Diagnosis and treatment of the early gastric leak after sleeve gastrectomy in morbid obesity (clinical case)
- Authors: Britvin T.А.1,2, Alaev D.S.2, Elagin I.B.3, Nadein I.V.2
-
Affiliations:
- Moscow Regional Clinical and Research Institute named after M.F. Vladimirsky
- «MEDSI Group» Joint Stock Company
- Rassvet Clinic
- Issue: Vol 42, No 5 (2025)
- Pages: 143-152
- Section: Clinical case
- Submitted: 19.06.2025
- Published: 14.11.2025
- URL: https://permmedjournal.ru/PMJ/article/view/685173
- DOI: https://doi.org/10.17816/pmj425143-152
- ID: 685173
Cite item
Full Text
Abstract
Morbid obesity is a significant current medico-social problem, and bariatric surgery is a highly effective method for losing weight in individuals with severe obesity. Laparoscopic sleeve gastrectomy is the most commonly performed bariatric procedure. The most formidable complication of this operation is gastric leak. Our report demonstrates the diagnosis and management of early staple line leakage after laparoscopic sleeve gastrectomy.
A 34-year-old female patient (BMI 40 kg/m2) underwent laparoscopic sleeve gastrectomy using a calibration bougie 36 F. The failure was suspected on the 2nd day after the operation, but the X-ray examination of the stomach failed to reveal a water-soluble contrast leak outside the gastric wall. The gastric leak was detected on the 3rd day after the procedure on abdominal CT-scan. The abscess was drained on re-laparoscopy. No closure of the insolvency zone and endoluminal stenting of the stomach were performed. The patient maintained fluid intake. On the 7th day after the re-laparoscopy, she was discharged from the hospital in a satisfactory condition with drainage installed in the abscess. On the follow-up examination in 2 weeks, the general condition was satisfactory, the patients got food following the dietary recommendations; fistulography showed a slight leakage of contrast material into the gastric remnant. After another 2 weeks, no contrast material in the gastric lumen was detected on fistulography. In 1 month, no defect of staple line was revealed on esophagogastroduodenoscopy, including insufflation.
The used approach allowed us to eliminate the early staple line leakage after laparoscopic sleeve gastrectomy in a relatively short period.
Full Text
Введение
Ожирение остается распространенной медико-социальной проблемой современности, к тому же в последние годы в большинстве стран мира наблюдается отчетливая тенденция к увеличению числа не только взрослых людей, имеющих избыточный вес или ожирение, но и детей и подростков. Так, по оценкам экспертов Всемирной федерации по изучению ожирения (World Obesity Federation), к 2025 г. распространенность ожирения составит около 17 %, а к 2035 г., по прогнозам, – превысит 20 %. В Российской Федерации этот показатель также продолжает увеличиваться как среди мужчин, так и среди женщин, составив в 2017 г. 27,9 и 31,8 % соответственно [1].
Бариатрические операции в настоящее время рассматриваются как наиболее эффективный метод лечения ожирения и обусловленных им заболеваний, таких как сахарный диабет 2-го типа, артериальная гипертензия, обструктивное ночное апноэ, неалкогольная жировая болезнь печени. Существует несколько вариантов операций, при этом самой популярной и наиболее воспроизводимой из них остается лапароскопическая продольная резекция желудка [2–4].
Несмотря на простоту выполнения и безопасность, при продольной резекции желудка существует риск развития послеоперационных осложнений (кровотечение, несостоятельность линии швов, стеноз, гастроэзофагеальный рефлюкс и т. д.). Несостоятельность скрепочного шва после лапароскопической продольной резекции желудка относится к числу наиболее частых ранних послеоперационных осложнений [5; 6]. При этом универсального лечебного алгоритма не существует, и некоторые вопросы по тактике ведения таких пациентов остаются нерешенными. Представляем собственное клиническое наблюдение, демонстрирующее диагностику и лечение ранней несостоятельности линии скрепочных швов после лапароскопической продольной резекции желудка.
Цель исследования – демонстрация диагностики и авторской тактики лечения ранней несостоятельности скрепочного шва после лапароскопической продольной резекции желудка.
Клинический случай
Пациентка Г., 34 года, обратилась в клинику по поводу ожирения III степени по ВОЗ (рост – 173 см, вес – 120 кг, ИМТ – 40 кг/м2). Из ассоциированных с ожирением патологических состояний диагностированы гипертоническая болезнь 2-й стадии, по артериальной гипертензии II степени, риск 3, и хронический калькулезный холецистит. Из анамнеза известно, что повышенный вес с 20-летнего возраста, предпринимала попытки снижения веса с помощью различных диет, однако похудеть не удалось. После предоперационного обследования 02.05.2023 произведена лапароскопическая продольная резекция желудка с использованием калибровочного зонда 36 Fr и аппарата Echelon 60 (две зеленые, одна желтая и три синие кассеты). Укрепления степлерной линии не проводили. В течение первых суток после операции жалоб не предъявляла, общее состояние оценивалось как удовлетворительное, объем потребляемой жидкости составил 200 мл. На вторые сутки после операции стала отмечать ноющую боль в верхних отделах живота, при этом тахикардии и перитонеальных симптомов не было, температура тела оставалась нормальной. Пациентка ходила, пила воду, у нее отходили газы и был однократный стул. Выполнено УЗИ, при котором жидкостных скоплений в брюшной полости обнаружено не было. При полипозиционном рентгенологическом исследовании пищевода и желудка с водорастворимым контрастом пассаж контрастного вещества был сохранен, его затеков за пределы органов не отмечено (рис. 1).
Рис. 1. Рентгеноскопия желудка с водорастворимым контрастом в прямой (а) и боковой (б) проекциях, в положении стоя. Данных о наличии затека за пределы контуров желудка не выявлено
Однако на следующие сутки зафиксирован нейтрофильный лейкоцитоз: лейкоциты 19,41 · 109/л (референс: 4,5–11,0), нейтрофилы 18,8 · 109/л (референс: 1,56–6,13), лимфоциты 0,31 · 109/л (референс: 1,18–3,74), моноциты 0,3 · 109/л (референс: 0,4–1,1), и повышение уровня СРБ до 85 мг/мл (референс: 0–5), в связи с чем выполнена компьютерная томография (КТ) брюшной полости с пероральным и внутривенным контрастированием. В поддиафрагмальном пространстве слева вблизи кардиального жома обнаружено отграниченное скопление жидкости 7,5 × 6 × 11 см, со следами контрастного вещества, что свидетельствовало о несостоятельности скрепочного шва в области кардиального отдела культи желудка (рис. 2).
Рис. 2. Мультиспиральная компьютерная томография брюшной полости с внутривенным и пероральным контрастированием. Фронтальная MPR-реконструкция. Дефект в области скрепочного шва (зеленая стрелка) с контрастированием хода в левом поддиафрагмальном пространстве (красная стрелка) и затеком контрастной взвеси в отграниченное жидкостное скопление (синяя стрелка)
05.05.2023 пациентке была выполнена релапароскопия. В брюшной полости имелся мутный серозный выпот, петли кишок физиологической окраски, без налета фибрина. Место несостоятельности скрепочного шва желудка визуализировать не удалось, обнаружен и вскрыт абсцесс объемом около 50 мл в области предполагаемой несостоятельности, в полость которого установлен трубчатый дренаж. Также были установлены дренажи в малый таз и надпеченочное пространство. Назначена антибактериальная терапия препаратами резерва: меронем (1 г 3 раза в сутки) и ванкомицин (1 г 2 раза в сутки) внутривенно. В течение первых суток после релапароскопии пациентка была активизирована, проводилось парентеральное питание. Сброс по дренажу из полости абсцесса на вторые сутки прекратился, гипертермии и пареза кишечника не было, но сохранялся лейкоцитоз до 16,5 · 109/л, повышение СРБ до 192 мг/л и прокальцитонина до 1,8 нг/мл (референсные значения: до 0,5). Выполнена питьевая проба с водой, а также рентгеноскопия желудка и КТ брюшной полости. При рентгеноскопии пассаж контраста по пищеводу и желудку был сохранен, затеков не обнаружено (рис. 3).
Рис. 3. Контрольная рентгеноскопия желудка с водорастворимым контрастом в прямой проекции, в положении стоя (а) и лежа (б). Данных о сбросе контраста не получено
Рис. 3. Контрольная рентгеноскопия желудка с водорастворимым контрастом в прямой проекции, в положении стоя (а) и лежа (б). Данных о сбросе контраста не получено
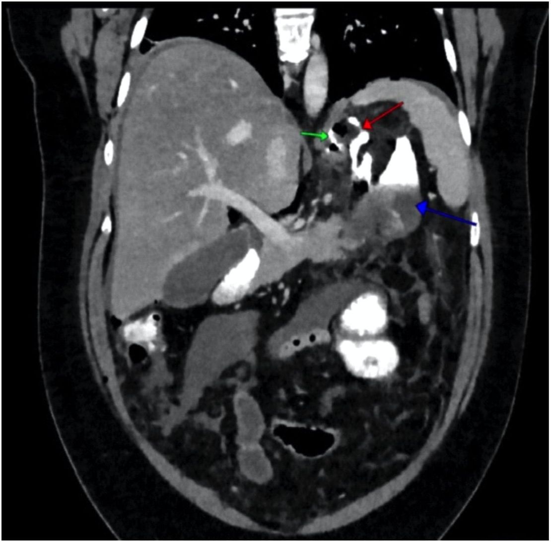
Однако при КТ (после рентгенологического исследования) в положении пациентки лежа на спине сохранялась ранее выявленная полость абсцесса без тенденции к уменьшению размеров (рис. 4).
Рис. 4. Контрольная мультиспиральная компьютерная томография брюшной полости с пероральным контрастированием. Аксиальная плоскость. Сохраняется заброс контраста по ранее визуализируемому свищевому ходу (красная стрелка) вблизи установленного дренажа (зеленая стрелка), с контрастированием просвета полости (синяя стрелка)
Установленный при релапароскопии дренаж удален, под УЗ-наведением выполнено чрескожное дренирование полости. Продолжена проводимая антибактериальная, противоязвенная и инфузионная терапия, а также ежедневная санация полости абсцесса. Пациентке разрешено питье в вертикальном положении тела. В ходе лечения температурной реакции не отмечалось, функция кишечника была не нарушена (ежедневный стул). На 14-е сутки после релапароскопии проведено обследование (УЗИ брюшной полости, рентгенография желудка и фистулография), по результатам которого отмечено существенное уменьшение размеров полости и незначительный заброс контраста в культю желудка при фистулографии (рис. 5).
Рис. 5. Рентгеноскопическая фистулография в положении лежа в прямой проекции (а). Отмечается уменьшение ранее визуализируемой полости с наличием свищевого хода и заброса контраста в просвет пищевода (б – боковая проекция, синяя стрелка)
Также отмечена нормализация показателей клинического анализа крови и уровня СРБ. Пациентка выписана на амбулаторное лечение с рекомендациями перорального приема жидкой пищи и по уходу за дренажом. Еще через две недели при контрольной фистулографии отмечено отсутствие контрастирования выявляемого ранее хода к культе желудка (рис. 6).
Рис. 6. Контрольная рентгеноскопическая фистулография. Уменьшение размеров полости с отсутствием контрастирования ранее визуализируемой фистулы. Сообщения с желудком не выявлено
Дренаж был удален. При контрольной ФГДС через месяц по краю скрепочного шва, в том числе и при инсуффляции, дефекта не обнаружено.
Результаты и их обсуждение
Частота несостоятельности линии швов после продольной резекции желудка варьируется в довольно широких пределах и, по данным некоторых авторов, может достигать 16 %, хотя в среднем не превышает 2,2–3 % [5; 7; 8]. В нашей клинике из 87 оперированных больных мы столкнулись с подобным осложнением впервые.
Диагностика, тактика и успех лечения этого грозного осложнения зависят от ряда факторов, наиболее значимыми из которых являются время постановки диагноза, характер клинических проявлений, локализация и размер несостоятельности [9; 10]. Анализируя литературу и опыт наших коллег из клиник России, мы пришли к заключению, что в настоящее время не существует общепринятого протокола ведения пациентов с несостоятельностью линии швов после продольной резекции желудка, хотя определенные рекомендации в отношении ключевых моментов диагностики и лечения являются общепризнанными.
По данным рентгеноскопии желудка несостоятельность линии скрепочного шва выявляется только в 28–50 % случаев [2; 11]. В нашем наблюдении при полипозиционном рентгенологическом исследовании, выполненном как после первичной операции, так и после релапароскопии, не было зафиксировано подтекания контрастного вещества за пределы желудка. Аналогичные данные по низкой эффективности рентгеноскопии желудка отражены в работах А.Г. Хитарьян и соавт. [12], Л.П. Котельниковой и соавт. [13]. Поэтому на сегодняшний день КТ с пероральным и/или внутривенным введением контраста следует рассматривать как наиболее ценный неинвазивный метод диагностики несостоятельности линии степлерного шва, что подтверждает описанный нами случай и данные литературы, свидетельствующие о 86–90%-ной информативности [14].
Не вызывает сомнений тот факт, что при ранней несостоятельности показана операция в объеме санации и дренирования брюшной полости, а вот вопрос о хирургическом доступе и ушивании дефекта является дискутабельным. Мы придерживаемся позиции, которую реализовали в представленном наблюдении, что лапароскопический доступ позволяет провести полноценную ревизию, адекватную санацию и дренирование брюшной полости, острых жидкостных скоплений, и нет необходимости использовать для этих целей лапаротомию [10]. Некоторые авторы высказывают мнение о необходимости в случаях ранней несостоятельности 2–4 программных релапароскопий [15]. Мы считаем, что повторные санационные лапароскопии нужны только при неадекватной установке дренажа, что подтверждается клиническими данным и методами лучевой диагностики. Что касается обязательной визуализации и ушивания дефекта, то мы не разделяем этого мнения не только в отношении ранней, но и при промежуточной и поздней несостоятельности линии шва, из-за невозможности достоверной визуализации дефекта в большинстве случаев, а при обнаружении – полноценного ушивания из-за прорезывания тканей шовным материалом вследствие их воспалительных изменений.
Полный запрет питья и перорального приема пищи, осуществление нутритивной поддержки через назогастральный зонд или энтеростому, на что указывают авторы наиболее крупных серий наблюдений и литературных обзоров [6; 10], мы считаем дискутабельным. В приведенной клинической ситуации с учетом нормальной эвакуации контрастного препарата из культи желудка в двенадцатиперстную кишку и отсутствия затеков за пределы желудка в вертикальном положении мы решили не переводить пациентку на зондовое энтеральное питание. Прием жидкости через рот служит важнейшим профилактическим мероприятием паралитической кишечной непроходимости, и наш опыт показал, что после адекватного дренирования и ежедневной санации полости абсцесса пероральный прием жидкости не оказал негативного влияния на течение несостоятельности. Однако наши действия не могут иметь рекомендательный характер.
Выводы
Несостоятельность линии механического скрепочного шва после продольной резекции желудка возможна. Наиболее эффективным методом диагностики несостоятельности является КТ брюшной полости с внутривенным контрастированием в сочетании с контрастированием желудка водорастворимым контрастом. Очевидно, что применение той или иной лечебной технологии, или их комбинаций, определяется особенностями каждого клинического случая. В нашем случае комплексный подход к лечению, включающий релапароскопию с санацией и дренированием острого жидкостного скопления, повторное дренирование полости под УЗ-наведением, антибактериальную терапию препаратами резерва, антисекреторную терапию, нутритивную поддержку без установки назогастрального зонда, энтеростомии и отказа от перорального употребления жидкости, позволил устранить раннюю несостоятельность скрепочного шва в сравнительно короткие сроки.
Финансирование. Исследование не имело спонсорской поддержки.
Конфликт интересов. Авторы заявляют об отсутствии конфликта интересов.
Вклад авторов:
Бритвин Т.А. – проведение операции и послеоперационное ведение пациентки, идея и написание текста статьи.
Алаев Д.С. – проведение операции и послеоперационное ведение пациентки, редактирование статьи.
Елагин И.Б. – консультирование при послеоперационном ведении пациентки, редактирование текста статьи.
Надеин И.В. – подбор и анализ иллюстративного материала, отражающего результаты методов лучевой диагностики.
Все авторы утвердили окончательный вариант текста статьи.
Ограничение исследования. Проведенное исследование соответствует стандартам Хельсинкской декларации, одобрено независимым этическим комитетом при ГБУЗ МО МОНИКИ им. М.Ф. Владимирского, протокол № 17 от 16.10.2025. Пациентка дала письменное согласие на публикацию, сообщение и размещение в Интернете информации о характере заболевания, проведенном лечении и его результатах с научной и образовательной целями.
About the authors
T. А. Britvin
Moscow Regional Clinical and Research Institute named after M.F. Vladimirsky; «MEDSI Group» Joint Stock Company
Author for correspondence.
Email: t.britvin@gmail.com
ORCID iD: 0000-0001-6160-1342
DSc (Medicine), Head of the Department of Endocrine Surgery
Russian Federation, Moscow; MoscowD. S. Alaev
«MEDSI Group» Joint Stock Company
Email: t.britvin@gmail.com
PhD (Medicine), Head of the Surgical Department
Russian Federation, MoscowI. B. Elagin
Rassvet Clinic
Email: t.britvin@gmail.com
ORCID iD: 0000-0002-2645-4129
PhD (Medicine), Surgeon
Russian Federation, МоscowI. V. Nadein
«MEDSI Group» Joint Stock Company
Email: t.britvin@gmail.com
Radiologist
Russian Federation, MoscowReferences
- Алферова В.И., Мустафина С.В. Распространенность ожирения во взрослой популяции Российской Федерации (обзор литературы). Ожирение и метаболизм 2022; 19 (1):96–105. doi: 10.14341/omet12809 / Alferova V.I., Mustafina S.V. The prevalence of obesity in the adult population of the Russian Federation (literature review). Obesity and metabolism 2022; 19 (1): 96–105. doi: 10.14341/omet12809 (in Russian).
- Alharbi S.R. Plain X-ray findings of post sleeve gastrectomy gastric leak. Journal of Clinical Imaging Science 2022; 12 (28): 1–6. doi: 10.25259/JCIS_6_2022
- O’Brien P.E., Hindle A., Brennan L., Skinner S., Burton P., Smith A., Crosthwaite G., Brown W. Long-term outcomes after bariatric surgery: a systematic review and meta-analysis of weigt loss at 10 or more years for all bariatric procedures and a single-center review of 20-year outcomes after adjustable gastric banding. Obesity Surgery 2019; 29 (1): 3–14. DOI: 10/1007/s11695-018-3525-0
- Peterli R., Wolnerhanssen B.K., Peters T., Vetter D., Kroll D., Borbely Y., Schultes B., Beglinger Ch., Drewe J., Schiesser M., Nett Ph., Bueter M. Effect of laparoscopic sleeve gastrectomy vs laparoscopic Roux-en-Y gastric bypass on weight loss in patients with morbid obesity: The SM-BOSS randomized clinical trial. JAMA 2018; 319 (3): 255–265. doi: 10.1001/jama.2017.20897
- Gagner M., Buchwald J.N. Comparison of laparoscopic sleeve gastrectomy leak rates in four staple-line reinforcement options: a systematic review. Surgery for Obesity and Related Diseases 2014; 10 (4): 713–72. doi: 10.1016/j.soard.2014.01.016
- Wozniewska P., Diemieszczyc I., Razak H. Complications associated with laparoscopic sleeve gastrectomy – A review. Gastroenterology 2021; 16 (1): 5–9. doi: 10.5114/pg.2021.104733
- Burgos A.M., Braghetto I., Csendes A., Maluenda F., Korn O., Yarmuch J., Gutierrez L. Gastric leak after laparoscopic sleeve gastrectomy for obesity. Obesity Surgery 2009; 19 (12): 1672–1677. doi: 10.1007/s11695-009-9884-9
- Parikh M., Issa R., McCrillis A., Saunders J.K., Ude-Welcome A., Gagner M. Surgical strategies that may decrease leak after laparoscopic sleeve gastrectomy: a systematic review and meta-analysis of 9991 cases. Annals of Surgery 2013; 257 (2): 231–237. doi: 10.1097/SLA.0b013e31826cc714
- Al Zoubi M., Khidir N., Bashah M. Challenges in the diagnosis of leak after sleeve gastrectomy: clinical presentation, laboratory, and radiological findings. Obesity Surgery 2021; 31: 612–616. doi: 10.1007/s11695-020-05008-y
- Praveenraj P. Gomes R.M., Kumar S., Senthilnathan P., Parthasarathi R., Rajapandian S., Palanivelu Ch. Management of gastric leaks after laparoscopic sleeve gastrectomy for morbid obesity: a tertiary care experience and desing of a management algorithm. J Minim Access Surg. 2016; 12 (4): 342–349. doi: 10.4103/0972-9941.181285
- Глинник А.А., Стебунов С.С., Богушевич О.С., Руммо О.О., Авлас С.Д., Минов А.Ф. Несостоятельность линии механического шва после рукавной резекции желудка. Евразийский союз ученых 2019; 4 (61): 62–69. doi: 10.31618/ESU.2413-9335.2019.4.61.29 / Glinnik A.A., Stebunov S.S., Bogushevich O.S., Rummo O.O., Avlas C.D., Minov A.F. The failure of the mechanical suture line after sleeve gastrectomy. Eurasian Union of Scientists 2019; 4 (61): 62–69. doi: 10.31618/ESU.2413-9335.2019.4.61.29 (in Russian).
- Хитарьян А.Г., Старжинская О.Б., Межунц А.В., Орехов А.А. Тактика и результаты лечения несостоятельности линии степлерного шва после рукавной гастропластики. Таврический медико-биологический вестник 2019; 22 (3): 68–73. doi: 10.18484/2305-0047.2020.5.591 / Khitaryan A.G., Starzhynskaya O.B., Mezhunts A.V., Orekhov A.A. The tactics and results of treatment of staple line leakage after sleeve gastrectomy. Tavricheskiy mediko-biologicheskiy vestnik 2019; 22 (3): 68–73. doi: 10.18484/2305-0047.2020.5.591 (in Russian).
- Котельникова Л.П., Федачук А.Н., Шварев А.В. Опыт лечения поздней несостоятельности механического шва после лапароскопической продольной резекции желудка с использованием мини-инвазивных методик. Новости хирургии 2020; 28 (5): 591–596. doi: 10.18484/2305-0047.2020.5.591 / Kotelnikova L.P., Fedachuk A.N., Shraev A.V. Experience in the treatment of late mechanical suture failure after longitudinal laparoscopic sleeve gastrectomy using minimally invasive techniques. Novosti Khirurgii. 2020; 28 (5): 591–596. doi: 10.18484/2305-0047.2020.5.591 (in Russian).
- Garofalo F., Pescarus R., Ronald D., Atlas H., Garneau P., Philie M., Sayegh K. Laparoscopic sleeve gastrectomy: a radiological guide to common postsurgical failure. Canadian Association of Radiologists Journal 2018; 69: 184–196. doi: 10.1016/j.carj.2017.10.004
- Li S., Jiao S., Zhang S., Zhou J. Revisional surgeries of laparoscopic sleeve gastrectomy. Diabetes, Metabolic and Obesity: Targets and Therapy 2021; 14: 575–588. doi: 10.2147/dmso.5295162
Supplementary files







