Fig. 9. Closing of the dental arches after completion of treatment
Results and discussion
The presented clinical case describes a method for correcting disorders of the occlusal relationships of the dental arches and, as a consequence, normalizing the functioning of the TMJ.
At the stage of clinical examination, asynchronous movement of the TMJ condyles, clicks, deviation of the lower jaw during opening and closing of the mouth, and the presence of orthodontic pathology of individual groups of teeth were determined.
The graphs obtained during axiography were characterized by the formation of asymmetrical tracks, and the results of measuring the biopotentials of the masticatory muscles during an electroneuromyographic study indicated an asymmetry in the tension of the masticatory muscles of the left and right halves of the face.
At the diagnostic and treatment stage, a repositioning occlusal splint was used on the lower row of teeth. During periodic examinations over a period of six months, the occlusal splint was adjusted until the therapeutic position of the lower jaw was achieved. The criteria for the effectiveness of this stage were the absence of complaints, symptoms in the TMJ area and masticatory muscles during palpation, as well as data from additional diagnostic methods – the formation of symmetrical graphs of the movement of the TMJ condyles during an axiographic study, the presence of an optimal location of the TMJ condyles on the sagittal projections of MSCT and changes in the bioelectrical activity of the masticatory muscles towards higher and symmetrical values on both sides.
Subsequent treatment was performed by an orthodontist using fixed equipment using a bracket system. Wearing an occlusion splint continued until the bracket system was placed on the teeth of the lower jaw, at which time it was replaced by composite overlays in the projection of the first molars of the upper jaw.
Conclusions
Normalization of occlusal relationships of dental arches by means of splint therapy followed by the use of a bracket system for intact dental arches and minor defects is a minimally invasive and effective method of treating TMJ diseases.
About the authors
A. M. Sharov
Altai State Medical University
Author for correspondence.
Email: vbfks97@mail.ru
ORCID iD: 0000-0002-9367-2337
SPIN-code: 4017-0538
Orthopedic Dentist
Russian Federation, BarnaulO. V. Oreshaka
Altai State Medical University
Email: oreshaka@ya.ru
ORCID iD: 0000-0001-7006-7268
SPIN-code: 1542-0059
DSc (Medicine), Professor of the Department of Orthopedic Dentistry
Russian Federation, BarnaulAnton V. Ganisik
Altai State Medical University
Email: ganisikanton@gmail.com
ORCID iD: 0000-0002-3126-1516
SPIN-code: 2239-4593
PhD (Medicine), Associate Professor of the Department of Orthopedic Dentistry
Russian Federation, BarnaulElena A. Dementyeva
Altai State Medical University
Email: deastom@mail.ru
ORCID iD: 0000-0003-2052-076X
SPIN-code: 6158-0083
PhD (Medicine), Associate Professor of the Department of Orthopedic Dentistry
Russian Federation, BarnaulReferences
- Вологина М.В., Дорожкина Е.Г., Михальченко Д.В. Признаки краниомандибулярной дисфункции у пациентов, нуждающихся в стоматологическом лечении. Вестник ВолГМУ 2018; 1 (65) / Vologda M.V., Dorozhkina E.G., Mikhalchenko D.V. Signs of craniomandibular dysfunction in patients in need of dental treatment. Bulletin of VolGMU 2018; 1 (65) (in Russian).
- Иорданишвили А.К., Сериков А.А. О необходимости стандартизации подходов к лечению и реабилитации пациентов с патологией височно-нижнечелюстного сустава в учреждениях разной формы собственности. Медицинский вестник Северного Кавказа 2018; 1.1: 59–62 / Iordanishvili A.K., Serikov A.A. On the need to standardize approaches to the treatment and rehabilitation of patients with pathology of the temporomandibular joint in institutions of various forms of ownership. Medical Bulletin of the North Caucasus 2018; 1.1: 59–62 (in Russian).
- Мартюшева М.В., Асташина Н.Б., Щеколова Н.Б., Савченко Д.В., Арутюнов А.С. Клинико-статистический анализ взаимосвязи постуральных и психоневрологических нарушений у пациентов с дисфункциональными состояниями височно-нижнечелюстного сустава. Проблемы стоматологии 2022; 18 (4): 122–128. doi: 10.18481/2077-7566-2022-18-4-122-128. EDN YDQMPH / Martyusheva M.V., Astashina N.B., Shchekolova N.B., Savchenko D.V., Arutyunov A.S. Clinical and statistical analysis of the relationship between postural and neuropsychiatric disorders in patients with dysfunctional conditions of the temporomandibular joint. Problems of dentistry 2022; 18 (4): 122–128 (in Russian). doi: 10.18481/2077-7566-2022-18-4-122-128. EDN YDQMPH.
- Яцук А.В. Клинико-социальное обоснование организации специализированной артрологической помощи пациентам с заболеваниями и патологическими состояниями височно-нижнечелюстного сустава на Кузбассе. Международный научно-исследовательский журнал 2020; 11–2 (101): 39–43 / Yatsuk A.V. Clinical and social justification of the organization of specialized andrological care for patients with diseases and pathological conditions of the temporomandibular joint in Kuzbass. International Scientific Research Journal 2020; 11–2 (101): 39–43 (in Russian).
- Булычева Е.А., Булычева Д.С. Рентгеноанатомические особенности при заболеваниях височно-нижнечелюстного сустава. Клиническая стоматология 2023; 26 (2): 66–74. doi: 10.37988/1811-153X_2023_2_66. EDN VOLYRY / Bulycheva E.A., Bulycheva D.S. X-ray anatomical features in diseases of the temporomandibular joint. Clinical dentistry 2023; 26 (2): 66–74 (in Russian). doi: 10.37988/1811-153X_2023_2_66. EDN VOLYRY.
- Вологина М.В., Дорожкина Е.Г., Михальченко Д.В. Признаки краниомандибулярной дисфункции у пациентов, нуждающихся в стоматологическом лечении. Вестник Волгоградского государственного медицинского университета 2018; 1 (65): 17–22. doi: 10.19163/1994-9480-2018-1(65)-17-22. EDN YUMLJE / Vologda M.V., Dorozhkina E.G., Mikhalchenko D.V. Signs of craniomandibular dysfunction in patients in need of dental treatment. Bulletin of the Volgograd State Medical University 2018; 1 (65): 17–22 (in Russian). doi: 10.19163/1994-9480-2018-1(65)-17-22. EDN YUMLJE.
- Шаров А.М., Орешака О.В., Гуревич Ю.Ю., Дементьева Е.А. Особенности выбора дополнительных методов исследования при планировании лечения пациентов с заболеваниями височно-нижнечелюстных суставов. Институт стоматологии 2023; 1 (98): 48–50. EDN PJGAIS / Sharov A.M., Oreshaka O.V., Gurevich Yu. Yu., Dementieva E.A. Features of the choice of additional research methods in the planning of treatment of patients with diseases of the temporomandibular joints. Institute of Dentistry 2023; 1 (98): 48–50 (in Russian). EDN PJGAIS.
- Ragonesi M. Temporomandibular disorders: Clinical profile in relation to psychological adaptation to stress. Confinia Cephalalgica 2019; 29 (1): 18–24. EDN GUDRNB.
- Яременко А.И., Королев В.О., Ковалев М.И. Современный алгоритм диагностики и лечения заболеваний ВНЧС. Институт стоматологии 2017; 3 (76): 38–41. EDN XCLCIT / Yaremenko A.I., Korolev V.O., Kovalev M.I.. A modern algorithm for the diagnosis and treatment of TMJ diseases. Institute of Dentistry 2017; 3 (76): 38–41 (in Russian). EDN XCLCIT.
- Jerele C., Avsenik J., Šurlan Popović K. MRI characteristics of the asymptomatic temporomandibular joint in patients with unilateral temporomandibular joint disorder. Oral Radiology 2021; 37 (3): 469–475. doi: 10.1007/s11282-020-00483-6. EDN AZRPQU.
- Ozhohan R., Rozhko M.M., Ozhogan Z.R., Khopta R.M. Modern methods of patients treatment with dentition defects combined with functional disorders of the temporomandibular joint. Wiadomosci Lekarskie 2020; 73 (10): 2241–2245. EDN NHOOIO.
- Shao B., Teng H., Dong Sh., Liu Zh. Finite element contact stress analysis of the temporomandibular joints of patients with temporomandibular disorders under mastication. Computer Methods and Programs in Biomedicine 2022; 213: 106526. doi: 10.1016/j.cmpb.2021.106526. EDN QPCSEY.
- Лопушанская Т.А., Петросян Л.Б., Муса Х.М. Практическое использование поверхностной электромиографии в клинике ортопедической стоматологии. Институт стоматологии 2019; 1 (82): 48–49. EDN LYEPFX / Lopushanskaya T.A., Petrosyan L.B., Musa H.M. Practical use of surface electromyography in the clinic of orthopedic dentistry. Institute of Dentistry 2019; 1 (82): 48–49 (in Russian). EDN LYEPFX.
- Постников М.А., Нестеров А.М., Трунин Д.А., Садыков М.И., Габдрафиков Р.Р., Сагиров М.Р. Возможности диагностики и комплексного лечения пациентов с дисфункциями височно-нижнечелюстного сустава. Клиническая стоматология 2020; 1 (93): 60–63 / Postnikov M.A., Nesterov A.M., Trunin D.A., Sadykov M.I., Gabdrafikov R.R., Sagirov M.R. Possibilities of diagnosis and complex treatment of patients with temporomandibular joint dysfunction. Clinical dentistry 2020; 1 (93): 60–63 (in Russian).
- Хабадзе З.С., Балашова М.Е. Краниомандибулярная дисфункция – нозологическая единица или собирательное понятие? Sciences of Europe 2018; 25–1 (25): 21–23. EDN YVNAPM / Khabadze Z.S., Balashova M.E. Craniomandibular dysfunction – a nosological unit or a collective concept? Sciences of Europe 2018; 25–1 (25): 21–23 (in Russian). EDN YVNAPM.
- Буланов В.И., Петрикас И.В., Файзулова Э.Б., Петрикас Е.О. Объективная оценка окклюзионных взаимоотношений в процессе подготовки пациента с дисфункцией ВНЧС к ортодонтическому лечению. Sciences of Europe 2017; 21–1 (21): 22–24. EDN ZXNOXV / Bulanov V.I., Petrikas I.V., Fayzullayeva E.B., Petrikas E.O. Objective assessment of occlusive relationships in the process of preparing a patient with TMJ dysfunction for orthodontic treatment. The sciences of Europe 2017; 21–1 (21): 22–24 (in Russian). ED. ZXNOXV.
- Barbosa C., Gavinha S., Soares T., Manso M. Coincidence and Awareness of the Relationship Between Temporomandibular Disorders and Jaw Injury, Orthodontic Treatment, and Third Molar Removal in University Students. Journal of Oral & Facial Pain and Headache 2016; 30 (3): 221–227. doi: 10.11607/ofph.1587
- Bhardwaj A., Gupta S., Narula J. Mischievous mandibular third molars camouflaging temporomandibular joint disorders. J Korean Assoc Oral Maxillofac Surg. 2022; 48 (3): 155–158. doi: 10.5125/jkaoms.2022.48.3.155. PMID: 35770356; PMCID: PMC9247450.
Supplementary files











