Effect of recombinant glycodelin on spleen structure in case of allogeneic bone marrow cells introduction
- Authors: Troynich Y.N.1, Loginova N.P.1, Zamorina S.A.2, Raev M.B.2
-
Affiliations:
- E.A. Vagner Perm State Medical University
- Perm State National Research University
- Issue: Vol 39, No 6 (2022)
- Pages: 125-132
- Section: Biology and experimental medicine
- Submitted: 06.01.2023
- Accepted: 06.01.2023
- Published: 06.01.2023
- URL: https://permmedjournal.ru/PMJ/article/view/121059
- DOI: https://doi.org/10.17816/pmj396125-132
- ID: 121059
Cite item
Full Text
Abstract
Objective. To study the effect of recombinant glycodelin (Mybiosource, Germany) on the morphofunctional state of the spleen in case of transplantation of the allogeneic red bone marrow cells to Wistar rats in dynamics of in vivo experiment. From the point of view of immunology, pregnancy is a physiologically conditioned state of the tolerance of mother’s immune system to genetically foreign embryo. Glycodelin is a protein associated with pregnancy; it has an immunosuppressive effect and is perspective for medicine.
Materials and methods. The morphological picture of the organ was assessed; the following immunohistochemical indicators were studied: monoclonal antibodies to 1) CD68 – for identification of macrophages, membrane staining; 2) Ki-67 – for cells divided with mitosis and being in different phases of cellular cycle; 3) determination of macrophage colony-stimulating factor (M-CSF).
Results. When studying the histological slices of the spleen, it was shown that glycodelin against the background of allogeneic transplantation of the bone marrow contributes to the activation of immune system cells in the spleen, stimulates the proliferation of immune cells (Ki-67) and their differentiation that was manifested by an increase in the number of plasmacytes. By the end of the study, macrophage content is essentially reduced; eosinophil infiltration is verified that is an indirect positive sign of reaction to the transplant. Against the background of the bone marrow cells allotransplantation, there was observed an increase in M-CSF level in animals on the day 21st from the onset the experiment compared with the group of intact animals. Introduction of glycodelin against the background of BM cells allotransplantation caused the cancellation of this effect.
Conclusions. Thus, the action of glycodelin qualitatively determined the function of the spleen in direction of the development of a tolerant immune response to allogenate and excluded the development of severe post-transplantation complications.
Keywords
Full Text
Введение
Трансплантация гемопоэтических клеток является чуть ли не единственным радикальным подходом в лечении многих гематологических и ряда онкологических заболеваний [1]. Благодаря современному развитию медицинских технологий спектр показаний к аллогенной трансплантации гемопоэтических стволовых клеток постоянно растет. Основная цель этого метода лечения – максимально снизить развитие осложнений, проявляющихся развитием иммунного конфликта между клетками донора и тканями реципиента, что ведет к отторжению трасплантанта. Одно из наиболее частых и тяжелых осложнений – реакция «трансплантат против хозяина» (РТПХ) – может приводить к летальному исходу у 10–20 % пациентов [2]. Для предотвращения этой реакции необходимо использовать максимально все ресурсы, обеспечивающие толерантность организма к трансплантату. Под толерантностью понимается отсутствие антигенспецифического иммунного ответа, связанное с неполной доступностью антигенных структур, отсутствием специфических Т-лимфоцитов или с недостаточным количеством сигналов активации, а также с супрессией иммунного ответа [2, 3].
В связи с этим актуальной задачей является поиск адекватных механизмов, направленных на создание оптимальной устойчивости, толерантности организма к аллогенату, и наилучшим решением может явится изучение собственных ресурсов организма. Так, факторами, обеспечивающими центральную иммунную толерантность организма матери при беременности, являются белки, ассоциированные с беременностью. Заслуживает внимания один из белков беременности – гликоделин. В ряде экспериментов уже ранее было показано, что гликоделин препятствует отторжению трансплантата [4]. Иммунодепрессивные эффекты гликоделина подтверждены многими исследованиями [5], однако его роль в регуляции современных субпопуляций клеток, формирующих иммунную толерантность к аллогенному трансплантату, не изучена. Недостаточно и данных, описывающих изменения в органах иммунной системы при применении гликоделина. Гликоделин имеет перспективы и в лечении различных заболеваний [6, 7].
Цель исследования – изучение влияния рекомбинантного гликоделина на морфофункциональное состояние селезенки при трансплантации аллогенных клеток красного костного мозга.
Материалы и методы исследования
Экспериментальное исследование выполнено на белых крысах-самцах популяции Wistar (n = 32) в возрасте от 2 до 3 месяцев (m = 250 г.). Животные содержались в условиях вивария ПГНИУ в соответствии с ГОСТ 33216-2014 «Правила работы с лабораторными грызунами и кроликами».
Животных разделили на три группы: 1-я (n = 8) – контроль (интактные животные); 2-я (n = 12) – вводили взвесь клеток костного мозга (КМ) (107 клеток, обработанных камптотецином, 50 мкг/мл, Tocris Bioscience, Великобритания) в 100 мкл физиологического раствора внутрибрюшинно; 3-я группа (n = 12) – после введения аллогенных клеток красного костного мозга делали инъекции рекомбинантного гликоделина (#MBS718444, MуBioSource, Германия). Гликоделин вводили внутримышечно в концентрации 14 мг/100 мкл физиологического раствора (достигаемая концентрация в крови крыс была ≈ 0,75 мкг/мл) на 1, 5, 9-е и 12-е сутки. Известно, что гликоделин является высококонсервативным гликопротеином у млекопитающих разных видов, что позволяет использовать в работе гликоделин человека.
Клетки костного мозга выделяли из бедренных костей, эпифизы которых надрезали ножницами. Костный канал промывали фиксированным объемом среды RPMI-1640, используя шприц. Полученную суспензию фильтровали через один слой капроновой сетки. Затем производили подсчет клеток и обрабатывали их раствором камптотецина – 50 мкг/мл в среде RPMI-1640 в течение 1 ч при температуре 37 оС. После этого клетки пятикратно отмывали в избытке питательной среды (последняя отмывка – физиологическим раствором) и доводили до концентрации 108/мл или 107/100 мкл в физиологическом растворе. В исследованиях использовали модель локальной аллотрансплантации. Трансплантацию 107 клеток в объеме среды 100 мкл производили с помощью шприца внутрибрюшинно.
Выведение животных из эксперимента проводилось через 3, 7, 14 и 21 день методом декапитации в соответствии с международными правилами проведения работ с экспериментальными животными. Объектом исследования служила селезенка.
Гистологическое исследование. После забора селезенку фиксировали в 10%-ном нейтральном формалине на фосфатном буфере (рН = 7,2), проводку осуществляли в гистологическом процессоре замкнутого типа с вакуумом Leica ASP 300 (Германия). Заливали в парафин Histomix фирмы Bio Optica (Германия). На микротоме Leica SM 2000R (Leica Microsystems, Германия) готовили серийные срезы толщиной 4–5 мкм, окрашивали гематоксилином и эозином для оценки общей морфологической картины. Для идентификации плазматических клеток использовали метод окрашивания по Браше. Оценку гистологических препаратов проводили с использованием микроскопов Leica DM2500 и Carl Zeiss LSM 710 и программных пакетов для захвата и анализа изображений Leica Application Suite и Zen 2010.
Иммуногистохимическое исследование. Парафиновые срезы селезенки наносили на адгезивные стекла, обработанные полилизином (Thermo, Великобритания). Иммуногистохимические реакции проводили аппаратным способом с использованием иммуногистохимических автостейнеров Autostainer-360 (Thermo, Великобритания). Для визуaлизaции рeзультaтoв применяли системы дeтeкции Ultra Visiоn ONE Dеtесtiоn Systеm HRP Pоlymеr. Препараты инкубировали с хромогеном – DАB Plus Substrаtе Systеm и дoкрашивали гематoксилинoм Майера с заключением в БиоМаунт-среду. Для оценки качества реакции использовали стекла с позитивным контролем для каждого из антигенов (фирма Labvision, США).
Для определения качественного состава клеток селезенки использовали моноклональные антитела (GenTex, США) к: 1) CD68 – для идентификации макрофагов, мембранное окрашивание; 2) Ki-67 – для клеток, делящихся митозом и находящихся в разных фазах клеточного цикла (G1-S- и G2). Если клетка не пролиферирует, такого взаимодействия не происходит. Положительная экспрессия Ki-67 интенсивно выявляется в виде окрашенного в коричневый цвет ядерного субстрата.
При оценке экспрессии Ki-67 рассчитывали индекс пролиферации (IKi) по формуле: IKi = (n+/N)·100 (%), где n – число меченых ядер, N – общее число ядер в поле зрения микроскопа. Подсчеты проводили в 10 полях зрения каждого среза.
Для определения уровня макрофагального колониестимулирующего фактора (M-КСФ) в плазме крыс – использовали коммерческий набор Bio-Plex ProTM Rat Cytokine Magnetic Bead Panel 23-Plex производства BioRad Laboratories, Inc. (США). Считывание результатов проводили на мультиплексном анализаторе MAGPIX (BioRad Laboratories, Inc., США) по технологии Luminex xMAP с использованием программного обеспечения xPONENT 3.1.
Анализ результатов проводили с использованием методов описательной статистики, однофакторного дисперсионного анализа и апостериорного LSD-теста для парных данных. Достоверность межу группами оценивали по t-критерию Стьюдента для непарных и парных данных. Обработку данных проводили на компьютере IBM PC с использованием программного обеспечения Microsoft Office при помощи прикладных компьютерных программ Statistica for Windows 6.0, Microsoft Excel 2007.
Результаты и их обсуждение
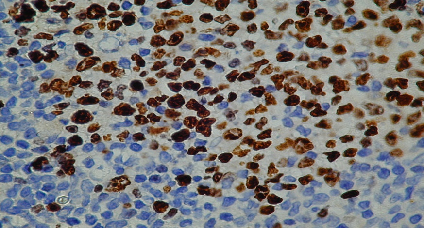
Введение аллогенного трансплантата (взвесь клеток красного костного мозга). Оценивая реакцию селезенки на введения фракции клеток костного мозга (2-я группа), в органе верифицировали активацию пролиферации и дифференцировки клеток иммунной системы. Начиная с 3-х суток. Визуально увеличивается объем белой пульпы. В сравнении с группой интактных животных маргинальная зона широкая, краевой синус умеренно расширен и заполнен различными клетками крови. В переартериальной муфте лимфоциты формируют плотные широкие скопления вокруг артерии. На 7-е сутки зоны белой пульпы продолжают заполняться клетками, их количество возрастает до 514,2 ± 56,9 (в контроле 448,6 ± 33,0). Лимфоидные узелки крупные, большая их часть активная, в них определяются процессы пролиферации, что оценивается по положительной экспрессии маркера пролиферации Ki-67 (рис. 1).
Рис. 1. Экспрессия маркера пролиферации Ki-67 в белой пульпе селезенки. 21-е сутки. Ув.×900
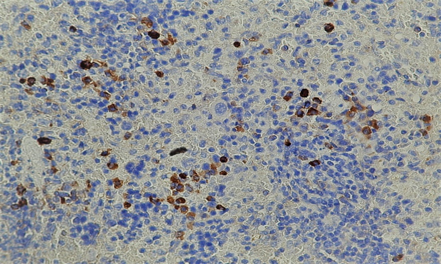
Индекс пролиферации увеличился до 75 % (в контроле 60,3 ± 11,5). В сосудах красной пульпы признаки умеренного стаза клеток крови. До конца эксперимента (21-е сутки) зоны белой пульпы остаются активными, а количество лимфоцитов превышало данные группы контроля на 20 %. Лимфоциты часто формируют диффузные скопления или лимфоцитарные муфточки вокруг кисточковых артериол. Во всех зонах органа имеется активность макрофагов, что определяли по экспрессии маркера CD68. Количество макрофагов уже на 3-и сутки в белой пульпе увеличилось до 39,7 ± 5,2 (в группе контроля – 34,7 ± 6,8). Большое количество макрофагов верифицировалось в пульпарных сосудах органа, а также в тяжах красной пульпы. Число макрофагов в поле зрения оставалось высоким, постепенно увеличиваясь к 21-м суткам (рис. 2).
Рис. 2. Макрофаги (CD68) в красной пульпе селезенки. 21-е сутки. Ув.×100
В динамике эксперимента плазматические клетки верифицировали в умеренном количестве, и их число существенно не изменилось, в среднем в функциональных зонах органа присутствовало от одной до трех клеток в поле зрения.
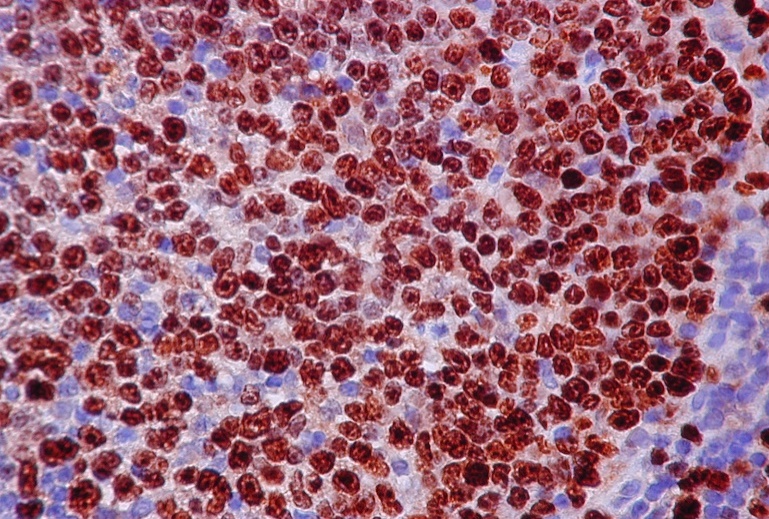
Морфологические эффекты действия гликоделина. В селезенке на 3-и сутки верифицировалась реакция со стороны сосудов венозного русла. Большая их часть имели расширенные просветы с переполнением их клетками крови. Тяжи красной пульпы также содержат форменные элементы, преимущественно эритроциты. Белая пульпа занимает значительную площадь, количество клеток в поле зрения составило 591,2 ± 54,8 (в контроле – 448,6 ± 33,0). Все функциональные зоны развиты, активные. Лимфоидные узелки крупные, как и в группе контроля, в них признаки пролиферации. В центре узелков скопление позитивно окрашенных Ki-67 лимфоцитов (рис. 3), индекс пролиферации при этом существенно не отличался от соответствующих данных в группе контроля и составил 60,3 ± 10,8 (контроль – 66,2 ± 12,5).
Рис. 3. Экспрессия маркера пролиферации. Ki-67 в белой пульпе селезенки. 21-е сутки. Ув.×900
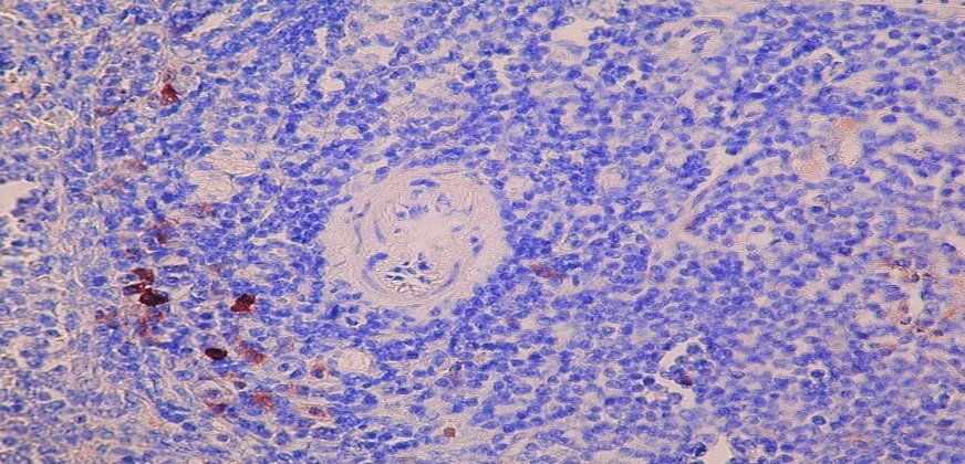
В периартериальной муфте лимфоциты плотно лежат вокруг центральной артерии. Между лимфоидными клетками скопления макрофагов. Установлено, что введение гликоделина привело к достоверному (p < 0,05) снижению макрофагов (CD 68+) в маргинальной зоне белой пульпы до 5,8 ± 1,2 клетки, что в 2,5 раза меньше чем в группе контроля (13,1 ± 2,7). К концу срока исследования (21-е сутки) в маргинальной зоне белой пульпы количество макрофагов (CD68+) стало еще меньше – 3,5 ± 0,9 клетки в поле зрения среза (рис. 4).
Рис. 4. Макрофаги (CD68) в маргинальной зоне белой пульпы селезенки. 21-е сутки. Ув.×200
Между макрофагами верифицировали скопление плазматических клеток, что говорит о явлениях плазмацитогенеза. Между ними единично, или по 2–3 клетки, присутствуют эозинофилы. До конца эксперимента функциональные зоны белой пульпы продолжают оставаться в активном состоянии, визуально их размеры становились меньше или не изменялись. Интенсивность пролиферации достоверно (р < 0,05) снизилась до 20,5 ± 6,3 % (в контроле – 66,2 ± 12,5). На этом фоне повышался дифференцировочный потенциал, что проявилось скоплением как проплазмоцитов, так и плазматических клеток в мантийной зоне. Часто клетки располагались группами по 4–5 штук в поле зрения. В целом к концу эксперимента число плазматических клеток как в белой, так и в красной пульпе выше, чем соответствующие данные контрольной группы. На протяжении всего эксперимента гликоделин способствовал истощению макрофагов в органе. Количество положительно окрашенных CD68 макрофагов в маргинальной зоне составило 3,5 ± 0,9 клетки (в контроле – 13,1 ± 2,7; p < 0,05); в красной пульпе органа – 20,9 ± 3,8 (в контроле – 34,7 ± 6,8, p < 0,05). При этом макрофаги (CD68+) диффузно присутствовали во всех зонах органа, находились в контактах с клетками лимфоидного ряда и периваскулярно.
Моноцитарный колониестимулирующий фактор (M-КСФ) является основным фактором выживания моноцитов и макрофагов, играющих важную роль в отторжении аллотрансплантата. В нашем эксперименте на фоне аллотрансплантации клеток костного мозга у животных наблюдалось повышение уровня M-КСФ на 21-е сутки от начала эксперимента по сравнению с данными группы интактных животных (таблица). Введение гликоделина на фоне аллотрансплантации клеток КМ приводило к отмене данного эффекта.
Концентрации моноцитарного колониестимулирующего фактора сыворотки крови крыс Wistar при аллогенной трансплантации и введении гликоделина в эксперименте in vivo на 21-е сутки, пг/мл (Mе (Q1–Q3))
КСФ | Группа | ||
1-я (интактные) | 2-я (аллогенат ккм) | 3-я (аллогенат ккм + гликоделин) | |
M-КСФ | 19,20 (10,20–44,30) | 64,94 (45,95–70,36) p = 0,03007* | 34,39 (34,39–40,38) |
П р и м е ч а н и е : указаны значения p (двухфакторный дисперсионный анализ) только < 0,05; * – статистически значимые различия по отношению к группе интактных крыс.
Выводы
Таким образом, гликоделин при аллогенной трансплантации клеток костного мозга показал способность локально регулировать иммунную функцию селезенки, проявляющуюся активацией клеток иммунной системы в направлении их пролиферации и дифференцировки. Возрастает количество плазматических клеток. К концу исследования существенно снижается содержание макрофагов, верифицируется эозинофильная инфильтрация. В целом гликоделин стабилизирует пролиферативные процессы и способствует появлению новой генерации клеток, поддерживающей реакцию организма по отношению к трансплантату. Необходимо отметить, что на протяжении эксперимента все животные были живы и сохранили массу тела, что является косвенным положительным признаком реакции на трансплантат [8].
Учитывая, что на этапе подготовки клеток костного мозга к трансплантации взвесь клеток была обработана раствором камптотецином, это, в свою очередь, существенно снизило возможное развитие РТПХ, а способствовало развитию реакции «хозяин против трансплантата» (РХПТ). На этом фоне действие гликоделина качественно определило функцию селезенки в направлении развития толерантного иммунного ответа к аллогенату и исключило появление тяжелых посттрансплантационных осложнений.
Безусловно, полученный морфофункциональный эффект от действия гликоделина в перспективе даёт возможность применения его в терапии аутоимунных, гематологических заболеваний и трансплантации органов.
Финансирование. Исследование выполнено при финансовой поддержке РФФИ в рамках научного проекта № 19-29-04055 мк.
Конфликт интересов. Авторы заявляют об отсутствии конфликта интересов.
Вклад авторов равноценен.
About the authors
Ya. N. Troynich
E.A. Vagner Perm State Medical University
Author for correspondence.
Email: yananiktroynich@mail.ru
Lecturer, Department of Histology, Embryology and Cytology
Russian Federation, PermN. P. Loginova
E.A. Vagner Perm State Medical University
Email: yananiktroynich@mail.ru
MD, PhD, Professor, Head of the Department of Histology, Embryology and Cytology
Russian Federation, PermS. A. Zamorina
Perm State National Research University
Email: yananiktroynich@mail.ru
Doctor of Biological Sciences, leading researcher, Laboratory of Ecological Immunology of the Institute of Ecology and Genetics of Microorganisms UB RAS, Professor of the Department of Microbiology and Immunology
Russian Federation, PermM. B. Raev
Perm State National Research University
Email: yananiktroynich@mail.ru
Doctor of Biological Sciences, leading researcher of the Laboratory of Ecological Immunology of the Institute of Ecology and Genetics of Microorganisms of UB RAS, Professor of the Department of Microbiology and Immunology of Biological Faculty
Russian Federation, PermReferences
- Afanas'ev B.V., Zubarovskaya L.S., Moiseev I.S. Allogeneic hematopoietic cell transplantation in children: present, problems, prospects. Rossiyskiy zhurnal detskoy gematologii i onkologii 2015; 2: 28–42 (in Russian).
- Martin P.J., Rizzo J.D., Wingard J.R. et al. First- and second-line systemic treatment of acute graft-versus-host disease: recommendation of the American Society of Blood and Marrow Transplantation. Biol. Blood Marrow Transplant. 2012; 18 (8): 1150–1163.
- Popova N.N., Savchenko V.G. Reconstitution of T-cell-mediated immunity in patients after allogeneic stem sell transplantation. Russian journal of hematology and transfusiology 2020; 65 (1): 24–38.
- Dixit A., Balakrishnan B., Karande A.A., Immunomodulatory activity of glycodelin implications in allograft rejection. Clin. Exp. Immunol. 2018; 2: 213–223.
- Cui J., Liu Y., Wang X. The Roles of glycodelin in cancer development and progression. Front. Immunol. 2017; 8: 1685.
- Kämäräinen M., Halttunen M., Koistinen R., von Boguslawsky K., von Smitten K., Andersson L.C., Seppala M. Expression of glycodelin in human breast and breast cancer. Int. J. Cancer 1999; 83: 738–742.
- Zamorina S.A., Troynich Y.N., Loginova N.P., Charushina Y.A., Shardina K.Yu., Timganova V.P. Pregnancy-associated proteins as a tool in the therapy of autoimmune diseases and alloimmune disorders (review). Lecture notes in networks and systems 2022; 342 LNNS: 385–393.
- Reddy P., Ferrara J.L.M. Mouse models of graft-versus-host disease. StemBook eds. By The Stem Cell Research Community. 2009; 28.
Supplementary files






