Topographic anatomy of the esophagus after thyroidectomy
- Authors: Zhirnova A.S.1, Abramzon O.M.1, Lyashchenko S.N.1
-
Affiliations:
- Orenburg State Medical University
- Issue: Vol 41, No 6 (2024)
- Pages: 76-82
- Section: Original studies
- Submitted: 23.01.2025
- Accepted: 23.01.2025
- Published: 15.12.2024
- URL: https://permmedjournal.ru/PMJ/article/view/646570
- DOI: https://doi.org/10.17816/pmj41676-82
- ID: 646570
Cite item
Full Text
Abstract
Objective. To describe the topographic anatomy of the esophagus after thyroidectomy.
Materials and methods. The data of pre- and postoperative magnetic resonance imaging of the soft tissues of the neck were studied in 61 patients operated on for multinodular colloid goiter, autoimmune thyroiditis, diffuse toxic goiter with a thyroid volume of more than 100 cm3. All the patients underwent thyroidectomy. On tomograms before the surgery, two, six and twelve months after it, the topography of the esophagus was assessed in three planes: axial, frontal and sagittal. Transverse, antero-posterior and angular disposition of the esophagus were measured quantitatively. The displacement was estimated relative to the horizontal and vertical lines drawn through the middle of the body and the anterior edge of the cervical vertebra. Skeletotopically, the section was referred to the sixth, seventh cervical vertebrae and the first thoracic one. The numerical indicators obtained during the measurements were analyzed dynamically. Statistical analysis was performed using the Statistica 6.0 program.
Results. The lumen of the esophagus in the postoperative period increased in the antero-posterior direction and shifted to the left lateral wall of the trachea. The organ took a spherical shape. In 73% of cases, the esophagus was parallel to the trachea 12 months after thyroidectomy.
Conclusion. Within a year after thyroidectomy, changes in the shape, diameter and topography of the cervical part of the esophagus occur. 12 months after thyroid removal, the anteroposterior size of the esophagus becomes six times larger in comparison with the preoperative one, it shifts to the left lateral wall of the trachea by 2.12 cm relative to the vertical axis. The results obtained can be useful for repeated surgical interventions in this area.
Full Text
Введение
Одно из важнейших направлений анатомических исследований связано с внедрением в клиническую практику таких методов прижизненной визуализации, как ультразвуковое исследование, компьютерная и магнитно-резонансная томографии [1–4]. Они позволяют изучать прижизненную анатомию органов и полостей до и после хирургических вмешательств при различных заболеваниях [5]. На сегодняшний день накоплены сведения о топографо-анатомических изменениях, происходящих после хирургических операций на органах грудной и брюшной полостей, забрюшинного пространства [6; 7].
В работе И.И. Кагана, М.Н. Васюкова (2021) описаны анатомические изменения до и после пульмонэктомии, обоснованы топографо-анатомические закономерности постпневмонэктомических изменений в грудной полости [8]. П.В. Самойлов (2015) представил данные о топографии и анатомии средостения после операции Льюиса. Для этого была проведена компьютерная томография грудной клетки 115 человек без патологии органов пищеварения и 40 пациентов, у которых был диагностирован рак грудного отдела пищевода. Выявлено, что в послеоперационном периоде увеличивается поперечный размер заднего средостения и происходит смещение его вправо. При этом расширяется пищевод, смещается трахея, левый главный бронх, аорта и сердце [9].
Изучение анатомии средостения в норме и при раке грудного отдела пищевода проводил также А.Е. Рыков. В исследовании представлены индивидуальные, половые, возрастные изменения антропометрических параметров средостения и его органов. Так, размерные параметры пищевода у мужчин больше, расположение его латеральнее, дальше от грудины и позвоночника. У людей с брахиморфной грудной клеткой размеры пищевода больше, чем у людей с долихоморфной. С возрастом нижний отдел пищевода расширяется. При раке грудного отдела пищевода автор описывает смещение сердца кпереди и влево, трахеи и левого главного бронха кпереди, нисходящего отдела грудной аорты влево и кзади [10].
Топографию забрюшинного пространства после нефрэктомии изучали С.В. Чемезов и Ю.В. Монина (2014). Оказалось, что при отсутствии почки справа в остаточное пространство перемещается правая доля печени, восходящая ободочная кишка, головка поджелудочной железы. После левосторонней нефрэктомии происходит смещение нисходящей ободочной кишки, поджелудочной железы, селезенки. Отмечено, что, помимо положения, меняются размеры и форма органов [11].
Анализ литературы показал, что если после операций на легких, грудном отделе пищевода, почке существует клинико-анатомическая база данных, то для патологии щитовидной железы и радикальных операций в области шеи сведений в публикациях нет. Подобные исследования могут быть интересными, так как анатомические факторы фиксации и стабилизации органов шеи отличаются от изученных локализаций ввиду отсутствия стенок и внутриполостного давления. Кроме того, оценка до- и послеоперационных изменений необходима для совершенствования хирургической техники при повторных операциях на щитовидной железе.
Цель исследования – описать топографическую анатомию пищевода до и после тиреоидэктомии по результатам магнитно-резонансной томографии.
Материалы и методы исследования
Изучены данные до- и послеоперационной магнитно-резонансной томографии мягких тканей шеи у 61 пациента. Среди них было 8 мужчин и 53 женщины в возрасте от 37 до 75 лет. В исследование включены пациенты, у которых диагностирован многоузловой коллоидный или диффузно-узловой токсический зоб, аутоимунный тиреоидит. Увеличение органа было обусловлено равномерным поражением обеих долей в пределах границ шеи. Объем щитовидной железы по результатам ультразвукового исследования был более 100 см3. Жалобы на дисфагию предъявляли 11 % пациентов. Остальные обратились за медицинской помощью в связи с изменением конфигурации шеи. Всем пациентам была выполнена тиреоидэктомия. Послеоперационный период протекал без осложнений. Исследования проводились после получения информированного согласия пациента.
На томограммах, выполненных до оперативного вмешательства, через два, шесть и двенадцать месяцев после тиреоидэктомии, оценивали топографию пищевода в трех плоскостях: аксиальной, фронтальной и сагиттальной. Измеряли количественные параметры органа, его поперечную, переднезаднюю и угловую диспозиции. Смещение оценивали относительно горизонтальной и вертикальной линий, проведенных через середину тела и передний край шейного позвонка. Скелетотопически срез привязывали к шестому, седьмому шейному и первому грудному позвонкам. При необходимости вводили дополнительные уровни. Статистический анализ проводили с помощью программы Statistica 6.0.
Результаты и их обсуждение
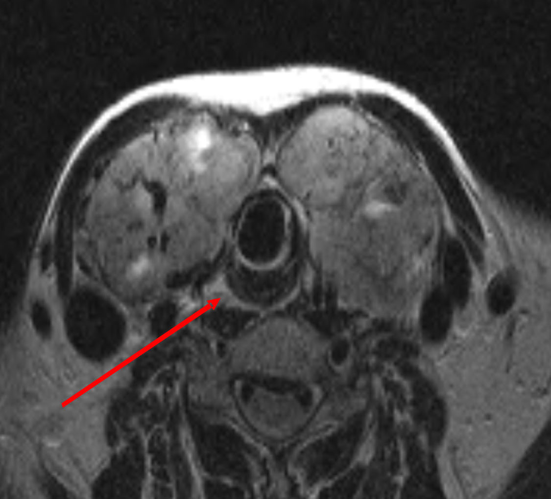
При изучении дооперационных магнитно-резонансных томограмм мягких тканей шеи топография шейного отдела пищевода соответствовала классическим представлениям о хирургической анатомии органа. Несмотря на значительный объем щитовидной железы, смещения и сдавления пищевода не обнаружено (рис. 1).
Рис. 1. Пациент К., 44 года. Диагноз: многоузловой коллоидный зоб, эутиреоз. Объем щитовидной железы 173 см3. Смещение и сдавление пищевода отсутствует
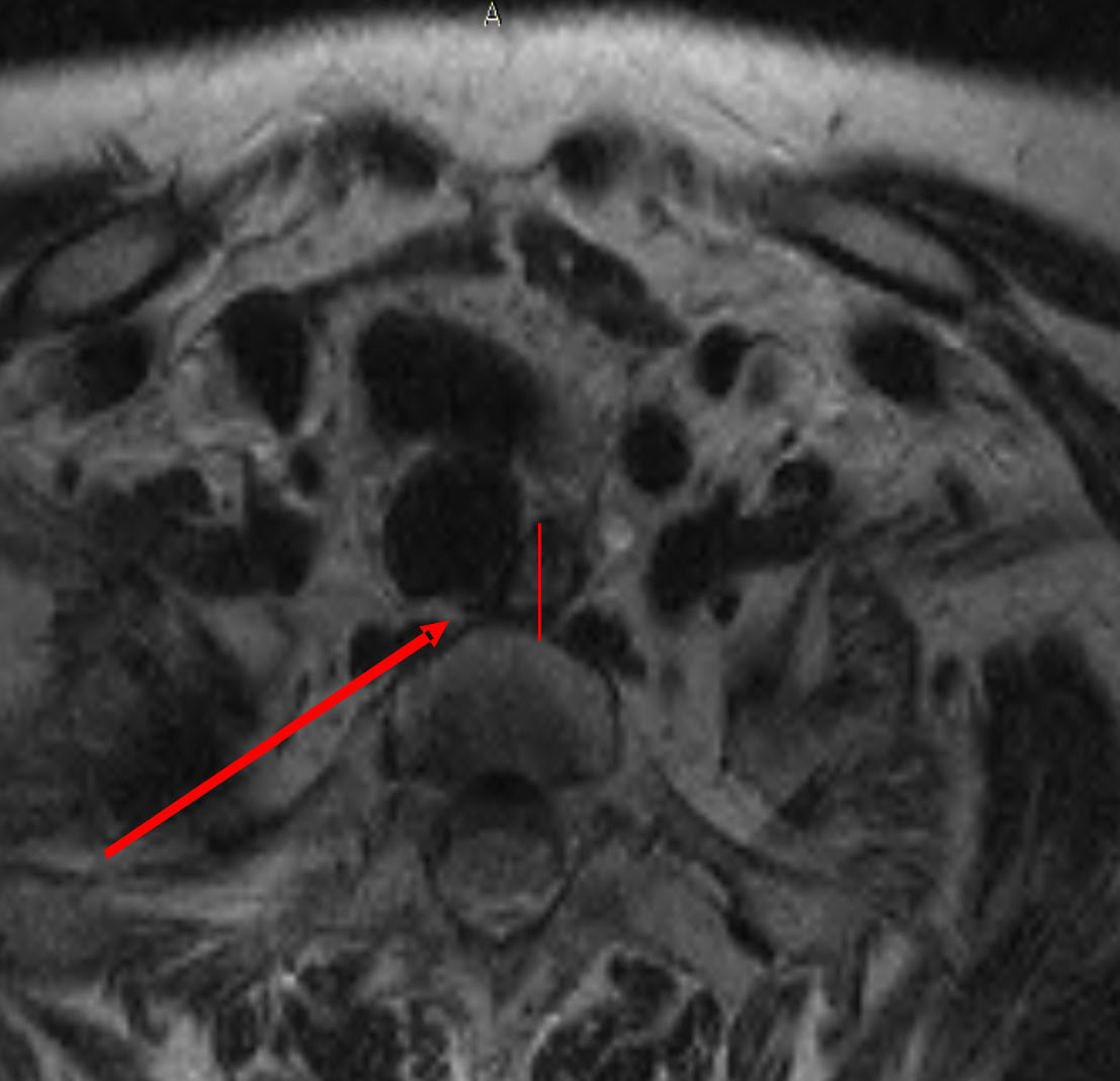
Оценка томографических срезов через 12 месяцев после хирургического вмешательства позволила определить изменение формы просвета пищевода за счет увеличения его переднезаднего размера и перемещение органа к левой боковой стенке трахеи (рис. 2).
Рис. 2. Пациент К., 44 года. Диагноз: многоузловой коллоидный зоб, эутиреоз. Объем щитовидной железы 173 см3. Состояние через 12 месяцев после тиреоидэктомии. Расположение пищевода у левой боковой стенки трахеи. Увеличение переднезаднего размера пищевода
Просвет пищевода в послеоперационном периоде увеличивался в переднезаднем направлении. Дооперационная медиана этого параметра составляла 0,37 см. Через два месяца после тиреоидэктомии он также соответствовал дооперационным значениям. Однако через шесть месяцев после хирургического вмешательства наблюдали его увеличение в среднем на 1,3 см. Через шесть месяцев медиана переднезаднего размера органа увеличилась в 4 раза, через 12 месяцев – в 6 раз, что достоверно превышает дооперационные значения (Т-критерий Вилкоксона, p ≤ 0,01). Орган приобрел шаровидную форму (табл. 1).
Таблица 1
Сравнение медиан переднезаднего размера пищевода до операции, через два, шесть и 12 месяцев после вмешательства
Уровень среза | Медиана переднезаднего размера пищевода, см | Т-критерий Вилкоксона | |||
до операции | через два мес. после операции | через шесть мес. после операции | через 12 мес. после операции | ||
С VI (шестой шейный | 0,37 | 0,45 | 1,8* | 2,3** | *p ≤ 0,01 ** p ≤ 0,01 |
С VII (седьмой шейный | 0,34 | 0,4 | 1,76* | 2,6** | *p ≤ 0,01 ** p ≤ 0,01 |
Th1 (первый грудной | 0,4 | 0,48 | 1,74* | 1,96** | * p ≤ 0,01 ** p ≤ 0,01 |
Примечание: здесь и в табл. 2, 3: * p ≤ 0,01 (Т-критерий Вилкоксона) – показатель через шесть месяцев после операции относительно дооперационного значения; **p ≤ 0,01 (Т-критерий Вилкоксона) – показатель через 12 месяцев после операции относительно дооперационного значения.
Одновременно с расширением пищевода происходило его смещение к левой боковой стенке трахеи. До операции медиана смещения относительно вертикальной оси составляла 0,32 см. Через два месяца после операции она возросла до 0,41 см, через шесть месяцев – до 1,1 см, а через 12 месяцев – до 2,12 см. Смещение пищевода по горизонтальной оси влево наблюдали со второго месяца послеоперационного периода, и в 73 % случаев пищевод через год после тиреоидэктомии располагался параллельно трахее (табл. 2, 3).
Таблица 2
Медиана смещения пищевода относительно вертикальной оси до операции, через два, шесть и 12 месяцев после вмешательства
Уровень среза | Медиана смещения пищевода по вертикальной оси, см | Т-критерий Вилкоксона | |||
до операции | через два мес. после операции | через шесть мес. после операции | через 12 мес. после операции | ||
С VI (шестой | 0,3 | 0,42 | 0,9* | 2,0** | * p ≤ 0,01 ** p ≤ 0,01 |
С VII (седьмой | 0,39 | 0,49 | 1,1* | 2,4** | * p ≤ 0,01 ** p ≤ 0,01 |
Th1 (первый | 0,42 | 0,62 | 1,4* | 1,98** | * p ≤ 0,01 ** p ≤ 0,01 |
В литературе представлены единичные публикации о топографической анатомии щитовидной железы при увеличении ее объема [12]. Сведений о послеоперационных изменениях топографии органов шеи после тиреоидэктомии нами не найдено. Обнаруженные анатомические изменения, вероятно, связаны интраоперационным разрушением соединительнотканных структур, связывающих щитовидную железу с другими органами и фиксирующих заднюю поверхность органа к гортани, трахее и пищеводу.
Таблица 3
Медиана смещения пищевода относительно горизонтальной оси до операции
Уровень среза | Медиана смещения пищевода по вертикальной оси, см | Т-критерий Вилкоксона | |||
до операции | через два мес. после операции | через шесть мес. после операции | через 12 мес. после операции | ||
С VI (шестой шейный | 0,14 | 0,24 | 0,73* | 0,83* | * p ≤ 0,01 ** p ≤ 0,01 |
С VII (седьмой шейный | 0,11 | 0,26 | 0,62* | 0,64* | * p ≤ 0,01 ** p ≤ 0,01 |
Th1 (первый грудной | 0,21 | 0,27 | 0,71* | 0,79* | * p ≤ 0,01 ** p ≤ 0,01 |
Выводы
В течение года после тиреоидэктомии происходят изменения формы, диаметра шейного отдела пищевода и его топографии. Через 12 месяцев после удаления щитовидной железы увеличивается переднезадний размер пищевода в шесть раз, по сравнению с дооперационным, происходит его смещение к левой боковой стенке трахеи относительно вертикальной оси на 2,12 см. Полученные результаты могут быть полезны при повторных хирургических вмешательствах в этой области.
Финансирование. Исследование не имело спонсорской поддержки.
Конфликт интересов. Авторы заявляют об отсутствии конфликта интересов.
Вклад авторов равноценен.
About the authors
A. S. Zhirnova
Orenburg State Medical University
Author for correspondence.
Email: oringirl@mail.ru
PhD (Medicine), Associate Professor of the Department of General Surgery
Russian Federation, Orenburg
O. M. Abramzon
Orenburg State Medical University
Email: oringirl@mail.ru
DSc (Medicine), Professor of the Department of General Surgery
Russian Federation, OrenburgS. N. Lyashchenko
Orenburg State Medical University
Email: oringirl@mail.ru
DSc (Medicine), Professor, Head of the Department of Operative Surgery and Clinical Anatomy
Russian Federation, OrenburgReferences
- Пампутис С.Н., Беляков И.Е., Дякив А.Д., Александров Ю.К. Особенности предоперационного обследования пациентов с зобом больших размеров. Практическая медицина 2019; 4 (37): 145–148 / Pamputis S.N., Belyakov I.E., Dyakiv A.D., Aleksandrov Y.K. Features of preoperative examination of patients with large goiter. Practical Medicine 2019; 4 (185): 145–148 (in Russian).
- Позднякова А.В., Поздняков Д.А., Малеков О.Ф. Лучевая диагностика узловых новообразований щитовидной железы. Визуализация в медицине 2020; 1 (5): 25–31 / Pozdnyakova A.V., Pozdnyakov D.A., Malekov O.F. Radiation diagnostics of nodular neoplasms of the thyroid gland. Visualization in Medicine 2020; 1 (5): 25–31 (in Russian).
- Карпатский И.В. Роль современных методов диагностики в определении хирургической тактики у больных шейнозагрудинным зобом.Children´s Medicine of the North-West 2023; 2 (126): 103–112 / Karpatsky I.V. The role of modern diagnostic methods in determining surgical tactics in patients with cervical retrosternal goiter. Children's Medicine of the North-West 2023; 2 (126): 103–112 (in Russian).
- Мадрагимова Б.Х. Диагностика очаговых изменений щитовидной железы. Экономика и социум 2022; 4–3 (95): 25–28 / Madragimova B.Kh. Diagnostics of focal changes in the thyroid gland. Economy and Society 2022; 4–3 (95): 25–28 (in Russian).
- Deniz M.A., Turmak M., Hattapoglu S., Akbudak I., Tay M. Evaluation of thyroid Zuckerkandl tubercle by computed tomography. Surg Radiol Anat. 2022; 44 (6): 907–912.
- Yi X., Zhao P., Song Q., Yuan X., Wang Z. Age-related Changes in Computed Tomography Density of Thyroid Gland in Children: A Single-Center Retrospective Study in Northern China. J Comput Assist Tomogr. 2022; 46 (199): 145–149.
- Фатеев И.Н. Количественные параметры щитовидной железы по результатам компьютерной томографии и ультразвукового исследования. Альманах молодой науки 2018; 2 (10): 38–43 / Fateev I.N. Quantitative parameters of the thyroid gland based on the results of computed tomography and ultrasound examination. Almanac of Young Science 2018; 2 (10): 38–43 (in Russian).
- Васюков М.Н., Каган И.И., Третьяков А.А. Анатомо-метрическая характеристика и динамика изменений плевральной полости после пневмонэктомии. Хирургия. Журнал им. Н.И. Пирогова 2021; 5 (17): 32–41 / Vasyukov M.N., Kagan I.I., Tretyakov A.A. Anatomical and metric characteristics and dynamics of changes in the pleural cavity after pneumonectomy. Surgery. Journal im. N.I. Pirogov 2021; 5 (17): 32–41 (in Russian).
- Корнякова А.Р., Иванов К.М., Чемезов С.В., Самойлов П.В. Влияние операции типа Льюиса на функциональное состояние сердечно-сосудистой и дыхательной систем у больных с различной локализацией рака пищевода. Оренбургский медицинский вестник 2015; 4 (12): 23–27. /Kornyakova A.R., Ivanov K.M., Chemezov S.V., Samoilov P.V. The influence of Lewis-type surgery on the functional state of the cardiovascular and respiratory systems in patients with different localizations of esophageal cancer. Orenburg Medical Bulletin 2015; 4 (12): 23–27 (in Russian).
- Рыков А.Е., Самойлов П.В. Топографо-анатомические изменения в средостении при раке пищевода. Морфология 2010; 4 (91): 168 / Rykov A.E., Samoilov P.V. Topographic and anatomical changes in the mediastinum in esophageal cancer. Morphology 2010; 4 (91): 168 (in Russian).
- Монина Ю.В., Чемезов С.В. Особенности компьютерно-томографической анатомии забрюшинного пространства после нефрэктомий. Креативная хирургия и онкология 2014; 3 (21): 52–54 / Monina Yu.V., Chemezov S.V. Features of computed tomographic anatomy of the retroperitoneal space after nephrectomies. Creative surgery and oncology 2014; 3 (21): 52–54 (in Russian).
- Каган И.И., Фатеев И.Н. Топографо-анатомические особенности щитовидной железы по данным компьютерной томографии. Морфология 2007; 4 (26): 56–60 / Kagan I.I., Fateev I.N. Topographical anatomical features of the thyroid gland according to computed tomography data. Morphology 2007; 4 (26): 56–60 (in Russian).
- Фатеев И.Н. Закономерности микрохирургической, ультразвуковой и компьютерно-томографической анатомии щитовидной железы и их клиническое значение. Клиническая анатомия и экспериментальная хирургия 2008; 8 (4): 248–259 / Fateev I.N. Patterns of microsurgical, ultrasound and computed tomographic anatomy of the thyroid gland and their clinical significance. Clinical Anatomy and Experimental Surgery 2008; 8 (4): 248–259 (in Russian).
Supplementary files




