Оценка билиостатических свойств современных топических гемостатических средств, применяемых в хирургии печени
- Авторы: Тимошенкова А.В.1, Кузьмин М.В.1, Катанов Е.С.1
-
Учреждения:
- Чувашский государственный университет им. И.Н. Ульянова
- Выпуск: Том 35, № 1 (2018)
- Страницы: 102-107
- Раздел: Статьи
- Статья получена: 15.04.2018
- Статья опубликована: 15.02.2018
- URL: https://permmedjournal.ru/PMJ/article/view/8677
- DOI: https://doi.org/10.17816/pmj351102-107
- ID: 8677
Цитировать
Полный текст
Аннотация
Цель. Оценить билиостатические свойства современных топических гемостатических средств и разработанной клеевой композиции медицинского назначения, применяемых в хирургии печени, в эксперименте.
Материалы и методы. Проведены исследования по оценке адгезионных свойств местных гемостатических средств на крысах линии Vistar массой 178 ± 10 г при использовании устройства для определения герметичности культи печени методом гидропрессии. Проведена сравнительная оценка эластичности и адгезионной прочности гемостатических средств на разрывной машине «РЭМ-10». Разработан и изучен в эксперименте оригинальный полиуретановый клей медицинского назначения.
Результаты. Наиболее высокими адгезионными свойствами обладают клеевые композиции «Bioglue», гемостатическая губка «Тахокомб» и оригинальная полиуретановая композиция медицинского назначения с адгезионной прочностью более 600 Па (мм вод. ст.) при p < 0,05. На основе экспериментальных данных установлено, что значительной адгезионной прочностью, эластичностью и стойкостью к гидропрессии обладают клеевая композиция «Bioglue» и полиуретановая клеевая композиция.
Выводы. 1. Клеевые композиции обладают более высокой адгезией и выдерживают более высокий предельный уровень давления по сравнению с губками и пластинками. Оригинальная полиуретановая композиция обладает максимальной адгезионной прочностью, эластичностью и стойкостью при гидропрессии. 2. После аппликации оригинальной полиуретановой клеевой композиции на резецированную печень в эксперименте через 30–35 суток она полностью лизируется.
Полный текст
ВВЕДЕНИЕ
Накопление знаний в области диагностики очаговых заболеваний печени способствовало увеличению количества производимых резекций печени за последние годы [1–3]. Улучшение хирургической техники, анестезиологического пособия, тщательный отбор пациентов позволили снизить частоту таких осложнений, как печеночная недостаточность, инфекционные и геморрагические осложнения. Однако частота билиарных осложнений, по данным разных авторов, остается стабильной и составляет от 4,0 до 17,2 %, что свидетельствует о необходимости дальнейшей разработки путей ее лечения и профилактики [10, 11]. Под билиарными осложнениями понимают развитие биломы, наружного или внутреннего желчного свища и желчного перитонита [7, 9].
Топическое гемостатическое средство, применяемое для профилактики желчеистечения, должно обладать высокой адгезией к мягким тканям, гидрофильностью, эластичностью, агрессивостойкостью. Кроме того, гемостатик не должен оказывать местного и общего токсического действия, препятствовать формированию соединительнотканного рубца при регенерации тканей, а продукты биодеструкции должны выводиться из организма обычным путем, не кумулируясь в тканях [8]. Для профилактики кровотечения и желчеистечения наиболее часто применяют клеевые композиции «Bioglue», «Tissucol», губку гемостатическую, «Тахокомб», желатиновую губку «Spongostan», целлюлозную пластину «Sergisel». Сравнение их свойств представляет интерес при выборе наиболее адекватного средства для профилактики билиарных осложнений после резекции печени.
Цель исследования – оценить билиостатические свойства современных топических гемостатических средств и разработанной клеевой композиции медицинского назначения, применяемых в хирургии печени, в эксперименте.
МАТЕРИАЛЫ И МЕТОДЫ ИССЛЕДОВАНИЯ
В эксперименте использованы 50 белых крыс-самцов линии Wistar весом 178 ± 10 г, у которых смоделирована травма печени путем резекции двух долей. В зависимости от способа гемо-, холестаза выборка была распределена на две группы: контрольную (n = 8), в которой раневая поверхность печени была ушита П-образным швом, и опытную (n = 42), в которой для гемо-, холестаза на раневую поверхность была произведена аппликация местных гемостатических средств, применяемых в хирургической гепатологии в лечебно-профилактических учреждениях Чувашской Республики: биосинтетическая клеевая композиция «Bioglue» (n = 7), губка гемостатическая (n = 7), «Тахокомб» (n = 7), желатиновая губка «Spongostan» (n = 7), целлюлозная пластина «Surgisel» (n = 7) и разработанная полиуретановая клеевая композиция медицинского назначения (n = 7).
Билиостатические свойства оценивали путем измерения адгезионной прочности, эластичности и относительного удлинения на разрывной машине «РЭМ-10», предназначенной для создания нормированного значения меры силы и применяемой для проведения физико-механических испытаний образцов материалов и изделий в режиме растяжения или сжатия измерителя силы.
Адгезионную прочность также определяли методом гидропрессии при помощи оригинального устройства, создающего повышение давления в желчных протоках (рис. 1) [4]. Устройство состоит из шприца с делениями (1) объемом 50 мл, соединенного через переходник с двумя трубками: одна (3) подсоединяется к манометру (2), другая соединяется с катетером (4), введенным в протоковую систему культи печени (5). Максимальное давление, при котором происходили отрыв гемостатического средства от поверхности и вытекание раствора, измерялось в миллиметрах водного столба (мм вод. ст.) (рис. 1).
Для анализа полученных данных использовали пакеты статистических программ Statistica 10.0 и AtteStat. Определяли среднее арифметическое значение и стандартное отклонение. Для количественного сравнения двух несвязанных групп использовали непараметрический критерий Манна – Уитни. Различия между группами считали статистически значимыми при р < 0,05.
Рис. 1. Устройство для определения герметичности культи печени и поджелудочной железы методом гидропрессии
Гистологическое исследование резецированного участка печени с клеевой композицией медицинского назначения проводили путем предварительного забора с созданием модели резекции печени на 1-е, 3-и, 8-е, 14-е, 21-е и 30-е сутки с последующей окраской гематоксилином и эозином. Представлены данные морфологического исследования на 1-е и 30-е сутки.
РЕЗУЛЬТАТЫ И ИХ ОБСУЖДЕНИЕ
Разработана полиуретановая композиция на основе ароматического изоцианата и смеси простых полиэфиров с добавлением активного катализатора (патент на изобретение № 2583936 «Медицинский клей» от 19.10.2014) [5], обладающая необходимыми свойствами для билиостаза: высокой адгезией к любой поверхности, хорошей эластичностью, биодеградируемостью, отсутствием токсических и сенсибилизирующих свойств, доступностью исходных ингредиентов. Разрешительная документация на применение в клинике готовится. Данная композиция относится к малоопасным соединениям 4-го класса (протокол лабораторных испытаний № Н-240-Д-2016 от 12.05.2016 г, ТУ 21.20.23-001-06465800-2017 от 06.05.2017).
Данные анализа физико-механических свойств гемостатических средств (табл. 1) свидетельствуют о более сильных адгезионных и эластичных свойствах синтетической клеевой композиции над биосинтетическим и биологическим субстратом.
Полиуретановая композиция обладала более высокими адгезионной прочностью и относительным удлинением.
Предельный уровень давления представленных гемостатических средств был измерен методом гидропрессии (табл. 2).
Таблица 1. Физико-механические свойства гемостатических средств
№ п/п | Гемостатик местного действия | Адгезионная прочность* (M ± σ), Па | Относительное удлинение* (M ± σ), % |
1 | «Spongostan» | 5,12 ± 0,23 | 50 ± 1 |
2 | «Surgisel» | 5,23 ± 0,12 | 100 ± 2 |
3 | «Тахокомб» | 5,97 ± 0,17 | 45 ± 1 |
4 | «Bioglue» (биосинтетический) | 7,64 ± 0,31 | 160 ± 2 |
5 | Губка гемостатическая | 5,35 ± 0,25 | 40 ± 19 |
6 | Полиуретановый клей (синтетический) | 8,82 ± 0,13 | 200 ± 1 |
Примечание. * – погрешность измерения нагрузки и относительно удлинения от измеряемой величины ± 1 %.
Таблица 2. Предельный уровень давления гемостатических средств
№ п/п | Гемостатик местного действия | Предельный уровень давления, Па | р |
1 | «Spongostan» | 150 ± 3 | 0,04 |
2 | «Surgisel» | 150 ± 4 | 0,032 |
3 | «Тахокомб» | 600 ± 4 | 0,012 |
4 | «Bioglue» (биосинтетический) | 900 ± 5 | 0,023 |
5 | Губка гемостатическая | 100 ± 4 | 0,043 |
6 | Полиуретановый клей (синтетический) | 1200 ± 6 | 0,037 |
Примечание. Данные достоверны при р < 0,05 при сравнении с контрольной группой, где резецированная поверхность печени обработана П-образными швами; использован критерий Манна – Уитни.
Анализ полученных результатов показал, что «Тахокомб», «Bioglue» и полиуретановая композиция медицинского назначения обладают наиболее высокой адгезией, поскольку выдерживают максимальное давление при гидропрессии более 600 мм вод. ст. Все клеевые композиции обладают более высокой адгезией по сравнению с губками и пластинками, что можно объяснить их лучшей смачиваемостью и растекаемостью, благодаря которым увеличивается площадь соприкосновения клеевой композиции и желчного протока.
Следует отметить, что синтетические клеевые композиции обладают более высокой адгезионной прочностью по сравнению с биосинтетическими и биологическими образцами (см. табл. 2). При нанесении двухкомпонентного полиуретанового состава происходит химическое взаимодействие изоцианатсодержащего компонента как с поверхностью мягких тканей, так и с компонентами клеевого состава, в результате образуется однородное покрытие, содержащее пептидные связи и имеющее биологическое сродство с тканями.
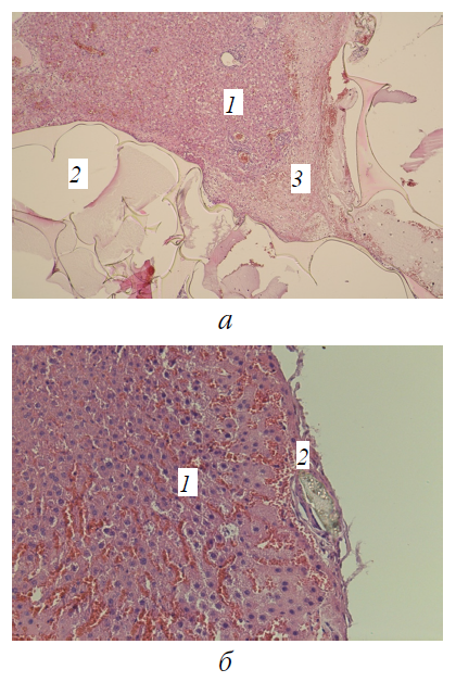
Морфологическая картина печени после аппликации полиуретановой клеевой композиции на 1-е сутки после резекции (рис. 2, а) и 30-е сутки после создания модели резекции печени (рис. 2, б) свидетельствует о том, что клеевая композиция полностью лизируется на 30–35-е сутки, не мешая формированию соединительнотканного рубца.
Рис. 2. Морфологическая картина печени после аппликации полиуретановой клеевой композиции: а – через сутки после резекции, ув. ×40; б – на 30-е сутки после резекции, ув. ×20. Окраска гематоксилином и эозином: 1 – паренхима печени; 2 – клеевая композиция; 3 – сформировавшаяся демаркационная зона, зона асептического некроза, начало пролиферации фибробластов
А.И. Халькин в своих исследованиях показал, что эпителий желчных протоков, по сравнению с гепатоцитами, проявляет большую резистентность к токсическим и гипоксическим влияниям, а также быстро регенерирует [6]. Следовательно, применение клеевой композиции синтетического происхождения предпочтительно для профилактики желчеистечения.
ВЫВОДЫ
- Клеевые композиции обладают более высокой адгезией и выдерживают более высокий предельный уровень давления по сравнению с губками и пластинками. Оригинальная полиуретановая композиция обладает максимальной адгезионной прочностью, эластичностью и стойкостью при гидропрессии.
- После аппликации оригинальной полиуретановой клеевой композиции на резецированную печень в эксперименте через 30–35 суток она полностью лизируется.
Об авторах
Анна Владимировна Тимошенкова
Чувашский государственный университет им. И.Н. Ульянова
Автор, ответственный за переписку.
Email: colorsit21@mail.ru
аспирант кафедры хирургических болезней
Россия, 428015, город Чебоксары, Московский проспект, дом 15Михаил Владимирович Кузьмин
Чувашский государственный университет им. И.Н. Ульянова
Email: colorsit21@mail.ru
кандидат химических наук, доцент кафедры физической химии и высокомолекулярных соединений
Россия, 428015, город Чебоксары, Московский проспект, дом 15Евгений Степанович Катанов
Чувашский государственный университет им. И.Н. Ульянова
Email: colorsit21@mail.ru
доктор медицинских наук, профессор, заведующий кафедрой общей хирургии и онкологии с курсом урологии
Россия, 428015, город Чебоксары, Московский проспект, дом 15Список литературы
- Гальперин Э.И., Чевокин А.Ю., Игнатюк В.Г. Послеоперационные билиарные осложнения при резекциях печени. Хирургия. Журнал им. Н.И. Пирогова 2011; 1: 12–16.
- Давыденко В.В., Власов Т.Д., Доброскок И.Н. Сравнительная эффективность аппликационных гемостатических средств местного действия при остановке экспериментального паренхиматозного и артериального кровотечения. Вестник экспериментальной и клинической хирургии 2015; 8: 186–194.
- Заривчацкий В.А., Мугатаров И.Н., Каменских Е.Д., Гаврилов О.В., Мальгинов К.Е., Колеватов А.П., Панков К.И. Профилактика и компенсация кровопотери в резекционной хирургии. Пермский медицинский журнал 2013; 13 (5): 6–12.
- Краснова А.В., Анюров С.А., Катанов Е.С. Устройство для определения герметичности культи печени методом гидропрессии: патент на полезную модель № 153972 от 29.12.2014, available at: http://polez nayamodel.ru/model/15/153972.html
- Краснова А.В., Кузьмин М.В., Анюров С.А., Катанов Е.С. Медицинский клей: патент на изобретение № 2583936 от 19.10.2014, available at: http://www.findpatent.ru/patent/ 258/2583936.html
- Халькин А.И., Лисочкин Б.И. Морфологические изменения при склеивании ран печени клеем «Циакрин». Оптические квантовые генераторы и полимеры в экспериментальной и клинической хирургии 1971; 97: 112–119.
- Чардаров Н.К. Билиарные осложнения после резекции печени. Хирургия. Журнал им. И.Н. Пирогова 2010; 8: 61–68.
- Штильман М.И. Биоматериалы – важное направление биомедицинских технологий. Вестник РГМУ 2016; 5: 4–14.
- Briceño J., Naranjo A., Ciria R. A prospective study of the efficacy of clinical application of a new carrier-bound fibrin sealant after liver resection. Archives of Surgery 2010; 145 (5): 482–486.
- Jarnagin W.R., Gonenm M., Fong Y. Improvement in perioperative outcome after hepatic resection: analysis of 1,803 consecutive cases over the past decade. Annals of Surgery 2002; 236 (4): 397–407.
- Nagano Y., Togo S., Tanaka K. Risk factors and management of bile leakage after hepatic resection. World J Surg 2003; 27: 695–698.
Дополнительные файлы





