Allergic bronchopulmonary aspergillosis (known unknown disease, analysis of clinical observation)
- Authors: Barlamov O.P.1, Barlamov P.N.2
-
Affiliations:
- Vesna Medical Group
- E.A. Vagner Perm State Medical University
- Issue: Vol 40, No 4 (2023)
- Pages: 127-134
- Section: Clinical case
- Submitted: 24.07.2023
- Accepted: 24.07.2023
- Published: 24.07.2023
- URL: https://permmedjournal.ru/PMJ/article/view/562942
- DOI: https://doi.org/10.17816/pmj404127-134
- ID: 562942
Cite item
Full Text
Abstract
To show an algorithm for diagnosing this disease and demonstrate the effectiveness of etiological treatment using the case history of a patient with allergic bronchopulmonary aspergillosis (ABPA) against the background of bronchial asthma (BA).
Complaints, anamnesis, physical status, laboratory and instrumental studies of a patient with ABPA are published. Modern literature data on the diagnosis and treatment of ABPA have been analyzed.
The complaints, anamnesis, physical status as well as laboratory and instrumental studies used for a patient with ABPA were analyzed in comparison with world literature data.
- Primary care physicians are informed insufficiently about the clinical picture of ABPA. 2. Antimycotic therapy with variconazole applied for patients with ABPA against the background of BA leads not only to positive morphological changes in the lungs but also to the relief of BA course.
Full Text
Введение
При оценке аллергической сенсибилизации пациентов с бронхиальной астмой (БА) [1] и поллинозом [2] грибковая сенсибилизация (ГС) зачастую ускользает от внимания клиницистов, в то время как, согласно когорным исследованиям, ГС встречается у 3–10 % населения в целом и у 7–20 % больных бронхиальной астмой (БА), а доля пациентов с тяжелым течением (БА) с ГС составляет от 35 до 75 %. Грибки являются одними из наиболее важных клинически значимых аллергенов при астме. Грибковые аллергены могут оказывать устойчивый T2-ответ с продукцией интерлейкинов (ИЛ) -5 и -13. Последнее тесно связано с эозинофильным воспалением дыхательных путей [1].
Аллергический бронхолегочный аспергиллез (АБЛА) представляет собой иммуноопосредованное заболевание легких, характеризующееся повторяющимися эпизодами бронхоспазма, рецидивирующими легочными инфильтратами и бронхоэктазией [3–5].
Впервые АБЛА был описан в 1952 г.
K.F. Hinson et al. [6]. Чаще заболевание протекает хронически с периодическими обострениями бронхообструктивного синдрома и/или возникновением эозинофильных инфильтратов. При обострении АБЛА появляются приступы удушья, боли в грудной клетке, повышение температуры тела и кашель с мокротой, содержащей коричневые включения и слизистые пробки. На рентгенограммах легких появляются летучие инфильтраты, при микроскопии мокроты – мицелий или другие элементы грибов Aspergillus [3]. Эозинофилия крови более 0,4·109/л появляется в острой стадии или при обострении заболевания. В период ремиссии и в стадии фиброза количество эозинофилов может быть нормальным.
Диагноз АБЛА основан на сочетании клинических, рентгенологических и иммунологических критериев, предложенных рабочей группой International Society for Human and Animal Mycology (ISHAM). У пациента должны быть все обязательные критерии – астма, специфичный к Aspergillus fumigatus IgE (> 0,35 МЕ/мл), повышение уровня общего IgE (> 1000 МЕ/мл); а также два из дополнительных критериев – положительный IgG к Aspergillus fumigatus, абсолютное количество эозинофилов > 500 клеток/мкл и характерные рентгенографические признаки АБЛА [1; 3; 4].
В острой стадии АБЛА базисная терапия предусматривает назначение системных глюкокортикостероидов (ГКС). В течение
7–10 дней преднизолон в дозе 0,5–1,0 мг/кг в сутки обычно купирует эозинофильные инфильтраты в легких и бронхообструктивный синдром. Кроме этого, критериями эффективности служит снижение уровня общего IgЕ в сыворотке крови. После достижения эффекта дозу препарата постепенно уменьшают до поддерживающей (0,125 мг/кг), лечение ГКС продолжается в течение 3 месяцев. Во время ремиссии больные в специфической терапии не нуждаются. При рецидиве вновь применяют преднизолон, после снижения активности АБЛА назначают итраконазол по 200–400 мг/сут в течение 2–4 месяцев. Применение ингаляционных ГКС и бронходилататоров позволяет уменьшить дозу системных ГКС, особенно у больных с частыми обострениями [3; 6].
Данные систематического обзора по лечению АБЛА противогрибковыми препаратами, включавшего 38 наблюдений и четыре рандомизированных контролируемых исследования, подтверждают, что противогрибковые препараты могут улучшать симптомы, легочную функцию и рентгенологическую картину, а также способствовать снижению частоты обострений и уменьшению дозы ГКС. Эффективность итраконазола в лечении АБЛА подтверждена в двух рандомизированных плацебоконтролируемых исследованиях. P. Wark et al. показали, что применение итраконазола приводит к улучшению функции легких, позволяет снизить дозы ГКС и уменьшить частоту обострений [7]. Более новые антимикотические препараты – вориконазол и позаконазол – также были изучены у больных АБЛА. В ретроспективных исследованиях показано, что вориконазол и позаконазол являются эффективными альтернативными препаратами для лечения АБЛА [3]. Кроме того, изучены другие потенциальные альтернативные терапевтические подходы, например, использование моноклонального антитела против IgE (омализумаб) и ингаляции амфотерицина В. В обоих случаях эффективность продемонстрирована на небольших группах больных АБЛА, что подтверждает необходимость дальнейшего проведения многоцентровых проспективных рандомизированных контролируемых исследований этих препаратов [3]. Важно отметить, что при длительном использовании пролонгированных пероральных ГКС у больных АБЛА повышается риск иммуносупрессии, что может привести к формированию хронического аспергилеза легких (ХАЛ).
Цель исследования – на примере истории болезни пациентки с аллергическим бронхолегочным аспергиллезом (АБЛА) на фоне бронхиальной астмы (БА) показать алгоритм диагностики этого заболевания и продемонстрировать эффективность этиологического лечения.
Клинический случай
Пациентка Б., 1962 г. р. (61 год), жительница Пермского края. Первичное обращение на прием 09.02.2022.
Анамнез заболевания: считает себя больной с 1993 г., когда был установлен диагноз астматического бронхита. Наблюдалась амбулаторно по месту жительства, лечение с частичным положительным эффектом бронхолитическими препаратами. В течение многих лет лечилась по поводу частых обострений заболевания, проявляющихся приступами экспираторного удушья со свистящим дыханием ранним утром и днем, в покое и после незначительной физической нагрузки 2–3 раза в день, купирующихся фенотеролом. Кашель с отхождением стекловидной мокроты до 10 мл в сутки, иногда с желтоватым оттенком.
Перенесенные заболевания: хронический бронхит, миома матки (оперирована в 2008 г.), стеатоз печени, стенокардия, прохождение флюорографии регулярно. Туберкулез легких, гепатит С, ВИЧ отрицает. Аллергологический анамнез: приступы чихания, ринореи, слезотечения и удушья при контакте с домашней пылью, сеном, животными. Не курит. Mensis: менопауза.
Объективные данные при первом обращении: состояние удовлетворительное. Кожные покровы и видимые слизистые физиологической окраски. Подкожный жировой слой выражен умеренно. Периферические лимфоузлы не увеличены. Грудная клетка правильной формы. Пальпация грудной клетки безболезненная. Перкуссия: звук легочный, симметрично. Аускультативно: дыхание жесткое. Хрипы сухие, свистящие в обе фазы дыхания по всей поверхности легких. Влажные среднепузырчатые хрипы в проекции язычковых сегментов слева. Частота дыхания 22 в мин. Пульс 86 в мин. Сатурация кислорода 97 %. Тоны сердца ритмичные, сохраняли физиологическую акцентуацию. Стул оформленный.
Спирометрия от 05.10.2021: ЖЕЛ 44 % к должной, ОФВ1 30 % к должному, проба Тиффно 68 %. Проба с сальбутамолом положительная (+18 %). Тест по контролю БА (САТ) 15 баллов.
Биохимический анализ крови 24.02.2022: АЛТ – 31 МЕ/л, амилаза сыворотки крови – 42 МЕ/л, АСТ – 55 МЕ/л, билирубин общий – 9,3 мкмоль/л, прямой – 3,8 мкмоль/л, гамма ГТП – 61 МЕ/л, кальций сыворотки – 2,45 ммоль/л, креатинин сыворотки – 77,0 ммоль/л, щелочная фосфатаза – 151 Ед/л.
В общем анализе крови (ОАК) от 24.02.2022 обращает на себя внимание лейкоцитоз (10,98·109/л), эозинофилия (1,5·109/л) и относительный тромбоцитоз (335·109/л), СОЭ – 19 мм/ч.
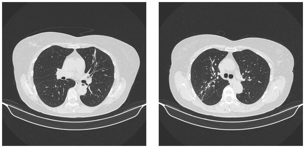
МСКТ от 03.02.2022 (рис. 1). В паренхиме легких очаговых и инфильтративных теней не выявлено. Легочной рисунок не изменен. Немногочисленные плевропульмональные спайки. Латеральные отделы S5 сегмента левого легкого уменьшены в объеме, безвоздушны, бронхи деформированы, мелкие бронхоэктазы. Пневматизация паренхимы равномерна. Средостение не расширено. Кардиоторакальный индекс < 50 %. Плотность клетчатки средостения не изменена. Трахея и бронхи свободны, стенки их не изменены. Аорта не расширена, имеет обычный ход, стенки ее не изменены. Лимфоузлы средостения не увеличены. В плевральных полостях жидкости не определяется. Мягкие ткани не изменены. Аксиальные лимфоузлы не увеличены.
Рис. 1. Пациентка Б. Компьютерная томография ОГК от 03.02.2022: на представленных компьютерных томограммах в боковом и поперечном срезах видно, что латеральные отделы S5-сегмента левого легкого уменьшены в объеме, безвоздушны, бронхи деформированы, мелкие бронхоэктазы
Заключение: очаговых и инфильтративных теней в паренхиме легких нет. Фиброателектаз латеральных отделов S5 левого легкого.
Назначены: дыхательная гимнастика. Массаж, постуральный дренаж. Будесонид – 160 мг/форматерол – 4,5 мг (симбикорт рапихалер) 2 раза в день один месяц. Мокрота на посев. Состояние с незначительным улучшением.
При посеве в мокроте от 10.02.2022: найдены Aspergillus fumigatus – 1·104. В связи с чем была направлена в пульмонологическое отделение с подозрением на аспергиллез, где находилась с 10.03.2022 по 18.03.2022. В отделении вновь оценена спирометрия, по результатам которой обнаружены умеренные обструктивные нарушения на уровне средних и мелких бронхов. В результате диагностической фибробронхоскопии был выявлен стеноз долевого бронха язычковых сегментов (ДБЯз), бронхоэктатическая болезнь (БЭБ) левого бронха язычковых сегментов (ЛБЯз). Диффузный двухсторонний бронхит 1–3-й степени интенсивности на фоне атрофии слизистой бронхов. Косвенные признаки дистального расширения ЛБЯз. Проведено лечение дексаметазоном – 4 мг 3 раза в день курсом 7 дней. Выписана с улучшением. Рекомендовано: тиотропия бромид/олодатерола гидрохлорид 2,5/2,5 мкг (спиолто) по 2 дозы утром, будесонид – 160 мкг/формотерол – 4,5 мкг один раз в день при появлении симптомов обструкции. После коррекции терапии состояние ухудшилось. Самостоятельно отменила спиолто, продолжала прием будесонид – 160 мкг/формотерол – 4,5 мкг 2 раза в день.
После выписки из стационара исследована панель тестов на плесень (Penicillium notatum, Cladosporium herbarum, Aspergillus fumigatus, Candida albicans, Alternaria tenuls), результат: 5,82 КМЕ/л, норма 0–0,1. Качественная реакция IgG на Aspergillus fumigatus положительная. Тест по контролю БА (САТ) 22 балла.
В связи с характерной упорной клинической картиной бронхиальной обструкции, упорной эозинофилии, наличием в мокроте от 10.02.2022 Aspergillus fumigatus 1·104; положительными реакциями антител IgG на Aspergillus fumigatus, характерной картиной на КТ (ателектаз S5 левого легкого с мелкими бронхоэктазами), бронхоскопической картиной (стеноз ДБЯз, БЭБ ЛБЯз) – был поставлен диагноз: аллергический бронхолегочной аспергиллез (АБЛА). Бронхиальная астма, смешанная с преимущественно аллергическим компонентом, частично контролируемая, средней степени тяжести, обострение. Бронхоэктатическая болезнь легких
S4–5 слева, обострение.
Продолжала лечение: дыхательная гимнастика. Массаж, постуральный дренаж. Будесонид – 160 мг/фармотерол – 4,5 мкг (симбикорт рапихаллер) 2 раза в день.
С учетом полученных данных и регулярными обострениями заболевания пациентка направлена на консультацию в НИИ медицинской микологии г. Санкт-Петербург.
Находилась на лечении в институте микологии в г. Санкт-Петербург с 07.06.2022 по 16.06.2022, где диагностирован аллергический бронхолегочной аспергиллез (АБЛА).
Сопутствующий диагноз: бронхиальная астма, смешанная, частично контролируемая, Хронический бронхит с вторичными бронхоэктазами S4–5 левого легкого, фаза умеренного обострения.
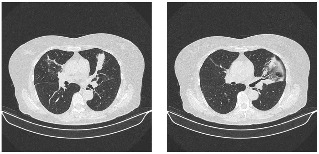
Диагноз установлен на основании характерной клинической картины приступов экспираторного удушья со свистящим дыханием, протекающих с упорным течением частично купируемых бронхолитиками, наличия на КТ ОГК от 15 июня 2022 г. специфических изменений (КТ-картина двухстороннего бронхиолита, ателектаза S5 правого легкого и субсегментарного ателектаза S4 левого легкого). Немногочисленные солидные очаги обоих легких, возможно, эозинофильные инфильтраты. Единичный увеличенный правый трахеобронхиальный узел. При сравнении с МСКТ от 03.02.2022 отмечалось появление ателектазов, бронхиолита и увеличение единичного лимфоузла, высокого уровня общего IgЕ = 979 ед/мл, положительного специфического IgE к Aspergillus fumigatus (1:600 (при норме 1:100)), выделение из промывной жидкости бронхов истинного мицелия микромицетов, при посеве рост Aspergillus fumigatus (рис. 2). Повышение специфических иммуноглобулинов G и М к аспергиллам.
Рис. 2. Пациентка Б. Компьютерная томография ОГК от 15 июня 2022 г.: картина двухстороннего бронхиолита, ателектаза S5 правого легкого и субсегментарного ателектаза S4 левого легкого. Немногочисленные солидные очаги обоих легких, возможно, эозинофильные инфильтраты. Единичный увеличенный правый трахеобронхиальный узел. При сравнении с МСКТ от 03.02.2022 – появление ателектазов, бронхиолита и увеличение единичного лимфоузла
В клинике получала лечение вориконазолом в течение трех месяцев с положительным эффектом, при обследовании в сентябре 2022 г. при бронхоскопии аспергиллы не выявлены, отмечается улучшение клинической картины бронхиальной астмы (тест САТ 25 баллов) и рентгенологической картины. Вориконазол отменен. Рекомендована явка на госпитализацию через три месяца.
Обследования: МСКТ ОГК от 22 сентября 2022 г. рассасывание ателектаза в S4–5 слева и средней доле справа, бронхоэктазы в S4–5 слева. В S2 справа явления бронхиолита. Кальцинат в S1–2 справа, плевральные спайки (рис. 3).
Рис. 3. Пациентка Б. Компьютерная томография ОГК от 22 сентября 2022 г.: рассасывание ателектаза в S4 – 5 слева и в средней доле справа, бронхоэктазы в S4 – 5 слева
Диагноз: аллергический бронхолегочной аспергиллез (АБЛА). Бронхиальная астма, смешанная с преимущественно аллергическим компонентом, средней степени тяжести, контролируемая, БЭБ S4–5 слева.
Рекомендации: дыхательная гимнастика. Массаж, постуральный дренаж. Будесонид – 160 мг/форматерол – 4,5 мг (симбикорт рапихаллер) по требованию. Утром аэрозоль с физиологическим раствором 10 дней.
Результаты и их обсуждение
Таким образом, представляемая пациентка страдала упорными обострениями БА в течении более 20 лет с рецидивами в зимнее время. Клиническая картина её болезни была представлена следующими симптомами АБЛА:
- Характерная картина тяжелой бронхиальной астмы с упорным неконтролируемым течением.
- Наличие на КТ ОГК специфических изменений (КТ-картина двухстороннего бронхиолита, ателектаза S5 правого легкого и субсегментарного ателектаза S4 левого легкого с бронхоэктазами). Немногочисленные солидные очаги обоих легких (возможно, эозинофильные инфильтраты).
- Эозинофилия крови (1,5109/л).
- Высокий уровень общего IgЕ = 979 ед/мл.
- Положительный специфический IgE к Aspergillus fumigatus (1:600 (при норме 1:100)).
- Выделение из промывной жидкости бронхов истинного мицелия микромицетов.
- Обнаружение при посеве в промывных водах бронхов рост Aspergillus fumigatus.
- Положительная качественная реакция специфических иммуноглобулинов G и М к аспергиллам.
Однако диагноз АБЛА заподозрен не был, несмотря на то, что пациентка неоднократно обследовалась пульмонологами. Это свидетельствует о недостаточной настороженности первичного звена врачей по отношению к сенсибилизации больных БА (особенно тяжелой её формы) к грибковым аллергенам и, в частности, к аллергену Aspergillus fumigatus.
Наша презентация истории болезни пациентки с АБЛА демонстрирует эффективность целенаправленной противогрибковой терапии вориконазолом при этом тяжелом заболевании.
Выводы
- Первичное звено врачей недостаточно информировано о клинической картине АБЛА.
- Противомикотическая терапия вориконазолом больных АБЛА на фоне БА приводит не только к положительным морфологическим изменениям легких, но и к облегчению течения БА.
Финансирование. Исследование не имело спонсорской поддержки.
Конфликт интересов. Авторы заявляют об отсутствии конфликта интересов.
Вклад авторов равноценен.
About the authors
O. P. Barlamov
Vesna Medical Group
Author for correspondence.
Email: barlamov@inbox.ru
Candidate of Medical Sciences, Chief Physician
Russian Federation, PermP. N. Barlamov
E.A. Vagner Perm State Medical University
Email: barlamov@inbox.ru
ORCID iD: 0000-0002-8704-692X
MD, PhD, Professor
Russian Federation, PermReferences
- Li E., Knight J.M., Airway Wu. Y. mycosis in allergic airway disease. Adv Immunol. 2019; 142: 85–140. doi: 10.1016/bs.ai.2019.05.002.
- Minaeva N.V., Islamova R.I., Plakhina K.V. Fungal sensitization in patients with pollinosis: a review. Pediatrics. The journal named after G.N. Speransky 2022; 101 (2): 73–77 (in Russian).
- Kozlova Ya. I., Kuznetsov V.D., Klimko N.N. Fungi of the genus Aspergillus and chronic lung diseases. Doctor. 2020.11: 14–20. Agarwal R., Sehgal I.S., Dhooria S., Aggarwal A.N. Developments in the diagnosis and treatment of allergic bronchopulmonary aspergillosis. Expert Review of Respiratory Medicine 2016; 10 (12): 1317–34 (in Russian).
- Agarwal R., Sehgal I.S., Dhooria S., Ag-garwal A.N. Developments in the diagnosis and treatment of allergic bronchopulmonary aspergillosis. Expert Review of Respiratory Medicine 2016; 10 (12): 1317–34.
- Kanj A., Abdallah N., Soubani A.O. The spectrum of pulmonary aspergillosis. Respiratory Medicine 2018; 141: 121–31.
- Hinson K.F., Moon A.J., Plummer N.S. Bronchopulmonary aspergillosis; a review and a report of eight new cases. Thorax 1952; 7 (4): 317–33.
- Wark P., Hensley M., Saltos N. Anti-inflammatory effect of itraconazole in stable allergic bronchopulmonary aspergillosis: a randomized controlled trial. J Allergy Clin Immunol. 2003; 111 (5): 952–7. doi: 10.1067/mai.2003.1388.
Supplementary files


